Week 2 Flashcards

(237 cards)

1
Q

Label the female reproductive tract

A
How well did you know this?
1
Not at all
2
3
4
5
Perfectly
2
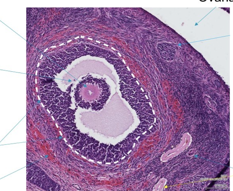
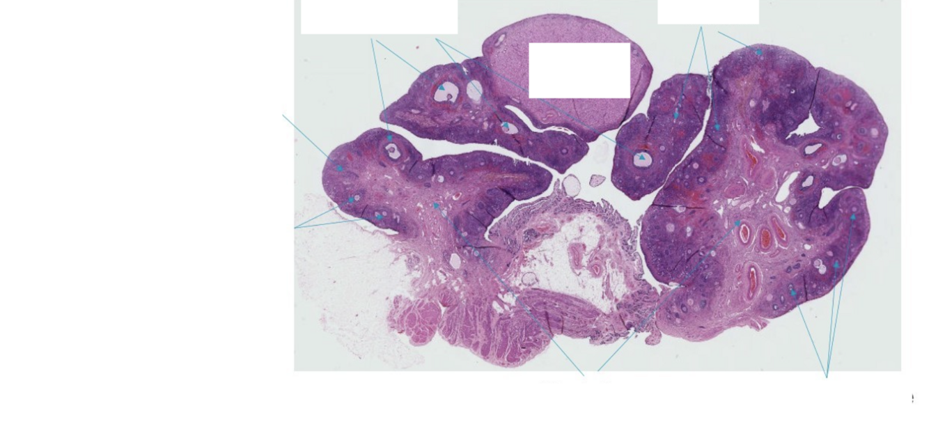
Q

Label the ovary histology

A
How well did you know this?
1
Not at all
2
3
4
5
Perfectly
3
Q

Describe the cells of follicular development

A
How well did you know this?
1
Not at all
2
3
4
5
Perfectly
4
Q

What kind of follicle is this

A

Primordial

Primary oocyte surrounded by simple squamous epithelial granulosa cells

How well did you know this?
1
Not at all
2
3
4
5
Perfectly
5
Q

What kind of follicle is this

A

Primary follicle

First developmental stage of growing follicle
Primary oocyte surrounded by simple cuboidal epithelial granulosa cells

How well did you know this?
1
Not at all
2
3
4
5
Perfectly
6
Q

What kind of follicle is this

A

Secondary follicle

Granulosa cells proliferate & form stratified epithelium (multiple layers of granulosa cells)

How well did you know this?
1
Not at all
2
3
4
5
Perfectly
7
Q

What kind of follicle is this

A

Early antral follicle

Characterised by fluid-containing cavity (antrum)
Theca cells differentiate into 2 layers

How well did you know this?
1
Not at all
2
3
4
5
Perfectly
8
Q

What kind of follicle is this

A

Antral follicle

Granulosa cells form thickened mound (cumulus oophorus) which projects into antrum

How well did you know this?
1
Not at all
2
3
4
5
Perfectly
9
Q

What is corpus haemorrhagicum

A

early corpus luteum

How well did you know this?
1
Not at all
2
3
4
5
Perfectly
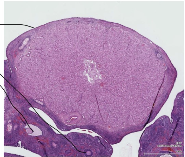
10
Q

Label the corpus luteum histology (bovine)

A
How well did you know this?
1
Not at all
2
3
4
5
Perfectly
11
Q

Label the ovary cross section

A
How well did you know this?
1
Not at all
2
3
4
5
Perfectly
12
Q

Where would you find primordial & primary follicles

A

in cortex near ovarian surface epithelium

How well did you know this?
1
Not at all
2
3
4
5
Perfectly
13
Q

Label the antral follicle

A
How well did you know this?
1
Not at all
2
3
4
5
Perfectly
14
Q

Label the corpus luteum

A
How well did you know this?
1
Not at all
2
3
4
5
Perfectly
15
Q

What cell types in the CL produce progesterone

A

small & large luteal cells

How well did you know this?
1
Not at all
2
3
4
5
Perfectly
16
Q

What are the origins of small and large luteal cells

A

Theca (small)
Granulosa (large)

