xray structure id - midterm Flashcards

(127 cards)

1
Q

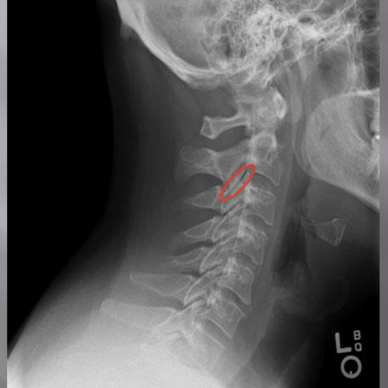
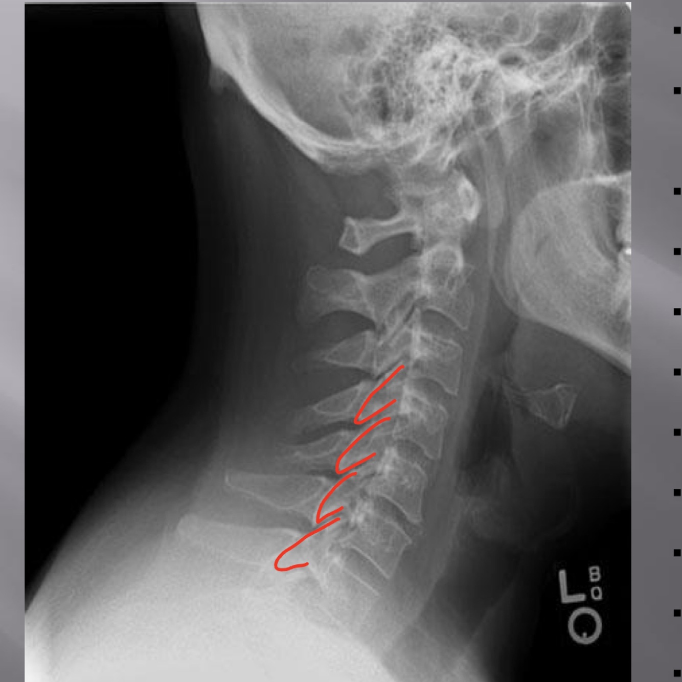
