Week #11 Flashcards

(69 cards)

1
Q

The most common kinds of cancers in australia are?

A

Basal cell carcinoma and squamous cell carcinoma

How well did you know this?
1
Not at all
2
3
4
5
Perfectly
2
Q

What are the hallmarks of cancer?

A
  1. Sustaining proliferative signalling
  2. Resisting cell death
  3. Inducing angiogenesis
  4. Enabling replicative immortality
  5. Evading growth supressors
  6. Activating invasion and metastasis
  7. Ability to evade immune system?
How well did you know this?
1
Not at all
2
3
4
5
Perfectly
3
Q

What are the leading causes of cancer in men and women in victoria?

A
  • Men=prostate, bowel, lung
  • Women=breast, bowel, melanoma
How well did you know this?
1
Not at all
2
3
4
5
Perfectly
4
Q

The most common cancer causing death in vicotoria in men and women is?

A
  • Lung cancer
How well did you know this?
1
Not at all
2
3
4
5
Perfectly
5
Q

Lung cancer is mre common in _____ whereas stomach and liver cancer is more common in _____

A
  • Western countries (and china)
  • Asia
How well did you know this?
1
Not at all
2
3
4
5
Perfectly
6
Q

What is one of the common name for cancers that occur in children?

A
  • Often referred to as blastomas as in a child the cancers often resemble a blastoma
How well did you know this?
1
Not at all
2
3
4
5
Perfectly
7
Q

Compare benign and malignant tumour types

A

Benign

  • Benign are expansive growth locally which is generally slower, better circumscribed and are well differentiated, may look more normal

Malignant

  • Malignant tumours are “cancers” and are invasive and will destroys the adjacent tissues that they invade into and can also metastasize so they can move systemically
  • Poorly circumscribed
  • Necrosis due to inadequate blood supply-too fast growing
  • Metastasize via lymph blood and/or body cavities
  • Note their are also uncertain maligant/ borderline cells

Macroscopic images

  • Can see benign is the smooth muscle lesion in the uterus. Well circumscribed and it just pushes the cells away. Rarely cause death but can cause symptoms.
  • Malignant tumour of the uterus. Cells are invading into the uterus Not well circumscribed.
How well did you know this?
1
Not at all
2
3
4
5
Perfectly
8
Q

What are the three ways that cancer can metastisize?

A
  • Through the lymphatics
    • cancer can drain to the lymph nodes and then grow there
    • Cancer can also enter the blood through this route as lymph eventually drains into the blood
  • Blood borne spread
    • cancer can enter the veins and then be returned to the heart and pumped around the body
  • Transcoelomic spread
    • tumour can migrate out into pleura (for example and migrate through the body cavity
How well did you know this?
1
Not at all
2
3
4
5
Perfectly
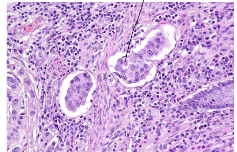
9
Q

What is this?

A
  • Lymphovascular invasion
  • cancer cells in small vessels suggesting metastasis
How well did you know this?
1
Not at all
2
3
4
5
Perfectly
10
Q

What are some of the common sites of metastasis?

A
  • Bone, lung, brain and liver.
How well did you know this?
1
Not at all
2
3
4
5
Perfectly
11
Q

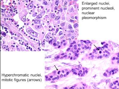
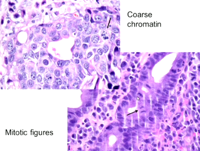
What is the histological appearance of cancer cells?

A
  • Compared to normal cells, neoplastic cells tend to demonstrate
    • cytological atypia
      • larger nuclei
      • pleomorphic nuclei: variation in size and shape
      • coars nuclear chromatin
      • hyperchromatic nuclei
      • larger more prominent nucleoli
      • more mitotic activity +/- abnormal mitotic figures
    • Architectural disorganisation
  • Benign neoplastic cells genrally show less atyoia than maligant cells
How well did you know this?
1
Not at all
2
3
4
5
Perfectly
12
Q

Cancer cell appearance

A
How well did you know this?
1
Not at all
2
3
4
5
Perfectly
13
Q

Coarse chromatin and mitotic figures

A
How well did you know this?
1
Not at all
2
3
4
5
Perfectly
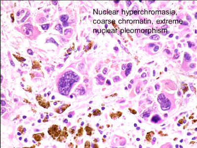
14
Q

