GIT Flashcards

(9 cards)

1
Q
A

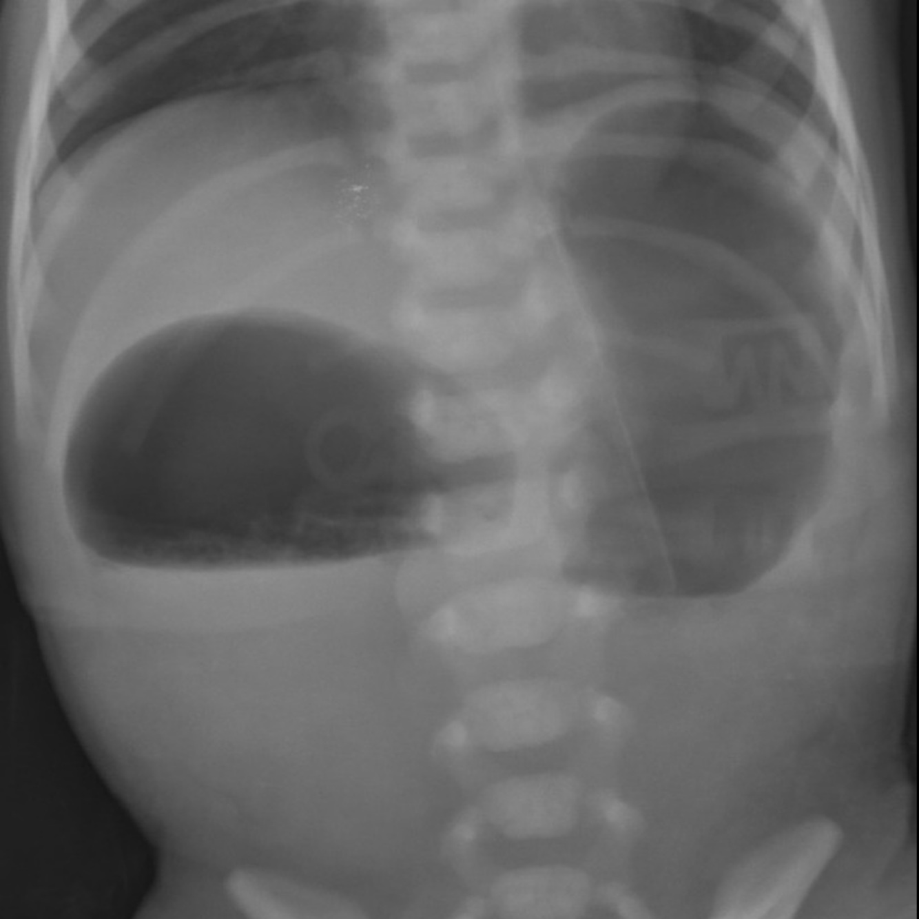
Duodenal atresia : double bubble

How well did you know this?
1
Not at all
2
3
4
5
Perfectly
2
Q
A

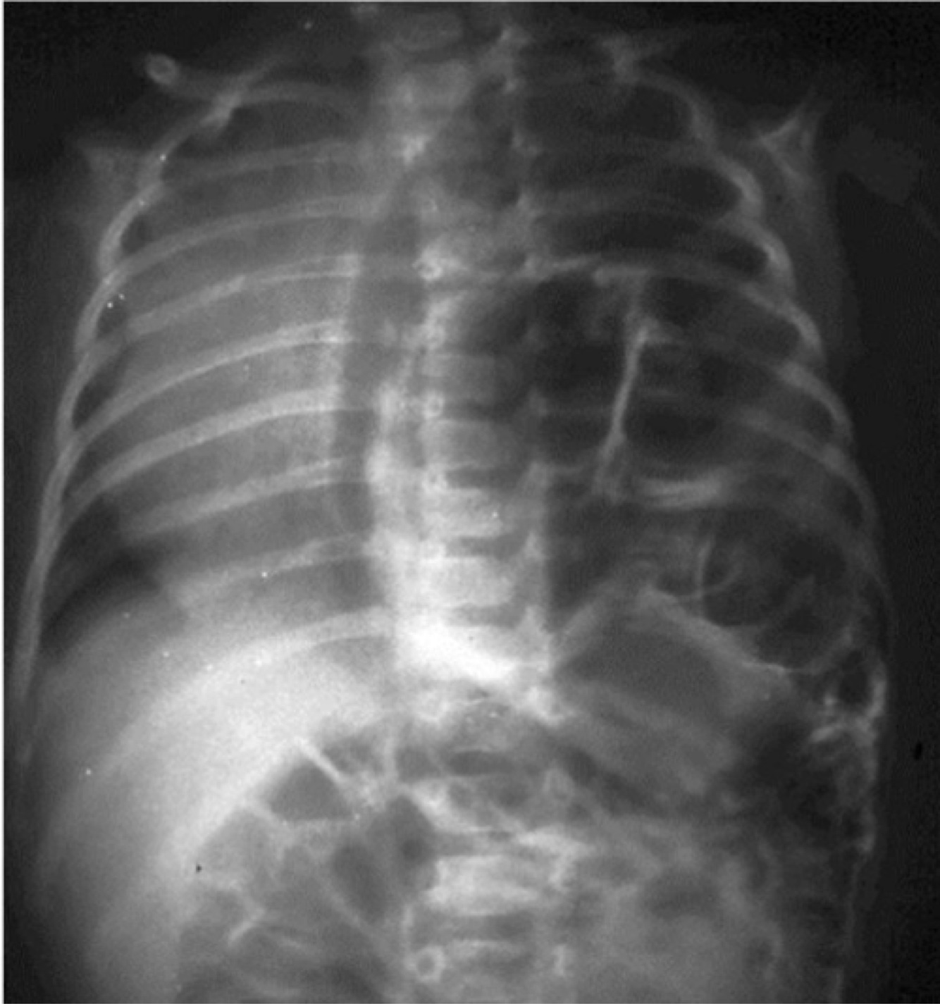
small bowel obstruction. Dilated loops of small intestine, seen in the x-ray image of the abdomen,

