If the following terms were used to describe the kidney on a histology report, what would they mean?


What are the diffferent regions you can see histologically when looking at a glomerulus?

Label this electron microscopy of the glomerulus?

Basement membrane dark as negatively charged so lots of electrons

What is nephrotic syndrome?
- Proteinuria >350mg.mol or 3.5mg in 24 hours
- Hypoalbuminaemia
- Oedema

What is nephrotic range proteinuria?
Proteinuria >350mg/mol but no other features of nephrotic syndrome, common with diabetic nephropathy
Why do you get the triad of symptoms in nephrotic syndrome?
Insult to filtration barrier, often podocyte or subepithelial

- Proteinuria and Hypoalbuminaemia: loss of selective barrier and can’t be resorbed in tubules
- Oedema: loss of oncotic pressure in capillaries as loss of albumin so fluid leak into ECF. also, loss of fluid to ECF stimulates RAAS but low oncotic pressure so more fluid leaks, RAAS restimulated so constant cycle and chronic salt retention
-
Where are the different areas that pathology can occur in the glomerulus?
Can be due to injury, infections, immune complex deposition

What are some of the common causes of nephrotic syndrome?
Primary:
Secondary:

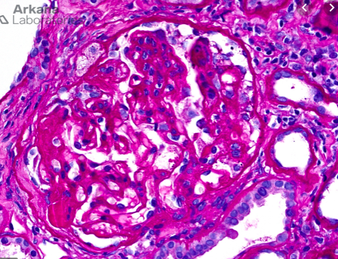
What are the characteristics of minimal change disease and what does it look like histologically?

What are the characteristics of focal segmental glomerulosclerosis and what does it look like histologically?

What are the characteristics of memrbranous glomerulonephritis and what does it look like histologically?


What is nephritic syndrome?
- Haematuria
- GFR reduction so oliguria
- Hypertension
Often pyuria, erythrocyte casts in urine, oliguria and azotemia
CAUSED BY AN INFLAMMATORY PROCESS

Why do we get erythrocyte casts in the urine during nephritic syndrome?
Inflammation injuries the glomerular capillaries so erythrocytes and proteins can leak into urine and the RBC’s then may aggregate in the tubule and take it’s shape

Why do you get a reduced GFR in nephritic syndrome?

What are some causes of nephritic syndrome?
What are the characteristics of IgA nephropathy and what does it look like histologically?
IgA DEPOSIT IN MESANGIUM AND CAPILLARY WHICH ACTIVATES IgG AND CAUSES DESTRUCTION AS MESANGIAL PROLIFERATION AND MATRIX PROLIFERATION

What are the characteristics of inherited nephropathies that can lead to nephritic syndrome?
- Thin GBM disease: isolated haematuria, thin GBM and doesn’t progress
- Alport: X-linked collagen IV. Abnormal GBM and progresses to renal failure

What is ANCA glomerulonephritis?

What are the layers of the filtration membrane in the glomerulus?

What is the role of the juxtoglomerular granular cells?
