Week 7 Flashcards

(146 cards)

1
Q

What CXR radiographic findings are typical for lobar pneumonia

A

Homogenous consolidation in 1 or more lobes with air bronchogram (air-filled bronchi (dark) being made visible by the opacification of surrounding alveoli) often present

How well did you know this?
1
Not at all
2
3
4
5
Perfectly
2
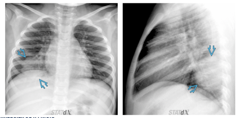
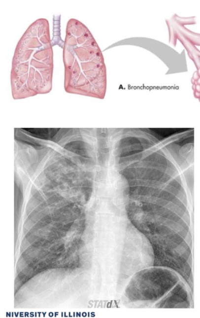
Q

What CXR radiographic findings are typical for segmental/bronchopneumonia

A
  • Multifocal patchy consolidation of secondary lobules with no air bronchogram
How well did you know this?
1
Not at all
2
3
4
5
Perfectly
3
Q

What CT findings are typical for segmental/bronchopneumonia

A
  • Multifocal patchy consolidation of secondary lobules with no air bronchogram
  • Can also have ground glass opacity and thickened bronchial opening
How well did you know this?
1
Not at all
2
3
4
5
Perfectly
4
Q

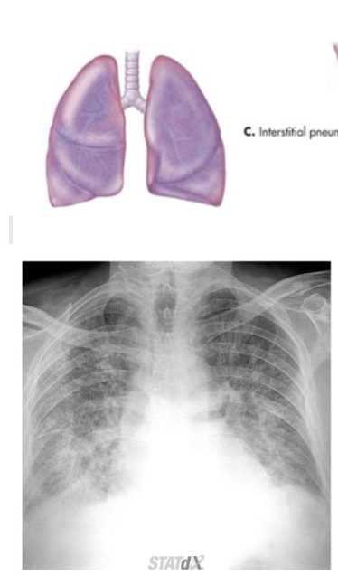
What CXR radiographic findings are typical for interstitial pneumonia

A
  • Reticular interstitial disease, alveolar walls affected and usually diffuse throughout → Whole airspace consolidation
How well did you know this?
1
Not at all
2
3
4
5
Perfectly
5
Q

What CT findings are typical for interstitial pneumonia

A
  • Reticular interstitial disease, alveolar walls affected and usually diffuse throughout → Whole airspace consolidation
How well did you know this?
1
Not at all
2
3
4
5
Perfectly
6
Q

What CXR radiographic findings are typical for round pneumonia

A
  • Spherically shaped consolidations in the posterior lower lobes, mostly seen in patients younger than 8
How well did you know this?
1
Not at all
2
3
4
5
Perfectly
7
Q

What are some usual causes for lobar pneumonia?

A
  • Strep pneumo is the most causative cause of lobar pneumonia. Klebsiella is another culprit
How well did you know this?
1
Not at all
2
3
4
5
Perfectly
8
Q

What are some usual causes for segmental/bronchopneumonia?

A
  • Staph aureus is the most common cause, but many gram-negative bacteria can also cause this, such as pseudomonas
How well did you know this?
1
Not at all
2
3
4
5
Perfectly
9
Q

What are some usual causes for Interstitial pneumonia?

A
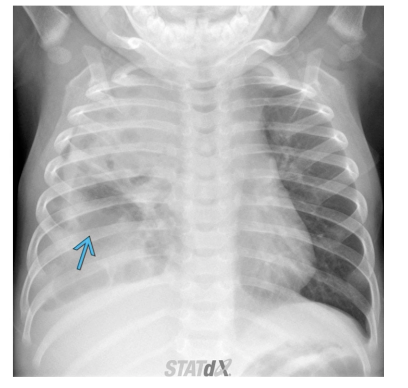
  • Viral, mycoplasma, and pneumocystis jirovecii are common causes
How well did you know this?
1
Not at all
2
3
4
5
Perfectly
10
Q

What are some usual causes for round pneumonia?

