Week 5 Flashcards

(48 cards)

1
Q

How many bones are in the foot?

A

26

How well did you know this?
1
Not at all
2
3
4
5
Perfectly
2
Q

What are sesamoid bones

A

small independent bone or bony nodule developed in a tendon where it passes over an angular structure, typically in the hands and feet.

How well did you know this?
1
Not at all
2
3
4
5
Perfectly
3
Q

3 categories of bones in the foot and how many bones in each

A

Tarsals- 7

Metatarsals- 5

Phalangeal- 14

How well did you know this?
1
Not at all
2
3
4
5
Perfectly
4
Q

Tarsals

A

-tallus, calcaneus, cuneiforms: medial, lateral, intermedious; navicular, cuboid

How well did you know this?
1
Not at all
2
3
4
5
Perfectly
5
Q

Identify the tarsus bones

A

1-Talus 2-Calcaneus 3- Navicular 4- Cuboid 5- Lateral cuneiform 6- Middle cuneiform 7- Medial cuneiform

How well did you know this?
1
Not at all
2
3
4
5
Perfectly
6
Q

Identify the metatarsals -how are the numbered?

A

-from medial to lateral (1 big toe-5 pinky toe)

How well did you know this?
1
Not at all
2
3
4
5
Perfectly
7
Q

How are metatarsals bones fractured?

A

Johns and Dancers Fracture

How well did you know this?
1
Not at all
2
3
4
5
Perfectly
8
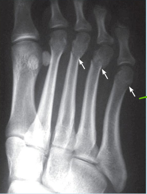
Q

Which bone is fractured? -potential situation in which fracture could occur

A

-3rd, 4th, and 5th metatarsals -Barbell on the Foot

How well did you know this?
1
Not at all
2
3
4
5
Perfectly
9
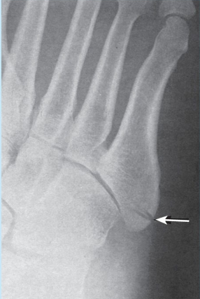
Q

Which bone is fractured? -potential situation in which fracture could occur

A

-Lateral aspect of 5th metatarsal -Dancer fracture

How well did you know this?
1
Not at all
2
3
4
5
Perfectly
10
Q

Difference in amount of phalanges at 1st digivt vs digits 2-5

A

-1st digit only has 2 phalanges -2nd-5th digits have 3 phalanges

How well did you know this?
1
Not at all
2
3
4
5
Perfectly
11
Q

Parts of a phalange

A

-base (proximal) -shaft (middle) -head (distal)

How well did you know this?
1
Not at all
2
3
4
5
Perfectly
12
Q

Os Trigonum -what is it? -cause–uni or bi -how common? -what populations have an increase in prevalence

A

-During ossification the secondary ossification center of the talus (usually the tubercle of the talus) fails to unite with body of the talus OR the ossification center may have fraction and never unite to body of talus -applied stress when younger (forceful plantarflexion); usually occurs bilateral -25% of population -ballet dancers and soccer players

How well did you know this?
1
Not at all
2
3
4
5
Perfectly
13
Q

Calcaneal osteophytes -how location impacts patient

A

-posterior: develops on back of heel at insertion of achilles tendon -inferior: calcification lies superior to plantar fascia at insertion of plantar fascia

How well did you know this?
1
Not at all
2
3
4
5
Perfectly
14
Q

Are the muscles/tendons of the dorsal foot intrinsic or extrinsic?

A

Extrinsic because the intrinsic muscles of the feet are in the soles/involved in plantar activity.

How well did you know this?
1
Not at all
2
3
4
5
Perfectly
15
Q

Nerves of foot -names (lateral to medial) -what they affect

A

-sural: supplies sensation to dorsal part of 5th digit -superficial fibular: supplies sensation to lateral portion to midline of anterior leg, dorsal part of digits 1-4 -deep fibular: sensation to web between 1st and 2nd digit (extensor digitorum brevis and extensor digitorum longus)

How well did you know this?
1
Not at all
2
3
4
5
Perfectly
16
Q

Blood supply of foot

A
  1. Anterior tibial 2. Dorsalis pedis 3. Arcuate artery 4. Deep plantar 5. 1st dorsal metatarsal 6. Dorsal digital arteries
How well did you know this?
1
Not at all
2
3
4
5
Perfectly
17
Q

What artery contributes to deep plantar arch?

A

-Arcuate artery: bifurcates into deep plantar artery and perforating branches of deep plantar arch

How well did you know this?
1
Not at all
2
3
4
5
Perfectly
18
Q

Arteries palpated during exam

A

Dorsalis pedis and posterior tibialis

How well did you know this?
1
Not at all
2
3
4
5
Perfectly
19
Q

Primary function of anterior compartment of leg?