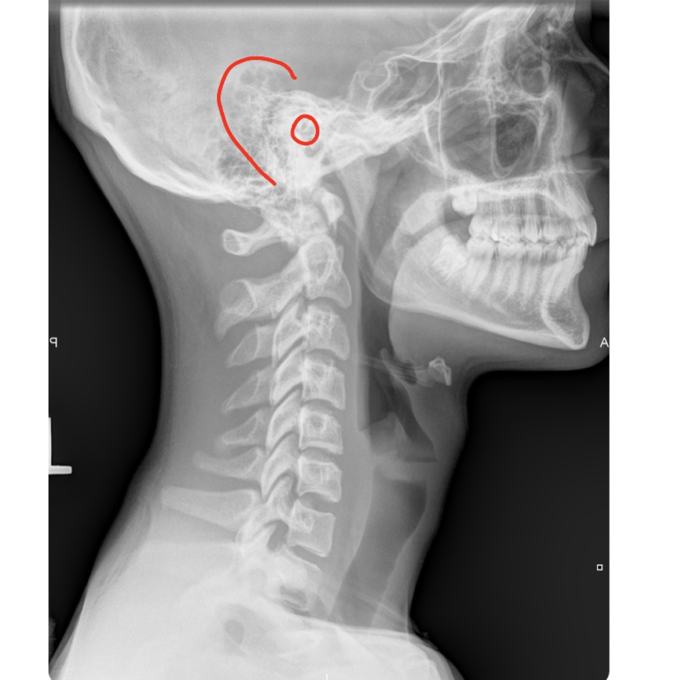
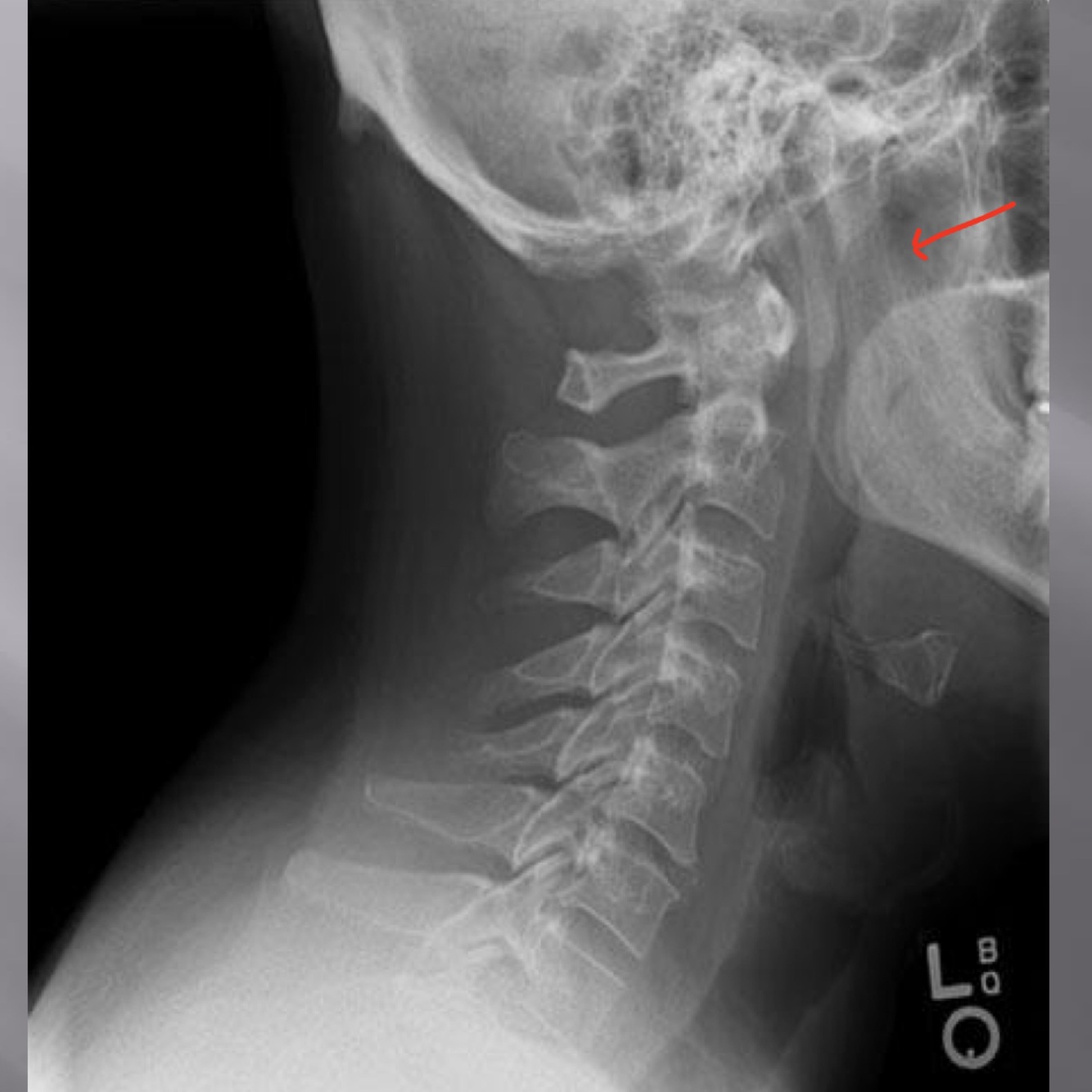
LATERAL CERVICAL LANDMARKS lateral cervical view