A
  • Common agents are haemophilus influenzae, streptococcus, pneumococcus
How well did you know this?
1
Not at all
2
3
4
5
Perfectly
11
Q

Cavitary pneumonia is a complication of pneumonia

  1. Describe what this complication is?
  2. What do you see on CXR?
A
  1. Severe necrotizing pneumonia causing thin walled cysts
  2. Subtle area of radiolucency superimposed on consolidation…..Lack of lung architecture, decreased lung enhancement, and thin walled cysts in midst of consolidation
How well did you know this?
1
Not at all
2
3
4
5
Perfectly
12
Q

How does primary TB look on CXR?

A

image - can occur anywhere in lungs

  • consolidations and hilar enlargement
How well did you know this?
1
Not at all
2
3
4
5
Perfectly
13
Q

What is the hallmark of reactivated TB?

A
  1. Caseous necrosis
How well did you know this?
1
Not at all
2
3
4
5
Perfectly
14
Q

Where does reactivation of TB most often occur in lung?

A
  1. upper lobes
  2. superior segments of lower lobes
How well did you know this?
1
Not at all
2
3
4
5
Perfectly
15
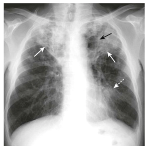
Q

How does reactivation of TB look like in CXR?

A
  • Solid white arrows show cavitary upper lobe pneumonia → it is considered TB unless proven otherwise
  • Dashed arrow shows hilar lymphadenopathy
  • Black arrow is lucencies in airspaces
How well did you know this?
1
Not at all
2
3
4
5
Perfectly
16
Q

What does miliary TB look like in CXR? (3)

A
  • Homogenous spread of TB throughout the lungs
  • Very fine nodules throughout the entire lung
  • Overall consolidation throughout the lung
How well did you know this?
1
Not at all
2
3
4
5
Perfectly
17
Q

What are the three acute causes of stridor?

A
  1. epiglottitis
  2. croup
  3. foreign body aspiration
How well did you know this?
1
Not at all
2
3
4
5
Perfectly
18
Q

What kind of noise is stridor (describe)

A

high-pitched sound that is usually heard best when your child breathes in (known as “inspiration”). It’s usually caused by an obstruction or narrowing in your child’s upper airway.

How well did you know this?
1
Not at all
2
3
4
5
Perfectly
19
Q

What are the most common viral causes of sore throat?

A
  1. adenovirus
  2. EBV
How well did you know this?
1
Not at all
2
3
4
5
Perfectly
20
Q

What are the most common bacterial causes of sore throat?

A
  1. Group A strep
How well did you know this?
1
Not at all
2
3
4
5
Perfectly
21
Q

What can come with a viral caused sore throat?

  1. duration
  2. CBC abnormalities
  3. typical patient
A
  1. 2-3 weeks duration of illness
  2. atypical lymphocytes
  3. late high school to college age
How well did you know this?
1
Not at all
2
3
4
5
Perfectly
22
Q

What can come with a bacterial caused sore throat?

  1. onset
  2. symptoms
  3. typical patient
A
  1. Abrupt onset
  2. fever, enlarged painful tonsils and anterior cervical lymph nodes
  3. ages 5-15 years old
How well did you know this?
1
Not at all
2
3
4
5
Perfectly
23
Q

What is pharyngitis

A

inflammation of pharynx

How well did you know this?
1
Not at all
2
3
4
5
Perfectly
24
Q

What are the most common bacterial causes of pharyngitis?