How well did you know this?
1
Not at all
2
3
4
5
Perfectly
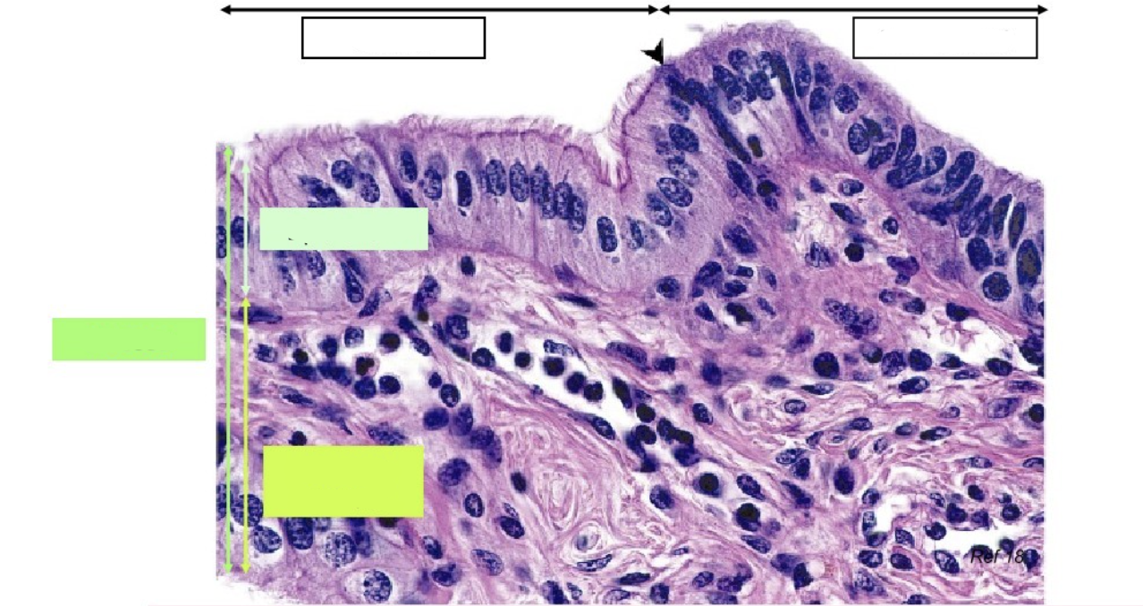
17
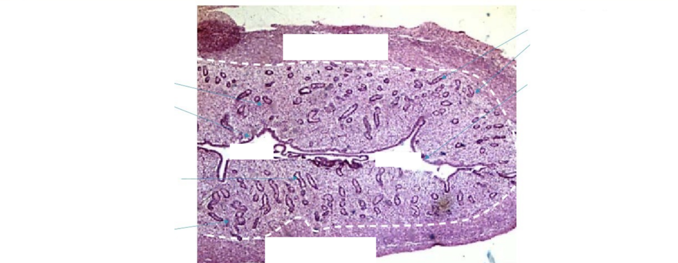
Q

label the layers of the oviduct wall

A
How well did you know this?
1
Not at all
2
3
4
5
Perfectly
18
Q

Label the uterine tube (oviduct)

A
How well did you know this?
1
Not at all
2
3
4
5
Perfectly
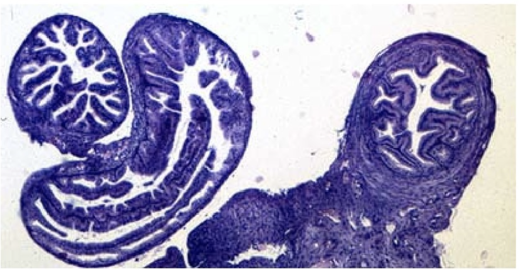
19
Q

