Zebrafish Flashcards

(114 cards)

1
Q

Etiology?

A

Gas bubble disease

Caused by gas supersaturation of water

How well did you know this?
1
Not at all
2
3
4
5
Perfectly
2
Q

Etiology? Location in body?

A

Pseudocapillaria tomentosa

Found in lumen and wall of intestine

How well did you know this?
1
Not at all
2
3
4
5
Perfectly
3
Q

GIT from a zebrafish. Etiology? Treatment?

A

Pseudocapillaria tomentosa

Treat with emamectin-medicated diet or fenbendazole in Artemia suspension

How well did you know this?
1
Not at all
2
3
4
5
Perfectly
4
Q

Etiology? Treatment?

A

Ichthyophirius multifilis (Ich)

Treat with removal of affected fish + increasing temperature to accelerate lifespan of motile form; formaldehyde immersion, salt treatment

How well did you know this?
1
Not at all
2
3
4
5
Perfectly
5
Q

Etiology and 2 sequela of infection

A

Piscinoodinium sp. (velvet disease)

Sequela

(1) damage to host cell leading to osmoregulatory impairment and secondary bacterial infection
(2) Inflammation and hyperplasia of gill epithelium lead to hypoxia

How well did you know this?
1
Not at all
2
3
4
5
Perfectly
6
Q

Etiology and 2 predisposing factors.

A

Saprolegnia in fry.

Predisposing factors–>skin wounds, handling, crowding, heavy feeding rates, immunosuppressionn, high organic loads in tanks

How well did you know this?
1
Not at all
2
3
4
5
Perfectly
7
Q

Most likely etiology and how it is transmitted.

A

Pseudoloma neurophilia

transmitted by ingestion, gets into tank via infected live/dead fish, splashing/aerosolization between tanks, debris, vertical transmission via ovaries, ova, and embryos spawned from infected adults

How well did you know this?
1
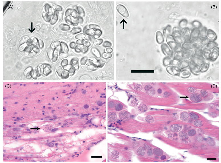
Not at all
2
3
4
5
Perfectly
8
Q

Most likely etiology and expected clinical signs

A

Pseudoloma neurophilia

Expect emaciation (aka ‘skinny dz’), lordosis, scoliosis, reduced growth, reduced female fecundity

How well did you know this?
1
Not at all
2
3
4
5
Perfectly
9
Q

Etiology and species most affected by this disease

A

Columnaris caused by Flavobacterium

Affects salmonids

How well did you know this?
1
Not at all
2
3
4
5
Perfectly
10
Q

Etiology and other species that may be affected.

A

Edwardsiella ictaluri

Causes ‘hole in the head’ in catfish

How well did you know this?
1
Not at all
2
3
4
5
Perfectly
11
Q

Primary differential for the zebrafish shown and predisposed strains.

A

Mycobacterium.

Tubingen (TU) and TAB5 more susceptible

How well did you know this?
1
Not at all
2
3
4
5
Perfectly
12
Q

Common name for this clinical sign?

A

Dropsy (edema)

How well did you know this?
1
Not at all
2
3
4
5
Perfectly
13
Q

Reason for this behavior in zebrafish

A

Hypoxemia

How well did you know this?
1
Not at all
2
3
4
5
Perfectly
14
Q

Disease model shown in the fish on the right and the mutation associated with this phenotype

A

melanoma casued by BRAF gene

How well did you know this?
1
Not at all
2
3
4
5
Perfectly
15
Q

Mutation shown? Ortholog in mice?

A

No tail (ntl)

In mice, see brachyury (T)

How well did you know this?
1
Not at all
2
3
4
5
Perfectly
16
Q

Scientific name of the zebrafish

A

Danio rerio

How well did you know this?
1
Not at all
2
3
4
5
Perfectly
17
Q

What is it called when adult male fish are treated with chemical mutagen and the F3 generation is examined for developmental abnormalities?

A

Saturation mutagenesis

How well did you know this?
1
Not at all
2
3
4
5
Perfectly
18
Q

What family are zebrafish in?

A

Cyprinidae (includes danios and barbs)

How well did you know this?
1
Not at all
2
3
4
5
Perfectly
19
Q

What is the ntl mutation

A

no tail–>embryos fail to develop a proper notochord and caudal structures

How well did you know this?
1
Not at all
2
3
4
5
Perfectly
20
Q

what is the spt mutation?

A

spadetail, mesodermal cells fail to gastrulate properly

How well did you know this?
1
Not at all
2
3
4
5
Perfectly
21
Q

What is the standard temp for zebrafish maintenance?