How well did you know this?
1
Not at all
2
3
4
5
Perfectly
3
Q
A

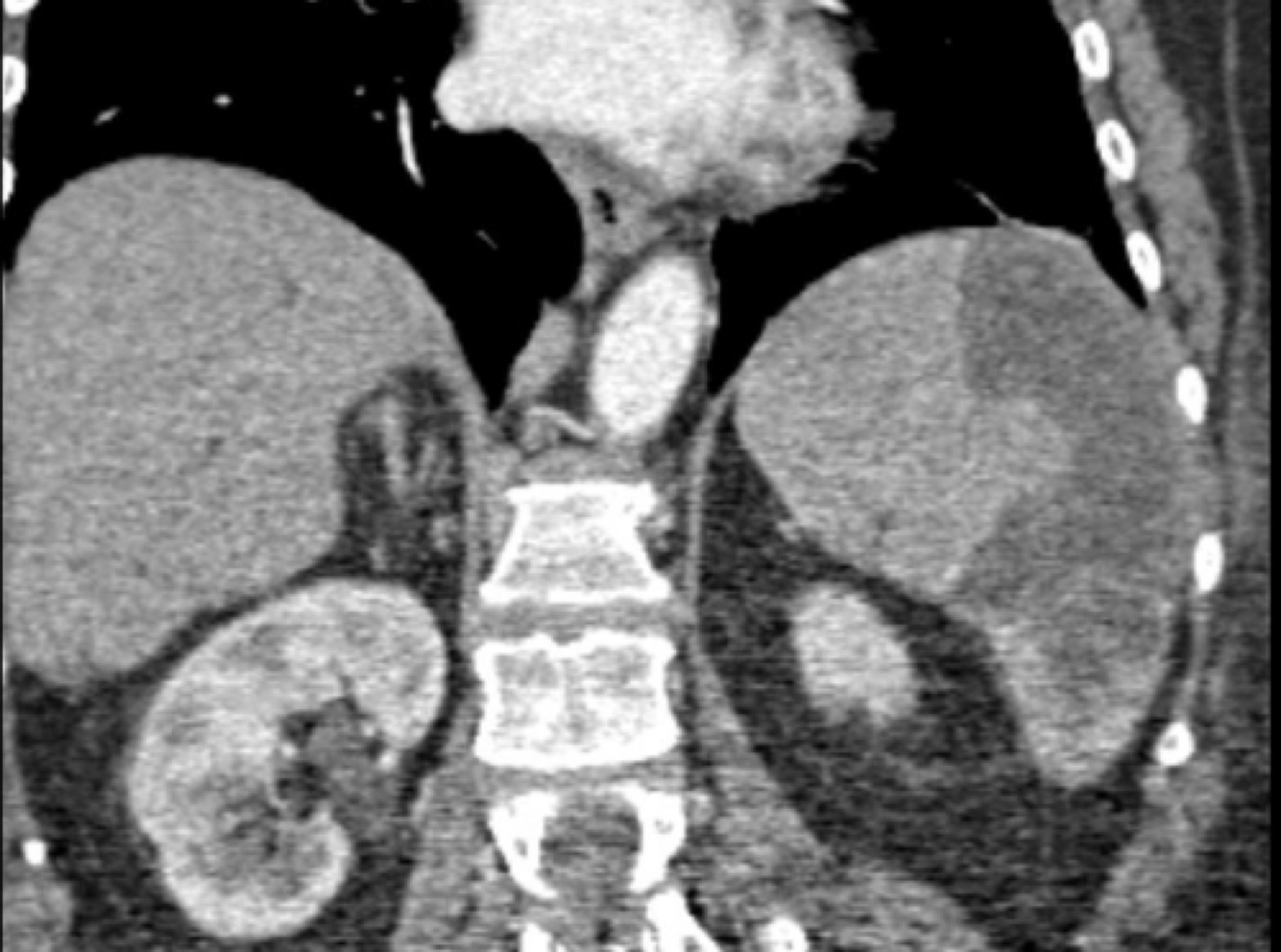
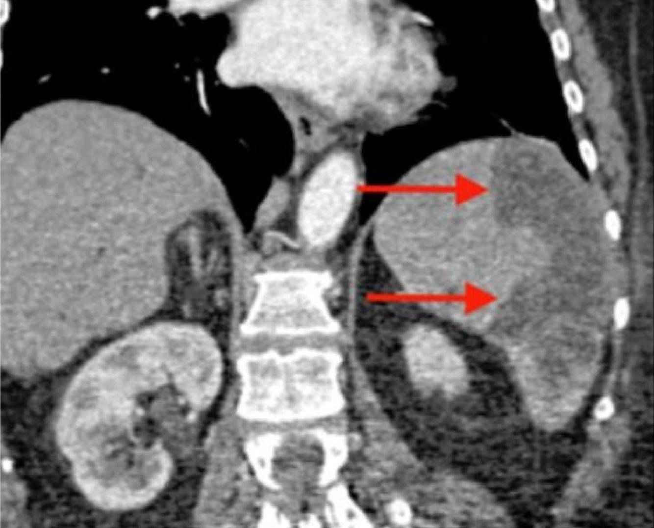
splenic infarct:

