Week 2 Flashcards

(131 cards)

1
Q

What are the functions of blood films?

A

Detecting blood cell abnormalities or if patients have disease detectable in blood cells e.g. malaria

How well did you know this?
1
Not at all
2
3
4
5
Perfectly
2
Q

What information do blood films give and when are they requested?

A

Information on RBCS, WBS and platelets
When a patient has returned from a country where a disease is endemic
Usually performed with full blood count

How well did you know this?
1
Not at all
2
3
4
5
Perfectly
3
Q

What is a white cell differential and what is it used for?

A

Shows the proportions of WBCs in blood
Helps determine type of infection (bacterial, viral, parasitic)

How well did you know this?
1
Not at all
2
3
4
5
Perfectly
4
Q

How would you do a blood film?

A
  1. Take two microscope slides and clean them with ethanol on tissue
  2. Place one drop of blood on one end of one of the slides - creates monolayer to examine microscopically
  3. Hold the other slide at a 45 degree angle and slide it on the other slide until it reaches the blood
  4. Draw back the slide along the other slide
  5. Slide is then dried
How well did you know this?
1
Not at all
2
3
4
5
Perfectly
5
Q

What effect is seen on the slide when doing a blood film?

A

Feathered effect

How well did you know this?
1
Not at all
2
3
4
5
Perfectly
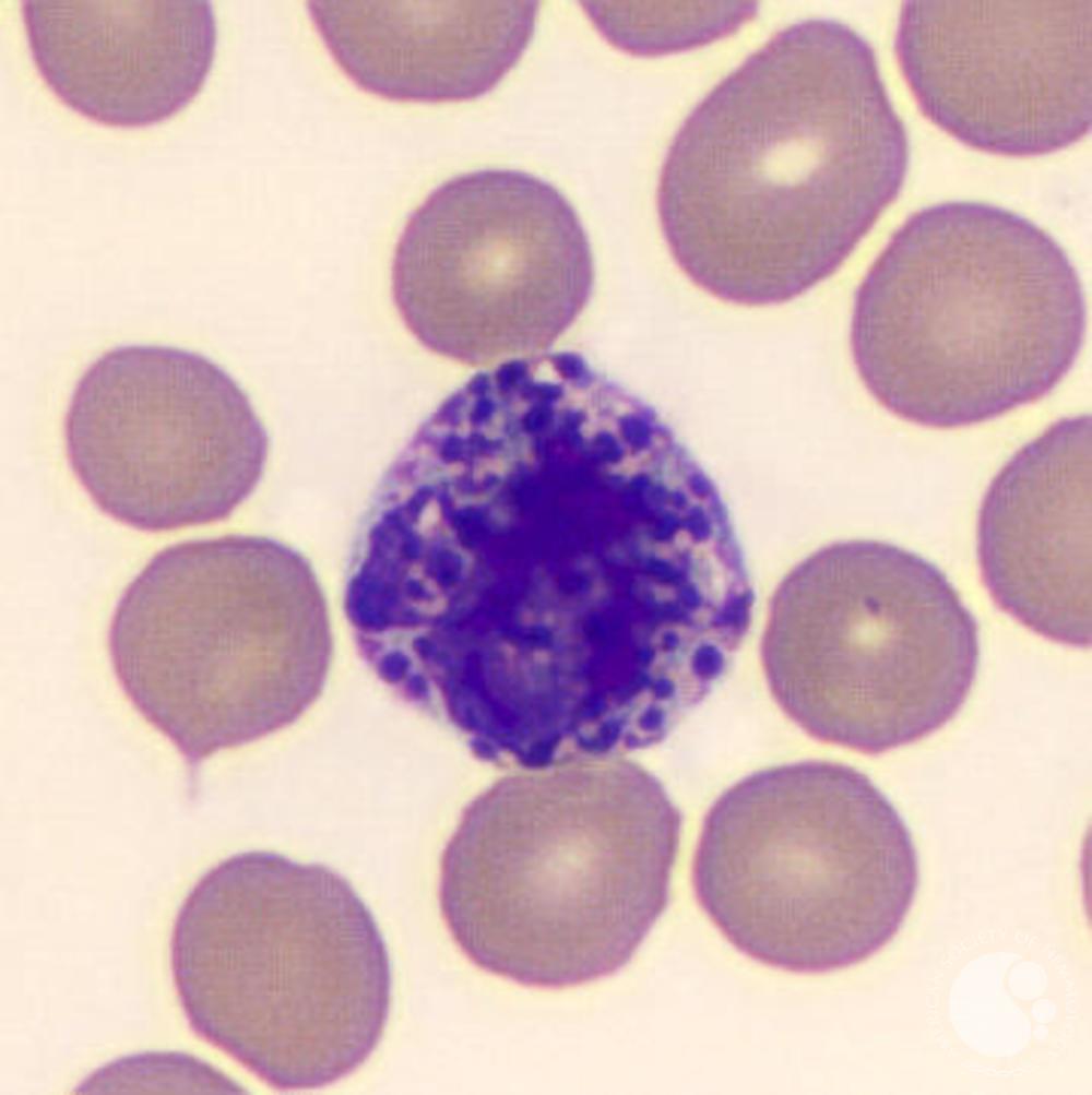
6
Q

