Week 5 Flashcards

(20 cards)

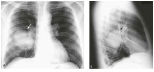
1
Q

image modality, view, body depicted, abnormality

A

PA and Lateral chest xray, large perihilar mass in right lower lobe

How well did you know this?
1
Not at all
2
3
4
5
Perfectly
2
Q

Why not order total body CT when looking at nodule that could be cancerous?

A
  • Un-necessary exposure to radiation– mass could not be cancer; could be big lung abcess (would have had fever) - Do not use whole body CTs for staging
How well did you know this?
1
Not at all
2
3
4
5
Perfectly
3
Q

-imaging modality -orientation -window -body part

A

-IV contrast enhanced CT -axial - chest - lung, soft tissue, bone

How well did you know this?
1
Not at all
2
3
4
5
Perfectly
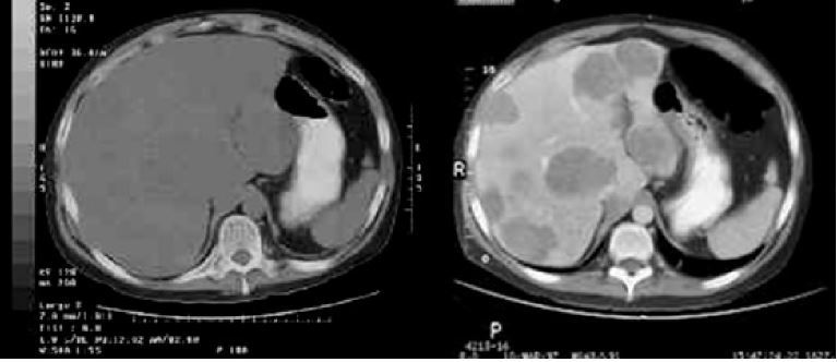
4
Q

-imaging modality -orientation -window -body part -which image has contrast? -what is abnormality?

A

-CT -axial -soft tissue -abdomen -right image; -liver tumors

How well did you know this?
1
Not at all
2
3
4
5
Perfectly
5
Q

-imaging modality -weight? -orientation -window -body part

A

-MRI -T1 -Axial -brain -brain

How well did you know this?
1
Not at all
2
3
4
5
Perfectly
6
Q

Difference between T1 and T2 weighted

A

-T1: liquid is dark; can only see contrast on this type -T2: liquid is bright

How well did you know this?
1
Not at all
2
3
4
5
Perfectly
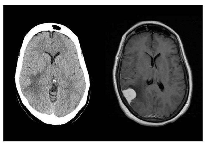
7
Q

What imaging modality is used? -what abnormalities are seen?

A

-left: noncontrast CT, brain, axial, brain window; right: IV contrast enhanced MRI, brain, axial, T1 weighter -left: edema; right: tumor and edema (R pariteal meiningioma)

How well did you know this?
1
Not at all
2
3
4
5
Perfectly
8
Q

imaging modality and orientation

A

-CT, PET, Fused

How well did you know this?
1
Not at all
2
3
4
5
Perfectly
9
Q

What is metabolized in PET scan?

A

Fluorodeoxyglucose (FDG) - metabolized like glucose; PET is map of glucose distribution in body

How well did you know this?
1
Not at all
2
3
4
5
Perfectly
10
Q

Why does bladder light up in PET scan?

A

normal, glucose is collecting there after being filtered out by kidneys

How well did you know this?
1
Not at all
2
3
4
5
Perfectly
11
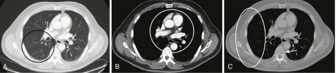
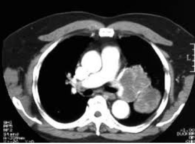
Q

-imaging modality -orientation -window -body part -iv contrast -abnormality

A

-CT -axial -soft tissue -chest -yes -large l perihilar lung mass invading left pulmonary artery

How well did you know this?
1
Not at all
2
3
4
5
Perfectly
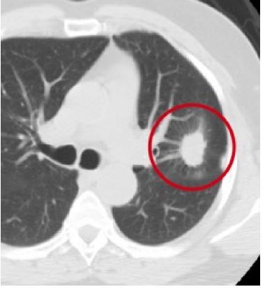
12
Q

-imaging modality -orientation -window -body part -iv contrast -abnormality

A

-CT -axial -lung -chest -yes -left lung carcinoma

How well did you know this?
1
Not at all
2
3
4
5
Perfectly
13
Q

what do hazy edges of a tumor on a CT mean?

A

-cancer is invading surrounding tissue

How well did you know this?
1
Not at all
2
3
4
5
Perfectly
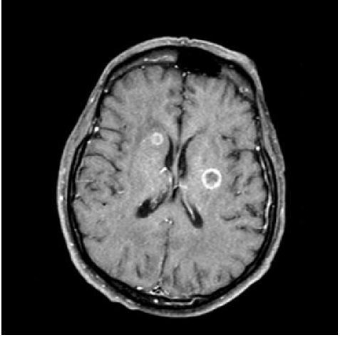
14
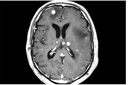
Q

-imaging modality -weight -orientation -window -body part -iv contrast -abnormality

A

-MRI -T1 -Axial - brain - brain -yes -metastatic small cell lung cancer

How well did you know this?
1
Not at all
2
3
4
5
Perfectly
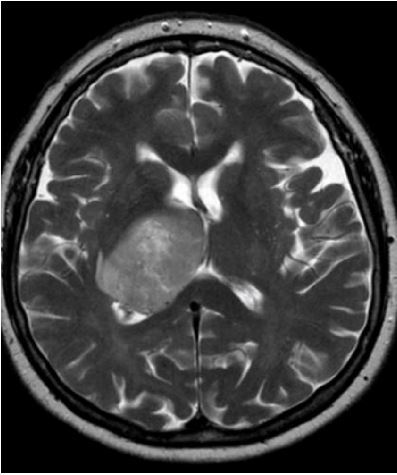
15
Q

-imaging modality -weight -orientation -window -body part -iv contrast -abnormality

A

-MRI -T2 -axial -brain -brain -cant tell -glioblastoma multiforme

How well did you know this?
1
Not at all
2
3
4
5
Perfectly
16
Q

-imaging modality -orientation -body part -abnormality

A

-PET-CT fused image -axial -neck -bilateral squamous cellw carcinoma of the tonsils with nodal metastasis

17
Q

-modality -weight -orientation -body part -contrast -abnormality

A

-MRI -T2 -saggital -cervical spine -can’t tell with T2 -intramedullary cervical cord tumor

18
Q

-modality -weight -orientation -body part -contrast -abnormality

A

-MRI - T1 -sagittal -thoracic spine -yes -hemangioblastoma

19
Q

-modality -weight -orientation -body part -contrast -abnormality

A

-MRI -T1 -axial -brain -yes -multiple metastes with vasogenic edema

20
Q

-modality -orientation -body part -contrast -abnormality

A

-CT -axial -brain -non-contrast -metastatic melanoma