1 Flashcards

(20 cards)

1
Q
A

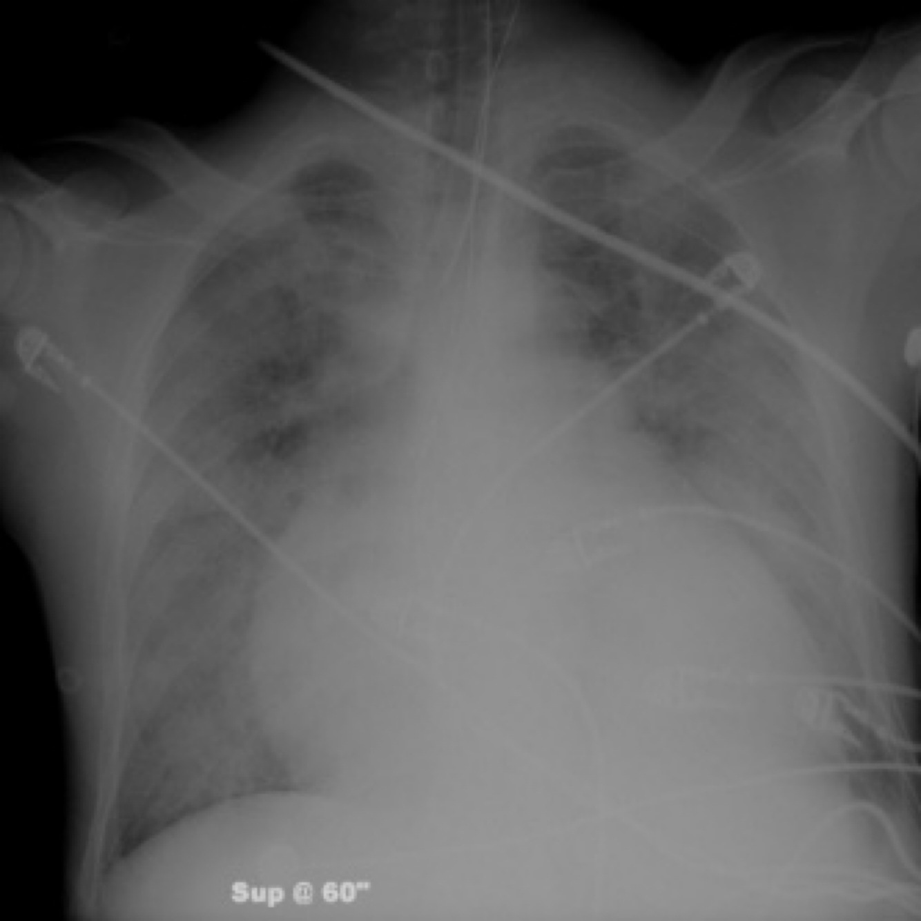
Thoracic aortic aneurysm

How well did you know this?
1
Not at all
2
3
4
5
Perfectly
2
Q
A

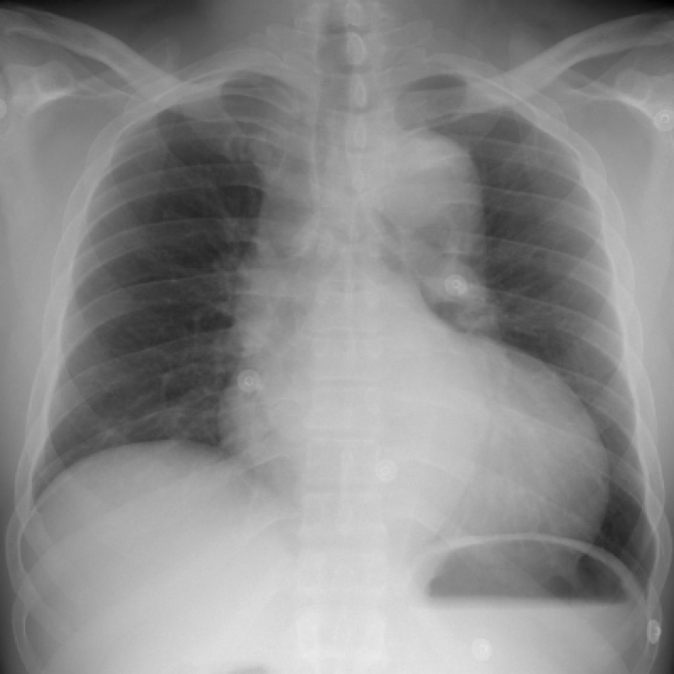
Water bottle heart shape “ cardiac temponade”