A

Group A beta hemolytic strep

How well did you know this?
1
Not at all
2
3
4
5
Perfectly
25
What are the most common viral causes of pharyngitis?
1. coronavirus 2. rhinovirus 3. and more
26
What are the most common non-infectious causes of pharyngitis?
1. smoking 2. allergies 3. chronic cough 4. foreign body, etc
27
Pharyngitis (bacterial caused) 1. Symptoms
1. pharyngeal pain 2. tonsillar exudate 3. cervical lymphadenopathy
28
Pharyngitis (bacterial caused) 1. What symptoms are LACKING in pharyngitis
1. Coryza 2. Conjunctivitis 3. Cough
29
Pharyngitis (bacterial caused) 1. what are severe symptoms
1. scarlet fever 2. Rheumatic fever
30
What cause is most common of pharyngitis? (bacterial or viral?)
Viral
31
1. What are some symptoms of viral induced pharyngitis? 2. What is absent (differentiating it from bacterial)
1. nasal congestion 2. coryza 3. cough 4. conjunctivitis * doesn't have runny nose
32
1. What is most often cause of epiglottis? 2. Is epiglottis something we commonly worry about/have in differential?
1. H. Influenza B (Hib) 2. Since vaccine is available for this it has been highly eradicated and is not usually on differential
33
What lung sound can be heard from epiglottitis?
1. stridor
34
What symptoms can be seen with epiglottitis? 1. onset 2. Three D's 3. Positioning of patient 4. What is not seen
1. Rapid onset 2. Drooling, dysphagia, and distress 3. tripod positioning 4. no cough is seen
35
Treatment for epiglottitis?
1. control airway 2. +ceftriaxone and vancomycin
36
Two different types of laryngitis?
acute (\<3 weeks) and chronic
37
1. What is the usual cause for acute laryngitis?
upper respiratory infection, usually viral * rhinovirus * coronavirus * influenza, etc
38
What is pathogenesis of laryngitis?
* Goblet cells increase mucus production which causes congestion of the airway and swelling of the vocal cords, causing dysphonia
39
What is chronic laryngitis caused by?
1. associated with allergies or chronic exposure to irritants, such as smoke 2. and other
40
1. What diagnostic criteria can be used for GABHS pharyngitis? 2. What does positive result mean?
CENTOR criteria 1. C-cough absent 2. E-exudate (pus on tonsils) 3. N-nodes (swollen) 4. T-temperature (fever) 5. OR-young OR old * positive test means you should test for strep
41
What is typical testing for strep include?
1. bacterial culture 2. strep rapid antigen test (in adults this is good enough but if you get negative result on kids then you should obtain strep culture bc strep in kids is VERY common)
42
1. Why would we do treatment for strep 2. Typical treatment for Strep?
1. Treatment is done to reduce complications that may occur NOT so much to reduce symptoms because often strep will solve on its own. 2. Penicillin for 10 days (symptoms resolve in 1-3 days)
43
1. What is croup (laryngotracheobronchitis)? 2. What normally causes it?
1. Viral infection of nasopharynx that spreads to the larynx and trachea 2. parainfluenza
44
Common symptoms of croup?
1. coryza, congestion 2. **Barking cough**, hoarseness, fever
45
What is a hallmark finding in radiography of croup?
1. steeple sign
46
Typical treatment of croup?
1. a corticosteroid - dexamethasone 2. But most get better within 7 days even without treatment
47
Differences between epiglottis and croup 1. appearance of patient 2. onset 3. fever type 4. cough description 5. speech description 6. secretions
image
48
1. What does RSV (respiratory syncytial virus) cause? 2. typical patient age
1. bronchiolitis 2. \<2 years (peak age is 6-12 months)
49
Describe where the different types of sinuses are 1. frontal sinuses 2. maxillary sinuses 3. ethmoid air cell sinuses 4. sphenoid sinuses
image
50
Difference between rhinitis and rhinosinusitis?
Rhinitis - nasal inflammation, commonly caused by allergies inflammation of nasal cavity and paranasal sinuses causing congestion, headache, and facial pain
51
What type of hypersensitivity reaction is seen with rhinitis?
1. Type I
52
symptoms can worsen while bending over or lying down …. this is seen with * rhinitis or rhinosinusitis?
rhinosinusitis
53
What is treatment for rhinosinusitis?
1. Treatment - usually answer is don’t treat with antibiotics bc likelihood of bacterial infection is only 2% 2. Usually goes away on its own and should only give Ab for severe symptoms or if not getting better after 7 days
