1.1: Lung patterns Flashcards

(20 cards)

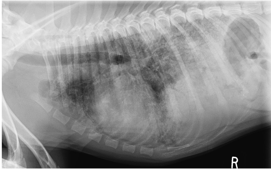
1
Q

What are the 4 lung patterns?

A
  • Alveolar
  • Interstitial
  • Bronchial
  • Vascular

These arise from the 4 things we have in the lungs (air in the alveoli, airways, interstitium, and blood vessels).

How well did you know this?
1
Not at all
2
3
4
5
Perfectly
2
Q

Which lung pattern is shown here?

A

Alveolar pattern
This pattern creates a soft tissue-like opacity within the lungs; think of it as heavy fog obscuring structures.
There is border obliteration (we can no longer clearly distinguish the cardiac silhouette).
We can still see air bronchograms because alveolar diseases spared the airways.

How well did you know this?
1
Not at all
2
3
4
5
Perfectly
3
Q

Which lung pattern is shown here?

A

Alveolar pattern
There is characteristic border obliteration

How well did you know this?
1
Not at all
2
3
4
5
Perfectly
4
Q

We can see tramlines and donuts. Which lung pattern is shown here?

A

Interstitial
This is like looking through mist or a lace curtain; structures are not obliterated, but are greyed-out.
Donuts and tramlines = abnormal thickening of the airway (bronchiole) walls -> bronchial pattern

How well did you know this?
1
Not at all
2
3
4
5
Perfectly
5
Q

Which lung pattern is shown here?

A

Mixed alveolar and interstitial
We can see air bronchograms.
There is border obliteration of the diaphragm.
There is a generalised increase in radiodensity throughout the lungs.

How well did you know this?
1
Not at all
2
3
4
5
Perfectly
6
Q

Which lung pattern is shown here?

A

Mixed alveolar and interstitial
This is from a dog with Angiostrongylus vasorum.

How well did you know this?
1
Not at all
2
3
4
5
Perfectly
7
Q

Which lung pattern is shown here?

A

Interstitial
There is generalised greying-out of the lungs but no border obliteration or air bronchograms.

How well did you know this?
1
Not at all
2
3
4
5
Perfectly
8
Q

Which lung pattern is shown here?

A

Alveolar
This is limited to the diaphragmatic lung lobes.
There is border obliteration of the diaphragm.

How well did you know this?
1
Not at all
2
3
4
5
Perfectly
9
Q

Which lung pattern is shown here?

A

Interstitial

How well did you know this?
1
Not at all
2
3
4
5
Perfectly
10
Q

Which lung pattern is shown in Case 1? Justify your answer.

A

Interstitial
There is a diffuse increase in radiodensity (greying-out, lace curtain) but no border obliteration

How well did you know this?
1
Not at all
2
3
4
5
Perfectly
11
Q

Which lung pattern is shown here?

A

Interstitial pattern
There is a generalised increase in radiodensity but no border obliteration.

How well did you know this?
1
Not at all
2
3
4
5
Perfectly
12
Q

Which lung pattern is shown here?

A

Nodular interstitial pattern
This is associated with metastatic lung tumours.

How well did you know this?
1
Not at all
2
3
4
5
Perfectly
13
Q

Which lung pattern is shown here?

A

Diffuse interstitial
This is associated with metastatic lung tumours.

How well did you know this?
1
Not at all
2
3
4
5
Perfectly
14
Q

Which lung pattern is shown here?

A

Bronchial
We can see the tramlines of dilated airways that don’t taper

How well did you know this?
1
Not at all
2
3
4
5
Perfectly
15
Q

Which lung pattern is shown here?

A

Bronchial
These are bronchiectatic airways (dilated and weak)
Hilus of the lungs is a good place to look

How well did you know this?
1
Not at all
2
3
4
5
Perfectly
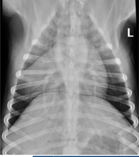
16
Q

What shape can you identify on this radiograph and what does it indicate?

A

Donut = thickened airway wall. Consistent with bronchial lung pattern. Classic finding in Canine Chronic Bronchitis, for example.

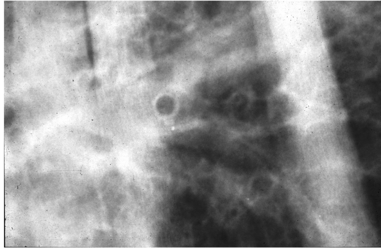
17
Q

What finding is circled here?

A

Air bronchogram

18
Q

What is an air bronchogram and when would you see it?

A

Air bronchogram: the phenomenon of air-filled bronchi (dark) being made visible by the opacification of surrounding alveoli.
Air bronchograms classically appear with alveolar disease (i.e. alveoli get filled with something).
However, we can also see them in interstitial disease, e.g. where there has been compressive atelectasis and crowding of tissue around open airways.

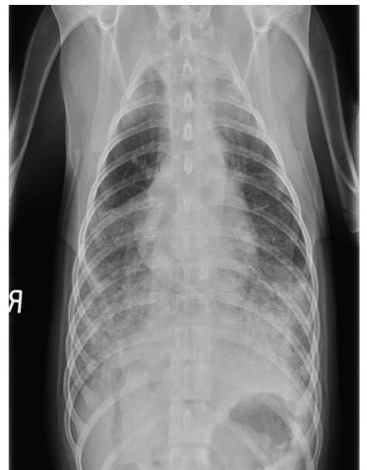
19
Q

Which lung pattern is shown here?

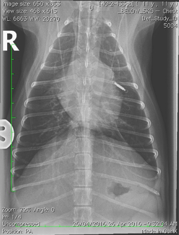
20
Q

What finding is shown on these radiographs?

A

A single mass (pulmonary neoplasia)