What are the general epidemiology, etiology, and symptoms for urogenital dysfunction?
For stress incontinence:
For urge incontinence:
For mixed incontinence:
For overflow incontinence:
For functional/transient incontinence:
What are some other cuases of urinary incontinence?
How do you diagnose urinary incontinence? Be specific about indications, technique, and what the results of this diagnostic test mean.
What are non drug or non-surg treatments for urinary incontinence?
Provide drugs that can be used for urinary incontinence.
Provide surgical options for urinary incontience. What is the gold standard?
What are the 4 types of prolapse?
Prolapse
What is the epidemiology, pathophys, etiology, and treatment of prolapse?
What is the grading scale of prolapse?
For Normal, provide:
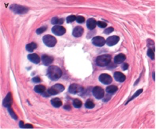
What is this an image of?

Normal breast: Ducts lined by double layer of epithelial cells and surrounded by layer of myoepithelial cells
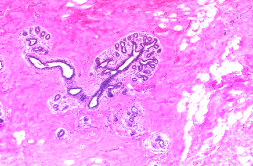
What is this an image of?

Normal breast
For fibrocystic change breast disease:
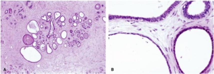
What is this?

Fibrocystic change: Bilateral, lumpy-bumpy, Blue domed cysts
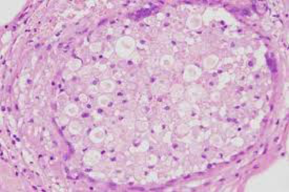
What is this?

Fibrocystic change breast disease: Dilation of duct lobules, stromal fibrosis
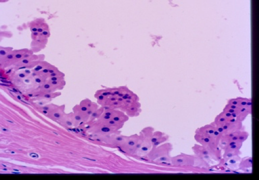
What is this?

Fibrocystic changes breast disease: apocrine metaplasia
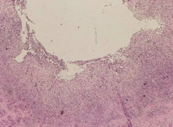
What is this?

Fibrocystic change breast disease: ductal ectasia
Describe breast abscess:
What is this?

Breast abscess: Fibrous capsule with inflammatory infiltrates