Which type of WBC is this?

A

Eosinophil - bilobed nucleus

How well did you know this?
1
Not at all
2
3
4
5
Perfectly
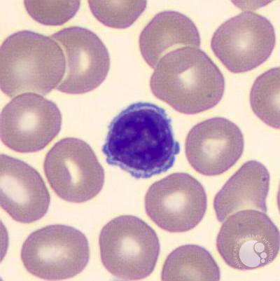
7
Q

Which type of WBC is this?

A

Lymphocyte: large nucleus, not grainy

How well did you know this?
1
Not at all
2
3
4
5
Perfectly
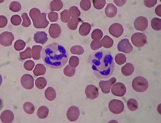
8
Q

Which type of WBC is this?

A

Neutrophil - multi lobed nucleus

How well did you know this?
1
Not at all
2
3
4
5
Perfectly
9
Q

Which type of WBC is this?

A

Basophil - grainy, single nucleus

How well did you know this?
1
Not at all
2
3
4
5
Perfectly
10
Q

Which type of WBC is this?

A

Monocyte - kidney bean nucleus

How well did you know this?
1
Not at all
2
3
4
5
Perfectly
11
Q

What is the difference between gram positive and gram negative cell walls?

A

Gram positive have a thicker peptidoglycan wall

How well did you know this?
1
Not at all
2
3
4
5
Perfectly
12
Q

What is the order of stains in gram staining and what colour are they a each stage?

A

Crystal violet: put on both samples then washed, both purple
Grams iodine: traps dye in cell, incubated then washed, both purple
Ethanol: decolours gram negative bacteria, rinsed with water, neg = colourless, positive purple
Safranin: pink counterstain, gram pos purple, neg pink

How well did you know this?
1
Not at all
2
3
4
5
Perfectly
13
Q

What should always be performed when doing gram staining and why?

A

Controls: to ensure staining process has been carried out correctly

How well did you know this?
1
Not at all
2
3
4
5
Perfectly
14
Q

Why is gram staining done?

A

To identify which type/species of bacteria is present

How well did you know this?
1
Not at all
2
3
4
5
Perfectly
15
Q

Which type of parasitic egg is this?

A

Trichuriasis

How well did you know this?
1
Not at all
2
3
4
5
Perfectly
16
Q

Which type of parasitic egg is this?

A

Schistosomasis

How well did you know this?
1
Not at all
2
3
4
5
Perfectly
17
Q

What type of parasitic egg is this?

A

Ascaris

How well did you know this?
1
Not at all
2
3
4
5
Perfectly
18
Q

Why is oil immersion used?

A

Used with light microscope to see bacteria to give x1000 magnification , prevents

How well did you know this?
1
Not at all
2
3
4
5
Perfectly
19
Q

How can the immune system be improved to reduce disease caused by an infection?

A

By getting the infection/vaccinayion

How well did you know this?
1
Not at all
2
3
4
5
Perfectly
20
Q

Which virus has been made extinct through vaccination?