What parts of the uterine tube are shown

A
How well did you know this?
1
Not at all
2
3
4
5
Perfectly
20
Q

What are the 3 layers of the uterus wall

A
How well did you know this?
1
Not at all
2
3
4
5
Perfectly
21
Q

Label the uterus

A
How well did you know this?
1
Not at all
2
3
4
5
Perfectly
22
Q

Label the uterus

A
How well did you know this?
1
Not at all
2
3
4
5
Perfectly
23
Q

What hormone suppresses oestrus and why

A

Progesterone

To prepare uterus for pregnancy. Blocks LH surge (further ovulation)

How well did you know this?
1
Not at all
2
3
4
5
Perfectly
24
Q

What does FSH do in dioestrus

A

stimulates development of antral follicles

How well did you know this?
1
Not at all
2
3
4
5
Perfectly
25
Draw graph of progesterone & FSH in oestrus cycle
26
Describe the cow oestrous cycle
21 day oestrous cycle 17 day luteal phase 3 days proestrus (falling progesterone) 1 day standing oestrus LH surge mid-oestrus - ovulation 24 hours after LH surge - thus ovulation 12h after end of oetrus
27
When to mate a cow
28
Fill in the table
29
Describe timing of insemination/mating in cow
detecting problem because they dont show a lot of signs
30
Describe timing of insemination/mating in ewe
31
Describe timing of insemination/mating in sow
32
Describe timing of insemination/mating in mare
hard to predict because length is so variable
33
Describe timing of insemination/mating in bitch
obligatory anoestrus after oestrus so problem if opportunity is missed
34
Describe oestrous behaviour in cows
standing to be mounted is golden standard (optimum timing) Bloody discharge on tail shows she was in oestrus 2-3 days ago (not menstruation)
35
why is oestrous detection in cow critical
36
What are some key strategies for oestrous detection in cow
Examine cow >4x per day for >30 min (not when they come in for milking or feeding as they might be distracted) Classic detection aids (change color) Remote/electronic aids (monitors position) Van Eerdenburg's scoring
37
How can oestrous be detected in cow by clinical assessment
1. low plasma/milk progesterone (indicates oestrous is imminent if previously high) 2. clinical detection of large dominant follicle in absence of CL
38
What factors might inhibit oestrous behaviour in cow
39
What hormones can be used to synchronise ovulation (for AI)
GnRH & PGF2a
40
What are signs of oestrous in ewe and how is it detected
41
What are signs of oestrous in sow
42
What are signs of oestrous in mare and what are some important considerations
43
How can oestrous be detected in mare by clinical assessment
44
What are signs of prooestrus and oestrus in bitch
45
How can oestrous be detected in bitch by clinical assessment
1. assessment of vaginal epithelial cells (shape changes as she comes into oestrus) - assessment of vulval softening - examination of appearance of vaginal wall 2. plasma progesterone concentrations - detecting rise in progesterone that precedes ovulation - follicles release progesterone just before ovulation
46
describe oestrous and its signs in the queen
Has to mate to have LH surge - driven by mating not hormones (often need multiple matings for surge)
47
What features of this cat indicate that she might be in oestrus
48
What is anoestrus
Period where oestrus doesnt occur (not cycling) Can be normal process Pigs anoestrus until piglets are removed, mare in winter and dogs after luteal phase
49
What are some reasons for anoestrus occuring (physiological & pathological)
50
What is silent oestrus
51
Describe silent oestrus in dairy cows
52
List the 2 gonadotrophins and their functions
53
Where are the gonadotrophins (LH & FSH) produced
54
How is the production/release of LH & FSH (gonadotrophins) controlled
controlled by GnRH, inhibin, oestradiol
55
Draw the female HPO axis
56
Draw the hormones of a typical 21 day oestrus cycle
57
What stages of oestrus cycle are in follicular phase
58
What stages of oestrus cycle are in luteal phase
59
Draw a schematic representation of polyoestrus cyclicity
60
Draw schematic representation of pregnant vs non-pregnany sow
61
Describe bitch oestrus cycle
non-seasonal monoestrus (7 month interval between oetrus) spontaneous ovulator
62
Draw schematic representation of oestrous cycle of bitch
63
What is the role of prolactin in the bitch
64
How can termination of the luteal phase of bitch be achieved
65
Describe pseudopregnancy in bitch