A

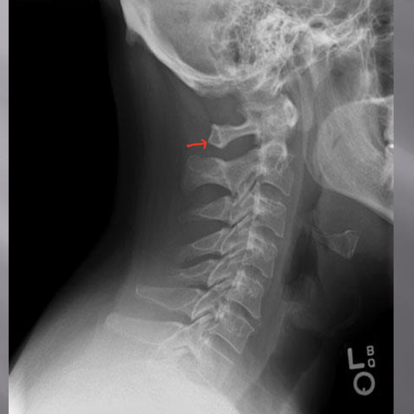
external acoustic meatus

How well did you know this?
1
Not at all
2
3
4
5
Perfectly
2
Q

Lateral cervical view

A

mastoid process (air cells)

How well did you know this?
1
Not at all
2
3
4
5
Perfectly
3
Q

Lateral cervical view

A

posterior tubercle of c1

How well did you know this?
1
Not at all
2
3
4
5
Perfectly
4
Q

Lateral cervical view

A

angle of mandible

How well did you know this?
1
Not at all
2
3
4
5
Perfectly
5
Q

Lateral cervical view

A

EOP

How well did you know this?
1
Not at all
2
3
4
5
Perfectly
6
Q

Lateral cervical view

A

spinous process C2-C7

How well did you know this?
1
Not at all
2
3
4
5
Perfectly
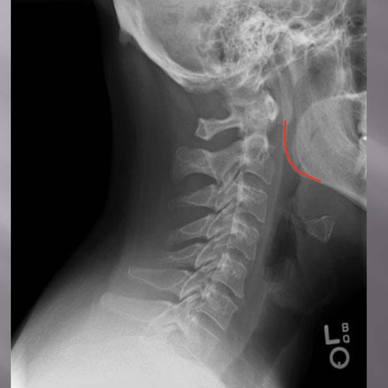
7
Q
A

sella turcica

How well did you know this?
1
Not at all
2
3
4
5
Perfectly
8
Q

Lateral cervical view

A

dens

How well did you know this?
1
Not at all
2
3
4
5
Perfectly
9
Q

Lateral cervical view

A

posterior arch of C1

How well did you know this?
1
Not at all
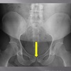
2
3
4
5
Perfectly
10
Q
A

lamina c2-c7

How well did you know this?
1
Not at all
2
3
4
5
Perfectly
11
Q
A

uncovertebral joints (joints of luschka)