A

Smallpox

How well did you know this?
1
Not at all
2
3
4
5
Perfectly
21
Q

Give examples of things there are vaccinations for

A

Flu, cholera, polio, chickenpox, hep B

How well did you know this?
1
Not at all
2
3
4
5
Perfectly
22
Q

Examples of some physical barriers to infection?

A

Epithelial cells joined by tight junctions
Movement of mucus by cilia
Normal flora
Low ph in gut

How well did you know this?
1
Not at all
2
3
4
5
Perfectly
23
Q

Where are WBCs made?

A

the bone marrow - mostly pelvic area in adults, leg bones in children

How well did you know this?
1
Not at all
2
3
4
5
Perfectly
24
Q

Which cells are produced from a common myeloid progenitor?

A

Erythrocytes, megakaryocyte, mast cells, myeloblasts, basophils, neutrophils, eosinophils and monocytes

How well did you know this?
1
Not at all
2
3
4
5
Perfectly
25
Which cells are produced from a common lymphoid progenitor?
NK cells, T and B lymphocytes
26
Where do T lymphocytes mature and why?
Thymus - checked to ensure they aren't auto reactive and won't cause autoimmune disease
27
List the WBCs in order of most prominent in blood to least.
Neutrophils (65%), lymphocytes (30%), monocytes (5%), eosinophils (2%), basophils (0.5%)
28
How long do neutrophils, eosinophils, basophils, monocytes and b and t lymphocytes live?
N - 7 hours E - 8-12 days B - few hours to few days M - 3 days BT - years
29
How do neutrophils carry out their function?
Chemotactic and phagocytic: chase and eat bacteria
30
Which cells leave the blood and take up long term residence in tissues and why?
Dendritic cells, macrophages, mast cells They survey the tissue to ensure its healthy and there is no presence of infection/not damaged If infection sensed then they protect the body
31
Name some secondary lymphoid organs.
Tonsils, adenoids, Peters patches of intestines, appendix, lymph nodes
32
Which cells are involved in the innate immune response?
Mast cells, NK cells, basophils, neutrophils, eosinophils, monocytes
33
Which cells are involved in the adaptive immune response?
T and B lymphocytes
34
What is inflammation?
A reaction of the body to damage to its cells and vascularised tissue
35
What are the aims of inflammation?
- Expel foreign body/infection - Prevent metastasis - Structural/functional repair
36
What are the 5 clinical features of inflammation?
Redness/rubour: vasodilation Heat/calor: vasodilation and fever Swelling/tumor: fluid in ECM Pain/dolor: pain mediators e.g. serotonin Loss of function/functio lasea: limb movement inhibited by pain/swelling
37
What are some cells/molecules that can induce inflammation?
Bradykynin: pain mediator produced in fibrinolysis C5a: produced in complement and causes inflammation Mast cells release histamine which can cause inflammation, also cytokines e.g. IL-6 and TNF which cause inflammation
38
Function of macrophages?
Phagocytose pathogens and kill with acidic/degregative lysosomes
39
How do macrophages/neutrophils recognise and kill?
They have phagocytic receptors that bind microbes and their components The bound material is internalised in phagosomes and broken down in phagolysosomes
40
Function of Toll Like Receptors (TLRs)?
Recognise different PAMPs (pathogen associated molecular patterns) They then activate macrophages/dendritic cels to cause an immune response
41
How can inflammation be bad?
They can sometimes outlive the threat they're dealing with, causes more damage to the body than the infection would have caused e.g. allergies, autoimmune disease
42
Which diseases does inflammation underly?
Cancer, diabetes, alzheimers, arthritis
43
Which systems is the lymphatic system a part of?
Circulatory and immune
44
What is capillary filtration?
Plasma (liquid part of blood) is continuously removed from and returned to blood vessels
45
What is interstitial fluid?
Plasma not returned to blood vessels after capillary filtration, returned to lymphatic vessels instead
46
What makes up the lymphatic system?
Lymphatic vessels, lymph, primary and secondary lymphoid organs
47
What are the functions of the lymphatic vessels?
Drain lymph back into blood
48
Where does lymph drain?
Right upper body: right subclavian vein Left upper body and lower body: left subclavian vein
49
Functions of lymph?
