Seorang perempuan usia 54 tahun dibawa ke ruang gawat darurat setelah jatuh pingsan saat bekerja . Dia tersadar dan dapat berko-munikasi, dengan sakit kepala berat, fotopobia, nuchal kaku dan pandangan buram. CT atas otak mengungkapkan adanya darah subaraknoid menyebar pada cistern basal, Hidrosepalus ringan dan tidak tampak hematoma intraparenkimal. Angiogram pasien tampak pada Gambar.

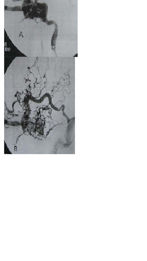
Seorang laki-laki usia 28 tahun mengalami kecelakaan motor. Setelah satu minggu keluar dari perawatan rumah sakit, pasien mengalami demam, sakit kepala retro-orbital parah, diplopia dan proptosis mata kiri, dan segera dibawa ke ruang gawat darurat, CT scan atas otak menunjukkan andanya kontusi frontal 2 x 3 cm kiri yang mengalami retak tulang depan dan sedikit bergeser dan bertahan sejak saat cedera awal. Tingkat sedimentasi eritrosit (ESR) dan protein C-reaktif
(CRP) agak naik. Angiogram pasien tampak pada gmbr di bawah ini :

A. Drainase Vena kortikal retrograde
B. Pengumpan artero meningeal majemuk
C. Pasokan arteri karotid dalam dan luar berganda
D. stroke embolik
E. Oklusi sinus Venus

A. Drainase Vena kortikal retrograde
Skenario: Seorang laki-laki usia 67 tahun dengan riwayat diabetes mellitus dan hipertensi dibawa ke bagian gawat darurat dengan lengan kanan lemah dan mati rasa. Ternyata dia memiliki stenosis
>90% pada arteri karotid interna kiri dan difusi MRI terbatas pada bagian-bagian otak yang dipasok dari arteri serebral medial kiri. Pasien memilih melanjutkan bedah untuk stenosis karotidnya tetapi
ternyata mengalami bifurkasi arteri karotid riding yang tinggi.
11.E. Diseksi trasversal kepala klavikular dari otot
sternikleidomastoid pada setinggi tulang hyoid untuk
memperoleh visualisasi yang lebih baik arteri karotid lateral dari vena jugular.
Perempuan usia 15 tahun menjalani reseksi tanpa komplikasi atas luka yang ditunjukan di bawah ini . Empat hari kemudian dia menderita Letargi, demam, meningismus, dan fotopobia. Sampel cairan serebospinal (CSF) mengungkapkan kadar protein sebesar 86mg/d (Rentang baku 12 - 60 mg/dL), gula darah 61 mg/dL (40 – 70mg/dL), sel darah merah 16/mL, dan sel darah putih 126/mL, dengan diferensial 11% netropil, 82% limposit dan 7% histiosit. Tes dan kultur
grain dari CSF adalah steril dan tetap demikian untuk keberadaan organisme tersebut.
C. Arteri serebellar Inferior Anterior (AICA)
B. 9 sampai dengan 10 Gy
D. Pembuluh serebelar pra-sentral
E. Foramen magnum di tengahnya
A. Arteri koroidal anterior
C. Untuk menghindari kemungkinan rusaknya saraf kranial X, yang memasok jantung terutama dari sisi kanan
B. Lesioning Zona Entri Akar Dorsal (DREZ)
B. 1,3
D. tengkorak molding
E. Ligamen trnsversum intak
A. Cedera pada pembuluh darah yang berasal dari segmen A2 arteri serebral anterior
B. Infark pada pembuluh karena retraksi lobe frontal yang berlebihan
C. Cedera pembuluh darah perforasi halus yang berasal dari arteri komunikasi depan.
D. Infarksi kapsul dalam belakang dari mikroemboli yang berasal dari arteri karotid dalam
E. Retraksi lobe temporal mesial

A. Cedera pada pembuluh darah yang berasal dari segmen A2 arteri serebral anterior
B. β2-Transferrin, cairan vitrus mata
D. Seringkali diversi CSF hanya merupakan satu-satunya tindakan yang perlu dilakukan untuk fracture semacam ini.
D. Miokimia pada EMG akan menunjang pleksopati akibat radiasi
SOAL 33 – 36
Skenario: Laki-laki usia 42 tahun terjatuh dari ketinggian 25 kaki saat bekerja dan dibawa ke bagian gawat darurat dengan Skala Koma Glasgow (GCS) 5, pupil kanan dilatasi tanpa reaksi, dan rata-rata tekanan darah arteri 80. Setelah pengelolaan oksigen dan pemulihan cairan tubuh, GSC pasien naik menjadi 7, tapi hemiparesis kanan dan
pupil non-reaktif pasien tetap tidak berubah. Pasien juga mengalami retak pelvik, retak humerus kanan, laserasi splenik dan liver, dan berbagai retak pada tulang servikal.
A. Bergesernya brainstem dari landas yang mengakibatkan tekanan pedunkel serebral kontralateral terhadap tentorium.
B. Pasien kemungkinan mengalami hemorase Dural.
C. Ada kemungkinan kontusi di dalam korteks motorik utamanya yang ada pada sisi kontralateral tetapi tidak terdeteksi pada CT scan awal
D. Ada kemungkinan bahwa pasien menjalani diseksi arteri karotid dalam kiri yang kemudian menyapu emboli ke vaskulatur jauh.
E. Ada retakan terkait dari foramen melintang di kiri, yang mengakibatkan diseksi arteri vertebral dan infark kecil di dalam pons ventral

Skenario: Laki-laki berusia 45 tahun dibawa ke ruang gawat darurat dalam keadaan demam, mual, muntah, dan sakit kepala hebat. Lumbar puncture mengungkapkan sel-sel darah merah sedikit
mengalami kenaikan, tapi jumlah protein, glukosa dan sel darah putih semuanya normal, termasuk tidak santokromia. Angiogram pasien tampak di bawah ini..
37. Manakah diantara etiologi di bawah ini yang merupakan etiologi yang paling mungkin merupakan etiologi dari kelainan yang ditunjukkan pada angiogram tersebut.?
A. Trauma kepala
B. Infeksi
C. Pradisposisi genetika
D. Penyakit vaskular kolagen

SOAL 40 – 43
Skenario: Seorang remaja puteri usia 15 tahun dibawa ke bagian gawat darurat dalam keadaan lemas, mual-mual, dan muntah-muntah
dan ternyata menderita stenosis akueduktal berdasarkan hasil MRI ada otak.
C. Faset artikular inferior
C. Prosesus artikular superior