Cervical pathology basics
90% of cervical pathology falls into three categories
Uterine anatomy

Cervix anatomy

Cervix anatomy

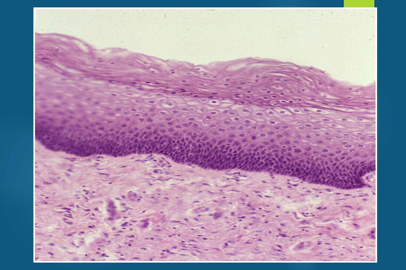
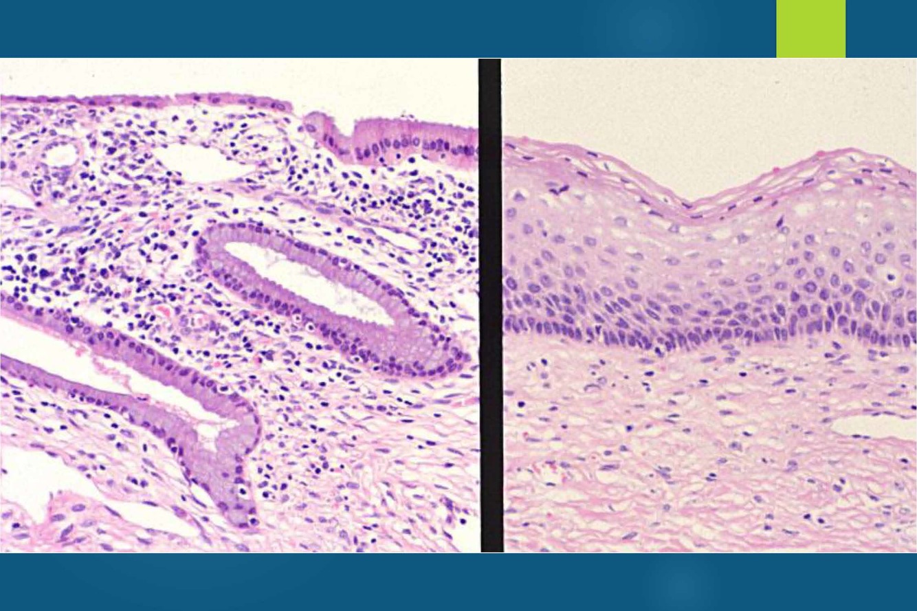
Cervical squamous epithelia

Cervical histology

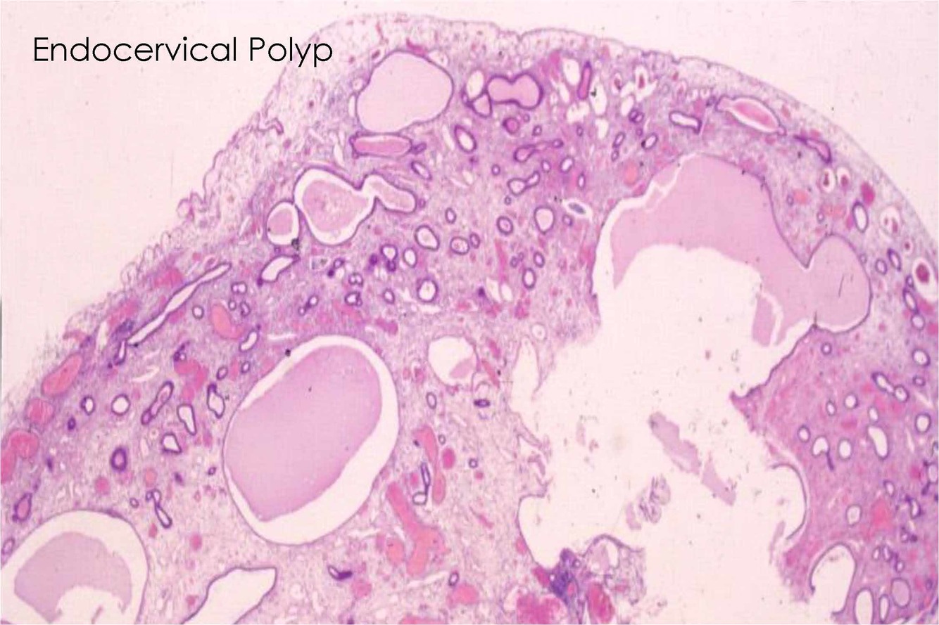
Endocervical polyps

Endocervical polyps histology
Soft poft polyps with dilated glands and active stroma

Endocervical polyps epidemiology
benign inflammatory hyperplasia seen in 2-5% of women
Endocervical polyps gross histological features

