injury to 11

avulsion
suitable storage mediums for 11
in order

saliva
milk
physiological saline
water
radiograph to review 11

anterior periapical
8yo presents with mum, complains he frequently sucks his thumb
List the dental features of digit sucking
anterior open bite
proclined upper incisors
retroclined lower incisors
unilateral posterior cross bite
methods to break digit sucking habit
nailvarnish with bitter taste
URA with rake/crib
finger guards
positive reinforcement
35y.o. male, type 1, requires extraction of lower right 8
blood tests needed
HbA1c 48mmol/mol or below
extraction of lower 8
LA
IDB - inferior alveolar nerve and long buccal
flap design for 48 extraction
Distal relieving, crevicular incision partway across 7 and mesial relieving

35y.o. male, type 1, requires extraction of lower right 8
Pt begins sweating and begins to lose coconsciousness
2 likely reasons
hypoglycaemic attack
syncope/fainting due to stress or drop in BP
clinical signs of gingivitis
bleeding
redness/inflammed gums
hallitosis
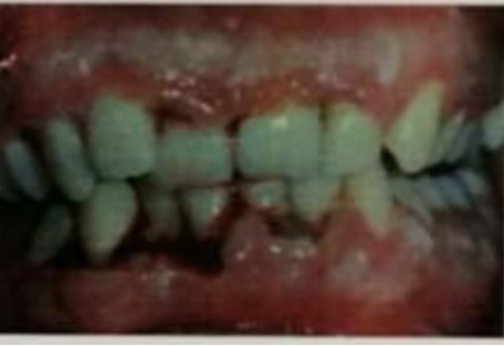
clinical features of periodontitis
mobile teeth
gum recession
premature tooth loss
clincal attachment loss
pockets
bone loss
formation of black triangles
inflammation
Dx

necrotising ulcerative periodontitis
features of NUP
greyish/yellow slough
bleeding
bad smell and taste
inflammation
common risk factors for NUP
stress
bad OH
malnutrition
female
smoking
immunosuppressed
methods of assessing bridge failure
radiograph
pain/inflammation
stained/discoured
lisp
loose
cracked
reasons why a bridge may fail
inappropriate prep
occlusal trauma
poorly bonding
impinge supracrestal attachment
poor perio health
fractured abutment teeth
decay
types of luting cement
glass ionomer cement
ZOE
why not use RMGI for luting cement of post
needs light cured and post is too deep to achive an effective cure
what is this

foxs bite plane
used to check occlusal plane
what is this

willis gauge
measuring occlusal vertical dimension, freeway space and resting vertical dimension
what is this

high smile line
allow the lab to wax up the teeth in correct allignment as to not show too much gum
gte the pt to smile and mark it on
incisal plane
ask pt to relax and mark how much teeth
check by saying f
more in young then old
reduce block to this plane
what is this

centre line/midline
to position the central incisors and midline
from the philtron of the upper lip
get pt to look ahead at mirror with themselves and then stand behind to check
what is this

canine lines
measure how large the teeth should be and set canines
measure down from inner canthus of the eye