54
Give microbiology explanation on how rhinitis typically happens? 6 steps Hint: first step is allergen taken up by dendritic cell
1. allergen is taken up by dendritic cell 2. TH2 cell recognizes allergen and sends IL-4 and IL-13 to B cell so it class switches 3. B cell starts making IgE 4. IgE binds to mast cells and basophils 5. allergen then binds to IgE on mast cell which leads to degranulation 6. degranulation leads to edema, vasodilation, etc that is seen in allergic reaction
55
What medications can be given to help with allergic rhinitis?
1. intranasal steroids with fluticasone furoate 2. intranasal antihistamines with azelastine
56
What family is the influenza virus a part of?
1. Orthomyxoviridae family
57
Describe influenza virus 1. enveloped/non-enveloped 2. segmented/non-segmented 3. negative sense/positive sense 4. RNA/DNA
* Is an enveloped, segmented, negative-sense RNA virus.
58
1. What are the varieties of influenza 2. What are some unique aspects of some?
1. three varieties: A, B, and C 2. Only A and B cause disease in humans;;; Only A can be zoonotic (pass from animal to human)
59
1. Where are M1 proteins in influenza virus 2. What do they do?
1. line the inside of virion 2. promote assembly (plays a pivotal role in the budding of influenza virus from the plasma membrane (PM) of infected cells)
60
1. What is the function of M2 proteins in influenza virus? 2. Where is it found?
1. forms proton channel in viral membrane and promote uncoating;;;;;; They also promote viral release once inside host cell 2. Found in envelope of virus
61
Hemagglutinin (HA) and Neuroaminidase (NA) are found on envelope of influenza virus. 1. What is the function of HA (3) 2. What is the function of NA (1)
1. HA * attaching to sialic acids on epithelial cell surfaces promoting fusion of the viral envelope to the cell membrane at acidic pH * Causes hemagglutination (binds and aggregates red blood cells) * Elicits protective neutralizing antibody response 1. NA * cleaving sialic acid on glycoproteins which prevents clumping and facilitates the release of the virus from infected cells.
62
What is antigenic drift?
* Antigenic drift is the result of mutations in the HA or NA gene and occurs every 2-3 years causing local outbreaks
63
What is antigenic shift
* Antigenic shift is a reassortment of genomes from different strains which can cause devastating pandemics
64
Antigenic shift or drift? 1. minor mutations in HA 2. Major mutations (such as reassortment of genomes among different strains)
1. antigenic drift 2. antigenic shift
65
1. How many types of HA proteins are there? 2. What about NA proteins?
1. 16 2. 11
66
Explain the general steps to replication of influenza virus? 1. starts with viral HA binds to receptor containing sialic acid
image
67
What determines the symptoms and gravity of symptoms when someone has the flu?
1. determined by extent of viral killing 2. Influenza infections induce interferon production readily leading to systemic cytokine production within 3-4 days of infection. These cytokines are what induce flu-like symptoms
68
What is the incubation period with influenza?
1-4 days
69
within how many days is viral production typically controlled by?
Within 4-6 days post infection * Tissue damage due to immune responses may continue and repair of this damage is initiated within 3-5 days of start of symptoms
70
What are some complications that can arise from severe flu? (2)
1. Pneumonia 2. Reye syndrome (An acute encephalitis (inflammation of brain) that affects children and occurs after a variety of acute febrile infections)
71
What are some clinical treatments for flu? (3)
1. Amanatadine 2. Oseltamivir (plus others like this) 3. Baloxavir
72
What is the mechanism of action of Amanatadine when used against influenza virus
* Inhibits uncoating of influenza A virus only. * rarely used though because of resistance
73
What is the mechanism of action of Oseltamivir (other -ivir drugs) when used against influenza virus
* NA inhibitors that work on influenza A and B. * effective as prophylaxis or if used 24-48 hours after symptoms
74
What is the mechanism of action of Baloxavir when used against influenza virus
* Inhibits endonuclease activity of PA protein which is required for viral gene transcription. → inhibits influenza virus replication * Effective with influenza A and B
