19.1 Flashcards

(136 cards)

1
Q

19.1 When comparing TAVI to SAVR which complication is lower in the TAVI group:
a) Perivalvular leak
b) Heart block
c) Vascular injury
d) Reintervention rates
e) Gradient across valve

A

e) Gradient across valve

UTD Choice of intervention for severe calcific aortic stenosis:

The SAVR treatment group experienced significantly higher 30-day rates of acute kidney injury (4.4 versus 1.7 percent), atrial fibrillation (43.4 versus 12.9 percent), and transfusion requirement (41.1 versus 12.6).

The TAVI group experienced significantly higher 30-day rates of major vascular complications (6.0 versus 1.1 percent) and need for permanent pacemaker implantation (25.9 versus 6.6 percent). Moderate or severe paravalvular aortic regurgitation was more common at one year in the TAVR group (5.3 versus 0.6 percent in the SAVR group). Mean prosthetic valve gradients were significantly lower and prosthetic aortic valve areas were higher in the TAVI group.

TAVI decreased:
- AKI
- AF
- Transfusion
- Mean prosthetic valve gradient

TAVI increased:
- Major vascular complications
- Permanent pacemaker implantation
- Paravalvular regurgitation
- Need for re-intervention

How well did you know this?
1
Not at all
2
3
4
5
Perfectly
2
Q

19.1 Patient has AHI of 4. How bad is OSA?
a) none
b) Mild
c) Moderate
d) Severe
e) Very severe

A

Patient has AHI of 4. How bad is OSA?
a) none
b) Mild
c) Moderate
d) Severe
e) Very severe

Answer: a) None
- assuming an adult.

Apnoea–Hypopnoea Index (AHI) is an index used to indicate the severity of sleep apnea
- number of apnea and hypopnea events per hour of sleep.
- apnea at least 10 seconds and be associated with a decrease in blood oxygenation
- calculated by dividing the number of apnea events by hours of sleep.

AHI values for adults are categorized as:
Normal: AHI<5
Mild: 5≤AHI<15
Moderate: 15≤AHI<30 (CPAP recommended)
Severe: AHI≥30 (CPAP recommended)

Paediatric
●Mild OSA – RDI or AHI, 1 to 4.9
●Moderate OSA – RDI or AHI, 5 to 9.9
●Severe OSA – RDI or AHI, >10

How well did you know this?
1
Not at all
2
3
4
5
Perfectly
3
Q

19.1 Dental damage risk to be determined in your department. 100 cases reviewed, zero cases of dental damage. What is the 95% confidence interval?
a) 0/100
b) 1/100
c) 3/100
d) 5/100
e) 9/100

A

Answer: 3/100

How well did you know this?
1
Not at all
2
3
4
5
Perfectly
4
Q

19.1 Singer complains of hoarse voice Post-LMA insertion, nasoendoscopy shows one vocal cord lax, what nerve involved? (repeat)
a) Recurrent laryngeal nerve
b) Superior laryngeal
c) Vagus
d) Hypoglossal
e) Phrenic

A

Answer: a) RLN

How well did you know this?
1
Not at all
2
3
4
5
Perfectly
5
Q

19.1 Please interpret the following blood gas for a patient coming from ED:
pH7.2
PCO2 60
PO2 80
HCO3 18

A. Respiratory acidosis only
B. Metabolic acidosis only
C. Mixed with primary resp acidosis
D. Mixed with primary metabolic acidosis
E. Resp with metabolic compensation

A

Answer: Mixed with primary respiratory acidosis

How well did you know this?
1
Not at all
2
3
4
5
Perfectly
6
Q

19.1 What is the maximum tube size (internal diameter) that can fit over an aintree cathter as per the manufacturer:
A. 5
B. 5.5
C. 6
D. 6.5
E. 7

A

E. Aintree Catheter 7
Fova Bougie 6
AEC 5

How well did you know this?
1
Not at all
2
3
4
5
Perfectly
7
Q

19.1 Aspirin use in healthy older adults for primary prevention
a) Reduced cardiovascular mortality
b) Increased incidence of major bleeding
c) increased cancer related death
d) lower all cause mortality
e) Reduced thromboembolic events

A

b) Increased incidence of major bleeding

How well did you know this?
1
Not at all
2
3
4
5
Perfectly
8
Q

19.1 Which nerve is not blocked when undertaking a superficial cervical plexus block?
a) Greater auricular nerve
b) Supraclavicular
c) Lesser occipital
d) Greater occipital
e) Transverse cervical

A

d) Greater occipital

How well did you know this?
1
Not at all
2
3
4
5
Perfectly
9
Q

19.1 What is the make up of Plasmalyte?
a) Na 140, K 4, Mg 0, Ca 1.5, Acetate 23, Lactate 27
b) Na 140, K 5, Mg 1.5, Ca 0, Acetate 27, Lactate 0
c) Na 140, K 4, Mg 1.5, Ca 1.5, Acetate 23, Lactate 0
d) Na 129, K 5, Mg 0, Ca 1.5, Acetate 0, Lactate 26
e) Na 129, K 5, Mg 1.5, Ca 0, Acetate 0, Lactate 0

A

b) Na 140, K 5, Mg 1.5, Ca 0, Acetate 27, Lactate 0

How well did you know this?
1
Not at all
2
3
4
5
Perfectly
10
Q

19.1 Patient having 4th toe amputation. Which nerve must be blocked?

a. Calcaneal
b. Posterior tibial
c. Deep peroneal
d. Saphenous
e. femoral

A

b. Posterior tibial

Also, Sural and superficial pernoeal
PT, sural and SP are all branches of the sciatic nerve