How well did you know this?
1
Not at all
2
3
4
5
Perfectly
3
Q
A

takotsubo cardiomyopathy : ballon shape of LV

How well did you know this?
1
Not at all
2
3
4
5
Perfectly
4
Q
A

boot shaped heart tetralogy of fallot

How well did you know this?
1
Not at all
2
3
4
5
Perfectly
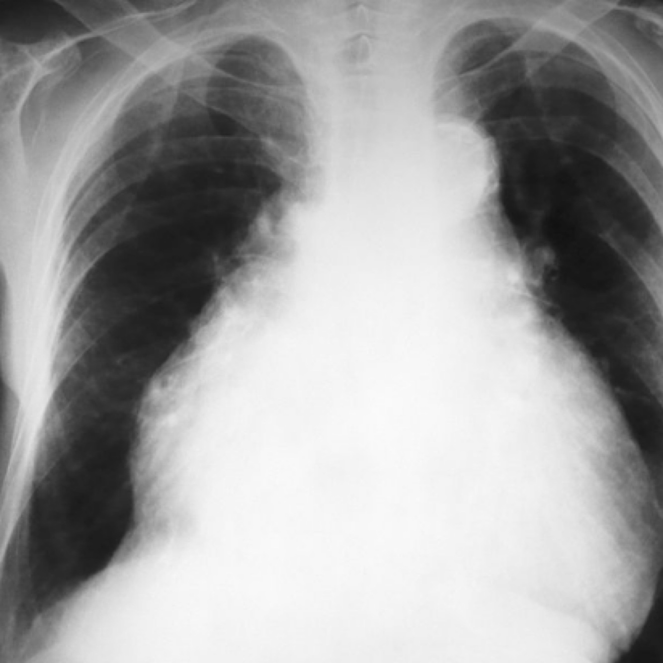
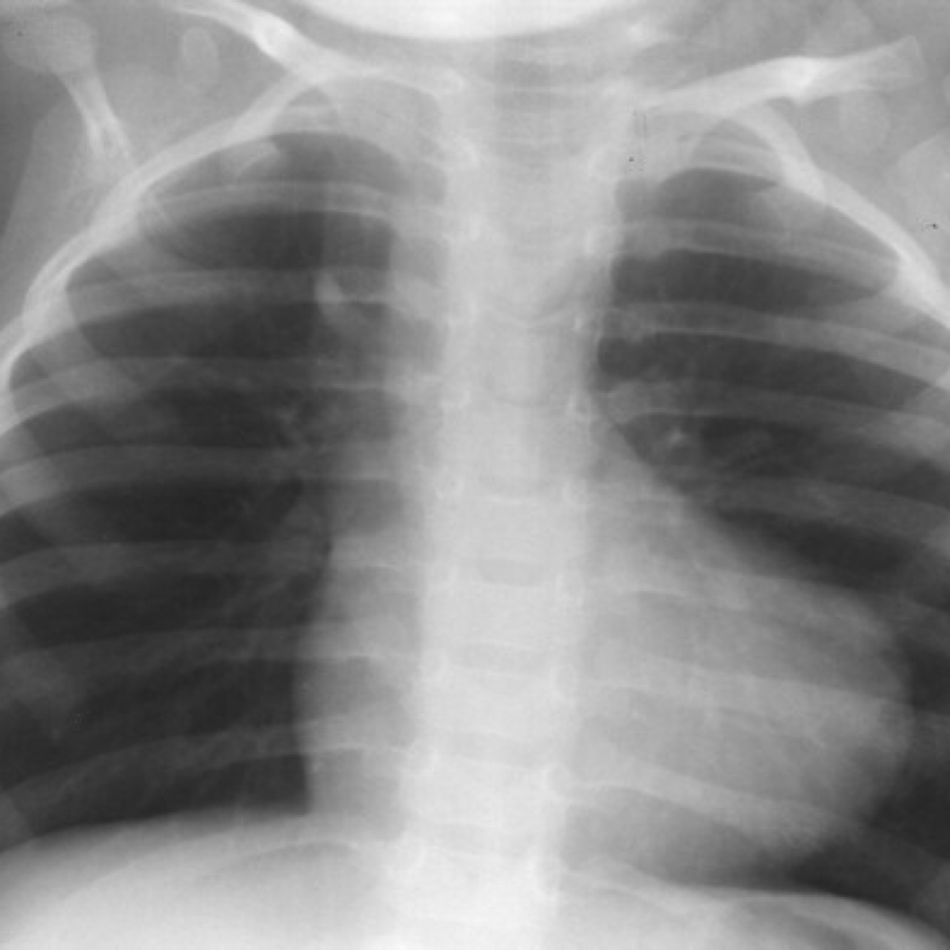
5
Q
A

