
Acanthamoeba keratitis
Adenovirus KERATITIS

Herpes simplex keratitis
Anterior corneal dystrophies
Bacterial keratitis (cw conjunctivitis)
congenital corneal disease

Corneal Abrasion and Foreign Body

Corneal Abrasion and superficial Foreign Body

Corneal Abrasion

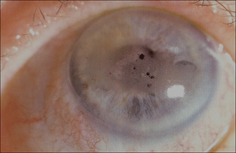
Corneal degenerations – Band keratopathy

Ectatic corneal dystrophies – Keratoglobus
Herpes Zoster opthalmicus

Keratoconus

Marginal keratitis
Peripheral corneal disorders - benign

Peripheral corneal disorders – Dellen

Peripheral corneal disorders - Mooren’s ulcer

Peripheral corneal disorders - Terrien’s marginal degeneration
Recuurent Corneal Erosion

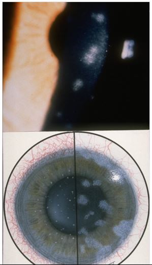
Stromal corneal dystrophies – Granular
Stromal corneal dystrophies – Lattice

Stromal corneal dystrophies – Macular

vogt’s striae

Megalocornea