66
Draw a progesterone profile during non-pregnant luteal phase of cow vs bitch
67
Describe cat oestrus
Seasonal (long day breeder) polyoestrus induced ovulator (also ferret & rabbit) - absence of stimulation = ovulation doesnt occur - absence of ovulation = regression of follicles & no luteal phase
68
Which phase is longer follicular or luteal
Luteal
69
Fill in the oestrus cycles characteristics table
70
Describe ovarian cysts
No/small LH surge: - Poor follicle quality with low oestradiol production --> insufficient negative feedback on the hypothalamus and pituitary gland. - Stress or nutritional deficits can also impair GnRH release Follicular type characteristics: - prolonged production of estrogen by the cystic follicle --> constant estrus or hyperestrogenism. Luteal type characteristics: - Derived from the corpus luteum, these cysts produce progesterone, which suppresses estrus behavior, resulting in no evident signs of heat.
71
What causes anovulatory anoestrus
tiny ovaries
72
What causes persistent corpus luteum
luteolysis gone wrong (not enough prostaglandin)
73
Label the ovary
74
What are the 2 major structures of the ovary
75
What takes longer preantral or antral follicle growth
Preantral (months) compared to antral (days-weeks)
76
Describe antral follicle selection
77
Describe oocyte growth & communication
zona pelludica protects oocyte
78
What are the phases of antral follicle growth
1. recruitment (of small antral follicles) 2. selection (medium) 3. dominance (large) Most follicles die by atresia
79
Describe antral follicle recruitment
80
Describe antral follicle dominance
81
Describe what is happening here
82
In what stages of follicle growth are these follicles
83
How is follicular oestradiol produced
84
Describe FSH & LH in oestradiol production
Theca cells have LH receptor LH binding to receptor causes cholesterol to be converted to testosterone Testosterone goes into granulosal cell FSH binds to FSH receptor in granulosal cell and causes testosterone to be converted to oestradiol
85
Describe hormones leading to ovulation
86
Describe the role of PGE2 and PGF2a in ovulation
Preovulatory LH surge causes increase in PGE2 and PGF2a PGE2 => increased blood flow to ovary and dominant follicle => oedema => increased follicular pressure => ovulation PGF2a => release of lysosomal enzyme which weakens follicular wall and increased contraction of ovarian smooth muscle which increases follicular pressure => ovulation
87
Describe oocyte maturation
88
Where does the corpus luteum grow from
remnants of follicle
89
Define luteinisation
90
role of LH
pituitary hormone causes ovulation & subsequent development & maintenance of CL
91
Define luteotroph
hormone that stimulates CL (e.g. LH)
92
define luteolysis
process whereby luteal tissue undergoes regression & cell death
93
define luteolysin
a luteolytic factor
94
describe the formation of the CL
95
In what stage is the CL
early also termed corpus haemorrhagicum blood clot on follicular cavity soft & pliable already producing low level of progesterone
96
In what stage is the CL
developing
97
In what stage is the CL
Mature max progesterone production closed at the top
98
In what stage is the CL
Regressing Irreversible CL's take long time to regress Corpus aldicans = scars from regressing CL's
99
What are some luteotrophic hormones
100
How is progesterone produced in CL
101
What are the target organs for progesterone
uterus hypothalamus mammary
102
What are the functions of progesterone
103
What does luteolysis enable
1. release from negative feedback on GnRH 2. pre-ovulatory follicular development --> ovulation 3. return to oestrus
104
Describe the structural & functional regression of CL
105
What is the key luteolytic hormone
prostaglandin F2a
106
In ruminants, pigs & horses, luteolysis requires hormonal communication between what structures?
107
How is luteolysis initiated
108
Describe the utero-ovarian vascular counter current system for local delivery of PGF2a
1. prostaglandin synthesis by uterine endometrium is released into uterine branch of ovarian artery 2. PGF is picked up by ovarian artery & delivered back to ovary where it causes lysis of CL
109
Describe CL sensitivity to PGF2a
110
Draw CL sensitivity to prostaglandins across species
111
Describe the 4 phases of oestrous cycle of cows
112
