List 3 types of chronic inflammation which can lead to cancer. (provide specifics of both the inflammation & cancer)
Could be any 3 of the following
How does chronic inflammation develop into a tumour?
(can enter at any stage)
What does a loss in gut bacteria cause? (could be one of 3 reasons)

How do Inflammatory Cells help tumour cells?
Inflammatory cells release;
Which alter the gene expression of the cell & thus promotes its survival & makes it flourish (specifically through action of IL-2)
What are the primary sources of Chronic Liver Disease?
aka Hepatitis B & C main
although data was taken in Alabama
What are the main causes of Hepatitis C?
What does iatrogenic mean?
Means diseases that occurred due to a harmful complication, or other ill effects by any medical activity, including diagnosis, intervention, error, or negligence.
What is the progression of Chronic Liver Disease (CLD)?

How quickly can the liver regenerate itself?
~2 months
What is the prognosis of CLD?
1 in 4 die (aka v bad)
What is the progression of a healthy liver to liver cancer? Describe the 4 stages. (hint 2 have been said)
What does HCC stand for?
Hepatocellular carcinoma
How is Chronic liver disease diagnosed?
What are some factors that may cause liver inflammation?
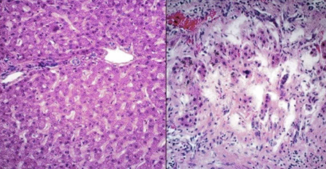
Which one is healthy? What is the other? Why do you think this?

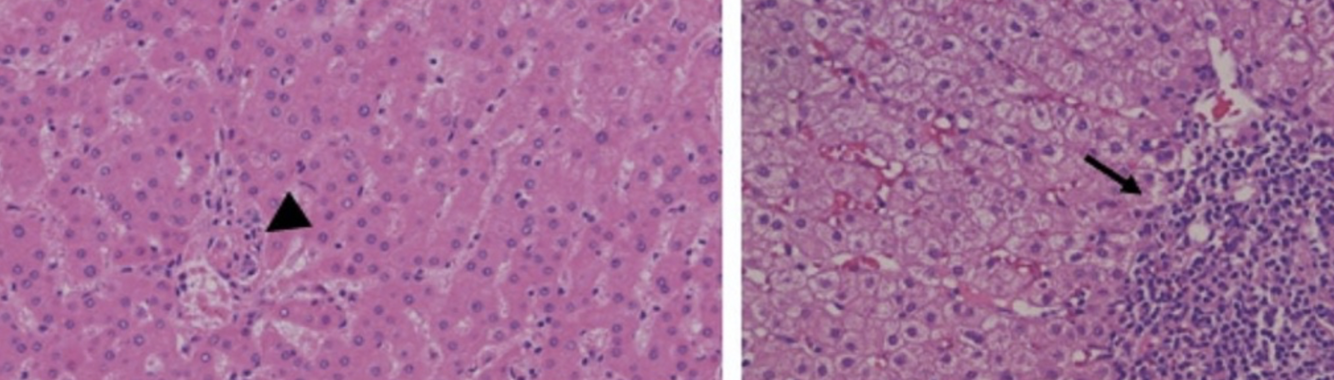
Which of these is infecter and which is uninfected? What disease could it be & why?

What is AFP & what is it a marker for?
Alpha-fetoprotein (AFP)
is a marker for some cancers specifically in the liver
If a patient has Hepatocellular Carcinomas (HCC) then they have a 34% chance of getting what disease?
HCC leads to pulmonary (lung) metastasis
What are the main treatment options for Liver Cancer?
What is TACE?
Trans-catheter arterial chemobolization
What is the main aim of TACE and how does it work?
What are the two main mechanisms that are beneficial to TACE?
How is the blood supply of hepatic tumours beneficial to TACE?
Why can higher doses be given during TACE?