X-ray basics Flashcards

(5 cards)

1
Q

What does Salter Harris classification relate too?

A

Refer to physical fractures through a growth plate (physis), therefore applied to children.
The metaphysis and epiphysis are separated by the physis (growth plate). They are separated into 5 different classifications.

How well did you know this?
1
Not at all
2
3
4
5
Perfectly
2
Q

What is the Periosteum?

A

The fibrous connective tissue membrane that covers the external surfaces of all bones, apart from the joint surfaces which are covered by articular cartilage.

How well did you know this?
1
Not at all
2
3
4
5
Perfectly
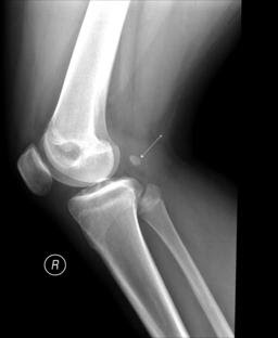
3
Q

What is a Fabella?

A

A sesamoid bone located in the lateral head of the gastrocnemius muscle, behind the lateral femoral condyle.

How well did you know this?
1
Not at all
2
3
4
5
Perfectly
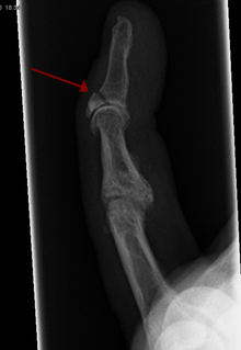
4
Q

What is an avulsion injury/fracture?

A

Is where a ligament or tendon that is attached to a bone, pulls a piece of the bone off. Can happen anywhere but most common sites are the finger, ankle, foot and hip.

How well did you know this?
1
Not at all
2
3
4
5
Perfectly
5
Q

Explain Ossification.

A

This is the formation of new bone that continues until early adulthood.
There are two different ways, Intramembranous ossification and Endochondral ossification.
Intramembraneous ossification forms flat bones like the skull and clavicle through remodelling of connective tissue. Endochondral ossification forms bones by replacing hyaline cartilage, occurring in the long bones.

How well did you know this?
1
Not at all
2
3
4
5
Perfectly