2 Flashcards

(35 cards)

1
Q

Beschreibe die Frakturmechanik folgender Bilder

A

Bild b) –> eine Kompressionsfraktur des Gelenkkopfes

How well did you know this?
1
Not at all
2
3
4
5
Perfectly
2
Q

Beschreibe die Dislokationsform des Unterkiefers

A

a –> sine dislocatione (keine Disloaktion)

How well did you know this?
1
Not at all
2
3
4
5
Perfectly
3
Q

was sehen Sie? Beschreiben Sie

A

Monokelhämatom, subkonjunktivale Blutung

Das Monokelhämatom ist ein einseitig auftretendes Hämatom, das sich periorbital ausbildet und somit sowohl das Unter-, als auch der Oberlid betrifft. Sind beide Augen betroffen, spricht man von einem Brillenhämatom.

How well did you know this?
1
Not at all
2
3
4
5
Perfectly
4
Q

Was haben wir denn hier schönes?

A

Konservative Behandlung von Frakturen –> direkte Schienung —-> DRAHTBOGEN KUNSTSTOFFSCHIENE NACH SCHUCHARDT

How well did you know this?
1
Not at all
2
3
4
5
Perfectly
5
Q

Was ist das

A

Draht-Bogen-Kunststoff-Schiene nach Schuchardt, direkte Schienung (unter konservative Behandlung von Frakturen)

How well did you know this?
1
Not at all
2
3
4
5
Perfectly
6
Q
A
How well did you know this?
1
Not at all
2
3
4
5
Perfectly
7
Q
A
How well did you know this?
1
Not at all
2
3
4
5
Perfectly
8
Q

Welchen wichtig Knochen siehst du hier

A

Das Os Ethmoidale =Siebbeinknochen

  • ein Knochen den wir von außen betrachtet nur leicht an der medialen Orbitawand sehen, doch sehr wichtig ist und nach innen eine viel größere Ausdehnung hat, als gedacht!

Das Os ethmoidale ist an der Bildung der Schädelhöhle, der Nasenhöhle und der Orbita beteiligt. Der Knochen lässt sich in 4 Abschnitte gliedern: die Lamina cribrosa, die Lamina perpendicularis und das paarige Labyrinth (Labyrinthus ethmoidalis).

How well did you know this?
1
Not at all
2
3
4
5
Perfectly
9
Q

Le Fort 1-3 , grob Frakturverläufe erklären

A
How well did you know this?
1
Not at all
2
3
4
5
Perfectly
10
Q

Welche Knochenstruktur ist das, Relevanz?

A

Pars petrosa ossis temporalis Felsenbein.

Ein Knochen des Schläfenbeins (Os temporale). Das sog. Felsenbein umschließt im Schädel das Innenohr

  1. Felsenbein QUerfraktur: Trommelfell bleibt intakt, es tretet keine Liquorflüssigkeit aus

2. Felsenbein Längsfraktur: Trommelfell zereißt –> Liquor treter aus !

How well did you know this?
1
Not at all
2
3
4
5
Perfectly
11
Q

Welcher Mechanismus steckt dahinter ?

A
How well did you know this?
1
Not at all
2
3
4
5
Perfectly
12
Q

Welche Aufnahme ist es ?

Welche Ebene ?

Diagnose ?

A
How well did you know this?
1
Not at all
2
3
4
5
Perfectly
13
Q

Orbitazugänge

A
How well did you know this?
1
Not at all
2
3
4
5
Perfectly
14
Q
A
How well did you know this?
1
Not at all
2
3
4
5
Perfectly
15
Q
A
How well did you know this?
1
Not at all
2
3
4
5
Perfectly
16
Q

Wie erfolgt klinische Untersuchung bei Verdacht auf MG-Fraktur (Lefort 1,2,3)

17
Q

Ursachen Okklusionsstörung

A
  • neben CMD , Zähne , KG-Erkrankungen
  • UK-Fraktur
  • Frakturm des MG : Lefort
  • laterales MG-Fraktur
  • Luxation
  • Gelenkergüsse
  • Hämatome (Spritzenhämatom)
18
Q

Welche Art der Aufnahme

Was auffällig

19
Q
A

Knochensequester durch Toxavit einlage

20
Q

Entzündungsbedingte Schwellungen beruhen auf …

A
  1. Ödem
  2. Infiltrat
  3. Abszess
  4. Phlegmone
21
Q

Was ist das

A

Herpes Simplex

22
Q
A
  • Derbe
  • livide (schlecht durchblutetes fales Gewebe) Schwellung
  • mit Induration (Verhärtung) der rechten Wange mit einem Durchmesser von 2 cm, verursacht durch das subkutane, chronische Granulationsgewebe

–> zervikofaciale Aktinomykose

23
Q
A

Livide Schwellung der linken Wange

—> Aktinomykose Mischinfektion!

