Wk 4 Flashcards

(29 cards)

1
Q

Briefly describe the Adaptive and generally reversible types of cellular response to injury

A

Atrophy - decreased cell size e.g Atrophy in the pericardial fat.

Hypertrophy - increased cell size e.g increased size of myocardial cells due to stenotic heart valves

Hyperplasia - increased number of cells e.g goblet cell hyperplasia in bronchioles of lungs. This does not occur in all cell types - e.g neurons and cardiac cells can’t multiply

How well did you know this?
1
Not at all
2
3
4
5
Perfectly
2
Q

Explain why development during gestation is important by giving an example.

A

Cell division and differentiation involves several internal and external controls. In embryonic development timing is crucial for example, Cyclopia (one eye) is caused by ingesting a plant in ewes Day 14 of gestation and in rabbits day 6-9 of gestation. This is because the optical disc separates at D 14 in ewes and D6-9 in rabbits.

The optical disc separates at Day 14 in ewes and Day 6-9 in rabbits.

How well did you know this?
1
Not at all
2
3
4
5
Perfectly
3
Q

What can errors in growth and developmental disorders be classified as?

A

Minor (asymmetry of body parts) or major (malformations causing abortion or defects incompatible with life).

How well did you know this?
1
Not at all
2
3
4
5
Perfectly
4
Q

What are the two broad categories of cellular defects?

A

DNA/Chromosomal defects and Cellular microenvironment.

How well did you know this?
1
Not at all
2
3
4
5
Perfectly
5
Q

What are examples of DNA/Chromosomal defects?

A

Gene mutations (indels, substitution) and chromosomal issues such as translocations, duplications, and absences.

Examples include Down syndrome (trisomy 21) and Turner’s syndrome (Single X chromosome in females only 1 x sexchr.some).

How well did you know this?
1
Not at all
2
3
4
5
Perfectly
6
Q

What drives cells in the cellular microenvironment?

A

Internal and external signals.

How well did you know this?
1
Not at all
2
3
4
5
Perfectly
7
Q

What are the three categories of cells responding to injury?

A

Adaptive and generally reversible, Adaptive and potentially reversible, Not adaptable and not reversible.

How well did you know this?
1
Not at all
2
3
4
5
Perfectly
8
Q

What is atrophy?

A

Decreased cell size, e.g., muscle size decreased with decreased neural stimulation.

Example: Serous atrophy of fat in the pericardial area due to cachexia.- marked wasting of tissue

How well did you know this?
1
Not at all
2
3
4
5
Perfectly
9
Q

What is hypertrophy?

A

Increased cell size, e.g., increased size of myocardial cells due to stenotic heart valves.

Example: Hypertrophic cardiac myocytes appear large with irregular branches.

How well did you know this?
1
Not at all
2
3
4
5
Perfectly
10
Q

What is hyperplasia?

A

Increased number of cells, e.g., goblet cell hyperplasia in bronchioles of lungs.

How well did you know this?
1
Not at all
2
3
4
5
Perfectly
11
Q

What is metaplasia?

A

Change in one differentiated cell type to another mature differentiated cell type within the same embryonic lineage.

Example: Osseous metaplasia in the aorta due to chronic irritation.

How well did you know this?
1
Not at all
2
3
4
5
Perfectly
12
Q

What is dysplasia on a cellular level

A

Architectural/cellular disorder or absence of normal structure or differentiation.

Example: Squamous metaplasia and dysplasia in the trachea of smokers.

How well did you know this?
1
Not at all
2
3
4
5
Perfectly
13
Q

What are the pathological microscopic changes in cellular dysplasia?

A

Anisocytosis, Poikilocytosis, Hyperchromatism, and presence of increased mitotic figures.

How well did you know this?
1
Not at all
2
3
4
5
Perfectly
14
Q

What is the difference between cellular dysplasia and organ dysplasia? (LA)

A

Dysplasia is abnormal growth or development .
Cellular dysplasia is the disorder of cell layers and abnormal cell morphology - it can be reversible or may be preneoplastic. It has 4 pathological microscopic changes
Anisocytosis = unequal cell size
Poikilocytosis = abnormal cell shape
Hyperchromatism/hyperchromasia = dark nuclei
Presence of increased mitotic figure - unusual number of cells that are dividing

In contrast, organ dysplasia occurs at an organ level and causes malformation which is irreversible. Eg hip dysplasia (abnormal conformation of acetabulum), elbow dysplasia

Example: Hip dysplasia.

