What is TB caused by?
Mycobacterium tuberculosis

How can we stain for tuberculosis?
Sputum smear stained with Ziehl-Nielsen method
Takes 2-6 weeks to grow colonies

How does TB transmit from person to person?
- Infected droplets in the air

Where is the most common site of pulmonary TB?
Right lung apex as high pO2 in these areas compared to the rest of the lungs

What is the pathogenesis of TB?

What does TB look like microscopically?

What could cause a latent TB infection to reactivate?

How can we test for latent infection?
IGRA (QuantiFERON)
MTB antigens can make the body produce interferon gamma. Lymphocytes from the patient are cultured with MTB antigens and if T lymphocytes have been exposed before they will produce interferon gamma. The MTB antigen is not present in BCG or atypical mycobacteria so can distinguish latent from BCG vaccine
Tuberculin Skin Test:
Protein from MTB injected intradermally. Skin reaction 48-72 hours later indicates previous TB exposure, type IV hypersensitivity reaction to MTB

What is the likelihood of someone being infected with TB actually developing the active disease?
10% lifetime risk

What are some of the changes a patient may have with post primary TB?
- Cavity formation: liquefaction of caseous material. Fibrous tissue usually around periphery of lesions
- Haemorraghe: extension of caseous process into vessels. leads to haemoptysis
- Spread to rest of lung
- Miliary TB: rupture of caseous pulomnary focus into blood vessel so widespread dissemination through body

What are some sites of extrapulmonary TB?

What are some clinical features of pulmonary TB?

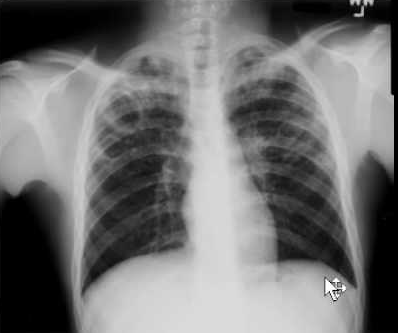
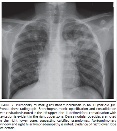
What does a CXR of TB look like?

How do we diagnose active TB?

How do we treat TB?
- Rifampicin (red urine)
- Isoniazid (INAH)
- Pyrazinamide
- Ethambutol
All 4 drugs for 2 months and then just R and INAH for a further 4 months. Give pyridoxine with INAH to stop peripheral nerve damage

Why do we give 4 drugs for TB?
One drug would allow selection of resistant strains, less likely to be resistant to all three drugs
What should you do if you diagnose a patient with TB?

What are the differences between a latent and active TB infection?

What are some groups of people at high risk of contracting TB?
What are some advantages and disadvantages of the tuberculin skin test?
+ Cheap
+ Lab infrastructure not needed

What are some of the adverse effects of TB drugs?

What are some extra-pulmonary signs of miliary TB?

Why does a premature baby have difficulty breathing?
Why does a deficiency of surfactant lead to hypoxia?