75
How are novel influenza outbreaks labelled? ex: A/Madrid/3/15 (H3N1)
* Novel outbreaks are classified according to type, place of isolation, date of isolation, and HA/NA type.
76
What are the 3 methods the flu vaccine can be made from?
* Egg-based (most common) * Cell-based * Recombinant
77
What is found within the inactivated flue vaccines?
* Mix of extracts or purified HA and NA proteins for three or four strains of virus that were found to be commonly circulating
78
What are the three different COVID tests?
1. Molecular test 2. Antigen test 3. Antibody test
79
Differentiate between what molecular test, antigen test, and antibody test (all COVID tests) are all looking for?
1. testing for the virus itself-amplification of RNA 2. test for antigen 3. tests for antibodies against COVID virus
80
Which COVID test is most accurate and does not need to be repeated?
molecular test
81
Which COVID tests if you have an active COVID infection?
1. molecular and antigen test 2. antibody tests if you have potentially been infected in the past
82
COVID patient Dexamethasone 1. MOA/purpose 2. used in hospitalized patients or outpatient?
1. anti-inflammatory 2. hospitalized patient who requires supplemental oxygen
83
COVID patient Remdesivir 1. MOA/purpose 2. used in hospitalized patients or outpatient?
1. antiviral-helps interrupt production of virus 2. hospitalized patients who need supplemental oxygen
84
COVID patient Janus Kinase Inhibitors 1. MOA/purpose 2. used in hospitalized patients or outpatient?
1. helps with cytokine levels 2. hospitalized pts
85
COVID patient IL-6 inhibitors 1. MOA/purpose 2. used in hospitalized patients or outpatient?
1. helps with cytokine levels 2. hospitalized
86
COVID patient Anticoagulation meds 1. MOA/purpose 2. used in hospitalized patients or outpatient?
1. works against thrombosis that was often found in autopsies of COVID patients 2. hospitalized
87
COVID patient Monoclonal antibody therapy (sotrovimab, bebtelovimab) 1. MOA/purpose 2. used in hospitalized patients or outpatient?
1. Attach to spike protein and blocks virus ability to go into host cell 2. outpatient
88
COVID patient Antiviral therapy (paxlovid, remdesivir, molnupiravir) 1. MOA/purpose 2. used in hospitalized patients or outpatient?
1. prevents production of virus. Best if used as prophylaxis or very early on in symptom presentation 2. outpatient
89
How does the COVID vaccine work (explain general steps) (3-4 steps)
image
90
What does the spike glycoprotein on COVID virus do?
allows virus to gain entrance into host cell
91
What receptor does COVID virus adhere to on host cell?
ACE-2 receptor on body cells. The body mimics ACE-2
92
Community acquired pneumonia (CAP) must be dx in the first (Blank) hours if hospitalized
1. 48 hours
93
Hospital acquired pneumonia must be dx after (Blank) days in hospital
2
94
Pathology of Community Acquired Pneumonia (CAP) What is seen with… 1. alveolar walls 2. airspace 3. Difference in appearance of tissue slide
1. Alveolar walls are thicker because there is congestion with RBC 2. Neutrophils are filling airspaces (happens after airspaces get filled with fluid+bacteria) 3. CAP tissue sample looks more dense and has minimal airspace
95
What is the most common bacterial cause of community acquired pneumonia?
strep pneumoniae
96
What radiographic findings are found for community acquired pneumonia (CAP)? (3 types of findings possible)
1. lobar pneumonia (generally from bacteria that cause CAP) 2. bronchopneumonia (may be seen if you catch pneumonia early enough and doesn't progress to lobar pneumonia) - image 3. interstitial infiltrates (generally from viruses that cause CAP)
97
What treatment is given to an outpatient patient with CAP? (3 options)
1. Amoxicillin 2. Doxycycline 3. Macrolide (if there is resistance)
98
What treatment is given to an inpatient patient with non-severe CAP? (2 options)
1. Beta lactam with macrolide 2. Beta lactam with respiratory fluoroquinolones
99
What treatment is given to an inpatient patient with severe CAP? (2 options)
1. Beta lactam + macrolide 2. Beta lactam + fluoroquinolone
100
What organism causes atypical community acquired pneumonia?
1. mycoplasma pneumoniae
101
Atypical community acquired pneumonia Pathology 1. Tissue around airways 2. Alveoli septum/walls 3. Airspaces
