What is the name of this lesion?

Morphea (type of Localized Scleroderma, usually seen in kids)
What are the two main types of scleroderma?
Within each type, what are the subtypes?
Scleroderma –> Localized and Systemic
Localized (KIDS) –> Morphea and Linear
Systemic –> Limited, Diffuse, Sine
Systemic Scleroderma is divided into 2 types. What is the distribution on the skin of each type?
Limited Scleroderma: Appears on legs from knees down; on arms from elbows down, and on face
Diffuse Scleroderma: entire body

General skin findings with scleroderma?
Early on?
Later changes?
Swelling of fingers and hands, with erythema and pruritis
Early on: Edema. Fingers, hands, FACE involved.
Later: Edema fades, skin is shiny, tight, thick. Pigment changes. Sclerodactyly. Digital ulcers, pitting.
What disease, what stage?

Scleroderma, early phase
Edema, swelling
What disease, what phase?
How would we describe?

Scleroderma, late phase.
Tapering digits, digital ulcers, nail changes, pigment change (hypo and hyper pigmentation), joint contractures.
What disease? What features and sequelae?

Scleroderma
Left: tightened skin around the mouth. Skin is hard, not pliable. Reduced oral opening.
Right: areas of hypopigmentation, shiny skin on chest.
Scleroderma Sine Sclerosis: how does it look clinically?
Prognosis?
Pt has all components of sclerosis except skin findings.
–> Raynaud’s, GI abnormalities, autoantibodies, telangiectasias.
Prognosis is similar to pts with Limited disease (the type that is more common in kids, covered in derm)
Systemic sclerosis - Limited type used to be called what?
Why not called that anymore?
CREST (Calcinosis, Raynaud’s, Erythroderma, Sclerodactyly, Telangectasia)
Not called that anymore because we don’t need all 5 sx for a diagnosis.
What is this? In what disease/type does it occur?
What are possible complications?

Calcinosis.
Get this with Systemic Sclerosis - Limited type (NOT diffuse type)
Complications: necrosis, infection possible.
No treatment.
Histo below.

What is this? What disease/subtype is it associated with?

Calcinosis.
Systemic Sclerosis - Limited type.
May have resorbtion of the bone (acro-osteolysis)
In what % of scleroderma patients will we see Raynaud’s? At what point in the disease process does it present?
What general category of vascular problem is it?
Present in 95% of patients.
Can precede other manifestations of scleroderma by months or years.
Vasculopathy, not vasculitis!
What is this a picture of? What disease?
Why is it important?

Vasculopathy associated with scleroderma.
Impt to note that the Raynaud’s assocaited with scleroderma is a vasculopathy, not a vasculitis.
You are seeing a 45 year old female for new-onset Raynaud’s. What is the most important physical exam finding in helping you make a diagnosis?
Because this will help you determine whether the RN is primary (normal capillaries) or secondary (dilation, dropout capillaries).
If secondary, predictive of eventual connective tissue disease.
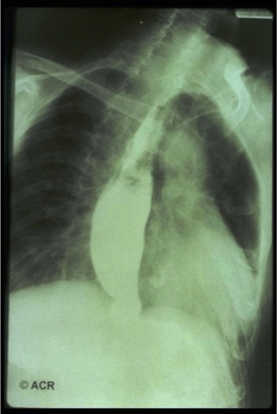
This is a pic of what? What disease is it associated with?

Barium swallow: indicates esophageal dysmotility.
Would be the E of CREST
Systemic Scleroderma, Limited type
Picture of what? What disease/type?

Sclerodactyly: Systemic Sclerosis, Limited type.
Xray of sclerodactyly (below) indicates resorption of the terminal phalanges (acro-osteolysis).

What is this? Disease, subtype?

Telangiectasia
Systemic Sclerosis: Limited Type.
Can show up on fingers, hands, face.
In GI tract, can cause significant blood loss
What is this? Disease, subtype?

Systemic Sclerosis - Diffuse type
obvious involvement of trunk
What are the major differences between Diffuse and Limited Systemic Scleroderma (SSc)?
(symptoms, other organs involved, related antibodies)
which type is more deadly?
Diffuse: Early organ involvement, Renal Crisis, Pulmonary Fibrosis, Topo I (Scl-70) antibody +
Limited: CREST sx, Pulmonary HTN, Centromere antibody +
Diffuse type is more deadly due to early organ involvement
The pathophysiology of scleroderma does NOT include:
No vasculitis! No inflammation of blood vessels.
What is vasculopathy?
In scleroderma, what does it cause?
Widespread obliterative vasculopathy and failure to replace damaged blood vessels (caps, arterioles and even large blood vessels)
Concentric proliferation and thickening of the intima
Little involvement of the media
Fibrosis of the adventitia
No inflammation
-->Leads to Raynaud’s phenomenon, pulmonary artery hypertension and sclerderma renal crisis
Pulmonary Artery Hypertension: which type of systemic scleroderma patients get this (Diffuse or Limited)?
What is the pathophys?
Systemic Scleroderma, Limited type.
Caused by smooth muscle hypertrophy: intimal proliferation as part of vasculopathy.
Renal crisis: characteristic of Diffuse or Limited scleroderma?
How does it typically present in these patients?
Diffuse type more at risk.
Rapid progression, creatinine rises quickly.
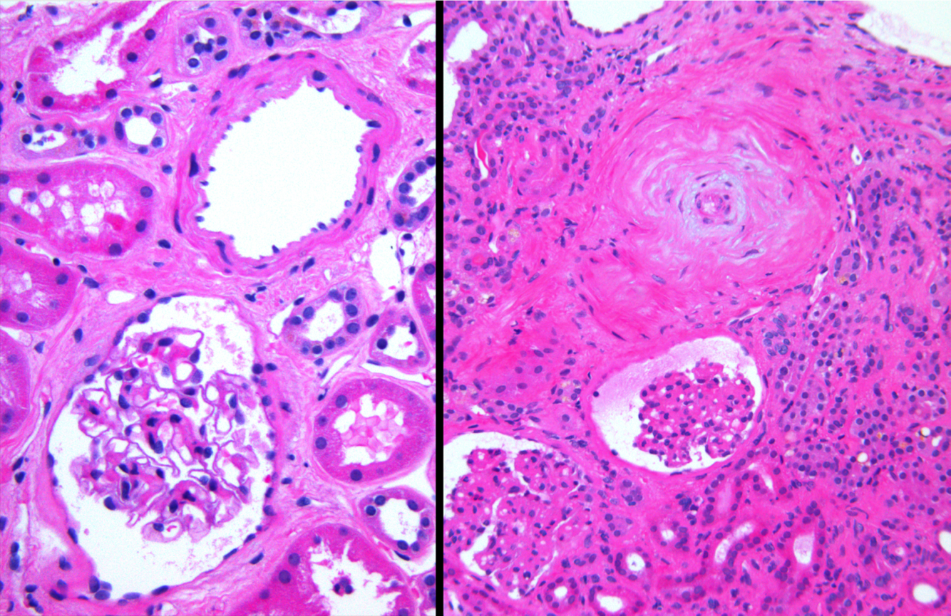
What do these biopsies show?

Both kidney biopsies (glomerulus and arteriole)
Left: normal patient
Right: scleroderma patient. note arteriolar wall thickening, and scarring of glomerulus. –> renal failure (Diffuse SSc)