Nuclear hyperchromasia

coarse chromatin

extreme nuclear pleomorphism

A
How well did you know this?
1
Not at all
2
3
4
5
Perfectly
15
Q

Architectural disorganisation

A
How well did you know this?
1
Not at all
2
3
4
5
Perfectly
16
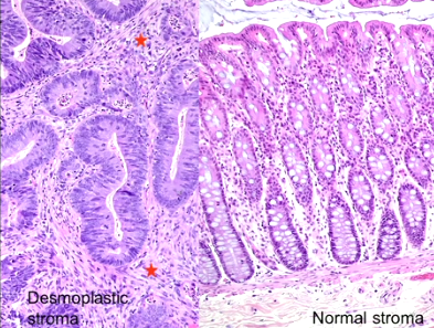
Q

Desmoplastic stroma

A
  • desmoplastic stroma
    • cancer stroma has lots of collagen and fibroblasts and inflammatory cells
    • Tumour can be firm due to fibrous stroma
How well did you know this?
1
Not at all
2
3
4
5
Perfectly
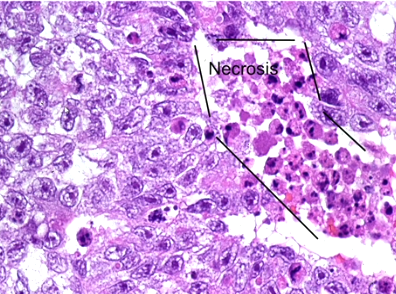
17
Q

Malignant tumours can be necrotic

A
  • necrotic cells do not fit the pattern of caseous etc
  • but are pyknotic and shrunken and fragmenting
  • Not seen in benign tumours
How well did you know this?
1
Not at all
2
3
4
5
Perfectly
18
Q

We need to characterise if a tumour is benign or malignant but we also need to then chracterise the tumour ______

determined histologically

A
  • Cell lineage
  • can be epithelial, mesenchymal or other
How well did you know this?
1
Not at all
2
3
4
5
Perfectly
19
Q

What are the chracterists of an adenocarcinoma?

A
  • Cancer of the glandular epithelium
  • will often see a lumen in the tumours
    • as they are in glands
  • may also see the formation of mucin
    • cancers secreting lots of mucin
  • Can sometimes times see mucin within the cell-signet ring cells
How well did you know this?
1
Not at all
2
3
4
5
Perfectly
20
Q

What are the features of squamous cell carcinoma?

A
  • shows features of stratified squamous epithelium
  • Includes cells with eosinophilic cytoplasm
  • intercellular bridges
  • may also see keratinization
How well did you know this?
1
Not at all
2
3
4
5
Perfectly
21
Q

What are the features of a smooth muscle tumour (Leiomyosarcoma)?

A
  • Cells will look like smooth muscle
  • elongated nuclei with rounded ends
How well did you know this?
1
Not at all
2
3
4
5
Perfectly
22
Q

What are the steps to diagnose a mass lesion?

A
  1. Decide if it is neoplastic or non-neoplastic?
  2. If neoplastic
    • Benign or malignant?
    • type: epithelial,mesenchymal etc?
  3. If malignant: primary vs metastatic?
How well did you know this?
1
Not at all
2
3
4
5
Perfectly
23
Q

Tumour typing terminology:

What do the following prefixes mean:

Adeno

Squamous cell

Leiomyo

Osteo

What do the following sufixes mean:

  • oma
  • carcinoma
  • sarcoma

What are some exception to this?

A

Prefixes

  • glandular
  • squamous cell
  • smooth muscle
  • osteoblastic (osteoid forming)

Suffix

  • Benign
  • maligant epithelial
  • maligant mesenchymal

Exceptions?

  • Seminoma: is actually maligant testicular lesion, lymphoma-also malignant
How well did you know this?
1
Not at all
2
3
4
5
Perfectly
24
Q

What is the significance of the degree of differentiation of tumours?