What is Acute and chronic cervicitis
Acute and chronic cervicitis uncommonly present pathogenic microorganisms
Acute and chronic cervicitis transmission
role in sexual transmission
Acute and chronic cervicitis complications
may ascend into uterus and beyond to cause PID
Complications of PID
Fertility problems and pregnancy complications such as ectopic pregnancy
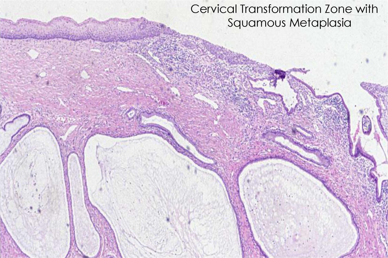
Histology of Cervical transformation zone w/ squamous metaplasia

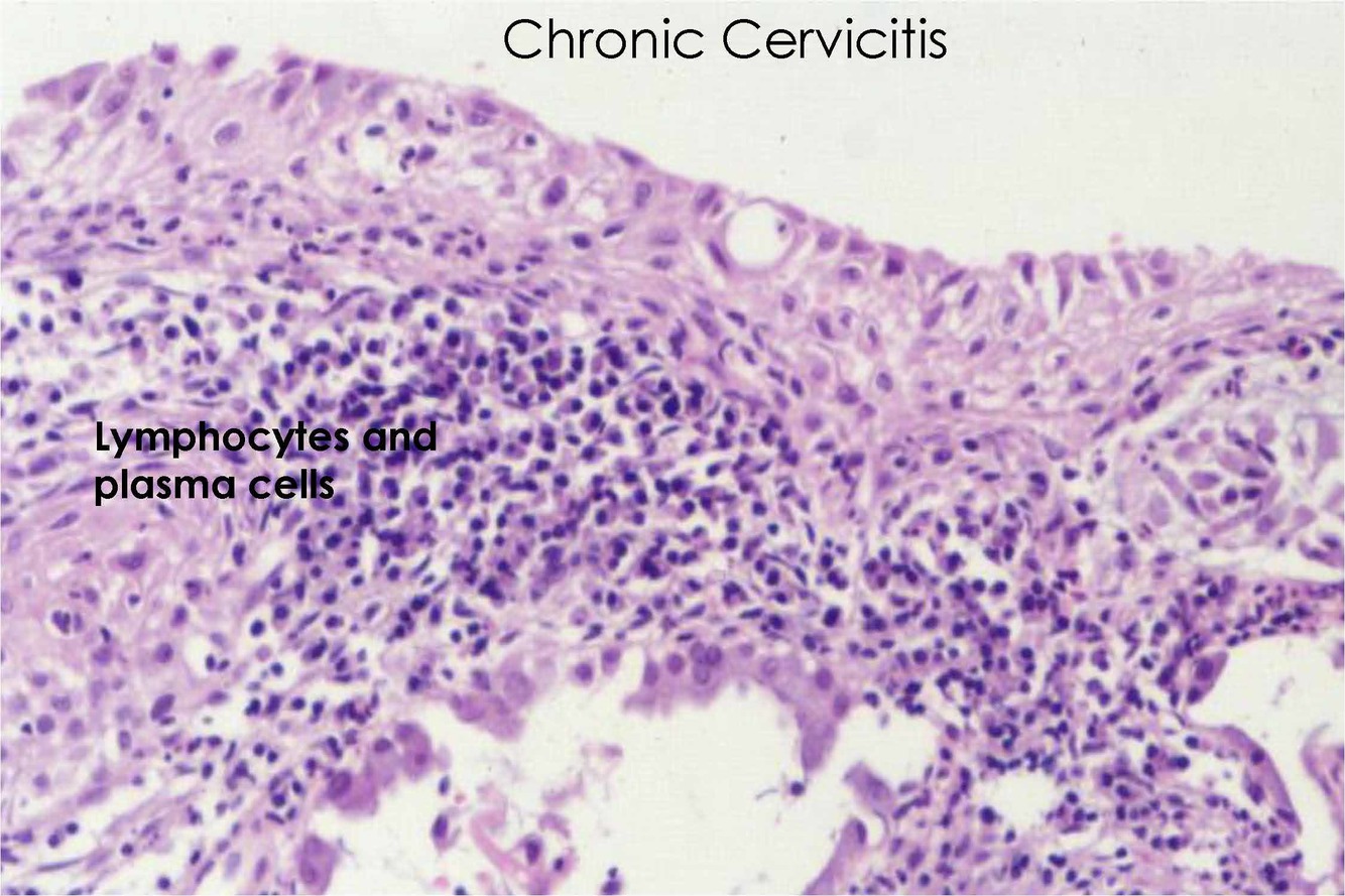
Histological features of chronic cervicitis

History of cervical cancer

The pap test as a screening test for cervical cancer

How good is the pap test for screening for cervical cancer?

Length of dysplasia to cervical cancer
long progression ~ 10 years
Ancillary tests to improve pap test effectiveness in screening for cervical cancer
eg HPV test
Performance of the Pap test

What type of cells should the vagina be?