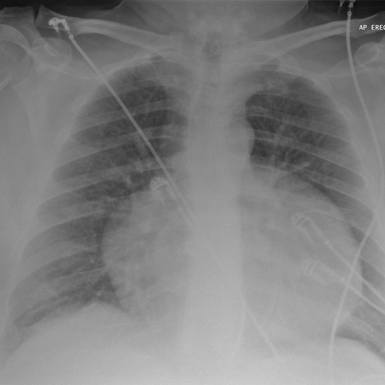
Pulmonary edema

How well did you know this?
1
Not at all
2
3
4
5
Perfectly
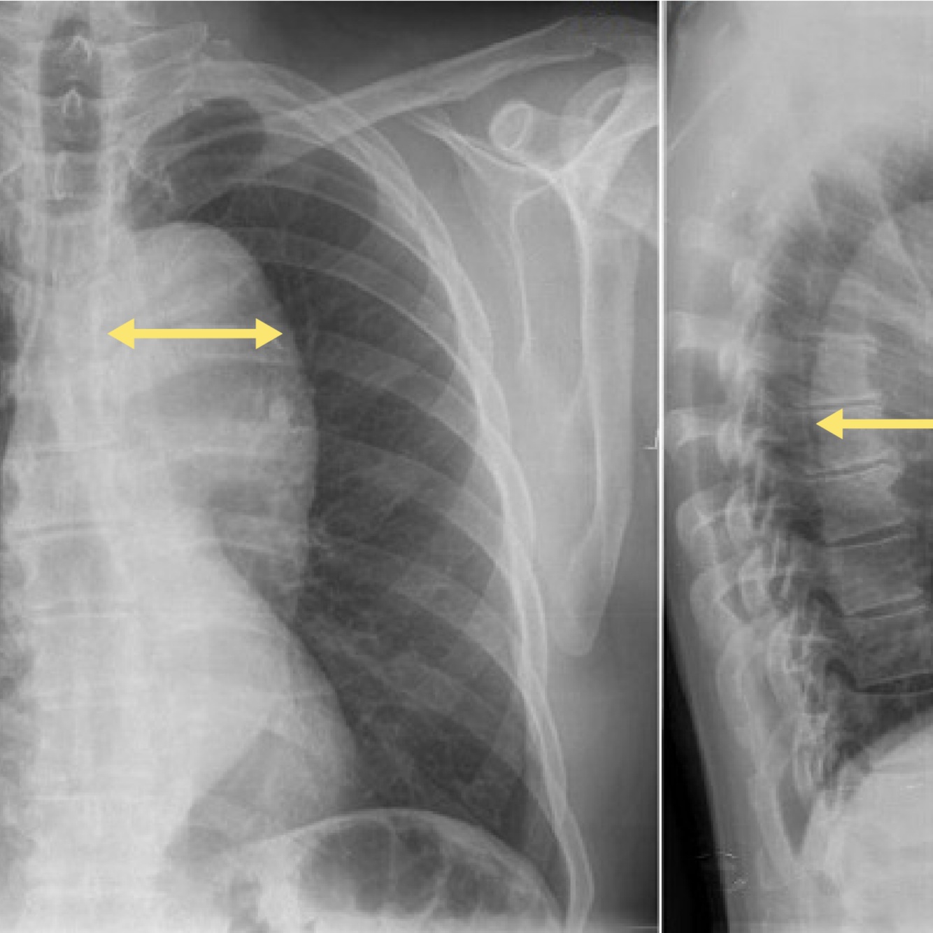
6
Q
A