How well did you know this?
1
Not at all
2
3
4
5
Perfectly
12
Q

Lateral cervical view

A

vertebral body c2-c7

How well did you know this?
1
Not at all
2
3
4
5
Perfectly
13
Q
A

lateral masses c1

How well did you know this?
1
Not at all
2
3
4
5
Perfectly
14
Q

Lateral cervical view

A

rami of mandible

How well did you know this?
1
Not at all
2
3
4
5
Perfectly
15
Q
A

articular processes

How well did you know this?
1
Not at all
2
3
4
5
Perfectly
16
Q

Lateral cervical view

A

body of mandible

How well did you know this?
1
Not at all
2
3
4
5
Perfectly
17
Q

Lateral thoracic view

A

transverse process of c2-c7

How well did you know this?
1
Not at all
2
3
4
5
Perfectly
18
Q

Lateral cervical view

A

anterior tubercle c1

How well did you know this?
1
Not at all
2
3
4
5
Perfectly
19
Q

Lateral cervical view

A

zygapophyseal joints

How well did you know this?
1
Not at all
2
3
4
5
Perfectly
20
Q
A

frontal sinus

How well did you know this?
1
Not at all
2
3
4
5
Perfectly
21
Q

Lateral cervical view

A

petrous portion

How well did you know this?
1
Not at all
2
3
4
5
Perfectly
22
Q

Lateral cervical view

A

occipital condyle

How well did you know this?
1
Not at all
2
3
4
5
Perfectly
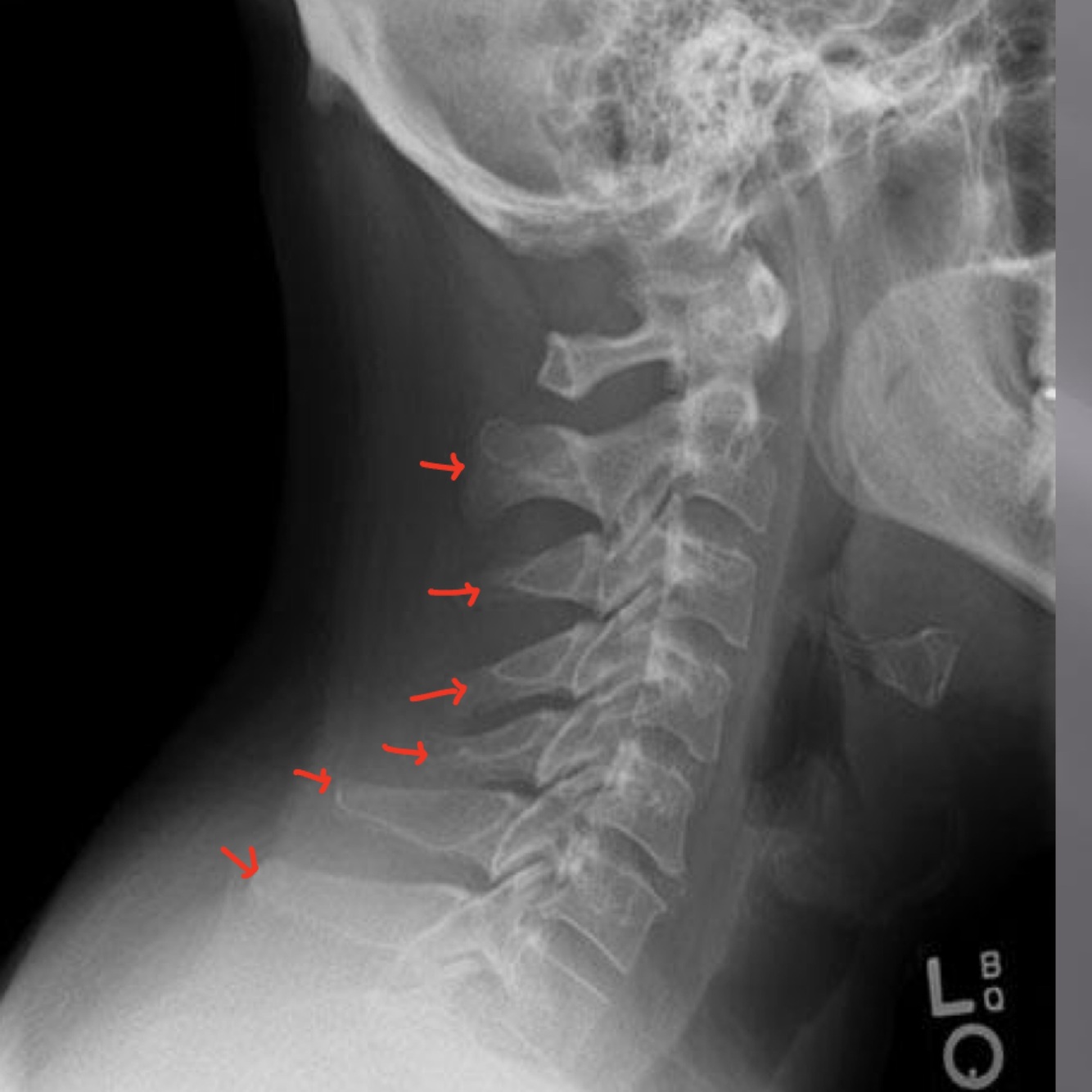
23
Q

