A. Kordotomi
B. Stimulasi gray periakueduktal
C. Elektrokauteri trigeminal prakutanus
D. Simpatektomi
E. Talamotomi bilateral
F. Palidotomi
G. Mielotoni komisural
A. Kordotomi
A. Kordotomi
B. Stimulasi gray periakueduktal
C. Elektrokauteri trigeminal prakutanus
D. Simpatektomi
E. Talamotomi bilateral
F. Palidotomi
G. Mielotoni komisural
B. Stimulasi gray periakueduktal
A. Kordotomi
B. Stimulasi gray periakueduktal
C. Elektrokauteri trigeminal prakutanus
D. Simpatektomi
E. Talamotomi bilateral
F. Palidotomi
G. Mielotoni komisural
D. Simpatektomi
A. Kordotomi
B. Stimulasi gray periakueduktal
C. Elektrokauteri trigeminal prakutanus
D. Simpatektomi
E. Talamotomi bilateral
F. Palidotomi
G. Mielotoni komisural
C. Elektrokauteri trigeminal prakutanus
B. Dekompresi balon
SOAL 56 – 58
Skenario: Laki-laki usia 58 tahun dengan artrisis rheumatoid dibawa ke bagian gawat darurat dengan sakit leher yang tidak tertahankan dan Mielopati servikal. Hasil MRI menunjukkan bahwa pasien
mengalami proses migrasi atas odontoid (SMO) ke foramen magnum ( cranial settling ) dan tekanan pada brainstem oleh proses odontoid itu sendiri.

B. 2

A. Peluang bahwa dia akan mengidap diabetes insipidus adalah 30%
B. Masalah yang paling serius dan parah adalah berkembangnya obesitas, yang terjadi sekitar 50% pasien setelah mengalami pembedahan sejenis.
C. Sekitar 90% pasien tidak akan memerlukan perawatan terapi kortikosteroid dan penggantian tiroid.
D. Sekitar 10% dari pasien akan memerlukan terapi penggantian hormon pertumbuhan
E. Hasil endoktrin pasca bedah sangat tidak dapat diprediksikan.

B. Masalah yang paling serius dan parah adalah berkembangnya obesitas, yang terjadi sekitar 50% pasien setelah mengalami pembedahan sejenis.
A. Sakit kepala yang dirasakan seringkali mirip dengan sakit kepala pasca lumbar puncture
B. Pemindaian lemah dengan kontras bisa mengungkapkan penguatan pada dura atas Konveksitas serebral dan serebelar.
C. Jarang tampak adanya pemulihan spontan, karena kebocoran CSF sering dipastikan tampak di dekat akar-akar saraf.
D. Cairan tulang mungkin bisa mengungkapkan naiknya protein dan pleositosis
E. Analgesik yang mengandung kafein mungkin bisa membantu.
C. Jarang tampak adanya pemulihan spontan, karena kebocoran CSF sering dipastikan tampak di dekat akar-akar saraf.
A. Malformasi Arteriovenus 3 – cm3 pada brainstem.
B. Karsinoma metastatis 1-cm frontal kanan dan 2-cm parietal kiri dari paru-paru.
C. Glioblastoma kambuhan pada lobe temporal kiri (2 cm3)
D. Kavermoma 1-cm dari inti kaudatus kanan yang sebelumnya mengalami perdarahan.
E. Malformasi Arteriovenus talamik bilateral ( 3 cm3)
D. Kavermoma 1-cm dari inti kaudatus kanan yang sebelumnya mengalami perdarahan.
A. stimulasi gray periakueduktal
B. Lobotomi pra-frontal
C. Singulotomi
D. Hipokampektomi
E. Kordotomi ventrolateral
D. Hipokampektomi
A. Stimulasi talamik
B. Stimulasi nukleus subtalamik
C. Stimulasi korteks motorik.
D. Kapsulotomi
E. Transeksi suppial majemuk.