A

Dorsiflex foot-also help with eversion and inversion

How well did you know this?
1
Not at all
2
3
4
5
Perfectly
20
Q

Common innervation and blood supply of anterior leg muscles

A

-anterior tibial artery and deep fibular nerve

21
Q

Primary function of lateral compartment of the leg

A

-eversion of foot

22
Q

Common innervation and blood supply of lateral leg

A

Fibular artery and superficial fibular nerve

23
Q

Best foot position to test the tibialis anterior

24
Q

How do you decide whether patient is pregnant before x-ray?

A

-If there is any possibility that patient could be pregnant then you would ask them to do a pregnancy test

25
What do you do if patient is pregnant and needs imaging?
MRI or xray with shielding
26
synovial joint histology
-SM: synovial membrane -articular cartilage -E: epiphyseal plate
27
function of synovial membrane
Synovial membrane: extends folds and villi into the joint cavity and produces the lubricant synovial fluid.
28
How does histologic structure of synovial membrane support its function?
-has dense connective tissue that is well vascularized with lots of capillaries which allows for nutrients to be absorbed into ECM and travel to chondrocytes and other cells in the synovial joint
29
What is a brodie abscess
a small intraosseous abscess that frequently involves the cortex and is walled off by reactive bone.
30
what is an incolucrum
firbous tissue that walls off infection in bone and begins to try to rebuild bone around dead area
31
what is a sequestrium?
-piece of dead bone tissue occurring within a diseased or injured bone, typically in chronic osteomyelitis. -the marrow and adipose tissue has been eaten by bacteria
32
progression of infection from medullary cavity of bone to joint cavity
- Bacteria and inflammation spread longitudinally and percolate throughout the Haversian systems to reach the periosteum.
33
progression of infection from medullary cavity of bone to joint cavity in infant
epiphyseal infection spreads through the articular surface or along capsular and tendoligamentous insertions into a joint
34
Different routes bacteria can take to infect bone
(1) hematogenous spread, (2) extension from a contiguous site, and (3) direct implantation.
35
How bacteria is introduced to bone in children vs adult
-Adults: occurs as a complication of open fractures, surgical procedures, and diabetic infections of the feet. -Children: hematogenous in origin
36
Different bacterias in osteomyelitis -most common -UTI/IV drug users -neonate -sickle cell disease
-Staphylococcus aureus - E.coli - Haemophilus influenzae and group B streptococci -Salmonella
37
Cells responsible for Pagets disease
-osteoclasts
38
How does bone resorption occur with Pagets?
mutation increases the activity of NF-κB, which increases osteoclast activity
39
3 phases of Paget disease evolution
1: osteolytic stage- break down of bone, lots of OC 2: mixed osteoclastic-osteoblastic stage, which ends with a predominance of osteoblastic activity 3: burned-out quiescent osteosclerotic stage (increased bone density)
40
What causes decrease in trabeculae?
Osteoporosis
41
How does menopause lead to formation of osteoporosis?
-decrease in estrogen causes increase in resorption and formation BUT formation cannot keep up with resorption
42
Decrease in estrogen at cellular level
-decreased estrogen leads to increase secretion of inflammatory cytokines by monocytes and bone marrow cells which 1) stimulate osteoclast recruitment and activity by increasing the levels of RANKL, 2) diminishing the expression of OPG, 3)decreasing osteoclast proliferation and preventing osteoclast apoptosis.
43
Achondroplasia -cause
-gain-of-function mutations in the FGF receptor 3 (FGFR3). -Constitutive activation of FGFR3 exaggerates the inhibition of endochondral growth, suppressing growth.
44
How does achondroplasia affect patients phenotype?
by preventing bones formed through endochondral ossification from being able to grow in length causing the patient to have shortened proximal extremities, a trunk of relatively normal length, and an enlarged head with bulging forehead and conspicuous depression of the root of the nose.
45
Osteogenesis imperfecta -other name -cause
-brittle bone disease - caused by deficiencies in the synthesis of type I collagen due to autosomal dominant mutation of genes that encode α1 and α2 chains of type I collagen.
46
How do different mutations of same gene cause variability in disease severity?
-based on the location of the mutation within the protein. -Mutations resulting in decreased synthesis of qualitatively normal collagen are associated with mild skeletal abnormalities while severe or lethal phenotypes have abnormal polypeptide chains that cannot be arranged in a triple helix
47
Cause of osteopetrosis
interfere with the process of acidification of the osteoclast resorption pit, which is required for the dissolution of the calcium hydroxyapatite within the matrix.
48
Clinical consequence for patients with osteopetrosis
cranial nerve deficits