1.6 Humerus Flashcards

(7 cards)

1
Q

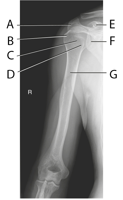
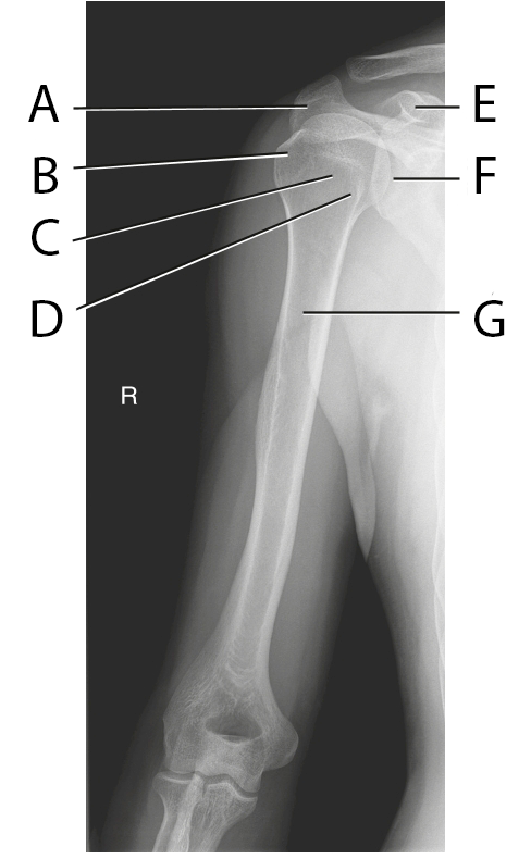
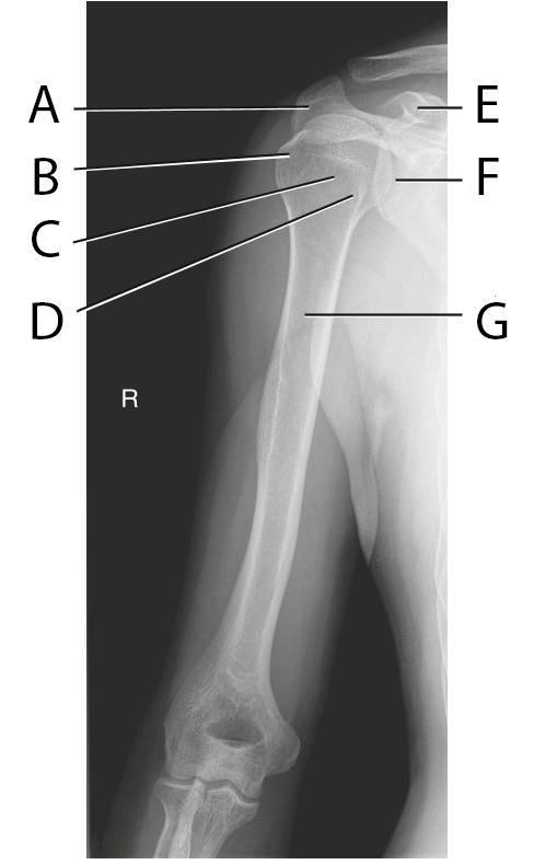
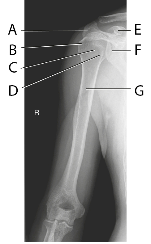
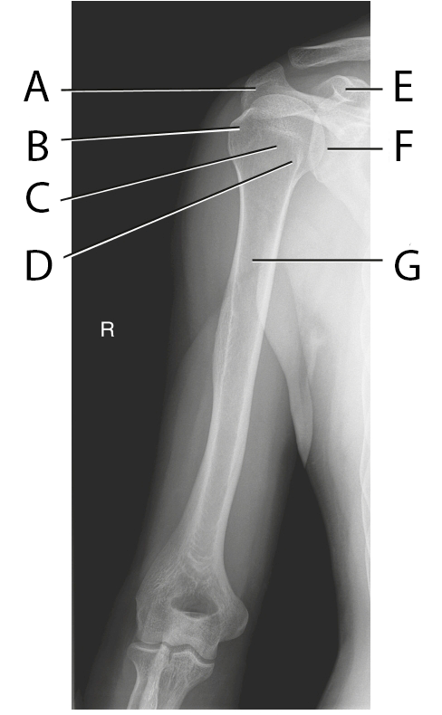
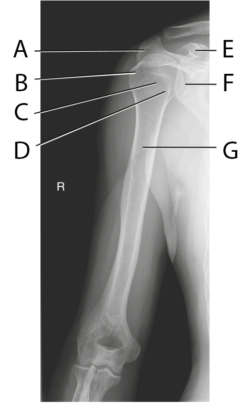
Identify A from this AP Humerus Projection

A

Acromion

How well did you know this?
1
Not at all
2
3
4
5
Perfectly
2
Q

Identify B from this AP Humerus Projection

A

Greater Tubercle

How well did you know this?
1
Not at all
2
3
4
5
Perfectly
3
Q

Identify C from this AP Humerus Projection

A

Head of Humerus

How well did you know this?
1
Not at all
2
3
4
5
Perfectly
4
Q

Identify D from this AP Humerus Projection

A

Lesster Tubercle

How well did you know this?
1
Not at all
2
3
4
5
Perfectly
5
Q

Identify E from this AP Humerus Projection

A

Coracoid Process

How well did you know this?
1
Not at all
2
3
4
5
Perfectly
6
Q

Identify F from this AP Humerus Projection

A

Scaphulohumeral Joint

How well did you know this?
1
Not at all
2
3
4
5
Perfectly
7
Q

Identify G from this AP Humerus Projection

A

Proximal Humerus

How well did you know this?
1
Not at all
2
3
4
5
Perfectly