The image on the left demonstrates an enlarged spleen

How well did you know this?
1
Not at all
2
3
4
5
Perfectly
4
Q
A

Colorectal cancer : apple core” lesion suggest a tumor in the colon.

How well did you know this?
1
Not at all
2
3
4
5
Perfectly
5
Q
A

esophageal cancer at the gastroesophageal junction

How well did you know this?
1
Not at all
2
3
4
5
Perfectly
6
Q
A

Tracheoesophageal fistula : distended gastric bubble and the nasogastric tube that has not reached the stomach but has rather coiled in the mediastinum

How well did you know this?
1
Not at all
2
3
4
5
Perfectly
7
Q
A

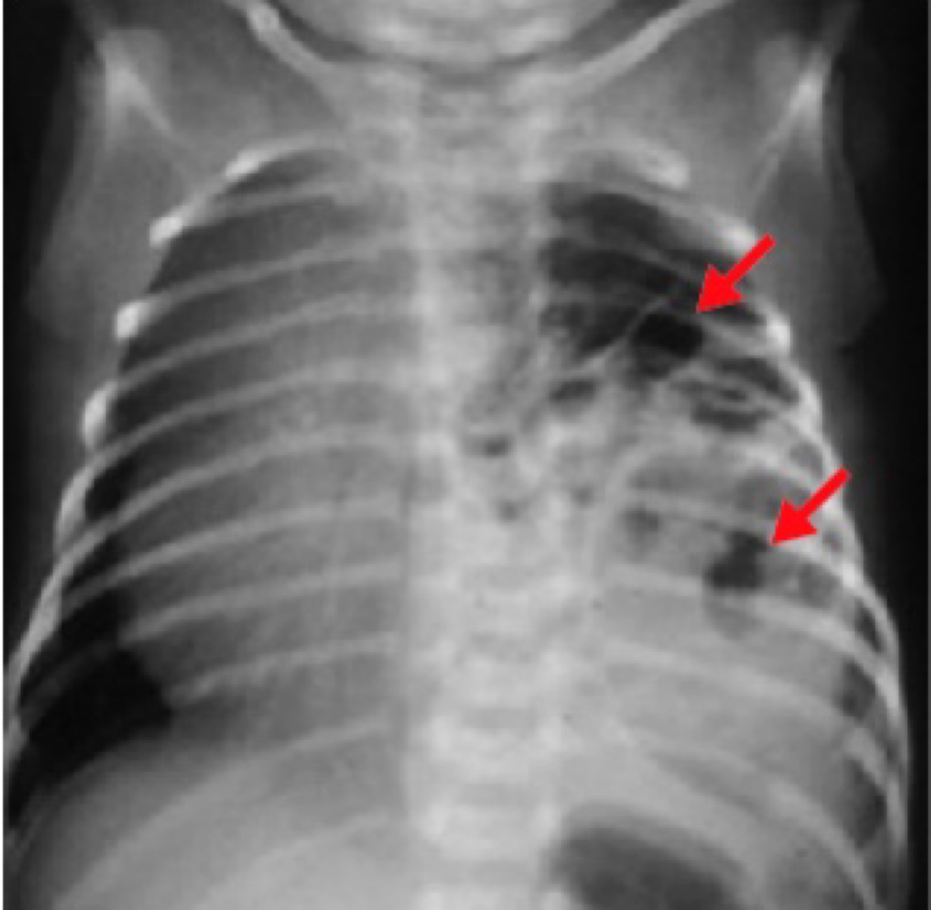
Pulmonary hypoplasia can result from congenital diaphragmatic hernia

