Epstein-Perlen = Gingivale Zyste :
entwicklunsbedingte odontogene Zyste bei Neugoborenen
-bedarf keine Therapie
Eruptionszyste im milchgebiss kurz vor Durchbruch Milchmolaren, blau verfärbt durch traumatisch bedingte Bluteinlagerung der Zyste
Lateral Parodontale Zyste zwischen 34 & 35
Mediane Halszyste auf Höhe Schildknorpels.
Weichteilzyste –> Brachiogene Zysten/Fehlbildungszyste –> Mediane Halszyste = Zyste Ductus thyreoglossus
Nenne Differentialdiagnosen für seitliche Schwellung des Halses
Laterale Halszyste (Weichteilzyste, Gruppe Brachiogene Zyste)
DD’s:
Gründe für lokale Lymphknotenschwellung:
3.Neoplastische Erkrankungen: Maligne Lymphome (NHL, Hodgkin-Lymphom), Leukämien , Metastasen
undund und…………

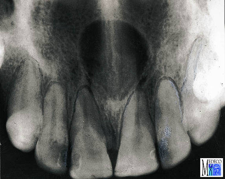
Zyste ductus nasopalatinus
zystische Raumforderung am Hals rechts , axiale Schichtung CT.
V.a Laterale Halszyste
EpsteinPerlen
Ranula im anterioren linken Mundboden, die Mittellinie
überschreitend
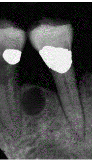
Gingivazyste im anterioren Unterkiefer, Regio 42–43.
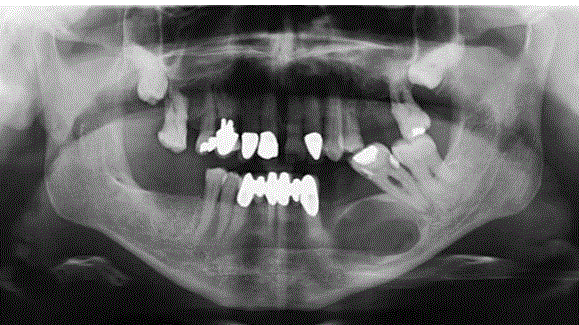
Befunde dieses RÖ-Bild
Panoramaschichtaufnahme. Zystischer Prozess im Unterkiefer links im Bereich der Schaltlücke in regio 36 ohne Lagebeziehung zum Zahnbestand.
Histologie: radikuläre Zyste. Diagnose: Residualzyste [nach Zahn- Extraktion]
Panoramaschichtaufnahme.
Zystischer Prozess im Unterkiefer links mit
Lagebeziehung zum wurzelgefüllten Zahn 37.
Histologie: radikuläre Zyste

Lingua geographica mit der ihr typischen Morphologie.
Mukozele
von lat. mucus = “Schleim”
Schleimansammlung in einer präformierten Körperhöhle/Kompartiment (z.B. in der Nasennebenhöhle, Appendix); nach Trauma oder Operation kann es durch Verlegung eines Ausführungsganges der Nasennebenhöhlen zur völligen Retention des Sekrets und damit zu einer Druckatrophie der knöchernen Sinuswand kommen.
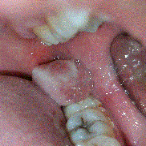
Ranula im linken Mundboden.
Speichelretentionszyste an der Unterlippe
dd: aphte
Ranula

Ductus Nasopalatinus- IncisivisKanalZyste ,
gehört der Gruppe dysgenetische nicht odontogene/Fissurale Zysten.
Differentialdiagnostisch könnte auch radikuläre Zyste in Frage kommen, röntgenologisch schwer einschätzbar da fälschlicherweise die Wurzel der Front in die Ductus nasopalatinus Zyste ragen können und die Diagnose radikuläre Zyste sich stellen kann.
Weiter DD’s zu D.Nasopala-´.Z.:
( - Knochemetastase )
Beschreibe Röntgenbild

–> Auflösung der normalen Architektur des Unterkiefers links von der Kieferwinkelregion bis zum Processus coronoideus reichend. Bei größtenteils osteolytischem Charakter mit vereinzelten sklerotischen Arealen fällt eine Spikulaebildung vor allem crestal im Bereich des Kieferwinkels als typisches radiologisches Zeichen eines Osteosarkoms
Diagnose: Osteosarkom
Zu den radiologischen Zeichen Osteosarkom gehören die Größenzunahme des Knochens mit schlechter Abgrenzbarkeit, Kortikalisdestruktionen, Sklerosen, Osteolysen, Periostreaktionen, Spikulae und die Arrosion von Zahnwurzeln beziehungsweise die Verlagerung von Zähnen.
Enoral Ulzerationen möglich

Beschreibe dieses Bild

Enoral zeigt sich ebenfalls die Auftreibung des Unterkiefers mit zentralem Ulkus und rötlichem, aufgeworfenem Randwall.
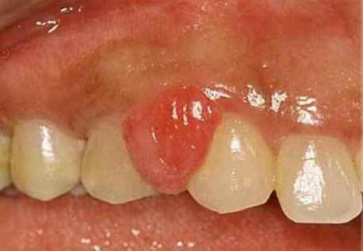
Epulis
syn. fokal fibröse Hyperplasie
- > halbkugeliges oder pilzförmiges Gebilde, das meist dem Zahnfleischrand aufsitzt. Synonym ist die Fokale fibröse Hyperplasie. Es handelt sich um eine Granulationsgewebebildung unterschiedlicher Zellstruktur

Lichen Ruber Planus –> typische orale Mannifestation der Wickhamsche-Streifen