What are the ovarian changes that occur during the different phases of the oestrous cycle?
113
What are the uterine changes that occur during the different phases of the oestrous cycle?
114
Explain how and when a typical cow resumes cyclicity after calving
115
What is the typical reproductive management of cows post partum?
examine reproductive health heat detection AI nutritional management
116
Define non-seasonal polyoestrus
regular cycle throughout whole year regular intervals
117
Define seasonal (long day) polyoestrus
different pattern of cyclicity throughout year ovaries inactive in winter done so foal is born in ideal conditions (warmer months) winter anoestrus
118
Define seasonal (short day) polyoestrus
anoestrus in summer transition period associated with silent oestrus
119
What factors control seasonality
120
describe resumption of cyclicity after seasonal anoestrus in long vs short day breeders
121
Describe the transition period in the mare
takes 50-60 days irregular oestrus transition follicles (not fully developed)
122
How can seasonality be manipulated
123
What happens at ovulation (oocyte)
124
Define fertilisation vs fertile period
125
How long is the fertile life-span of sperm in bitch, cow, mare, camelids, bats, reptiles
126
When is ovulation in bitch compared to other species
earlier Ovulation at metaphase 1 (normally after meiosis 2) Completion of meiosis 2 & formation of 2nd polar body occurs after fertilisation In bitch you have ovulation of immature (primary) oocytes that can be penetrated but not fertilised
127
What is embryonic diapause
Temporary arrest of embryo development characterised by delayed implantation in uterus Occurs in blastocysts of less than 2% of mammalian species Induced by seasonal supplies of food, temperature, photoperiod & lactation
128
Where does fertilisation occur
first 3rd of oviduct
129
What is membrane fusion
130
What happens at fertilisation (sperm & egg)
131
Describe cleavage divisions
132
What is a totipotent embryo
embryo able to give rise to any individual No differentiation yet Morula (16 cell) last stage with no differentiation
133
Describe the formation of a blastocyst
1. outer cells within morula more squashed than inner cells - outer cells form cell-cell adhesions called tight junctions - inner cells have looser lines of communication called gap junctions - outer cells pump Na+ into morula, ionic concentration thus rises & water diffuses through zona pellucida: fluid accumulation 2. when distinct cavity is formed embryo is called blastocyst 3. gap junctions connecting inner cells allow these cells to polarise as a group 4. previous cell types result in 2 distinct cell populations - outer cells --> trophoblast - inner cells --> inner cell mass (ICM)
134
describe hatching of blastocyst
135
Name the stages
136
In what species is embryo progression continuous vs discontinuous
137
Describe fertilised progression in mare
138
Describe fertilised progression in rat & hamster
139
What happens after blastocyst hatching
140
What happens before gastrulation
141
Label
142
Describe foetal membrane formation
1. primitive endoderm (hypoblast) forms yolk sac 2. yolk sac enlarges to form reserve for nutrient transfer 3. extraembryonic mesoderm forms sac that surrounds yolk sac & also folds dorsally to form amniotic folds 4. a 3rd fluid filled sac forms from out-pouching of hind gut (allantois (collection of waste)) 5. allantois & chorion fuse to form chorioallantoic membrane 6. amniotic folds form amnion 7. yolk sac regresses & is replaced by placenta
143
Describe embryo germ layer development
144
Describe gastrulation
1. begins at posterior end of embryo, where node arises 2. cells from epiblast migrate through primitive streak & differentiate into ectoderm, mesoderm & endoderm
145
What is early conception factor
146
Describe oxytocin in initiation of luteolysis
1. oxytocin receptors (OXTR) are absent for most of luteal phase 2. Reappear in endometrium before progesterone falls 3. oxytocin from CL binds to OXTR which stimulates PGF2a release OXTR antagonist will delay luteolysis Increasing oestradiol further increases OXTR expression
147
How many pulses of PGF2a are required to complete luteolysis
5-8 over 24 hours
148
Define maternal recognition of pregnancy
149
Why is continued progesterone required for pregnancy
150
What is interferon tau
