What causes prion formation?
•Misfolded protein (PrPSc)
How do you diagnose prion diseases?
pathology
Later in the lecture he says:
•Initial diagnosis made on clinical grounds
•Western blot for PrPSc in a tonsil biopsy
•Definitive diagnosis by brain biopsy
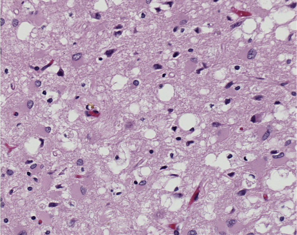
What about this slide confirms a prion disease?

The white holes which represent the spongiform changes
What are some of the clinical manifestations of
Creutzfeldt-Jakob disease (CJD)?
•Abnormal gait and vision
•Headache, dizziness, paresthesias
•Loss of memory, speech abnormalities, anxiety, and depression
•Hyperreflexia and spasticity
•
•Vegetative state within 1 year
•Viral encephalitis characterized by hydrophobia
rabies
Describe the composition of the rabies virus.
bullet shaped virion; singe strand negative sense RNA
Describe the clinical manifestations of rabies.
•Furious versus paralytic
–Agitation, hyperactivity, fluctuating consciousness, and bizarre behavior
–Sore throat, hypersalivation, and hydrophobia
–Flaccid paralysis
A brain biopsy with this pathology would indicate what disease?

rabies
How do you make a diagnosis of rabies?
used to only be able to diagnose with a brain biopsy but now you can use a direct fluorescent antibody (DFA) stain on tissue from the nape of the neck; this looks for the presence of rabies viral antigen <!--EndFragment-->
How do we treat rabies?
Describe clostridium bacteria.
causes gas gangrene and food poisoning
Clostridium perfringens
causes Antibiotic-associated pseudomembranous colitis
*clostridium difficile *
trismus =
lock jaw (tetanus)
risus sardonicus =
patient looks like they are grinning (tetanus)
What actually causes the symptoms of tetanus?
the release of the toxin tetanospasmin from clostridium tetani spores
What’s the mechanism of action of tetanospasmin?
it is a Plasmid-encoded neurotoxin (A-B toxin) which Binds to motor neurons and then undergoes Retrograde vesicular transmission;
It Blocks inhibitory neurotransmitter (GABA) release
which leads to Unregulated excitatory synaptic activity and Spastic paralysis
When do you need a tetanus vaccine booster?
Tetanus booster every 10 yrs or 5 yrs with puncture wound
Which type of botulism is most prevalent?
infant botulism by far;
•Colonization of intestinal tract in 5-20 wk old
•Older children & adults are resistant
What should you do with all botulism and tetanus cases?
report them to the CDC
How many serotypes of clostridium botulinum are there?
7; types A, B, and E are the most common
How would a patient with botulism present?
How does botulin toxin cause flaccid paralysis?
it prevents the release of ACh from the neuromuscular junction
How do you diagnose botulism?
symptoms and history, electromyographic studies, and
isolation of C. botulinum or toxin from stool or food