A

Well differentiated

  • more closely resembles mature cells
  • cell cytologic atypia (smaller more uniform nuclei, inconspicuous nucleoli), less mitotic activity
  • Architecturally more organised

Porrly differentiated

  • poorly resemble mature cells
  • more cytolytic atypia (enlarged pleomorphic nuclei, prominent nucleoli, nuclear hyperchromasia or coarse nuclear chromatin), more mitotic activity +/- atypical mitoses
  • archeticturally less organised
  • Benign tumours are well differentiated
  • Malignant tumours may be well, moderately or poorly differentiated
  • The degree of differentiation of a malignant tumour is referred to as its grade
How well did you know this?
1
Not at all
2
3
4
5
Perfectly
25
Well differentiated adenocarcinoma vs poorly differentiaed adenocarcinoma
26
Well differentiated squamous cell carcinoma or poorly differentiated squamous cell carcinoma
27
Well differentiated smooth muscle sarcoma vs poorly differentiated smooth muscle sarcoma
28
29
What are the 4 classes of normal regulatory genes that are principal tagets of genetic damage relevant in carcinogenesis?
* growth-promoting proto-oncogenes * growth-inhibiting tumor suppressor genes * genes that regulate programmed cell death (i.e., apoptosis) * genes involved in DNA repair
30
What different mutations can lead to cancer?
* Errors in DNA replication not repaired- DNA repair genes BRCA1 and BRCA2 not functioning. * can lead to accumulaiton of errors in some regions that are more prone to this * TSG proto-oncogenes etc or regulatory regions in control of TSG/ oncogene expression * Point mutations-activaing oncogenes, inactivating TSGs * Amplification of oncogenes (multiple copies transcribed) * chromosomal rearrangements
31
Oncogene amplification of N-MYC
* can get 50 copies of the N-MYC gene * can also get double minutes seperate from the chromosome that is also producing more mRNA and leading to more protein synthesis
32
Gene translocation and gene fusion: generation of oncogenic chimaeric molecules Provide an example of a well known one
* Fusion of BCR locus and ABL locus
33
Describe the growth pattern of a tumour
* exponential growth with a lag phase and a plateu * Not that at the start the tumour is avascular so groqth is slow * then we get more vascularisation and growth is exponential * but then tumour becomes too big and there is a necrotic core and so tumour growth is limited becasue more blood vessels cannot get in
34
What are the major kinds of cell proliferation pathways in cancer? Name the two signalling pathways that lead to increased cell cycle progression
* ussually growth factors which bind to a tyrosine kinase receptor * GF ligand could be increased or receptor could be increased in tumour cells * signalling can either go down the ras pathway which is an intracellular switch which activates a series of kinases and then we get activation of transcription factors which results in inceased cell cycle progression and increased cell survival * The two pathways are the **PI3K pathway and the MAPK pathway**
35
Describe the PI3K pathway and the common sites of mutation
* p110 and p85 are commonly mutated (oncogenes) * PTEN is the TSG of this pathway and that can also be mutated
36
What are the ways in which TSG can be alterred and lose function?
* Can be mutated such that only non fucntional genes can be expressed * can be deleted so that no protein is expressed * or cna be dna methylated so no protein can be expressed
37
What a micro-RNAs (miRNAs)
* tiny miRNAs that form secondary structures that can be stabilised and function to regulate transcription and translation * some miRNAs have been found to be produced too much and some have been seen to be produced not enough and have resulted in either too much oncogene transcription/translation or not enough transcription/translation of a tumou supressor gene
38
What is special about Retinoblastoma (eye cancer)?
* single gene cancer which demonstrates clearly the loss of heterozygosity theory * we can have a individual who is a carrier can then get a somatic second hit" mutation and can get the disease through loss of heterozygosity * seems as though the first mutation makes the second mutaiton occuring more likley
39
What is the function of p53?
* mutated in many tumours-50% * is a TSG * p53 is called the gaurdian of the genome and it functions to regulate the expression of many cell cycle factors and can initiate * apoptosis * cell-cycle arrest * DNA repair * Differentiation * Senescence
40
Draw and decribe the cell cycle
* red bars are control points ussually involving p53 and Rb genes where they check if there are errors * Ras and Myc (oncogenes) block the function of the TSG
41