Aortic dissection : widened mediastinum

How well did you know this?
1
Not at all
2
3
4
5
Perfectly
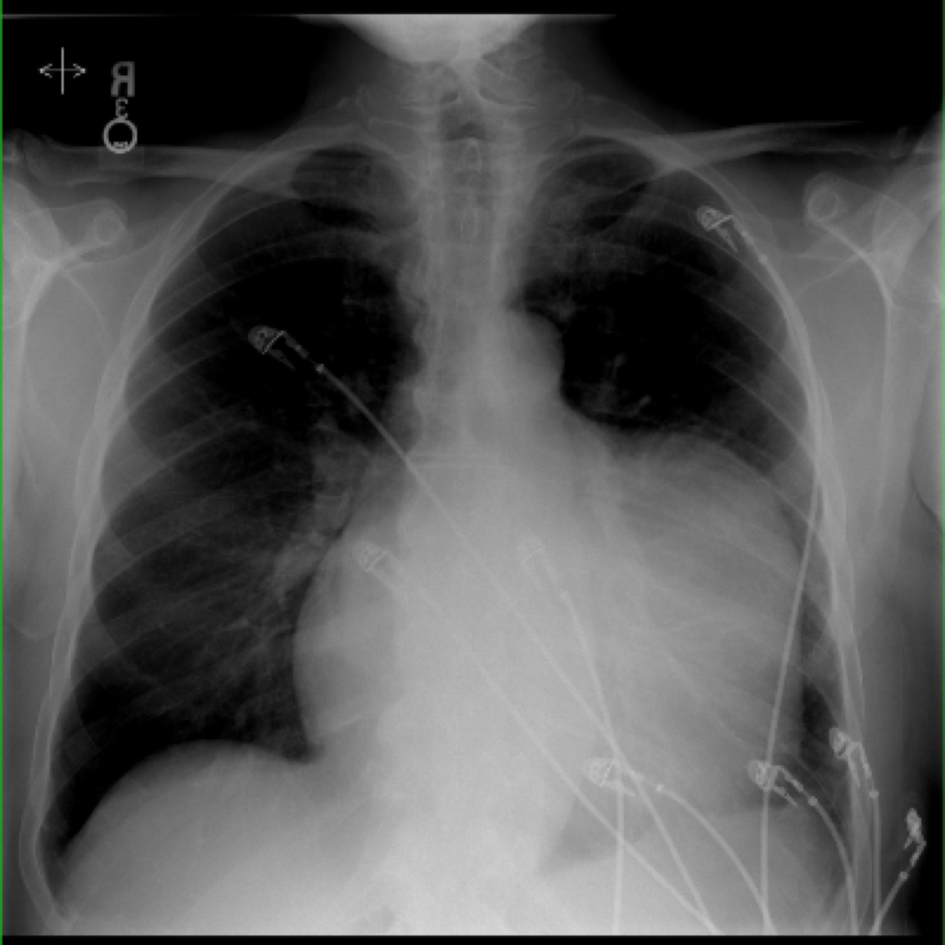
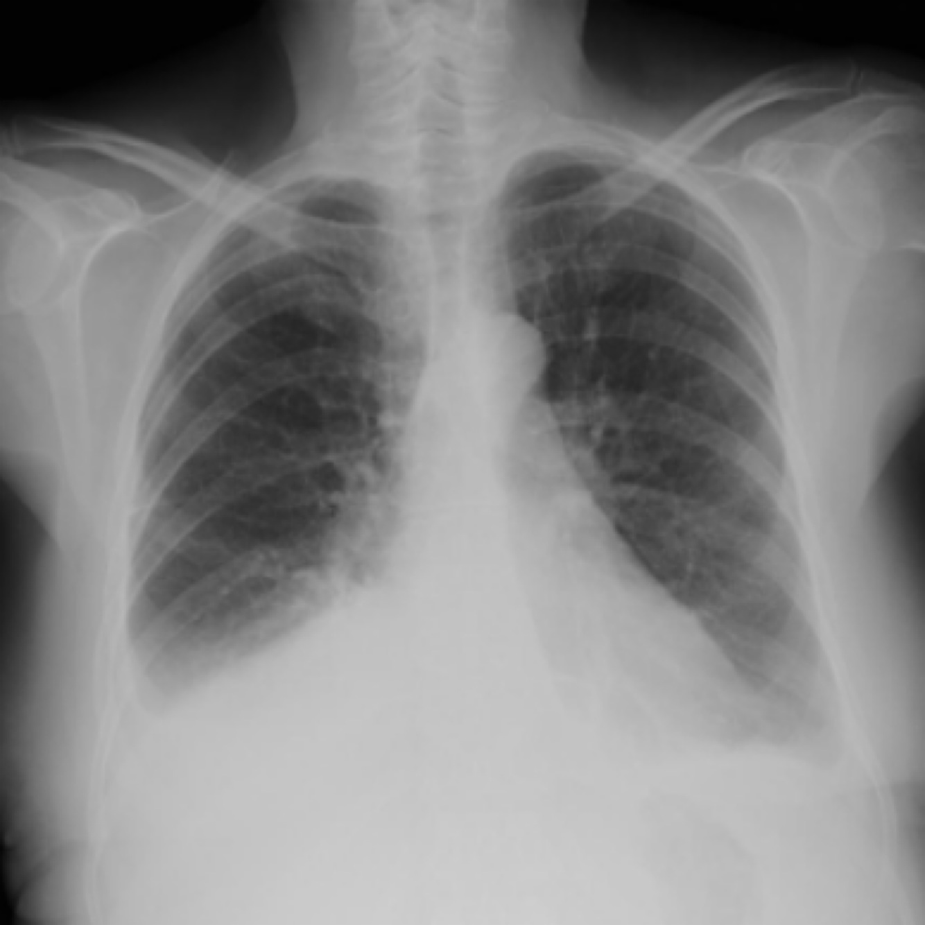
7
Q
A

