Xeroderma Flashcards

(11 cards)

1
Q

Qu’est-ce que les lichénoïdes?

A

Éruption cutanée
- Cause l’épaississement des couches épithéliales

How well did you know this?
1
Not at all
2
3
4
5
Perfectly
2
Q

Quel mécanisme de réparation de l’ADN est manquant dans la pathogénèse de la xeroderma pigmentosum?

A

L’excision des nucléotides lésées est dysfonctionnel

How well did you know this?
1
Not at all
2
3
4
5
Perfectly
3
Q

Les rayons UV affectent quelles bases azotée dans l’ADN? Comment?

A
  • Base T : Base thymine touchée
  • Basé A : Liaison covalente entre 2 thymines qui va remplacer la base complémentaire adénine
How well did you know this?
1
Not at all
2
3
4
5
Perfectly
4
Q

Quels sont les symptômes les plus fréquents de la xeroderma pigmentosum?

A
  • 80% = peau et yeux
  • 20% = atteintes neurologiques
How well did you know this?
1
Not at all
2
3
4
5
Perfectly
5
Q

Qu’est ce que la microsotomie? Quels sont ses effets?

A

Diminution de l’espace de la cavité buccale
- Difficulté à parler
- Difficulté à mâcher
- Difficulté à se brosser les dents

How well did you know this?
1
Not at all
2
3
4
5
Perfectly
6
Q

Quelle est la différence entre la choréoathétose et l’ataxie?

A
  • Choréoathérose = mouvements brusques et secs involontaires des membres
  • Ataxie = atteinte cérébelleuse, présentation d’une perte d’équilibre
How well did you know this?
1
Not at all
2
3
4
5
Perfectly
7
Q

À quel point les patients sont plus à risque de développer un cancer et une tumeur?

A
  • Cancer = 1000 x plus de chance
  • Tumeur = 4000 x plus de chance
How well did you know this?
1
Not at all
2
3
4
5
Perfectly
8
Q
A

Xeroderma

How well did you know this?
1
Not at all
2
3
4
5
Perfectly
9
Q
A

Tumeur affecte cellules basales dans le derme du visage

How well did you know this?
1
Not at all
2
3
4
5
Perfectly
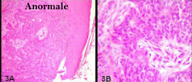
10
Q
A

Hyperplasie et dysplasie épithéliaux lié à l’infiltration de lichénoïde dans le derme

How well did you know this?
1
Not at all
2
3
4
5
Perfectly
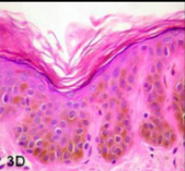
11
Q
A

Hyperpigmentation de la couche basale = présence de lentigos

How well did you know this?
1
Not at all
2
3
4
5
Perfectly