What are the two pathways of cell apoptosis?
* Ligand receptor mediated mechanism (Fas/FasL)-**extrinsic apoptosis** pathway utilizing caspases to result in cell death * **Intrinsic pathway** which involves radiation or chemicals causing DNA damage. Mitochondria then leak out cytochrome c which activates caspases as well though **APAP-1** * In this pathway **BAX** are promotes it whilst **BCL-2** prevent progression * These factors in bold can be up-regulated or down-regulated resulting in less progression of this apoptotic pathway and thus tumour cell survival
42
What is the function of telomeres and what occurs concerning this in cancer?
* Telomeres is a sequence that protects DNA from degradation stops the shortening of the chromosomes * Because DNA replication primers are required to bind so loses a bit of DNA each time we replicate * Telomeres act as buffers * Cancer cells maintain high telomerase activity and immortalize themselves
43
What are the important step of metastasis?
* dettachment of tumour cells from eahc other * degredation of ECM * Attachment to novel ECM components * Migration of tumour cells
44
What are some of the molecules that are changed in a tumour cell that allows it to metastasis?
* modification to the cell glues: * Catenins, Integrins and Connexins * these factors are deregulated in tumour cells so that it can escape its environment and migrate
45
Angiogenesis
* Production of new blood vessels in tumour growth * VEGF and VEGFR are important for this
46
Cancer stem cells
* With conventional therapy the cancer initiating cells which are undifferentiated and have ability to mutate and avoid therapy * If we target the stem cell though we can prevent further escape of the cancer
47
What is intraepithelial neoplasia?
* changes in the epithelium * accumulation of mutations in some of the epithelial cells * may see some pleimorphic nuclei and some mitotic figures * this is called dysplasia or **intraepithelial neoplasia** * thought to be pre-malignant * When changes become more significant we get **in situ neoplasm** * can also see architectural disorganization now * Then we may get further mutations resulting in expression of a matrix metallaproteinase or the loss of expression of some adhearance molecules, integrins, catenins, connexins etc. This is now a **invasive neoplasm**
48
Grading of the premalignant tumours please explain
* grading is done of the pre-malignant-dyplastic or intraepithelial neoplastic tummours * grade is less severe * grade 3 corresponds to in situ carcinoma * higher grades indicate liklihood to progress to metastatic malignat growth * kno that all grades are still classified as benign * cna trat before they progres though-pap smear etc
49
What can be the result of a pre-malignant-dyplastic tumour in the gladular epithelium
Can result in the formation of a polyp
50
Are Hyperplasia and Metaplasia neoplastic?
* No they are normal cellular processes * although pathological metaplasia can lead to t initiation of maliganant transformation in the metaplastic epithelium * and hyperplasia can result in an increased risk of mutations developing
51
What are the chances of benigh lesion becoming malignant? What are the chances of intraepithelial lesion becoming malignant?
* Everyday benign lesion have a lower chance of becoming malignant * Intraepithelial neoplasias are regarded as pre-malignant and so have a higher risk
52
Why is weight loss occur in cancer?
* Production if TNF-alpha and IL-1 increase metabolic rate and casue weight loss * these cytokines can be produced by macrophages in tumour environment or the tumour cells themselves
53
What a paraneoplastic effects
* Endocrine effects * excess production of hormones by tumours or hormones produced in areas where they would not normally be: * ACTH production in the lung leading to cushings syndrome * Hypercalceamia can result form tumours producing PTH (parathyroid hormone causes breakdoen of bone) * cancers that can reuslt in this include, squamous cell carcinoma of lung, breast carcinoma, renal cell carcinoma, adult T cell leukeamia/lymphoma
54
Hypercalceamia due to cancer How does that occur?
Hypercalceamia can result form tumours producing PTH (parathyroid hormone causes breakdoen of bone) Cancers that can reuslt in this include, squamous cell carcinoma of lung, breast carcinoma, renal cell carcinoma, adult T cell leukeamia/lymphoma
55
What are some of the clinical features of malignancy?
* Paraneoplastic effects * Immunogenic * dermatologic, neural and muscular syndromes * Nephrotic syndrome * Other * clubbing and hypertrophic osteoarthropathy (unkown mechanism) * vascular and haematologic * venous thrombosis (?production of procoagulent factors) * non-bacterial thrombotic endocarditis