A

28.5C

How well did you know this?
1
Not at all
2
3
4
5
Perfectly
22
Q

When does the first cleavage occur for zebrafish embryos?

A

45min after fertilization

How well did you know this?
1
Not at all
2
3
4
5
Perfectly
23
Q

What is epiboly?

A

when embryonic cells spread over the yolk

How well did you know this?
1
Not at all
2
3
4
5
Perfectly
24
Q

When do embryos hatch from the chorion?

A

3-4dpf

How well did you know this?
1
Not at all
2
3
4
5
Perfectly
25
When do zebrafish start eating?
4-5dpf
26
What type of tumors does ENU usually produce?
epidermal papillomas
27
What does the c-myc gene induce in zebrafish?
T-cell acute lymphoblastic leukemia
28
What muscular dystrophy is seen in zebrafish?
Duchenne muscular dystrophy
29
If the distal part o the zebrafish fin is amputated, how long will it take to regenerate?
10-12d
30
Disease and infection are a result of interaction between what 3 aspects?
host, environment, pathogen
31
Poor health in zebrafish is a general indicator of what?
marginal to poor environmental values
32
T/F: zebrafish aren't territorial.
F- they are
33
What housing density is recommended by the Guide for zebrafish?
No more than 5 fish/L
34
Tight/cohesive shoaling, frequent or constant aggression, erratic bursts of activity, freezing and bottom-dwelling are examples of what type of behaviors?
Abnormal/maladaptive behaviors
35
What is the acclimated thermal tolerance range of zebrafish?
6.7-41.7C
36
When changing the temperature of a zebrafish tank, what is the highest amount it should change per day?
1.5C
37
What is the optimal growing/breeding temperature for zebrafish
75-82F (24-28C)
38
How warm should an aquatic room be kept to minimize condensation of water on surfaces?
1-2 degrees above that of the water
39
What are signs of oxygen deprivation in tanks?
fish clustered around aerators, gasping/sipping at the top of the water
40
Supersaturation of water with oxygen leads to what disease?
gas bubble disease -air emboli in tissues
41
What is the optimum pH for zebrafish systems?
8-Jul
42
What is the effect on ammonia in a tank when the pH is increased?
higher unionized toxic ammonia
43
What is the effect on ammonia in a tank when the pH is decreased?
inhibits activity of nitrifying bacteria which will increase the overall ammonia level
44
What does conductivity measure in relation to fish tanks?
indicator of the total amount of dissolved ions in a solution, direct measure of the amount of electric current a particular soulution can conduct
45
What salinity should zebrafish be kept at?
125-2500 microseimens (uS)
46
What elements are measured in water hardness?
calcium, magnesium salts
47
What is the ideal water hardness for zebrafish?
80-200ppm
48
What can be used to replace the minerals in RO water used for fish tanks?
calcium carbonate, crushed coral, aragonite
49
What should be a consideration in the composition of housing rooms for aquatic species?
exposure to high humidity and/or water
50
When sealing aquatic tanks, what compound should be used?
food-grade silicon sealer
51
How much light is recommended for zebrafish?
5-30 ft candles or 54-354 lux
52
What type of outlet should be used in aquatic rooms?
ground fault interrupted (GFI) with covers
53
How much does 1 gallon of water weigh?
8.3lb/3.75kg
54
T/F: Wood is safe to use long-term to support aquatic systems when it is treated.
F- even if treated, don't use it!
55
What is the best source of water for fish?
deep wells- few infectious agents or toxic chemicals
56
How should municipal tap water be treated prior to use in aquatic systems?
Remove chlorine, chloramines, copper
57
What material is best to make zebrafish tanks from?
Polycarbonate
58
how much of the total water volume should be replaced in recirculating water systems?
1-10% of water volume
59
What biological algae control can be used in zebrafish but can be vectors of certain pathogens?
snails (Planorbella spp)
60
What fatty acid should be provided to zebrafish in high amounts?
linoleic acid
61
What diet promotes high growth rates and survival for zebrafish larvae and fry?
zooplankton (rotifers, Artemia)
62
What is the best way to introduce imported fish lines into a colony?
To only allow the progeny to enter the colony
63
What is a quarantine model called that only allows progeny from previously imported surface disinfected embryos that were reared to adults in the quarantine facility to enter the colony?
refined quarantine
64
What is a quarantine model called that allows surface disinfected embryos from adult fish housed in the quarantine facility the facility
traditional quarantine
65
How should embryos be disinfected?
dilute bleach 20-50ppm buffered to pH 7.0