A. Stimulasi talamik
A. Naiknya kekentalan darah
B. Hiperglisemia
C. Menurunnya pelepasan kortikosteroid
D. Pneumonitis termediasi komplemen
E. Keadaan hiperkoagulasi
E. Keadaan hiperkoagulasi
A. Sakit leher
B. Servikal bruit
C. Kelemahan atau mati rasa pada lengan
D. Disestesia
E. Kehilangan penglihatan sekejap

B. Servikal bruit
SOAL 77 – 79
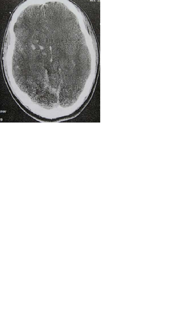
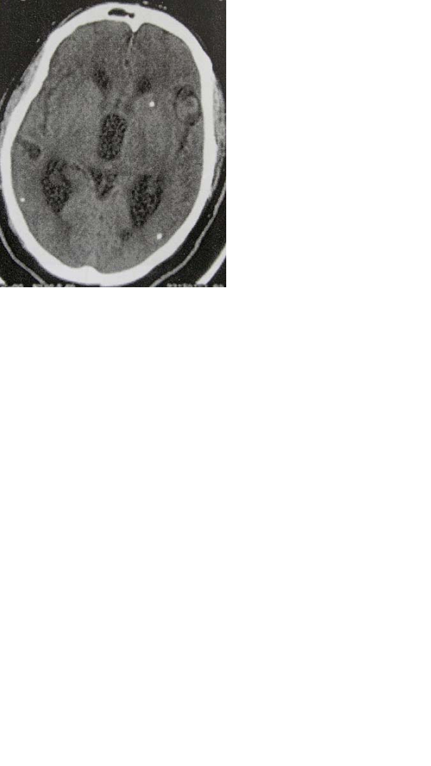
77. Perhatikan Gambar di bawah ini. Diagnosis manakah yang paling mungkin?
A. Infeksi echinococcus
B. Neukrosistiserkosis
C. Infeksi Cryptococcus
D. Infeksi cytomegalovirus
E. Trichinosis

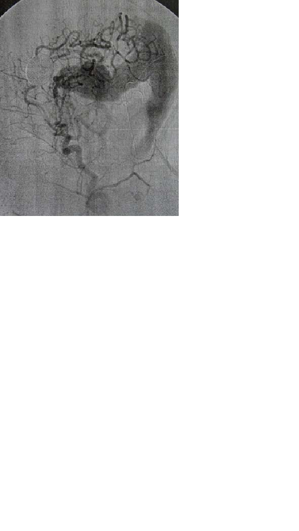
A. Sindroma blue rubber bleb nevus
B. Aneurisma vena Galen
C. Fistula kavernus-karotid
D. Hemangiblastoma intracranial pada infant
E. Sinus pericranii

B. Aneurisma vena Galen
E. Pronator quadratus
A. Gabungkan berbagai isosenter iradiasi pada bidang-bidang yang berbeda
B. Masing-masing isosenter dapat dibobot secara variabel untuk mengubah bentuk relatifnya
C. Masing-masing sinar radiasi dapat dihambat untuk membatasi dosis jauh dari struktur-struktur kritis, seperti kiasme optik
D. Hanya A dan B
E. Jawaban A, B, C dan D semuanya benar.
E. Jawaban A, B, C dan D semuanya benar.
PERTANYAAN 83 – 84
83. Perempuan usia 45 tahun menjalani disektomi dan fusi servikal anterior C5-6 dan C5-7. Pasca bedah pasien siuman dan mengalami sindroma Horner. Etiologi yang paling mungkin dari
temuan ini berkaitan dengan kerusakan pada struktur yang mana?
A. Saraf simpatetik yang berjalan sepanjang arteri karotid selama diseksi leher
B. Cedera pada akar syarat T1 selama disektomi
C. Interupsi rantai simpatetik yang terletak pada permukaan anterior dari otot longus colli
D. Cedera urat tulang selama bedah
E. Infark hipotalamik kecil selama bedah
D. L4-5
A. Fiksasi dan fusi skrup trans-artikular jika massa atlantal lateral intak dengan mutu tulang baik
E. Osteoblas untuk penyembuhan tulang.
E. Jawaban A, B, C dan D semuanya salah