23.11.4: Cutaneous masses Flashcards

(41 cards)

1
Q

How could you decide what a cutaneous mass is?

A
  • Signalment
  • History: general, dermatological, speed of onset
  • Clinical exam: general and dermatological
  • Ranked ddx list
  • Investigations: cytology (FNA), tissue biopsy (histopathology ± tissue culture if inflammatory)
How well did you know this?
1
Not at all
2
3
4
5
Perfectly
2
Q

What are the main types of skin mass (i.e. that you could differentiate on FNA)?

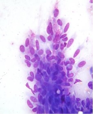
A
  • Inflammatory
  • Cyst
  • Neoplastic
  • (hyperplastic/dysplastic - less common)
How well did you know this?
1
Not at all
2
3
4
5
Perfectly
3
Q

What are some example causes of an infectious (septic) inflammatory cutaneous mass?

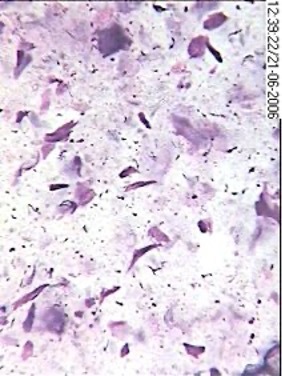
A
  • Bacterial infection
  • Fungal infection
  • Protozoal infection
  • Ectoparasite e.g. Demodex
How well did you know this?
1
Not at all
2
3
4
5
Perfectly
4
Q

True/false: FNA cytology from a neoplastic mass is likely to contain a clonal cell population.

A

True
Clonal population = lots of the same cells

How well did you know this?
1
Not at all
2
3
4
5
Perfectly
5
Q

If a cytological sample is describe as showing ‘pyogranulamtous inflammation’, what cell(s) will be present?

A

Neutrophils (‘pyo’) and macrophages (‘granuloma’)
* The presence of granulomatous inflammation implies a deeper infection as macrophages are not typically found at the surface.

How well did you know this?
1
Not at all
2
3
4
5
Perfectly
6
Q

What is a cyst and what are its content?

A

Cyst: epithelium lined cavity. The contents will be whatever that epithelium is making.

How well did you know this?
1
Not at all
2
3
4
5
Perfectly
7
Q

True/false mycobacteria can be easily identified using in-house stains.

A

False
Special labs will be needed to identify mycobacteria. Failure to identify them does not indicate the mass is sterile.

How well did you know this?
1
Not at all
2
3
4
5
Perfectly
8
Q

A mass has been identified as neoplastic on cytology. What is the next step?

A

Categorise the cell population as:
* Epithelial cell
* Round cell
* Mesenchymal (spindle) cell

How well did you know this?
1
Not at all
2
3
4
5
Perfectly
9
Q

True/false spindle cell tumours exfoliate well.

A

False
Spindle cell tumours do not exfoliate well.

How well did you know this?
1
Not at all
2
3
4
5
Perfectly
10
Q

What might mast cell degranulation result in?

A

Urticaria
Angiogenic oedema

How well did you know this?
1
Not at all
2
3
4
5
Perfectly
11
Q

If degenerated collagen is the cause of the lesion, what associated disease might we see?

A

Eosinophilic granuloma
Arthropod bite granuloma

How well did you know this?
1
Not at all
2
3
4
5
Perfectly
12
Q

If fatty acids/lipids are the cause of the lesion, what associated disease might we see?

A

Sterile panniculitis

How well did you know this?
1
Not at all
2
3
4
5
Perfectly
13
Q

Once we have classified a skin mass as inflammatory, how can we further describe it?

A
  • Infectious (septic)
  • Non-infectious (sterile)
How well did you know this?
1
Not at all
2
3
4
5
Perfectly
14
Q

What are some examples/causes of a non-infectious inflammatory skin mass?

A
  • Urticaria/angioedema
  • Eosinophilic granuloma
  • Arthropod bite granuloma
  • Sterile panniculitis
  • Haematoma
  • Seroma
How well did you know this?
1
Not at all
2
3
4
5
Perfectly
15
Q

Is this inflammation, neoplastia, or cyst?

A

Inflammation

How well did you know this?
1
Not at all
2
3
4
5
Perfectly
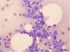
16
Q

Inflammation, neoplasia or cyst?

A

Neoplasia

How well did you know this?
1
Not at all
2
3
4
5
Perfectly
17
Q

Inflammation, neoplasia or cyst?

A

Cyst with cholesterol crystals

18
Q

You have identified an inflammatory skin mass. What questions do you need to ask next?