Lateral cervical

A

superior endplate tips

How well did you know this?
1
Not at all
2
3
4
5
Perfectly
24
Q

Lateral cervical view

A

inferior endplate tips

How well did you know this?
1
Not at all
2
3
4
5
Perfectly
25
Lateral cervical view
disc spaces
26
Lateral cervical view
atlanto-dental interspace
27
Lateral cervical view
hyoid bone
28
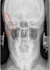
APOM ANATOMICAL LANDMARKS
maxillary sinus
29
frontal sinus
30
nasal aperature
31
nasal spine + septum
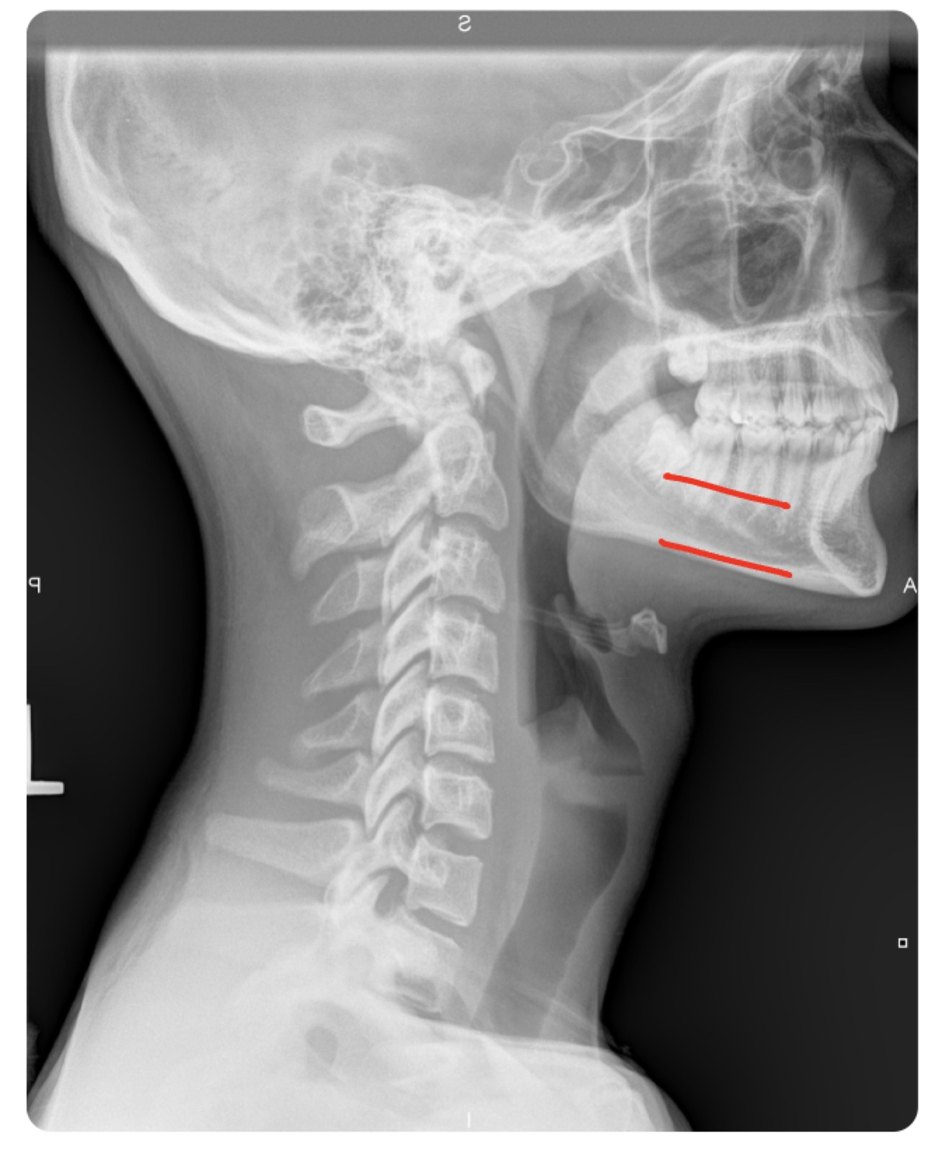
32
lower teeth
33
upper teeth
34
mandible
35
jugular process
36
A-P open mouth
rim of foramen magnum
37
anterior arch c1
38
posterior arch c1
39
A to P open mouth
lateral mass of c1
40
A-P open mouth
transverse process c1
41
A-P open mouth
medial inferior tip of occipital condyles
42
A-P open mouth
mastoid air cells
43
A-P open mouth view
pedicle shadow c2
44
A-P open mouth view
spinous process c2
45
eop-iop
46
atlantal-axial joint space
47
vertebral bodies c2-c7
48
inferior articular surface c1
49
superior articular surface c1
50
A-P cervical
uncinate process of cervical vertebra
51
occipital-atlantal joint space
52
A-P open mouth view
odontoid process
53
NASIUM ANATOMICAL LANDMARKS
upper teeth
54
medial inferior tip of condyle
55
Nasium view
nasal septum + spine
56
Nasium view
transverse process of c1-c3
57
lower teeth
58
Nasium view
spinous process c2-t1
59
Nasium view
nasal aperture
60
maxillary sinus
61
Nasium view
frontal sinus
62
Nasium view
mastoid (air cells) process
63
Nasium view
lateral mass c1
64
Nasium view
occipital-atlantal joint space
65
Nasium view
atlantal-axial joint space
66
Nasium view
mandible body
67
Nasium view
mandible ramus
68
Nasium view
mandible angle
69
mandible mentum
70
odontoid process
71
Nasium view
articular pillar
72
AP LOWER CERVICAL LANDMARKS
c3-t2 vertebral bodies
73
A-P lower cervical view
uncinate processes c3-c7
74
articular pillars
75