1. Inflammation around airways 2. Alveoli septum/wall are thickened because there are neutrophils and macrophages in these walls 3. Airspaces are still preserved
102
1. What is cold agglutinin 2. In what disease is it found in?
1. Autoantibody IgM (specifically pentamers of Ab) are directed against red cell antigen which leads to RBC clumping 2. Found in atypical community acquired pneumonia
103
What is the descriptor walking pneumonia typically used for?
1. atypical community acquired pneumonia
104
What radiographic findings are found with atypical community acquired pneumonia?
1. insterstitial pneumonia pattern 2. Can also have bronchopneuomina
105
Treatment of atypical community acquired pneumonia? (3 options)
1. Macrolide 2. Doxycycline 3. Fluoroquinolone
106
What leads to aspiration pneumonia? (3 general steps)
1. If pt has trouble swallowing, repeated vomiting, abnormal gag, etc then there is more risk for bacteria to get into the lungs 2. This leads to lung injury (chemical-gastric acid damaging lungs AND bacterial infection due to oral flora in lungs) 3. This all ends with bacterial infection being found in lungs
107
What organisms typically cause aspiration pneumonia? (2)
1. anaerobic organisms 2. Staph aureus
108
1. What is a lung complication of aspiration pneumonia? 2. How is this seen in pathology/gross anatomy?
1. a lung abscess can develop from aspiration pneumonia 2. liquefactive necrosis can occur
109
What are some complications of aspiration pneumonia that are seen in other parts of bodies (that are not lungs)? (3)
* Endocarditis - if bacteria get into bloodstream it can affect the valves * Meningitis - if bacteria get into bloodstream it can also cause meningitis * Empyema - infection in the pleural cavity
110
Radiographic findings of aspiration pneumonia?
Cavitary lesion with air fluid level (The air rises above the fluid and there is a flat surface at the "air-fluid" interface)
111
What is the most common cause of pneumonia in pediatric patients?
1. RSV
112
What pathology is seen with RSV caused pneumonia?
1. Large syncytia of cells. 2. Cytoplasmic changes due to RSV (multiple nuclei and solid viral inclusions in cytoplasm)
113
What are some radiographic findings of RSV induced pneumonia in pediatric patients?
1. opacities in lungs 2. flattened diaphragm due to hyperinflation of lungs
114
1. What is the major cause of fungal pneumonia? 2. What does it look like under microscope/pathology
1. Coccidioidomycosis 2. in image you can see middle image shows spherule while bottom image shows rupture of spherule
115
These are other fungi that can cause fungal pneumonia. Identify them
image
116
These are other fungi that can cause fungal pneumonia. Identify them
image
117
These are other fungi that can cause fungal pneumonia. Identify them
image
118
What are some radiographic findings of fungal pneumonia?
1. Shows consolidation
119
What treatment is given for fungal pneumonia?
Fungal treatment like fluconazole
120
Mycobacterial pneumonia 1. What is seen in pathology
1. granulomatous inflammation with caseating necrosis
121
Mycobacterial pneumonia 1. What is seen in gross anatomy
1. tan areas of consolidation
122
What organism causes mycobacterial pneumonia?
**Mycobacterium tuberculosis** (miliary tuberculosis)
123
What is radiographic finding of mycobacterial pneumonia?
image
124
Treatment for active TB (mycobacterial pneumonia)
1. RIPE (rifampin, isoniazid, pyrazinamide, ethambutol)
125
Treatment for latent TB (mycobacterial pneumonia)
* Isoniazid for 9 months * Or Rifampin for 4 months * more options too
126
Acute respiratory distress syndrome (ARDS) - due to vaping 1. What is the pathogenesis? (4 general steps)
* Macrophages and neutrophils will try to destroy vaping substances (lipids and insoluble material) in alveoli which begin inflammatory response * Inflammatory cells are recruited into alveoli and with those inflammatory cells you will get edema fluid and fibrin leaking across * There is widening of septal space so oxygen has to travel more * Hyaline membrane deposition on alveolar wall
127
What does pathology of ARDS look like? 1. Bronchiole epithelium 2. Alveolus 3. Alveolar Space 4. Alveolar wall