Transports immune cells Removes waste products Transports proteins and fats from digestive system
50
Where do B lymphocytes mature?
Bone marrow and then spleen/lymph node
51
Function of lymph nodes in lymphatic system?
Drains lymph and collects antigens Activates immune response
52
What is microbiology?
The study of microorganisms and their relationships with humans
53
What is a microorganism?
Any organism/replicating entity of microscopic size.
54
What are three classifications of cellular microorganisms?
Bacteria, fungi, protazoa
55
What are 2 classifications of acellular microorganisms?
Viruses and prions
56
What type of DNA do prokaryotes have?
Single, circular DNA
57
Draw a diagram of bacteria
58
What form is DNA in in bacteria?
Long circular form +/- plasmids
59
Are bacteria pro/eukaryotes?
Single celled prokaryotes
60
What makes bacteria gram stain unreliable?
Very small, atypical life cycle, atypical structure PCR may be used instead
61
Name common GP cocci
Staphylococcus aureus Streptococcus pneumoniae
62
Name common GP rod
Listeria monocytogenes Corynebacterium diphtheriae
63
Name common GN cocci
Nesseria meningitis
64
Name common GN rods
E coli Salmonella
65
What is colonisation?
Symbiotic and natural living arrangements between 2 species which may be beneficial and doesn't cause harm
66
What are benefits of colonisation?
Competition inhibits infection establishment Vitamins K and b in the gut are produced Immune stimulation
67
Where in the body is most flora found?
Colon
68
What are some examples of sterile body sites?
Blood, tissues, organs CNS Lower respiratory tract Sinuses Eye
69
What is infection defined as?
Colonisation +/- multiplication of pathogens or organisms that may cause harm in a vulnerable host +/- disease
70
What is a nosocomial infection?
Hospital acquired infection
71
What are endotoxins and where are they found?
Bacteria that illicit strong immune response and make patients appear septic Lipopolysaccharide in gram neg bacteria
72
How are exotoxins produced, where and what do they cause?
Produced intracellular and release as mature toxins on infection Gram pos bacteria (staph A, strep P) Toxic shock syndrome
73
What are some host and environmental factors causing infection?
Age, gender ethnicity, nutrition Drugs Immunocompromise Precense of foreign objects Vaccination history Crowding, sanitation
74
What is classed as microbiological emergencies?
Infection of sterile site Meningitis Septic arthritis Eye infections
75
What are some SIRS markers in sepsis?
2 of: Temp outside 36-38 C HR > 90 RR > 20
76
What is sepsis, severe sepsis and septic shock?
Sepsis: sirs with infection present Severe: sepsis with organ hypo perfusion e.g. hyperaemia, oliguria, acidosis Shock: severe sepsis with hypotension despite fluid resuscitation
77
Draw the chain of infection.
78
What are the first defences to infection in the body?
Epithelium Cilia Mucus Defensins
79
What are defensins?
Ppetides produced by neutrophils and macrophages that defend against infection
80
What is opsonization?
The process of making a foreign cell more susceptible to phagocytosis
81
What are three outcomes of complement?
- inflammatory cells recruited - opsonization of pathogens - killing of pathogens
82
What is complement?
A cascade of proteins in serum Activated by antibody or molecules from pathogens Amplifies inflammatory response Kills pathogens directly or attracts immune cells
83
What does higher numbers of neutrophils indicate?
Bacterial infection
84
What do primary neutrophil granules contain?
Bcatericidal enzymes: - lysozyme - proteases myeloperoxidase
85
What do secondary neutrophil granules contain?
- lysozyme - collegenase lactoferrin
86
How exactly do neutrophils destroy bacteria? Dependent on?
- phagosome fuse with granules to destroy internalised bacteria oxygen dependent respiratory burst
87
What are psuedopodia?
Finger like projections encapsulating apoptotic cells in macrophages
88
What are macrophages activated by? What do they develop from?
Inflammation Precursors in tissues
89
What is the difference between innate and adaptive immunity?
Innate: always present, ready to attack Adaptive: stimulated by exposure to microbe, more potent
90
Function of lymph nodes?
Initiates immune response Antigen arrives via lymph and communicate with naive b and t cells
