What are the three types of autopsy completed today?
Medicolegal - On behalf of HM coroner, no consent needed
Forensic - type of coroner post mortem for suspicious deaths
Consent (Hospital) - consent from next of kin, may be limited examination
What are the four steps of an autopsy?
- History
- External examination (imaging, injury, natural disease, medical intervention)
- Internal examination (all systems)
- Additional tests
What are some additional tests that can be carried out in an autopsy?

What are some common causes of sudden death?
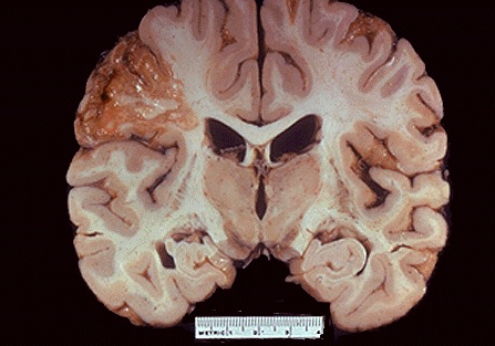
What are the types of specialised autopsies and what can they be used for?
- Neuropathology: trauma, neurodegenerative disease, research
- Paediatric: death in utero, perinatal death, suspicious death, sudden infant death, provide answers for grieving families, safeguarding, teaching and research, patients want to know for ‘next time’
- Forensic: small speciality , more than autopsies
When are autopsies required?
What is the point of using genetic testing for autopsies?
To test for genetic diseases
What type of infarct typically occurs in the brain?
