How to assess image quality
Rotation
Inspiration
Projection
Exposure
How to approach a CXR
ABCDE
Airway - trachea, carina + bronchi, hilar structures
Breathing - lungs, pleura
Cardiac - heart size, borders
Diaphragm - costophrenic angles
Everything else - mediastinal contours, bones, soft tissue, tubes/ valves/ pacemakers
Review areas - lung apices, retrocardiac, behind diaphragm, peripheral lungs, hilar
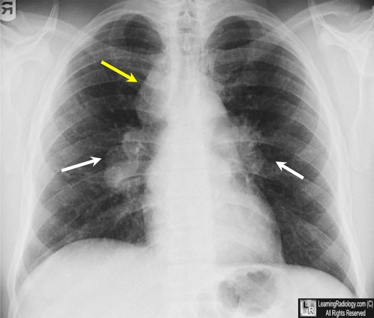
What does bilateral symmetrical hilar enlargement indicate?
Sarcoidosis

What does unilateral hilar enlargement indicate?
Malignancy

What does increased + absent lung markings indicate?
Increased = pathology (malignancy/ consolidation)
Absent = pneumothorax

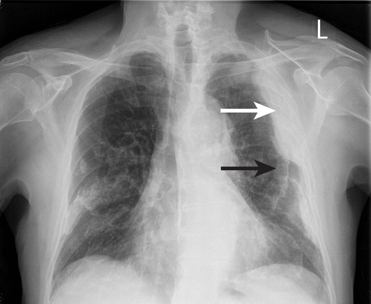
What does pleural thickening indicate?
Mesothelioma

What does loss of definition of right heart border indicate?
Right middle lobe consolidation

What does loss of definition of left heart border indicate?
Lingular consolidation

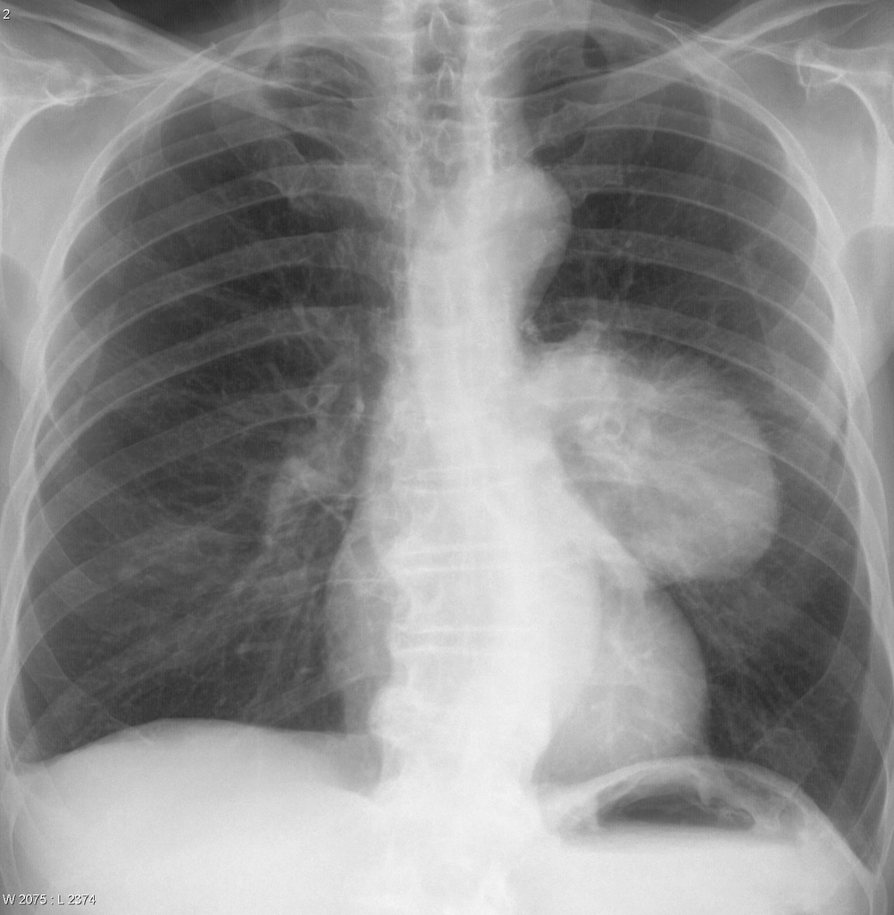
What does a loss of definition of aortic knuckle indicate?
Aneurysm

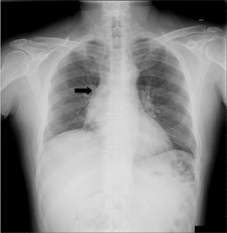
What does loss of the aorto-pulmonary window suggest?
Mediastinal lymphadenopathy = malignancy

How to approach a AXR?
Image quality
BBC approach:
Bowel + other organs
Bones
Calcification
Presenting
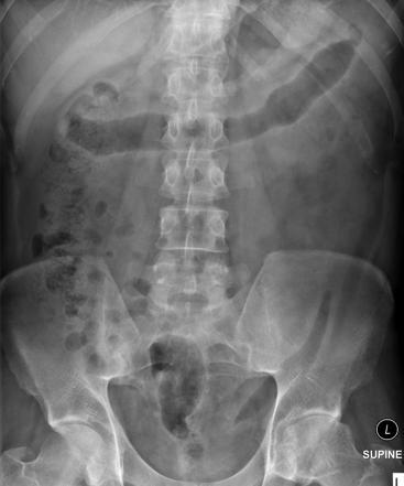
How can you distinguish the small bowel?
Mucosal folds = valvulae conniventes - seen across full width of bowel

How can you distinguish the large bowel?
Pouches that protrude into lumen = haustra

What are the spaces in between the haustra called?
Plicae semilunaris
What is the 3/6/9 rule?
Diameter of intestines should be no greater than:
3cm in small bowel
6cm for colon
9cm for caecum

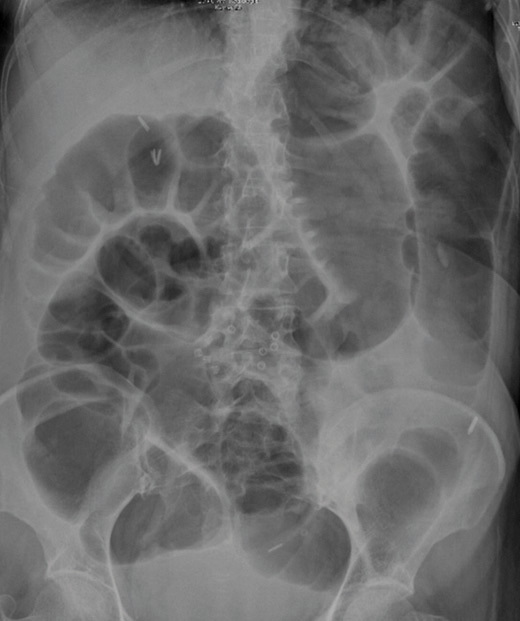
How does small bowel obstruction appear?
>3cm dilation
Dilated loops = coiled spring look

How does volvulus appear?
Sigmoid = coffee bean appearance
Caecal = fetal appearance

What is Rigler’s sign?
Pneumoperitoneum may cause both sides of bowel wall to be visible

What does thumb printing indicate + what is it?
Mucosal thickening of haustra due to IBD

What does a lead pipe colon indicate?
Loss of haustral markings secondary to chronic colitis