  • Actinomyces israelii : anaerobe grampositive Bakterien
  • kommt in der Mundflora vor und bei Gewebsverletzungen, Eintrittpforten wie odontogene Infektionen (Perikoronitis .. ZahnEX) kommt es zur Infektion
  • klinisches Bild : derbe, livide Schwellungen (auch “kalter Abszess” genannt) mit Induration (Verhärtung)
  • Fistelbildung mit Suppuration möglich !
24
Q

Mögliche Ursachen der Kieferklemme

A

Mögliche Ursachen der Kieferklemme

○ pterygomandibulärer Abszess
○ submandibulärer abszess
○ perimandibulärer Abszess (reflektorische bei MItbeteiligung Muskeln)
○ dentitio difficilis (Einbeziehung M. pterygoideus medialis + M.masseter in
Entzündung)
○ Arthritis KG
○ Ankylose der KG
○ synoviale Chondromatose
○ Trismus
○ Hypermobilitätsstörungen KG
○ Muskuläre Hypermobilität
○ Neoplasien im Bereich des KG
○ absteigender Tetanus !!, nach Strahlentherapie → Trismus

○ Frakturen: Zygomaticomandibuläre Frakturen,Frakturen im Bereich UK-Ast,
Jochbeinfraktur, wenn Verlagerung Jochbeinkörper nach dorsal und Proc.
muscularis in Bewegungen eingeschränkt
○ Nebenwirkung Raditherapie bei Tumorbehandlung
○ laut Neff keine Kieferklemme nach Spritzenhämatom?

25
**_Differenzialdiagnose bei Abszessen?_**
**_Differenzialdiagnose bei Abszessen?_** ○ Osteomyelitis ○ infizierte Zyste - Aktinomykose ("kalter Abszess") - Tuberkulose - Tumor - Lymphom/Metastase - fistel - extraoral an behaarter Stelle Fistel /Karbunkel - Phlegmone
26
_**Wie kann man ausmachen, dass es sich um einen submandibulären und nicht perimandibulären Abszess handelt?**_
_**Wie kann man ausmachen, dass es sich um einen submandibulären und nicht perimandibulären Abszess handelt?**_ ○ UK tastbar oder nicht tastbar? ○ perimandibulär UK Rand nicht durchtastbar ○ submandibulär UK Rand durchtastbar
27
Diagnose?
Fossa Canina Abszess mit typische Zeichen Color, Tumor und erschwerte Augenauflschlag durch geschwollene Lider
28
Diagnose ?
**_Palatinal Abszess_** _Begrenzung:_ Kranial Knöchernde Gaumenplatte Kaudal: Periost bzw. Weichgewebe Lateral: Alveolarfortsatz --\> Ausbreitung in Weichgaumen (Drüsen, Muskeln) etc. möglich doch Allgemeinzustand entsprechend sinken
29
UK-Rand nicht tastbar, Verdachtsdiagnose ?
UK-Rand nicht tastbar, daher Diagnose : **_Perimandibular Abszess_** lateral, kaudal, medial: Mandibula als Begrenzung
30
**_Was ist_** **_Angina Ludovici_**
Angina Ludovici = Mundbodenphlegmone-,abszess
31
Erinnerst du dich wo Arteria Palatina verläuft ?
32
ABSZESS; definiere DD's
Abszess Definition Ein Abszess ist eine Eiteransammlung in einem Gewebehohlraum, der nicht naturgegeben, sondern durch Verflüssigung einer Nekrose entstanden ist. Der Abszess ist von einem Granulationswall umgeben, der bei einer ausreichenden körpereigenen Abwehr eine schrankenlose Ausbreitung des Eiters verhindert.
33
differentialdiagnosen
Lichen Ruber orale Mannfestation Syphillis bullöses Pemphiguid, Pemphigus Vulgaris orale Mannifestation Colitis Ulcerosa Allergie z.Bsp gegen Schalentiere Medikamenteninduziert NUG? PEC?
34
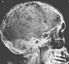
schrotschussschädel, multiples myelom
35
Verdachtsdiagnose ?
multiples myelom schrotschussschädel