1 - Introduction Flashcards

(35 cards)

1
Q

What is the difference between histology and cytology and what are the advantages and disadvantages of both?

A

Cytology is looking at disaggregated cells, e.g spinal fluid, rather than tissues that pathology looks at

How well did you know this?
1
Not at all
2
3
4
5
Perfectly
2
Q

How do you tell a cell is malignant?

A
  • Hyperchromatinism
  • Lots of nucleoli mitotic figures/Mercedes Benz
  • Enlarrged nucleus
  • Varying nucleus and cell sizing and shapes
How well did you know this?
1
Not at all
2
3
4
5
Perfectly
3
Q

What is a serous carcinoma?

A

Epithelial malignancy from the lining of a cavity that produces a serum-like fluid

How well did you know this?
1
Not at all
2
3
4
5
Perfectly
4
Q

What questions does a histopathologist ask when looking at a tissue?

A
  • Is this normal or not?
  • Is this inflammatory or neoplastic?
  • Is this benign or malignant?
  • Is this a primary tumour or metastatic?
How well did you know this?
1
Not at all
2
3
4
5
Perfectly
5
Q

What is staging and grading of cancer?

A

Grading - indication of how quickly it is likely to grow and spread. More normal looking = lower grade

Staging - Size and extent of tumour and whether it has spread or not

How well did you know this?
1
Not at all
2
3
4
5
Perfectly
6
Q

What is Mohs surgery?

A

Precise surgical technique for skin cancer where thin sheets of skin are removed and examined until only cancer-free tissue remains

How well did you know this?
1
Not at all
2
3
4
5
Perfectly
7
Q

Summarise the pathway of a tissue sample being made for analysis.

A
How well did you know this?
1
Not at all
2
3
4
5
Perfectly
8
Q

What are some antigenic substances that can be identified with immunohistochemistry?

A
  • Cytokeratins: epithelial differentiation markers
  • Contractile actin: smooth muscle cells
  • Cadherins: deficient in carcinoma
  • Hormone receptors
  • Microorganisms
  • HER2 receptor: predict response to herceptin treatment
How well did you know this?
1
Not at all
2
3
4
5
Perfectly
9
Q

What is molecular pathology?

A

Study of how disease is caused by alterations in normal cellular molecular biology, e.g FISH

How well did you know this?
1
Not at all
2
3
4
5
Perfectly
10
Q

What are some issues with frozen section?

A
  • Lesion of interest not in frozen section
  • Poor cell morphology so difficult to interpret
  • Cannot store
How well did you know this?
1
Not at all
2
3
4
5
Perfectly
11
Q

What is a sample frame of a histology report?

A
  1. Clinical history
  2. Macroscopic
  3. Microscopic
  4. Conclusion
How well did you know this?
1
Not at all
2
3
4
5
Perfectly
12
Q

What substance in the blood would confirm MI?

A

Trop I or T

How well did you know this?
1
Not at all
2
3
4
5
Perfectly
13
Q

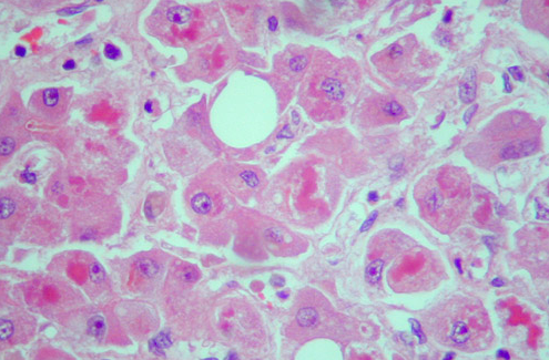
What conditions will a fatty liver be seen in?

A
  • Diabetes Mellitus
  • Obesity
  • Carbon tetrachloride toxicity
  • Alcoholism
How well did you know this?
1
Not at all
2
3
4
5
Perfectly
14
Q

What accumulates in hepatocytes in patients who drink excess alcohol?