Embryonic signal in ruminants - blastocysts most abundant protein - expression initiated during trophoblast elongation - expressed by trophectoderm cells - stimulated by growth factors (histotroph) secreted from uterus - only expressed days 12-24 of pregnancy - lack of IFNT linked to embryo mortality because mother doesnt recognise embryo (40% of pregnancies in dairy cows - clinical problem)
151
How does interferon tau (IFNT) exert its action
Acts on endometrium - suppresses OXTR expression - stimulates protein synthesis critical for embryo growth - suppresses PGF2a pulsatile secretion - indirectly maintains progesterone - exogenous administration of IFNT into uterus delays luteolysis
152
What is the materal recognition signal in pigs
153
What do we know about the MRP signal in horses
Equine blastocyst remains spherical & unattached - migration is critical for MRP - produces oestradiol - produces 3 putative small proteins that suppress PGF2a production
154
What is the MRP signal in primates
Chorionic gonadotrophin
155
Describe maternal recognition of pregnancy in dog
156
Describe embryonic recognition in rodents
157
Describe the timings of MRP in different species
158
Fill in the MRP table
159
Which parts of female reproductive tract would you expect to be microbiologically sterile & how is this achieved? At what timepoints could this change?
Cervix & everything cranial to this (horns, fallopian tubes etc.) Cervix provides barrier but dependent on stage (more relaxed during oestrus) Mating, parturition, oestrus
160
define commensal microorganism
Normal flora that inhabit body of animal without causing harm
161
Define opportunistic pathogen
Typically dont cause disease in healthy animals but can become pathogenic & cause disease when host's immune system is compromised
162
What is the typical origin of microorganisms found in female reproductive tract
ejaculation from copulation cleanliness of environment oestrus (esp. mare - naturally more open) parturition retained foetal membranes
163
What would be the consequence of uterus being contaminated by bacteria
164
Fill in the table
165
What is pyometra
infection in uterus (serious and life threatening - must be treated quickly)
166
what is metritis
inflammation of uterus (bacterial infection) refers to whole uterus
167
what is endometritis
inflammation of endometrial lining of uterus
168
What can make a bacterial contamination of uterus more likely to occur
169
Fill in the table
170
What are features of bacteria that influence their potential invasiveness and pathogenicity
171
What are some features of female reproductive tract that contribute to resistance to infection
172
What immune cells are present in the female reproductive tract
173
Inflammation can cause abortion, what host receptors are involved in recognising pathogens and what do they recognise
174
fetus is described as being semi-allogeneic. what does this mean?
genetic material of organism (fetus) is partially different from that of mother. can pose immunological challenges as mothers immune system could recognise foetus as foreign
175
What immune mechanism protect neonatal calf from disease
176
What are the components of avian male reproductive tract
177
Describe avian testis
large compared to mammals increase in size when sexually active L larger than R intraabdominal cranioventral to 1st kidney lobe, ear abdominal air sac
178
Describe avian male reproductive duct system
179
Describe avian male breeding vs non breeding anatomy
180
Describe avian phallus
181
Which ovary is functional in avian female reproductive tract
Left ovary right activated if left ovary removed
182
What can you see here
in bird
183
Label avian ovary
184
Draw avian female oestrus cycle graph (LH, prolactin, oestradiol, progesterone)
185
What do avian follicles produce
186
Describe oestrogen-linked preparation for egg laying
187
Describe what happens at ovulation in birds
Progesterone & LH high prior to ovulation High progesterone is trigger for LH release & thus ovulation No CL formed because they dont sustain pregnancy
188
Draw the positive feedback systems of mammalian & avian ovulation
189
What is the open period in avian female reproductive cycle
190
Where does fertilisation occur in female birds
191
What is egg peritonitis
192
What are sperm storage tubules