How well did you know this?
1
Not at all
2
3
4
5
Perfectly
15
Q

What are the three types of cell responses that are not adaptable and not reversible?

A

Apoptosis, Necrosis, and Neoplasia.

How well did you know this?
1
Not at all
2
3
4
5
Perfectly
16
Q

What are prenatal growth disorders?

A

Injuries to cells that have significant effects in the embryo due to primordial and pluripotent stem cell differentiation, max cell multiplication, and acute timing with controls.

17
Q

What are the two types of prenatal growth disorders?

A

agnesis/aplasia - failure to develop
Hypoplasia - failure to attain normal size

Inherited malformations and congenital malformations.

18
Q

What are inherited malformations?

19
Q

What are congenital malformations?

A

Malformations that can be DNA-based or caused by other factors such as toxins or infections.

20
Q

Describe Not adaptable and non-reversible cellular responses to injury

A

Apoptosis - programmed cell death (sublethally injured cells may undergo apoptosis i.e unrepairable DNA damage)

Necrosis - uncontrolled cell death (lethal injury results in uncontrolled cell death)

Neoplasia - DNA damage leads to uncontrolled abnormal cell proliferation and differentiation. This damage often needs to be significant and cumulative (more than 1 gene family damaged in most cases). - This is a cause of cancer as mutations accumulate over time and thus increases the rate of cancer with age.

21
Q

Describe Adaptive and potentially reversible cell response to injury

A

Metaplasia - change in one differentiated cell type to another mature differentiated cell type within the same embryonic lineage. E.g osseous metaplasia in the aorta (transformation into bone with chronic irritation) - aorta contains CT and smooth m and bone is a type of CT (same lineage diff type of cell).

Dysplasia - architectural/cellular disorder or absence of normal structure or differentiation e.g squamous metaplasia and dysplasia in the trachea of smokers due to chronic irritation.

Both Metaplasia and Dysplasia may be reversed with removal of the irritant stimulus, however, prolonged stimulation can lead to neoplasia. (i.e preneoplastic in some circumstances)

22
Q

Describe Prenatal growth disorders (Malformations) (LA)

A

Injuries to cells may have a more significant effect in the embryo since the following processes occur in the embryo:
-primordial and pluripotent stem cell differentiation
-max cell multiplication and differentiation
-acute timing with internal and external controls

Prenatal growth disorders can be inherited malformations or congenital malformations.
Inherited malformations: DNA based

Congenital malformations: (born with) Can be DNA based or based on other causes e.g toxins, infections, physical factors - actual cause may be difficult to determine if sporadic incidence

23
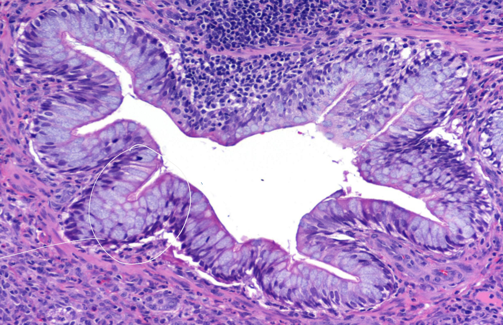
Q

What is happening here

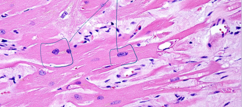
24
Q

What is happening here

25
what is happening here
Different epithelia and dysplasia
26
prolonged metaplasia or dysplasia can lead to what
Neoplasia
27
what is happening here
Metaplasia - mature cell into a different mature cell type Ossesous metaplasia in the aorta of a cow
28
what are the 4 pathological microscopic changes in cellular dysplasia
4 1. ANisocytosis 2. Poikilocytosis 3.Hyperchromatism/Hyperchromasia = Dark nuclei 4. Presence of increased mitotic figure
29
why is neoplasia a non-reversible cell injury?
Neoplasia - DNA damage leads to uncontrolled abnormal cell proliferation and differentiation. This damage often needs to be significant and cumulative (more than 1 gene family damaged in most cases). - This is a cause of cancer as mutations accumulate over time and thus increases the rate of cancer with age.