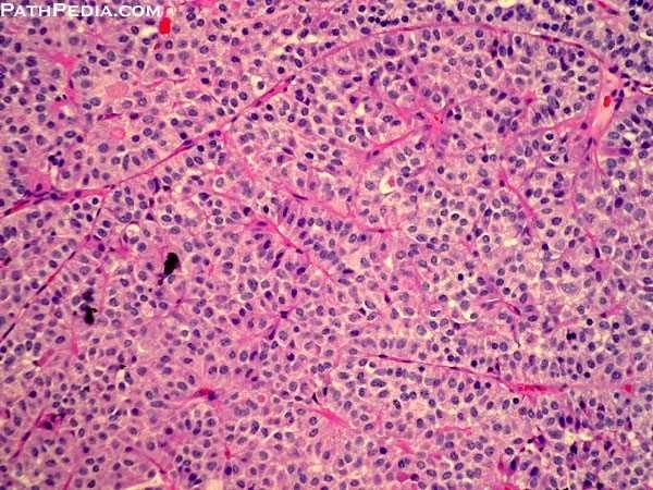
A benign, well-circumscribed, soft lesion of the pituitary gland that may compress the optic chiasm and adjacent structures. Composed of relatively uniform, polygonal cells arrayed in sheets, cords, or papillae.

Pituitary adenoma (TOPNOTCH)Robbins Basic Pathology, 8th ed., p. 754
Most common type of hyperfunctioning pituitary adenoma.
Prolactinomas (TOPNOTCH)Robbins Basic Pathology, 8th ed., p. 754
Microscopically, these are composed of densely or sparsely granulated cells, and immunohistochemical stains demonstrate growth hormone within the cytoplasm of the neoplastic cells.
Growth Hormone-Producing Adenomas (TOPNOTCH)Robbins Basic Pathology, 8th ed., p. 754
A condition characterized by excessive urination (polyuria) caused by an inability of the kidney to properly resorb water from the urine.
Diabetes insipidus(TOPNOTCH)Robbins Basic Pathology, 8th ed., p. 757
Enzyme deficient in central Diabetes insipidus.
Anti-diuretic hormone(TOPNOTCH)Robbins Basic Pathology, 8th ed., p. 757
Disease caused by excessive levels of ADH, leading to resorption of excess water, with resultant hyponatremia.
syndrome of inappropriate ADH secretion (SIADH)(TOPNOTCH)Robbins Basic Pathology, 8th ed., p. 757
The most common cause of hypothyroidism in areas of the world where iodine levels are sufficient. Presents as painless enlargement of the gland, associated with hypothyroidism.
Hashimoto thyroiditis (TOPNOTCH)Robbins Basic Pathology, 8th ed., p. 757
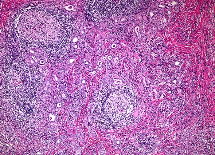
The thyroid is diffusely and symmetrically enlarged, with intact capsule. Microscopically, reveals a mononuclear inflammatory infiltrate with germinal centers. Also has Hurthle or oxyphil cells, which are cells with eosinophilic, granular cytoplasm.