91
What is the humoral immune response?
Antibodies from B cells target foreign cells
92
What is the cell mediated immune response?
T cells attack and kill other cells
93
Why is clonal selection theory necessary?
To remove self reactive t cells that may cause autoimmunity
94
Describe cloncal selection theory
A single progenitor cell gives rise to large number of lymphocytes with different specificities Removal of potentially self reactive immature lymphocytes by clona detecion in primary lymphoid organs Mature naive lymhocytes are circulated to secondary lymphoid organs Proliferation of activated specific lymphocytes forms clones of effector cells - by antigen in secondary lymphoid organs
95
What are the first defences to infection?
epithelium mucus cilia defensins
96
What is complement?
A cascade of proteins in serum which amplifies the inflammatory response - forms complex which is inserted into wall of bacteria to kill them
97
What are the triggers and results of complement?
Triggered by antibodies or pathogen surfaces Can recruit inflammatory cells, opsonize pathogens or kill pathogens
98
What is opsonization of pathogens?
Making the bacteria more susceptible to be phagocytosed by making it sticky
99
Which part of antibodies binds antigens?
The v/varible region at the end of the antibody
100
Which part of the antibody binds cells?
The bottom c/constant section
101
What are the things antibodies recognise called?
Epitopes
102
What makes antibodies able to bind to things easily?
Sticky and specific
103
What do antibodies do?
Agglutination: clump bacteria together to enhance phagocytosis by decreasing units to deal with Opsonization: coating antigen with antibody enhances phagocytosis Activates complement
104
What are functions of helper T cells?
Produce cytokines to direct the immune response by recognising antigen presented in MHC II on surface of APCs
105
What is the function of cytotoxic t cells?
Kill infected cells by recognising antigen presented in MHC I on many cells
106
Which surface molecules are on each T cell?
Helper: CD4 Killer: CD8
107
What is anamnesis?
Secondary enhanced response to antigen that the body has previously ancountered
108
What happens in immunological memory?
More cells ready to respond Cells easier to activate Cells more efficient
109
How is ebola transmitted?
bodily fluid e.g. sweat, kissing, hugging
110
Which infection can cause microcephaly?
zika virus
111
how is monkeypox transmitted? symptoms?
bodily fluids/close contact fever, malaise, then rahs
112
what does malaria look like in RBCs?
circles or like plasmids
113
when does malaria virus cause fever?
when they erupt in RBCs
114
what happens when you have cerebral malaria?
death
115
how is elephantitis, yellow fever, dengue, zika and west nile virus transmitted?
mosquitoes
116
which infection is transmitted by fleas?
plague
117
what infection is transmitted by sandflies?
leishmaniasis
118
which disease is transmitted by tsetse flies?
african trypsomanisis
119
which diseases are transmitted by ticks?
relapsing fever lyme disease
120
how do kissing bugs cause disease?
feeds fron your lips defecates on you parasites enter cells causing chronic intestinal problems
121
how is cholera transmitted?
contaminated water
122
name some water borne disease
salmonella e coli shigella enterovirus
123
which drug is used against schistosomiasis?
praziquantel
124
how to prevent cholera?
purify and boil water filter water use bottled water avoid salad washed in water
125
which 3 signals do t cells require to activate?
antigen presented in the context of MHC surface molecule costimulation cytokines
126
function of baterial capsule?
allows it to avoid phagocytosis
127
function of pilli on bacteria?
allows attachemnt to host cells to transfer genetic material
128
how do bacterial infections occur?
- bacteria enter via portal of entry - pill stick to host cells - adhesins on pilli bind to specific receptors on host cells - bacteria produce toxins to kill immune cells - leave through feces, coughing etc.
129
Which cells present MHC II?
dendritic cells macrophages B cells
130
what is the first antibody produced in response to infection?
IgM
131
Which cells present MHC I?
all nucleated cells