1. Sloughing off of epithelial lining of bronchiole + inflammatory cells infiltrate 2. Alveolus has a lot of cellularity which could be inflammatory cells and also substances from vaping 3. less alveolar space 4. hyaline membrane deposition
128
NRDS (neonatal respiratory distress syndrome) 1. what is general pathogenesis (3 steps +image)
1. premature babies have reduced surfactant synthesis which leads to increased alveolar surface tension 2. Causes atelectasis (collapse of part of lung) and thus hypoxemia 3. Eventually leads to epithelial damage and eventual hyaline membrane disease 4. There is more details in image
129
Stages of lobar pneumonia 4 stages
1. congestion 2. red hepatization 3. grey hepatization 4. resolution
130
Stages of lobar pneumonia 1. what is congestion stage?
1. occurs within 24 hours of infection. Many bacteria are present in the lungs but few white blood cells are available to fight the infection. The lungs may look red from increased blood flow and swelling of the lung tissue.
131
Stages of lobar pneumonia 1. Red Hepatization
1. (red hepatization) occurs after 48 to 72 hours and lasts for about 2 to 4 days. The affected lung becomes more dry, granular and airless and resembles the consistency of liver. Red cells, white cells, bacteria and cellular debris can clog the lung airways.
132
Stages of lobar pneumonia 1. Grey Hepatization
(grey hepatization) occurs on day 4 to 6 and continues for 4 to 8 days. The lung looks grey or yellow in color but still has the consistency of liver. Fibrin, hemosiderin and red blood cells break down and lead to a more fluid-like exudate. Macrophages, a type of large white blood cell, start to form.
133
Stages of lobar pneumonia 1. Resolution
1. (resolution) is the final recovery stage and occurs during days 8 to 10. Fluids and breakdown products from cell destruction are reabsorbed. Macrophages (large white blood cells) are present and help to clear white blood cells (neutrophils) and leftover debris. You may cough up this debris. The airways and air sacs (alveoli) return to normal lung function. Any remaining lung swelling may lead to chronic lung disease (such as airway narrowing or pleural adhesions).
134
What are the time frames of chronic, subacute, and acute cough?
1. chronic is more than 8 weeks 2. subacute is 3-8 weeks 3. acute is less than 3 weeks
135
What is upper airway cough syndrome?
UACS involves upper airway and nasal irritation caused by **allergies, a sinus infection (sinusitis), or acid reflux**.
136
What drug use can lead to chronic cough in adults?
1. ACE inhibitor use
137
What therapeutic plan should be used for upper airway cough syndrome?
1. fluticasone spray - intranasal steroid
138
What is acute overwhelming lung disease?
1. Infections, vascular diseases like PE, exposure to inhaled toxins
139
In acute overwhelming lung disease what is seen? 1. hypoxemia 2. hypercapnia 3. both or none
1. profound hypoxemia without hypercapnia
140
for acute overwhelming lung disease * how does oxygen and mechanical ventilation play a role?
1. oxygen administration is required for hypoxemia 2. mechanical ventilation may be necessary to support patient until recovery
141
What changes in CO2 is seen with neuromuscular disorders?
* Respiratory centers are depressed by drugs or other neuromuscular conditions * Essential feature is hypoventilation leading to CO2 retention with moderate hypoxemia
142
for neuromuscular disorders * how does oxygen and mechanical ventilation play a role?
1. oxygen is not really needed because lungs are normal 2. Mechanical ventilation is often necessary
143
What changes in O2, CO2 is seen with chronic lung disease (like COPD)?
1. Profound hypoxemia (low blood O2) 2. CO2 retention
144
What treatment is given to people with chronic lung disease?
1. supplemental oxygen is given for hypoxemia but only until O2 stats are around 88-94% because if given more than CO2 retention and acidosis can worsen 2. Mechanical ventilation is necessary in many cases
145
Explain what A, B, C, and D mean
A - pure hypoventilation (severe neuromuscular disease or narcotic drug) B - COPD patients show this → hypoxemia is more severe than hypercapnia C - increasingly severe hypoxemia but no CO2 retention because of raised ventilation D - ARDS (Low CO2 and O2)
146
Explain what D→E and B→F means
D→E : This is when person is given oxygen B→F : also given oxygen but in this cause both O2 and CO2 rise (in COPD patients)