Chronic Lymphocytic (Hashimoto) Thyroiditis (TOPNOTCH)Robbins Basic Pathology, 9th ed., p. 724
A rare disorder characterized by extensive fibrosis involving the thyroid and contiguous neck structures. Idiopathic in nature.
Riedel thyroiditis(TOPNOTCH)Robbins Basic Pathology, 8th ed., p. 762
Believed to be caused by a viral infection or a postviral inflammatory process, this lesion of the thyroid gland is characterized by unilateral or bilateral enlargement of the thyroid, with disruption of thyroid follicles. Extravasation of colloid leads to a granulomatous reaction. Healing occurs by resolution of inflammation and fibrosis.
Subacute Granulomatous (de Quervain) Thyroiditis (TOPNOTCH)Robbins Basic Pathology, 8th ed., p. 762
Also known as “silent” or “painless” thyroiditis n a subset of patients the onset of disease follows pregnancy. Unlike Hashimoto thyroiditis, follicular atrophy or Hurthle cell metaplasia are not commonly seen.
Postpartum thyroiditis/ Subacute Lymphocytic Thyroiditis (TOPNOTCH)Robbins Basic Pathology, 8th ed., p. 762
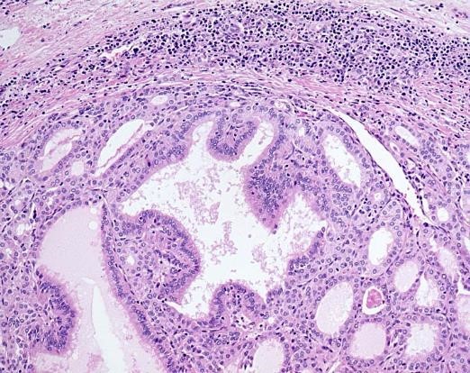
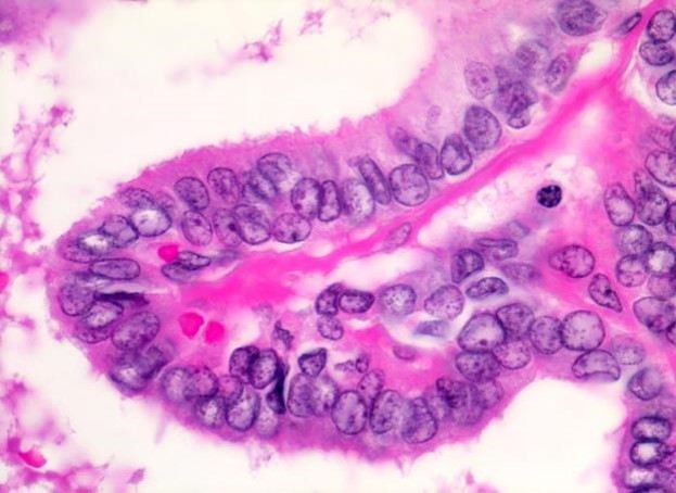
Thyroid gland is diffusely enlarged due to hyperplasia and hypertrophy of the thyroid follicular cells. The follicular epithelial cells are tall, columnar, and more crowded than usual. These cells actively resorb the colloid in the centers of the follicles, resulting in the “scalloped” appearance of the edges of the colloid.

Graves Disease(TOPNOTCH)Robbins Basic Pathology, 8th ed., p. 764
Goiter which occurs in areas where the soil, water and food supply contain little iodine.
Endemic goiter(TOPNOTCH)Robbins Basic Pathology, 8th ed., p. 765
Diffuse, symmetric enlargement of the gland due to TSH-induced hypertrophy and hyperplasia of thyroid follicular cells.
Diffuse goiter(TOPNOTCH)Robbins Basic Pathology, 8th ed., p. 765
Goiter characterized by enlarged, colloid-rich gland. On cut surface, the thyroid is usually brown, glassy and translucent.
Colloid goiter(TOPNOTCH)Robbins Basic Pathology, 8th ed., p. 765
Irregular enlargement of the thyroid as a result of recurrent episodes of hyperplasia and involution.
Multinodular goiter(TOPNOTCH)Robbins Basic Pathology, 8th ed., p. 765
Probability of being benign or malignant.A solitary nodule seen in a 20-yr old male.
Malignant(TOPNOTCH)Robbins Basic Pathology, 8th ed., p. 766
Probability of being benign or malignant.Multiple, hot nodules.
Benign(TOPNOTCH)Robbins Basic Pathology, 8th ed., p. 766
Probability of being benign or malignant.A solitary, cold nodule.
Malignant(TOPNOTCH)Robbins Basic Pathology, 8th ed., p. 766
A solitary, spherical lesion that compresses the adjacent non-neoplastic thyroid. Neoplastic cells are demarcated from the adjacent parenchyma by a well-defined, intact capsule, which is a hallmark of this tumor.

Thyroid adenoma (TOPNOTCH)Robbins Basic Pathology, 8th ed., p. 766
Most common carcinoma of the thyroid.
Papillary carcinoma (TOPNOTCH)Robbins Basic Pathology, 8th ed., p. 767
Thyroid carcinoma which may occur at any age and is associated with previous exposure to ionizing radiation. The nuclei of cells contain very finely dispersed chromatin, which imparts an optically clear appearance, giving rise to the designation “ground-glass” or “Orphan Annie eye” nuclei. Also has invagination of the cytoplasm, giving the appearance of intranuclear inclusions (pseudoinclusions)

Papillary carcinoma(TOPNOTCH)Robbins Basic Pathology, 8th ed., p. 767
The second most common form of thyroid cancer. Usually present at an older age a peak incidence in the middle adult years. Microscopically, these are composed of fairly uniform cells forming small follicles, reminiscent of normal thyroid.
Follicular Carcinoma (TOPNOTCH)Robbins Basic Pathology, 8th ed., p. 769
Neuroendocrine neoplasms derived from the parafollicular cells, or C cells, of the thyroid, which secrete calcitonin. Associated with MEN 2A and 2B. May be solitary or multicentric, composed of polygonal to spindle-shaped cells, which may form nests, trabeculae, and follicles, contains amyloid.
Medullary carcinoma(TOPNOTCH)Robbins Basic Pathology, 8th ed., p. 770