2.1 Chest Flashcards

(16 cards)

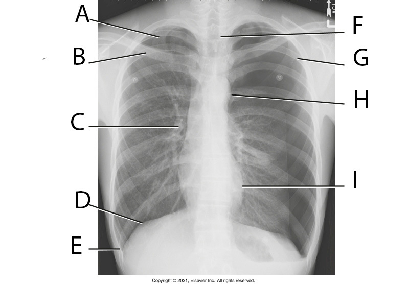
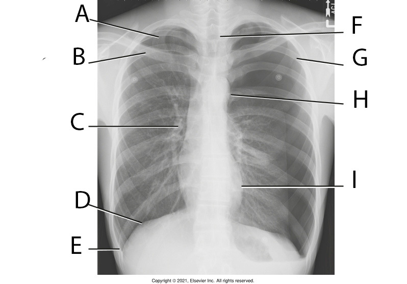
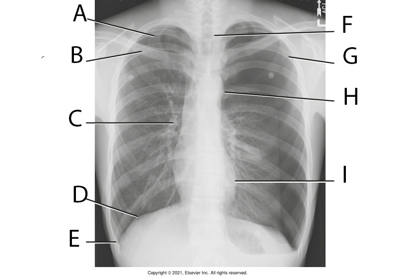
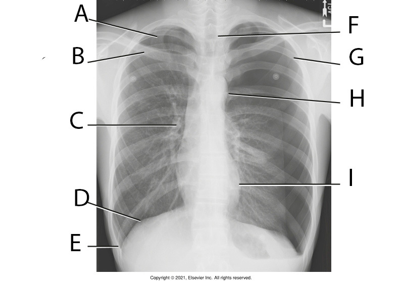
1
Q