66
How long should sentinel fish be maintained in a system to detect chronic infections?
3 months
67
What is the primary hematopoietic organ in adult zebrafish?
Head kidney
68
What are 2 methods of terminal blood collection?
decapitation through the pelvic girdle, draw from the dorsal aorta
69
What are survival blood collection techniques in fish?
dorsal aorta draw
70
What is special about zebrafish RBCs?
They are oval and nucleated
71
How much solution an be gavaged safely to a zebrafish?
5uL
72
What are the four stages of sedation?
I-sedation, II- excitation, III- anesthesia, IV-overdose
73
What is commonly used to induce anesthesia in zebrafish?
MS-222 (tricaine methanosulfonate)
74
What must be added to eugenol to make it water soluble?
ethanol
75
What are the two pathogenic species of mycobacterium in fish?
M. haemophilum, M. marinum
76
What is the most commonly identified mycobacterium in zebrafish?
M. chelonae
77
Where do aquatic mycobacterium reproduce in fish?
host macrophages
78
What strains of zebrafish are more susceptible to mycobacterium?
Tubingen (TU), TAB5
79
Lethargy, decreased fecundity, emaciation, skin ulceration, edema, and coelemic distension are associated with what disease?
Mycobacterium
80
How is mycobacterium in fish diagnosed?
Acid-fast stain of lesions, PCR, culture
81
What is the only species of mycobacterium that has a neurotropic form in fish?
M. haemophilum
82
How is mycobacterium treated in fish?
It's not- rederive the system
83
What is the causative agent of fish tank granuloma in people?
Mycobacterium marinum
84
What is the causative agent of hole in the head disease in catfish?
Edwardsiella ictaluri
85
How are zebrafish infected with Edwardsiella?
immersion in infective water
86
What two syndromes are present in catfish affected by Edwardsiella ictaluri?
septicemia, hole in the head
87
What are the clinical signs associated with Edwardsiella in zebrafish?
lethargy, raised scales, skin ulceration and hemorrhage, ascites
88
What are the two organs most severely affected by Edwardsiella in zebrafish?
kidney, spleenn
89
What protozoan parasite is associated with Aeromonas hydrophila in zebrafish?
Tetrahymena pyriformis
90
How is Aeromonas diagnosed?
culture isolation of kidney
91
What is the causative agent of bacterial gill disease?
Flavobacterium branchiophilum
92
What is the causative agent of columnaris disease?
Flavobacterium columnare
93
What is the characteristic lesion of columnaris disease?
saddleback lesion- loss of pigment and scales around dorsal fin
94
How is columnaris disease diagnosed?
wet mount microscopy
95
T/F: columnaris is a low mortality disease
False- high mortality, especially in salmonids and zebrafish
96
What two microsporidian parasites most commonly infect zebrafish?
Pseudoloma neurophilia, Pleistophora hyphessobryconis
97
What is the most common zebrafish disease?
Microsporidiosis due to Pseudoloma neurophilia
98
Where does Pleistophora hyphessobryconis develop in the zebrafish?
Skeletal muscle
99
Where does P. neurophilia develop in the host?
CNS tissues, muscle, ovary
100
What are clinical signs associated with P. neurophilia in zebrafish?
emaciation, lordosis, scoliosis, reduced growth
101
How is P. neurophilia diagnosed?
direct visualization of spores on wet mount, histologic visualization with acid-fast, H&E, Gram, Luna, PAS, or Fungi-Fluor stains
102
What is the causative agent of velvet disease or gold dust disease?
Piscinoodinium sp.
103
What age category of zebrafish has the highest mortality due to Piscinoodinium?
young fish
104
How is Piscinoodinium diagnosed?
Wet mount of skin or gills with oval opaque nonmotile trophonts
105
How is Ich diagnosed?
pathognomonic horseshoe shaped macronucleus seen on wet mount
106
What is the lethal amount of ammonia for fish
0.5mg/L
107
Some zebrafish present with pale tan and brown gills, lethargy, tachypnea and surface swimming. What is the most likely diagnosis?
nitrite toxicity
108
What is the lowest toxic concentration of nitrite for zebrafish?
0.1mg/L
109
How should chloramine be removed from an aquarium before fish are added?
activated carbon filter, chemical neutralization with sodium thiosulfate, near-boiling of water
110
How is chlorine/chloramine toxicity treated?
New water source and supersaturating with O2 for several days
111
How is chlorine removed from a water source?
24h aeration or dechlorinating agent
112
High CO2 levels (\>12mg/L) are associated with what condition in zebrafish?
nephrocalcinosis
113
What is the most common spntaneous tumor in male zebrafish?
seminoma
114
How is egg-associated inflammation prevented in females?
prevent egg retention by spawning females in a timely manner