TVP's of cervical + thoracic spine
76
A-P lower cervical view
SP's of c2-t12
77
A-P lower cervical view
clavicles
78
angle of mandible
79
base of occiput
80
pedicles of c1-t12
81
ribs
82
tracheal air shadow
83
VERTEX (BASE POSTERIOR) LANDMARKS
angle of mandible
84
nasal aperture
85
lateral mass of c1 + occipital condyle superimposed
86
dens
87
mastoid (air cells) process
88
transverse process c1
89
posterior arch c1
90
orbits
91
anterior arch c1
92
palate
93
transverse foramen of c1
94
body of mandible
95
nasal spine + septum
96
maxillary sinus
97
mentum of mandible
98
mandible ramus
99
occipital bone
100
basilar process
101
AP THORACIC LANDMARKS A-P thoracic
junction of the lamina
102
A-P thoracic
pedicle shadows
103
A-P thoracic
vertebral waist
104
A-P thoracic view
inferior endplate tips
105
A-P thoracic view
superior endplate tips
106
A-P thoracic view
disc spaces
107
LATERAL THORACIC LANDMARKS lateral thoracic view
disc spaces
108
Lateral thoracic view
endplate tips
109
AP LUMBOPELVIC LANDMARKS A-P lumbopelvic view
femur heads
110
A-P lumbopelvic view
superior iliac crests
111
A-P lumbopelvic view
lateral iliac crests
112
A-P lumbopelvic view
ischial tuberosities
113
A-P lumbopelvic view
s2 tubercle
114
A-P lumbopelvic view
pubic/pubic symphysis
115
A-P lumbopelvic view
sacral grooves
116
A-P lumbopelvic view
lateral aspect of sacrum
117
A-P lumbopelvic view
medial aspect of ilium
118
A-P lumbopelvic view
obturator foramen
119
A-P lumbopelvic view
spinous processes
120
A-P lumbopelvic view
supeiror endplate tips
121
A-P lumbopelvic view
lumbar pedicle shadow
122
LATERAL LUMBOPELVIC LANDMARKS lateral lumbopelvic view
intervertebral disc space
123
Lateral lumbopelvic view
transverse processes l1-l5
124
Lateral lumbopelvic view
vertebral body l1-l5
125
Lateral lumbopelvic view
intervertebral foramen l1-l5
126
Lateral lumbopelvic view
inferior endplate tips
127
Lateral lumbopelvic view
Superior end plate tips