A
  • Predominant inflammatory cell type? i.e. neutrophilic/eosinophilic/pyogranulomatous
  • Sterile vs septic? Remember not to assume sterile just because no organisms were found
19
Q

What is a malignant mesenchymal cell tumour called?

20
Q

What is a benign epithelial cell tumour called?

A

Papilloma
Adenoma

21
Q

What is a malignant epithelial cell tumour called?

A

Carcinoma
Adenocarcinoma

22
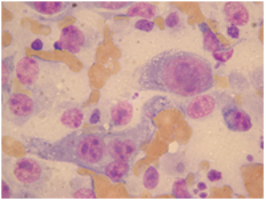
Q

Inflammation, neoplasia, or cyst?

A

Neoplasia: mesenchymal cell tumour.

23
Q

Inflammation, neoplasia or cyst?

A

Cyst
There are squames and material in the background but not really clearly identifiable cells.

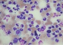
24
Q

Inflammation, neoplasia or cyst?

A

Inflammation
Neutrophils and macrophages present

25
What causes urticaria and angiogenic oedema (angioedema)?
* Degranulation of mast cells or basophils * Immunological or non-immunological causes * Immunological: Type I or III hypersensitivites, mast cell tumours * Non-immunological: physical forces (pressure, sunlight, heat, exercise), genetic abnormalities, drugs/chemicals (inc. food), venomous insects, plants
26
Treatment of urticaria
* Many cases resolve spontaneously in 12-48hrs; owners should be instructed how to monitor for anaphylaxis * If needed, can be dexamethasone IV / prednisolone 1mg/kg q24hr for 3-5 days and taper, ± oral antihistamines * Give adrenaline if signs of anaphylaxis
27
What is calcinosis cutis?
**Calcinosis cutis:** inappropriate deposition of calcium/phosphate in the skin/subcutis -> gritty white deposits, often with surrounding inflammation
28
What causes calcinosis cutis?
* Dystrophic calcification (e.g. HAC) * Metastatic calcification: deposition associated with altered serum of calcium/phosphorus e.g. chronic renal disease. * Idiopathic e.g. Calcinosis circumscripta
29
Calcinosis cutis
30
Aural haematoma
31
What causes a haematoma?
Damaged/ruptured blood vessel bleeds into/under skin. * Usually traumatic cause, but occasionally linked to clotting factor deficiencies/toxic causes (check history for these)
32
Describe the cytology you might expect if you sampled a haematoma
* Initially the same as a blood smear although no platelets * Macrophages engulfing RBCs and fibroblasts may appear
33
Describe treatment of a haematoma
* Find cause and address if necessary * Usually self-limiting - keep quite, apply pressure bandage * If acute, severe haemorrhage, identify source and ligate. Consider antibiotic cover if risk of secondary infection. * In some cases, surgery may be required e.g. aural haematoma
34
**Seroma**
accumulaton of sterile fluid (filtrate of blood) under a wound. * The swelling is soft, non-painful, and there is not heat on palpation. * FNA shows straw-coloured/blood-tinged fluid.
35
Describe management of a seroma that formed after surgery
* Conservative unless refractory or causing wound disruption (may take several weeks) * If pressure bandaging, change bandage every 48hrs * Keep animal quiet and confined * Repeated drainage only if size is causing discomfort (likely to reform and risk of introducing infection) * If severe: surgical debridement, flushing with isotonic solution, careful apposition of tissues, insertion of Penrose drains, biopsy and culture
36
Arthropod bite granuloma
37
Describe the management of an arthropod bite granuloma
* Check no evidence of retained arthropod/mouthparts (esp tick) * May resolve without treatment * Could do short course topical corticosteroid * If not resolving, consider surgical removal, submission for histopath, tissue culture to confirm diagnosis (would need to be off corticosteroids for 2 weeks before sampling for histology)
38
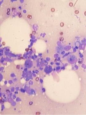
**Panniculitis:** inflammation of the subcutaneous fat. * Presents as single/multiple nodules ± draining sinuses * Easily confused with bacterial abscess * Can be sterile or infectious in origin
39
This is the FNA from an animal presenting with multiple nodules and some draining sinuses. What are your thoughts?
* This FNA shows pyogranulomatous inflammation with background fat * Presenting signs consistent with panniculitis * Need to take samples for histopath and bacterial and fungal tissue culture -> rule out infection as initial step
40
Describe the management of panniculitis
* Correct underlying cause if possible * e.g. foreign material -> excise if solitary lesion * e.g. 2 address nutritional imbalances If still no resolution * If solitary lesion -> surgical excision if possible * If multifocal lesion -> immunosuppressive therapy (must check for infection prior to starting this!)
41
**Mast cell tumour** (This is a round cell tumour)