In female birds Avian sperm viable at body temperature (higher than mammals) Sperm stored for 10-14 days after mating On egg laying - sperm squeezed out of SSTs --> migrate & fertilise another egg
193
Describe avian egg production
1. Infundibulum: - secretes chalazae * whitish string like structures *hold yolk in position during development - approx 1 hour 2. Magnum - albumin laid down around oocyte - 3 hours 3. isthmus - inner & outer shell membranes deposited - 1-1.5 hours 4. shell gland (uterus) - calcium carbonate added - cuticle - +/- pigment - 20 hours 5. vagina - oviposition - seconds to hours
194
What are egg clutches
195
What are the timings of ovulation & oviposition
196
Describe brooding endocrinology
197
What is crop milk
198
describe brooding behaviour
199
How to deal with broody hens
200
How does daylight influence avian reproduction
201
What are the sex genes of birds
cant used sexed semen in birds
202
How can birds be sexed
DNA (not viable when you have many birds) - blood from nail clipping - live cells from plucked feather - eggshell Surgical (endoscopic) - view testis or ovary Faecal steroids Instrument sexing - commercial birds - protoscope in large intestine - observe gonads through intestinal wall - males 2 testis, females 1 ovary - danger of injury vent sexing (cheap, done commercially) - needs training & experience - easier in ratites & waterfowl (phallus) Autosexing - color & feather sexing - possible when M & F birds have different appearance * sex linked characteristics - only some species (like chickens)
203
How can oestrus be induced using PGF2a
204
How can oestrus be induced by administering for several days & then withdrawing progesterone
205
Fill in the table
206
What tests can you do to see where in cycle dog is
207
When does ovulation occur in relation to onset of vulval swelling in bitch
10-14 days Most common day to mate is day 12
208
What is the nature of oestrus vulval discharge in bitch & why is it red
209
When do bitches deviate their tail in relation to phases of proestrus & oestrus
proestrus - interested in male, will play but not deviate tail oestrus - will deviate tail
210
What phases are the vaginal cytologies from and what can you see
211
What phase is this vaginal smear from and what can you see
late proestrus/early oestrus
212
Which species does this reproductive tract belong to
mare
213
Which species does this reproductive tract belong to
ruminants
214
What does mare uterus & cervix feel like when its oestrogen vs progesterone dominated
215
What kind of follicle is this
Early antral follicle in mare
216
What kind of follicles are these
pre-ovulatory follicle in mare Follicles are large and soft
217
What is this
corpus haemorrhagicum in mare
218
Describe corpus luteum detection in mare
219
Describe cow uterus and cervix tone when oestrogen vs progesterone dominated
opposite to mare
220
Describe cow CL on ultrasound
221
What does this show
Cow LF = large follicle
222
What does this show
Cow
223
What does this show
Regressing CL in cow
224
What phase is this
Follicular phase
225
What phase is this
Mid-luteal phase
226
What phase is this
227
What phase is this
228
What phase is this
Early luteal (recently ovulated)
229
What phase does this suggest also progesterone concentration in milk of 8ng/ml <2 ng/ml: follicular phase 2-5 ng/ml: developing or regressing CL >5 ng/ml: luteal activity
230
What phase is this bitch in
231
What is the impact of progestin administration during proestrus
delays oestrus by bringing progesterone to normal level
232
Discuss biological effect of giving progestin to a bitch that has recently been observed with serosangious vulval discharge
233
What are the potential implications of progestin on mammary function
mammary hypertrophy
234
Discuss the role of exogenous progestin in causing a pyometra
235
What can be seen here
236
How does the shift from oestradiol to progesterone by the dominant follicle (due to the LH surge) lead to ovulation?
Increased progesterone => increased collagenase (dissolves collagen which occludes over tunica albuminica and basement membrane) => weakens follicular wall => ovulation
237
Describe the process of releasing the oocyte from a follicle
Follicular wall bursts releasing oocyte and granulosa cells from granulosa cell anchor point oocyte carried with follicular fluid into peritoneal cavity where it is captured by fimbria on the infundibulum