1.1 Flashcards

(14 cards)

1
Q

Pericardite - Sinais (6)

A

Febre;
Taquicardia;
Sons cardíacos abafados;
Atrito pericárdico (85% dos casos);
↑ Pressão venosa jugular;
Sinais de insuficiência cardíaca se houver tamponamento;

How well did you know this?
1
Not at all
2
3
4
5
Perfectly
2
Q

Pericardite - Sintomas (5)

A

Dor torácica pleurítica (Melhora ao sentar inclinado para frente; piora ao inspirar e deitar);
Febre;
Fadiga;
Tosse seca;
Sintomas de insuficiência cardíaca congestiva (dispneia, fadiga)

How well did you know this?
1
Not at all
2
3
4
5
Perfectly
3
Q

Pericardite - Tratamento (5)

A

Tratar a causa subjacente;
Anti-inflamatórios - Ácido acetilsalicílico ou Ibuprofeno;
Associar a Colchicina;
Corticosteróides: Reservados para casos refratários ou quando há contraindicação aos AINEs e colchicina;
Pericardiocentese

How well did you know this?
1
Not at all
2
3
4
5
Perfectly
4
Q

Pericardite - ECG (4)

A

Elevação difusa do segmento ST em várias derivações, sem o padrão de convexidade como no infarto;
Depressão do PR é comum.
Inversão de onda T nas fases mais tardias;
Baixa voltagem do QRS em casos de derrame pericárdico;

How well did you know this?
1
Not at all
2
3
4
5
Perfectly
5
Q

Pericardite - Marcadores (3)

A

PCR, VHS: Para monitoramento da inflamação.
Troponina: Para excluir infarto agudo do miocárdio.

How well did you know this?
1
Not at all
2
3
4
5
Perfectly
6
Q

Pericardite - Exames de imagem (2)

A

Ecocardiograma: Para avaliar derrame pericárdico ou tamponamento;
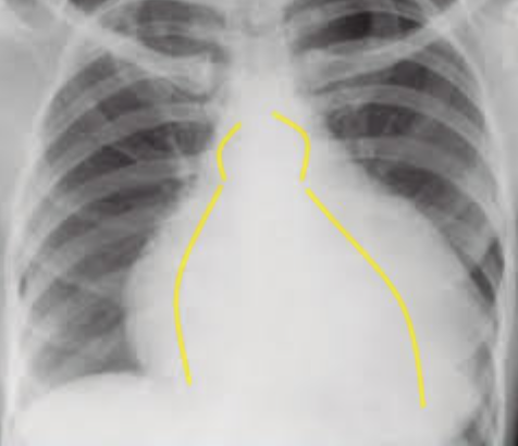
Raio-X de tórax: Pode mostrar aumento da silhueta cardíaca se houver grande derrame;

How well did you know this?
1
Not at all
2
3
4
5
Perfectly
7
Q

Pericardite - Diagnóstico

A

O padrão-ouro para o diagnóstico de pericardite é o exame clínico combinado com o eletrocardiograma (ECG).

How well did you know this?
1
Not at all
2
3
4
5
Perfectly
8
Q

Pericardio - Camadas (2)

A

Pericárdio Fibroso;
Pericárdio Seroso.

How well did you know this?
1
Not at all
2
3
4
5
Perfectly
9
Q

Pericárdio Fibroso - Características (5)

A

Tecido conjuntivo denso e resistente;
Protege o coração;
Camada externa;
Ancorado o coração no diafragma pelo ligamento pericardico-frenico;
Impede o enchimento excessivo do coração - se o fluido se acumular na cavidade pericárdica, pode inibir o bombeamento eficaz (Tamponamento cardíaco).

How well did you know this?
1
Not at all
2
3
4
5
Perfectly
10
Q

Pericárdio Seroso - Subdivisões (2)

A

Pericárdio Seroso
Camada Parietal - Reveste a superfície interna do pericárdio fibroso;
Camada Visceral (também chamada de Epicárdio) - Reveste a superfície externa do coração.

How well did you know this?
1
Not at all
2
3
4
5
Perfectly
11
Q

Pericárdio - Recessos (2)

A
How well did you know this?
1
Not at all
2
3
4
5
Perfectly
12
Q

Diagnóstico do processo inflamatório da pericardite (5)

A

Ecocardiograma (opção inicial + acessível): Para avaliar derrame pericárdico ou tamponamento;
Raio-X de tórax: Pode mostrar aumento da silhueta cardíaca se houver grande derrame;
PCR, VHS: Para monitoramento da inflamação;
Troponina: Para excluir infarto agudo do miocárdio;
RM (RM é padrão ouro): Detalha inflamação.

How well did you know this?
1
Not at all
2
3
4
5
Perfectly
13
Q

Caracterize Ejeção ventricular rápida (70% do débito cardíaco)

A

Nesse momento, a pressão nos ventrículos é alta o suficiente para vencer a resistência das artérias (aorta e pulmonar), permitindo a abertura das válvulas aórtica e pulmonar, e o sangue é rapidamente ejetado dos ventrículos.

How well did you know this?
1
Not at all
2
3
4
5
Perfectly
14
Q

Caracterize Ejeção reduzida ou lenta (30% do débito cardíaco)

A

O volume de sangue ejetado diminui à medida que a pressão nos ventrículos e nas artérias se equilibra. Os átrios já estão começando a se encher com sangue nesse momento.

How well did you know this?
1
Not at all
2
3
4
5
Perfectly