Resting Membrane Potential
The Voltage difference across the membrane of a neuron when it is at rest (non-signaling). In a neuron, the inside of the cell is about 70 mVs (millivolts) less than the outside, so the resting membrane potential is said to be -70 mVs.
Concentration Gradient
This occurs when the concentration of a positive or negative ions is higher in one area than the other.

Depolarisation
A change in neurons membrane potential that make it more positive (less negative).

Hyperplarisation
A change in neurons membrane potential that makes it more negative. It is the opposite of depolarization.

Ionotropic Receptors
transmembrane proteins that form a channel allowing ions to revalue in or out of a cell. These channels are opened when the receptor binds a ligand, like a neurotransmitter. Glutamate receptors and GABAA receptors are examples of ionotropic receptors.

Voltage-Gated Ion Channels
Transmembrane proteins that form ion channels who’s opening and closing is regulated by the membrane potential near the channel.

Action Potential
The process by which a neuron sends information down its axon.
Field Potential
This is the electric potential in the extracellular space around neurons.

Nerve
A bundle of axons

Compound Axon Potential (ECAP)
The sum of the activity in a number of nerve fibers (or axons)

Voltage
The potential difference of a charge between two points.

Current
The rate at which an electric charge is flowing.

Structural NeuroImaging
Structural neuroimaging modalities (particularly MRI-based approaches) have been instrumental in characterizing changes in brain regions implicated in the processing of non-visual sensory information such as hearing, touch, smell, and memory. These structural changes appear related to use dependency plasticity.
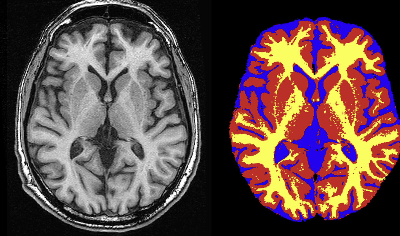
Neuroimaging includes the use of various techniques to either directly or indirectly image the structure or function of the brain. Structural neuroimaging deals with the structure of the brain (e.g. shows contrast between different tissues: cerebrospinal fluid, grey matter, white matter

Functional Neuroimaging
Functional neuroimaging is the use of neuroimaging technology to measure an aspect of brain function, often with a view to understanding the relationship between activity in certain brain areas and specific mental functions.
Functional imaging is the study of human brain function based on analysis of data acquired using brain imaging modalities such as Electroencephalography (EEG), Magnetoencephalography (MEG), functionalMagnetic Resonance Imaging (fMRI), Positron Emission Tomography (PET) or Optical Imaging

Functional Magnetic Resonance imaging (fMRI)
Functional magnetic resonance imaging or functional MRI (fMRI) measures brain activity by detecting changes associated with blood flow. This technique relies on the fact that cerebral blood flow and neuronal activation are coupled. When an area of the brain is in use, blood flow to that region also increases.

Lesion Studies
Studied functional deficits after brain damage. An invaluable tool in understanding the relationship between brain and behavior. The drawback was the information for prices location of the lesion was only available after patient’s death.

Angelo Mosso
19th century Italian Physiologist that was the pioneer of functional brain imaging, linking brain pulsation to brain activity.
Weighed brain activity with a balance.

Wilhelm Rontgen
German Physicist, created first medical X-ray, Crookes tube X ray experiment.

Walter Dandy
Xrays to get medical diagnostics.
Ventriculography:
Ventriculography is a type of angiography in which x-rays are taken as a radiopaque contrast agent is injected into the left or right ventricle of the heart through a catheter. It is done during cardiac catheterization.
Pneumoencephalography:
A radiographic technique (now largely superseded) for examining the brain. It involved displacing the cerebrospinal fluid in the ventricles of the brain by air or oxygen, which served as a contrast medium
(-) Lack of X ray contrast within the skull.

Hans Berger
German Psychiatrist and Physiologist whom first published EEG in 1924.

Electroencephalography (EEG)
A test used to evaluate the electrical activity in the brain. Brain cells communicate with each other through electrical impulses. An EEG be used to help detect potential problems associated with this activity. (Hans Berger)

Position Emission Tomography (PET)
PET is a nuclear medicine technique which involves tagging an active molecule with a short-lived radioactive tracer and then injecting it in the body. Tissue tracer concentration and location can be computed by detecting the GAMMA rays emitted as a byproduct of the decay of the radioactive tracer.
A brain positron emission tomography (PET) scan is an imaging test of the brain. It uses a radioactive substance called a tracer to look for disease or injury in the brain. A PET scan shows how the brain and its tissues are working. This scan can sometimes detect disease before it shows up on other imaging tests. (Ex: Alzheimer’s, Brain Cancer, Tumors)