A

- Mallory’s hyaline (damaged keratin filaments)

- Fat

How well did you know this?
1
Not at all
2
3
4
5
Perfectly
15
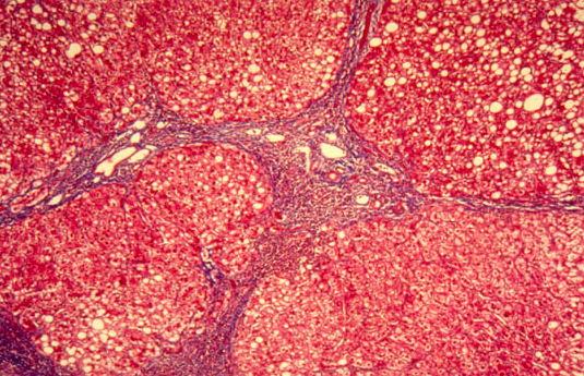
Q

How does cirrhosis appear histologically?

A

Bands of fibrosis surrounding nodules of regenerating hepatocytes

How well did you know this?
1
Not at all
2
3
4
5
Perfectly
16
Q

What is an opsonin and give some examples?

A

A substance that coats foreign materials and makes them easier to phagocytose

17
Q

An appendicectomy is performed. The appendix is found to be covered in an inflammatory exudate.
Describe briefly how such an exudate forms.

A
  1. Tissue injury is followed by the release of vasoactive mediators. Arterioles dilate and capillary hydrostatic pressure increases.
  2. Inflammatory mediators cause endothelial cells to contract and walls of venules to become leaky. Fluid and plasma proteins pass out into the extravascular space as a result of the increase in capillary hydrostatic pressure and the leaky vessel walls
  3. As plasma proteins have passed into the extravascular space the interstitial fluid colloid osmotic pressure increases and this holds the fluid in the extravascular space
18
Q

What is diapedesis?

A

Diapedesis is the passage of blood cells through intact blood vessel walls

19
Q

What are some examples of chemokines?

20
Q

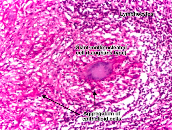
What diseases can cause granulomas and what cells can be seen in a granuloma?

A

• Tuberculosis

  • Syphilis
  • Leprosy
  • Cat scratch disease
  • Sarcoidosis
  • Wegener’s granulomatosis

• Aspergillosis

  • Crohn’s
21
Q

Why do scars appear white, stretched and hairless when they age?

A

Hairless: damage to hair follicles and they cannot regenerate after damage as it is complex

Stretched: elastin is damaged and cannot be regenerated so scars can stretch

White: melanocytes cannot regenerate and the small blood vessels regress leaving a fibrous scar

with few vessels

22
Q

What are abdominal adhesions?

A
  • Bands of fibrous tissue between abdominal tissues and organs
23
Q

Why is PT raised after a paracetamol overdose?

A
  • Damage to liver due to toxicitiy
  • Liver releases coagulative factors so won’t be able to release anymore therefore increasing clotting time
24
Q

What is warfarin used for and why is it not used first in emergencies, which drug is used first?

A

Heparin used as acts immediately but warfarin takes a few days

25
What are some risk factors for DVT and why are pregnant people at risk of DVT?
- In pregnancy the **blood is hypercoagulable** and there is presence of a pelvic mass so puts pressure on veins, decreasing venous flow back up through the legs, causing **venous stasis**
26
What is an embolism?
Embolism is the blockage of a blood vessel by a solid, liquid or gas at a site distant from its origin
27
What cell is required for a histological diagnosis of chronic inflammation?
Epitheliod histiocytes
28
In DIC what is normally decreased in the blood tests?
- Fibrinogen levels
29
What is Leriche syndrome?
A form of central artery disease involving the blockage of the abdominal aorta as it transitions into the common iliac arteries
30
What do prominent nucleoli indicate?
High rate of DNA transcription
31
What is Kaposi's sarcoma, Burkett's lymphoma, Kruckenberg tumour, and Ewing's sarcoma?
1. Vascular neoplasm caused by HHV8, AIDS defining illness, lesions in legs with irregular vascular spaces, chronic inflammatory cells and spindle shaped cells 2. Lymphoma associated with EBV and malaria 3. Tumour metastatic to ovary, usually arise from GI stomach cancers 4. Malignant tumour of bone mainly in children and young adults
32
What is an annular tumour and what are some types of exophytic tumours?
**- Annular:** forms napkin ring lesion, typically causes obstruction. Tumour grows centripetally **- Exophytic:** papillary (finger like projections), polypoid (exophytic mass on stalk), sessile (raised but flat)
33
What does carcinomatosis mean?
Extensive metastatic disease
34
What is Wegener's granulomatosis?
Necrotising granulomas form in small and medium blood vessels. Rare but lethal
35
What is helicobacter pylori a cause of?
Gastric Ulcers