What is DISI?

What causes DISI?
What is the outcome of DISI if left untreated?
Cause a SLAC wrist- Scapholunate advanced collapse
What are the signs of DISI?
dorsal wrist pain or a clunk during this maneuver may indicate instability of scapholunate ligament
What investigations are helful in DX DISI and what do you see?
AP radiographs
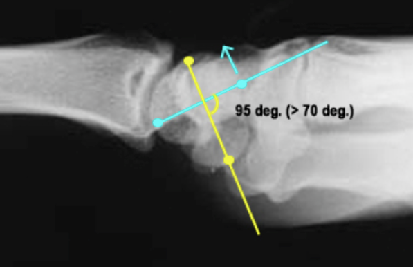
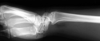
Lateral
Arthroscopy- Gold standard for diagnosis
MRI- High specificity , medium sensitivity

What is the TX of DISI?
Non operative
casting alone is insuffucient- most peoples view
Operative
What is VISI?
Volar incalcated scaphoid injury
A type of carpal instability dissociative

What is the pathoanatomy of VISI?
Advanced injury to
Mechanism is:
Lt injured in Wrist Hyperextension or Extension and radial deviation
scaphoid induced the lunate into further flexion while triquetrum extends
Occasionally VISI seen in pts with ligamentous laxity and no hx of trauma ( unlike DISI)

What are the symptoms and signs of VISI?
Grasp the lunate between the thumb and index finger of one hand while applying alternative dorsal and palmar loads across the triquetrum with the thumb and index of the other hand
* positive test **elicits pain, crepitus or increased laxity**, suggesting **LT interosseous injury**
What investigations would help you dx VISI and what do you see?
Radiographs
Lateral
AP
Arthroscopy may be helpful in dx
-

What are the tx options for VISI?
Non operative
Observations- attempted initally
Operative
Acute instability = CRPP ( mutliple K wires)+ acute ligament repair+/- Dorsal capsulodesis
Chronic instability=LT fusion- non union complication
Arthroscopic Debridment of LT Ligament with ulnar shortening- Chronic instability and Positive UV
What is SLAC?

Describe the pathoanatomy of SLAC wrist?
Chronic SL ligament injury-> DISI deformity
What is the classification system for SLAC & TX ?
WATSON

Stage 1- Arthritis between scaphoid & radial styloid
Tx- Radial styoidectomy+ scapholunate reduction+stabilisation
Stage 2- Arthritis of entire radioscaphoid joint
TX- Eliminate radioscaphoid joint by…
Proximal row carpectomy
Four corner fusion: lunate/hamate/capitate/triquetrum
Radioscapholunate fusion, total wrist arthrodesis, total wirst arthroplasty
Stage 3- Arthritis between CAPITATE and LUNATE (pic)
Tx- SLAC procedure- Prox row carpectomy
Total wrist arthrodesis
**Stage IV- not decribed by Watson by bascally pancarpal arthritis**
What are the symptoms and signs of SLAC wrist?
Symptoms
Signs
with firm pressure over the palmar tuberosity of the scaphoid, wrist is moved from ulnar to radial deviation
positive test seen in patients with scapholunate ligament injury or patients with ligamentous laxity, where the scaphoid is no longer constrained proximally and subluxates out of the scaphoid fossa resulting in pain.
when pressure removed from the scaphoid, the scaphoid relocates back into the scaphoid fossa, and typical snapping or clicking occurs.
must compare to contralateral side
What is seen in SLAC stage 1 on xray
PA radiograph

What are seen on xray for a SLAC stage 2 wrist?
PA radiograph
sclerosis
joint space narrowing- between scaphoid and entire scaphoid fossa of distal radius

What are seen on xray for a SLAC stage 3 wrist?
Pa radiograph

What are seen on a lateral xray for a SLAC wrist
TX of SLAC wrist
Non operative
NSAIDs, wrist splinting, ? corticosteriod injections
Operative
open or arthroscopic
Excise - scaphoid/lunate/triquetrum
CI if incompetet radioscaphocapitate ligament/ capitolunate arthritis as lunate articulates with lunate fossa of distal radius
Preserves relative strength/ motion
wrist motion occurs thru perserved lunate & distal radius
similar longterm results between this and prox row carpect
Gives best for pain relief adn good grip strength at cost of wrist motion
Define a SNAC wrist?

Describe the radiographic and tx of SNAC?
Tx- Radial styloidectomy + fixation of scaphoid Non union w Bone Graft
Proximal row carpectomy, SLAC procedure(excision sacphoid and 4 corner fusion), Total wrist arthroplasty/ total wrist fusion
What is carpal instability non dissociative?
Instability between rows either
Midcarpal -between prox and distal row
Radiocarpal- between radius & prox row
Describe the incidence and pathoanatomy of Carpal instability non dissociative?