Vasculitis: big picture. What is the definition?
Inflammatory destruction of blood vessels. Many different causes.
Vasculitis: what can it cause? (3)
-ischemia, embolism, aneurysm
vasculitis: typically in veins or arteries?
can be either but more frequently affects arteries
This image depicts what? What type of vasculitis?

polyarteritis nodosum: example of vasculitis affecting medium sized arteries (coronary arteries) -> lumpy-bumpy arteries.
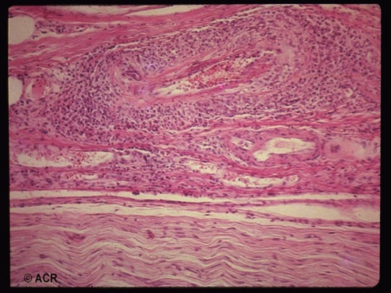
Histology of vasculitis. What is notable?

Note
How can we tell this is vasculitis?
Is this vasculitis of small, med or large vessels?
Is there a specific name for this?

This is of SMALL vessels
Henoch-Schoenlein Purpura
Henoch-Schoenlein Purpura presentation? (4)
(Small vessel vasculitis)
Henoch-Schoenlein Purpura: what will be seen on biopsy?
neutrophilic leukocytic process with IgA present in vessels.
This destroys the vessels, WBCs leak out.
Henoch-Schoenlein Purpura: what is the cause?
When does it usually occur?
What causes a similar-looking rash?
HS Purpura is idiopathic
Occurs post-URI infection (vasculitis due to IgA complex deposition)
Similar: vasculitis due to drug reactions; connective tissue diseases
besides stellate ulcers/palpable purpura, what are skin clues that indicate small vessel vasculitis? (3)
nodules
ischemic digits
livido reticularis (reticulated purpura)
What vasculitis is this picture characteristic of?

Stellate ulcers
due to small vessel vasculitis
What does this picture show? due to what type of vasculitis?

stellate ulcers and gangrene
due to small vessel vasculitis
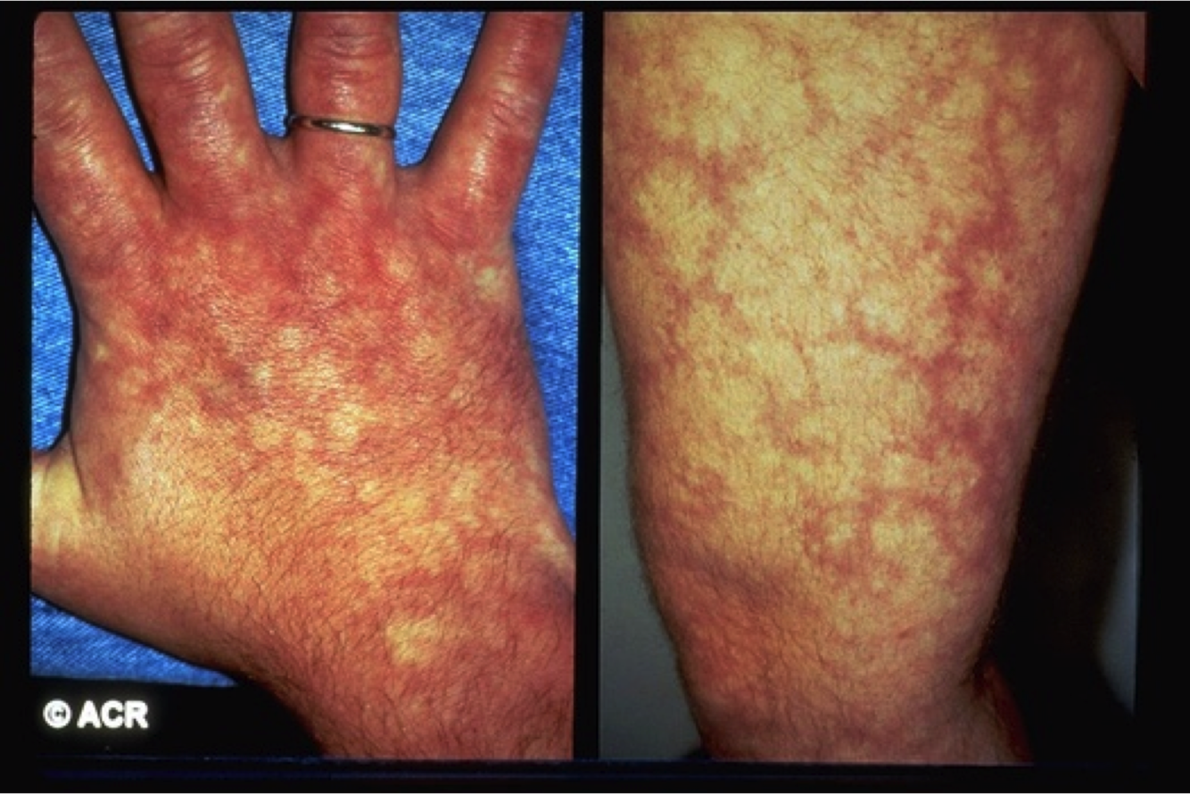
What does this pic show? due to what type of vascuiltis?

Livido Reticularis
(net like pattern, usually more violet than red)
Usually on legs, arms, flanks
due to small vessel vasculitis
Henoch-Schoenlen Purpura. What is the typical clinical presentation?
Small vessel vasculitis.
Usually presents as
What is this, what is it due to?

stellate lesion due to small vessel vasculitis
What is this, what type of vasculitis is it due to?

polyarteritis nodosum
same situation as the heart image: due to aneurysmal dilation (in the vascular arch of the hand this time).
Polyarteritis nodosa: what size vessels are involved? what happens to those vessels?
Associated symptoms?
Medium vessel vasculitis, vessels develop spasms + aneurysms.
Associated sx: gut ischemia, coronary aneurysms, renal artery involvement
Polyarteritis nodosa: usually secondary to what?
Hep B
also seen in RA, Lupus, Kawasaki’s disease (kids)
Polyarteritis nodosa: what are the immune cells that are primarily involved?
neutrophils
What is this? What size vessels are involved?

Heart with polyarteritis nodosa
Medium-vessel vasculitis
What is depicted here?

Artery.
note the vessel wall at the top of the pic is damaged (even though the rest looks normal) and it forms an aneurysm with inflamation surrounding it -> Polyarteritis Nodosum.
What is this?

Classic polyarteritis nodosum as seen via angiography
The aneurysms are ‘beads’
What about the physical exam or symptoms should cause consideration of vasculitis? (5)
Primary vasculitis: what is the etiology? A few examples?
Primary: etiology is unknown.
Examples: Henoch-Schoenlen Purpura, Wegener’s, Kawasaki’s, Giant Cell Arteritis
(for a lot of the weird-named ones we don’t know the cause)