How well did you know this?
1
Not at all
2
3
4
5
Perfectly
8
Q
A

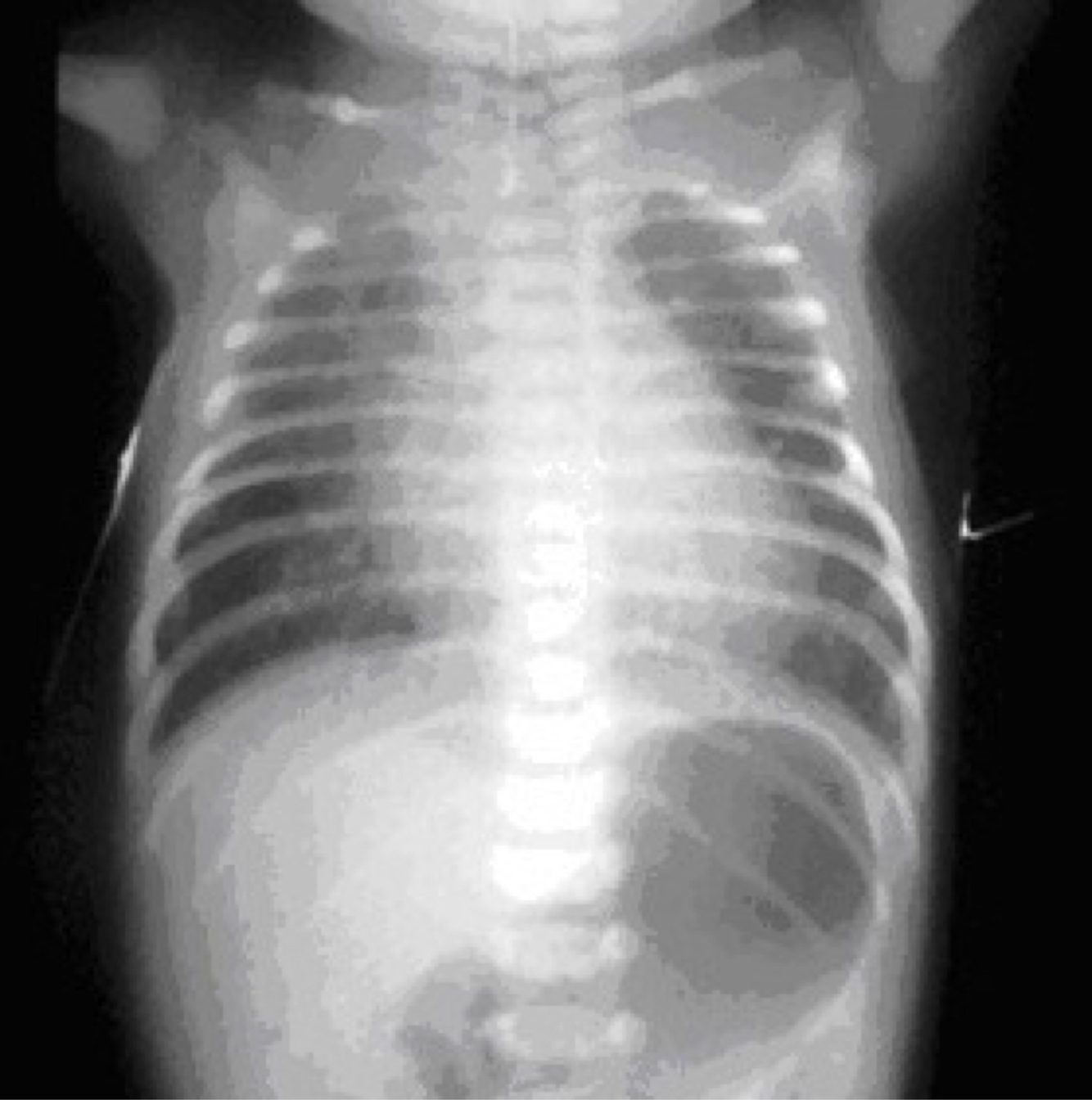
congenital diaphragmatic hernia

How well did you know this?
1
Not at all
2
3
4
5
Perfectly
9
Q
A

neonatal respiratory distress syndrome (NRDS)

How well did you know this?
1
Not at all
2
3
4
5
Perfectly