right pleural effusion shown on x-ray,

How well did you know this?
1
Not at all
2
3
4
5
Perfectly
8
Q
A

dilated cardiomyopathy

How well did you know this?
1
Not at all
2
3
4
5
Perfectly
9
Q
A

Dilated cardiomyopathy

How well did you know this?
1
Not at all
2
3
4
5
Perfectly
10
Q
A

Transposition of the great vessels: “egg on a string” appearance of the heart

How well did you know this?
1
Not at all
2
3
4
5
Perfectly
11
Q
A

H.influnza : acute epiglottis (“thumb sign” on lateral neck x-ray”)

How well did you know this?
1
Not at all
2
3
4
5
Perfectly
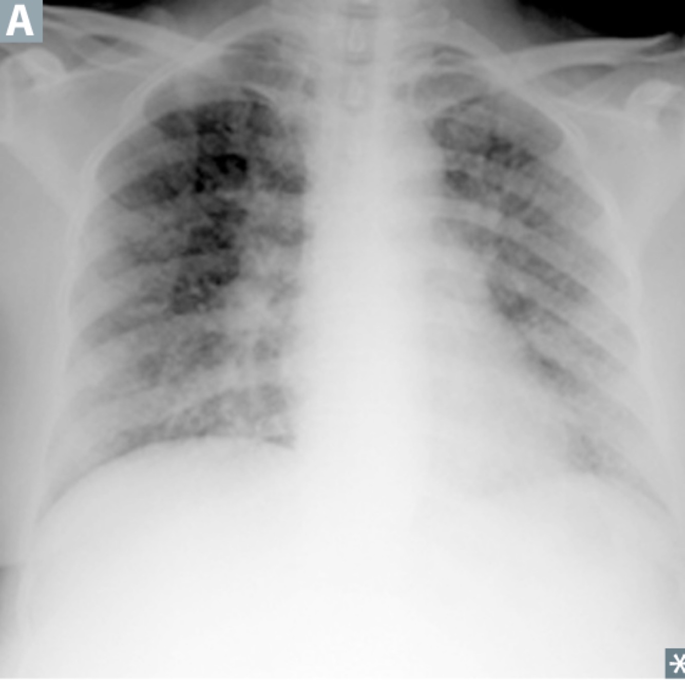
12
Q
A

diffuse interstitial pneumonia

How well did you know this?
1
Not at all
2
3
4
5
Perfectly
13
Q
A
How well did you know this?
1
Not at all
2
3
4
5
Perfectly
14
Q
A
How well did you know this?
1
Not at all
2
3
4
5
Perfectly
15
Q
A
How well did you know this?
1
Not at all
2
3
4
5
Perfectly
20
Q
A

Inferior thoracic esophagus( supply by esophageal branch directly form aorta).