A

A

Apex, apicie

How well did you know this?
1
Not at all
2
3
4
5
Perfectly
2
Q

B

A

Clavicle

How well did you know this?
1
Not at all
2
3
4
5
Perfectly
3
Q

C

A

Hilum

How well did you know this?
1
Not at all
2
3
4
5
Perfectly
4
Q

D

A

Right Hemidiaphragm

How well did you know this?
1
Not at all
2
3
4
5
Perfectly
5
Q

E

A

Right costophrenic angle

How well did you know this?
1
Not at all
2
3
4
5
Perfectly
6
Q

F

A

Air-filled Trachea

How well did you know this?
1
Not at all
2
3
4
5
Perfectly
7
Q

G

A

4th rib

How well did you know this?
1
Not at all
2
3
4
5
Perfectly
8
Q

H

A

Aortic arch

How well did you know this?
1
Not at all
2
3
4
5
Perfectly
9
Q

I

A

Heart

How well did you know this?
1
Not at all
2
3
4
5
Perfectly
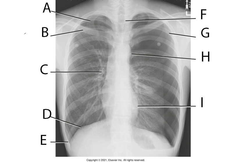
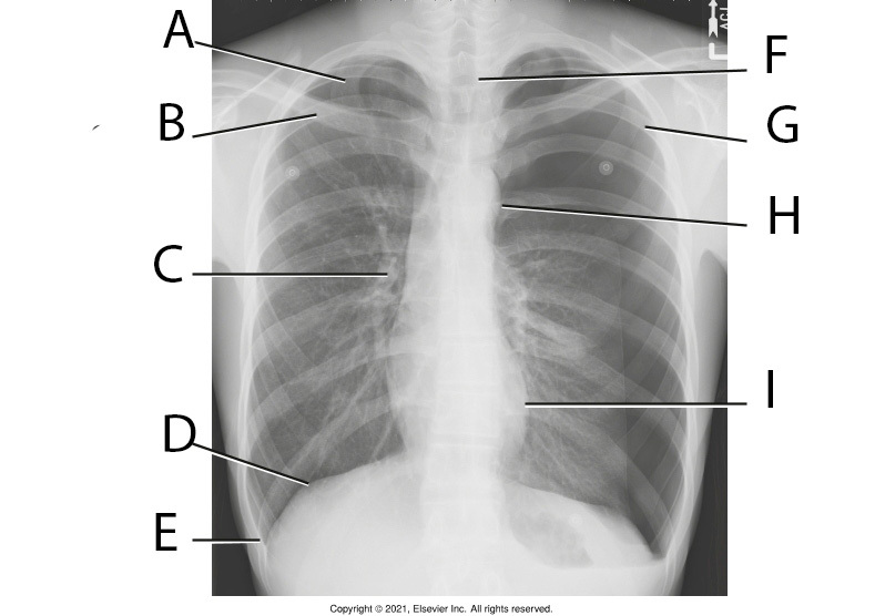
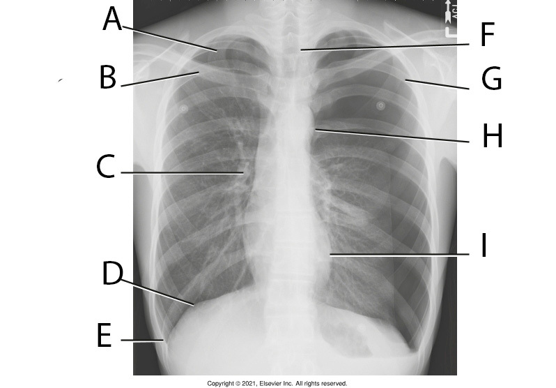
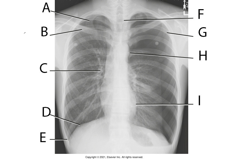
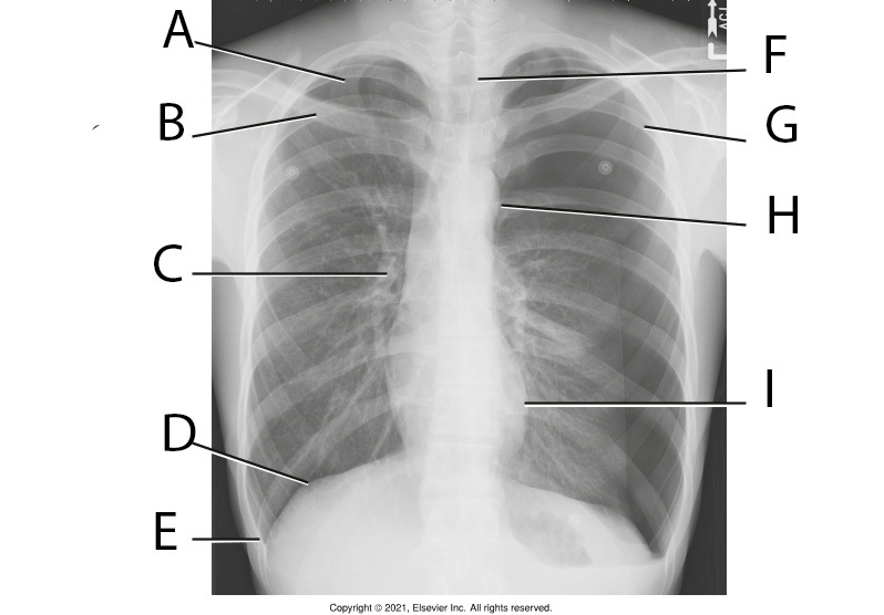
10
Q

A

A

Apicies

How well did you know this?
1
Not at all
2
3
4
5
Perfectly
11
Q

B

A

Thoracic Vertabrae

How well did you know this?
1
Not at all
2
3
4
5
Perfectly
12
Q

C

A

Posterior Ribs

How well did you know this?
1
Not at all
2
3
4
5
Perfectly
13
Q

D

A

Costrophrenic Angle

How well did you know this?
1
Not at all
2
3
4
5
Perfectly
14
Q

E

A

Body of Sternum

How well did you know this?
1
Not at all
2
3
4
5
Perfectly
15
Q

F

A

Heart

How well did you know this?
1
Not at all
2
3
4
5
Perfectly
16
Q

G