56
What are some of the clinical features of Lung cancer?
* Local effects of primary tumour: cough, heamoptysis, wheeze, dyspnoea, pneumonia, Pancoast's syndrome, etc * Effects if metastases e.g. * bone pain or features releated to hypercalcaemia * Jaundice * Seizures * Weight loss, anorexia * Paraneoplastic: many (particularly small cell carninoma)
57
What are some investigations that are done when cancer is suspected?
* Clinical history and examination * Blood tests where relevant e.g. * Haemoglobin level-may be aneamic-colon canccer and blood loss in colon * Liver function tests * Tumour markers: * May aid diagnosis, more useful in follow-up * Not specific * Not elevated in every case * E.g. * Prostate specific antigen * Carcinoembryonic antigen (CEA) * Often also elevated in non cancers as well * Alpha fetoprotein **Radiology** * X-rays, CT, US etc * investigation of primary * staging * follow up * endoscopy * visualisation and biopsy * Other **Tissue sampling** * Histopathological diagnosis essential for confirming malignancy * Also for assesing other features important for determining prognosis and managment * **Biopsy**: sampling of tissues for daignosis, various techniques: * pathologist assesses cytological features, architecture, stroma etc under microscope to distinguish benign from malignant lesion and determine the cell lineage of the tumour * Subsequent surgical resection specimen also sent for pathological assessment **Tissue sampling-techniques** * Cytology: fine needle aspiration or exfoliative cytology * may not have an appreciation of the architecture * Histopathology * H and E * special stains * Immunohistochemistry * Molecular and cytogenic techniques including * in situ hybridisation * polymerase chain reaction * chromosomal rearrangements * Other-flow cytometry
58
Cytology vs Histopathology
* Histopathology allows appreciation of the architecture of the tissue * cytology breask up the cells so you just look at the cells in isolation as the architecture is disturbed
59
What is the classification of lung carcinomas (main types)
We broadly classify into two groups: * "Non-small cell" carcinoma * squamous cell carcinoma * adenocarcinoma-most common * large cell (undifferentiated) carcinoma * Neurodendocrine carcinoma * small cell carcinoma * very agresssive
60
Explain the Dysplasia carcinoma progression in lung cancer
* We get lung damage (ciggarates, inhaled asbestos etc) * we get stratified squamous cell metaplasia * and then becasue of more carcinogens in smoke we cna get dysplasia * and then we get invasive stratified squamous carcinoma * this can occur in other tissues too
61
Firm tumours would be more
* desmoplastic, i.e. more stroma
62
63
What do we do if tumour cannot be identified on H&E?
* Can use immunohistochemistry * Can use **brown stain** which uses an S100 antibody (S100 is produced by skin cells) * so seeing S100 staining is indicative of a melanoma * Can also use * LCA antibody-Leukocyte common antigen * CAM5.2 is a epithelial marker * So can do multiple stains to see what it is
64
How do we stage a cancer
* progression of the maliganncy in terms of local spread and metastisis * size and depth of invasion and local extent of primary tumour and location and extent of metastases * determined by a commbination of radiological and pathological assessment * **TNM method is commonly used** * T: extent of primary tumour: T0-T4 indicating increasing size and/or local extent of the primary tumour * N: regional lymph node metastases: N0-N3: indicating increasing extent of regional lymph node metastases * M: absence or presence of distant metastases: M0-M1 * X indicates cannot be assessed or unknown e.g. NX * The T, N and M components are then combined to give a stage grouping with 4 stages, with stage IV generally indicating distant metastases. TNM stage parameters differ by organ site
65
What are the main prognostic factors looked at?
* type * grade * stage * vascular invasion
66
What are some examples of predictive factors?
* Predict likely response to certain therapies: * HER2 amplification in breast cancer * may respond to anti-HER2 drugs * Oestrogen and progesteron receptors in breast cancer * can be treated with ant-oestrogen drugs
67
Management options for cancer?
* Surgery * Radiotherpay * Chemotherpay * targetted therapy * immunotherapy * bone marrow transplant
68
Provide some exapmples of targetted therapy
* Anti-HER2 antibodies * Adenocarcinomas (some) often have a mutation in the EFGR receptor * this leads to constant activation * so a targetted therapy has been developed (erlotonib) which inhibits EGFR tyrosine kinase and thus reducing signalling and the drive for cell proliferation
69