How well did you know this?
1
Not at all
2
3
4
5
Perfectly
11
Q

19.1 Commonest cause of peri-operative stroke
a) Hypotensive
b) Embolic
c) Thrombotic
d) Hypertensive
e) Haemorrhagic

A

b) Embolic

How well did you know this?
1
Not at all
2
3
4
5
Perfectly
12
Q

19.1 When do spinal reflexes normally return after an acute spinal injury
a. 1-3 days
b. 7 days
c. 28-40 days
d. 120 days
e. 365 days

A

a. 1-3 days

How well did you know this?
1
Not at all
2
3
4
5
Perfectly
13
Q

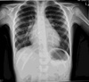
19.1
a. Normal lungs
b. Pulmonary odema
c. Pneumothorax
d. Pleural effusion
e. Pneumonia

A

b. Pulmonary odema

How well did you know this?
1
Not at all
2
3
4
5
Perfectly
14
Q

19.1 Patient scheduled for elective hip operation. Has fever and productive cough. You do not proceed with case despite patient urging you to do it. This is an example of
a) Autonomy
b) Non maleficience
c) Paternalism
d) Beneficience
e) Justice

A

b) Non maleficience
c) Paternalism

How well did you know this?
1
Not at all
2
3
4
5
Perfectly
15
Q

19.1 Which is the most effective in treating neuropathic pain (lowest NNT)?
a. Gabapentin
b. Venlafaxine
c. Pregabalin
d. Tramadol
e. Methadone

A

d. Tramadol
TCAs have the most effective NNT of all drugs for neuropathic pain

How well did you know this?
1
Not at all
2
3
4
5
Perfectly
16
Q

19.1 4 year old having a GA for bone marrow biopsy in a suspected case of ALL which antiemetic to avoid
a) Droperiodol
b) Ondansetron
c) Dexamethasone
d) Metaclopramide
e) Cyclizine

A

c) Dexamethasone

?Tumour lysis syndrome?

How well did you know this?
1
Not at all
2
3
4
5
Perfectly
17
Q

19.1 Patient for eye block. Average axial length as determined by ultrasound?
A) 20mm
B) 23mm
C) 26mm
D) 29mm
E) 32mm

A

B) 23mm

How well did you know this?
1
Not at all
2
3
4
5
Perfectly
18
Q

19.1 A patient with severe depression is taking moclobemide. What is the best way to anaesthetise this patient to minimize risk
a) Sevo, pethidine, phenylephrine
b) Propofol, fentanyl, ephedrine
c) Propofol fentanyl, metaraminol
d) Sevo morphine phenylephrine
e) Sevo, fentanyl, metaraminol

A

d) Sevo morphine phenylephrine

How well did you know this?
1
Not at all
2
3
4
5
Perfectly
19
Q

19.1 Patient on Ticagrelor has stopped for a neuraxial procedure. After how long can the maintenance dose be recommenced after the neuraxial procedure?
a. Immediately
b. After 6 hours
c. After 24hrs
d. After 5 days
e. You should not recommence it

A

b. Immediately

6 hours if loading dose

Ticagrelor
13.4.1 Preoperative. Based on labeling and surgical/ procedural experience, the recommended time interval between discontinuation of ticagrelor therapy is 5 to 7 days (grade 1C).
Remarks: This is a new recommendation.

13.4.2 Postoperative. In accordance with ACCP recommendations, ticagrelor therapy may be reinstituted 24 hours postoperatively (grade 1A).
Remarks: This is a new recommendation.

13.4.3 Neuraxial catheters should not be maintained with ticagrelor because of the rapid onset (grade 2C).
Remarks: This is a new recommendation.

13.4.4 Ticagrelor therapy may be resumed immediately after needle placement/catheter removal, provided a loading dose of the drugs is not administered. If a loading dose is administered, we suggest a time interval of 6 hours between catheter removal and administration (grade 2C).

How well did you know this?
1
Not at all
2
3
4
5
Perfectly
20
Q

19.1 Patient having foam sclerotherapy for varicose vein surgery. Post-op stands up to walk, immediately collapses, with L sided weakness
a) Thromboembolic stroke
b) Paradoxical gas embolism
c) Intracranial haemorrhage
d) Anaphylaxis
e) Arrhythmia

A

b) Paradoxical gas embolism

How well did you know this?
1
Not at all
2
3
4
5
Perfectly
21
Q

19.1 You are giving a GA with volatile anaesthesia and rocuronium. What monitoring don’t you need
A. ETCO2
B. Oxygen monitoring
C. SpO2
D. Gas monitoring
E. ECG

A

E. ECG

How well did you know this?
1
Not at all
2
3
4
5
Perfectly
22
Q

19.1 You suspect anaphylaxis. When do you take tryptases (hrs)?
a) Immediately, 4, 12
b) 2, 4, 24
c) 1, 4, 24
d) immediately, 6, 24
e) 1, 6, 24

A

c) 1, 4, 24

How well did you know this?
1
Not at all
2
3
4
5
Perfectly
23
Q

19.1 What is the significance of the size of the black box in a forrest plot?
a) Weight of the study
b) Standard deviation
c) Mean
d) 95% confidence interval

A

a) Weight of the study

How well did you know this?
1
Not at all
2
3
4
5
Perfectly
24
Q

19.1 What nerve palsy?

a. CN 3
b. CN 4
c. CN 5
d. CN 6
e. CN 2

A

a. CN 3

Unopposed Lateral rectus (CN 6) and Superior oblique (CN 4)

CN III Down + Out
SO 4 Up
LR 6 In

How well did you know this?
1
Not at all
2
3
4
5
Perfectly
25
19.1 What protective mask to wear in laparoscopy for patient with disseminated TB? a) N95 b) P99 c) R95 d) None e) Surgical mask
a) N95
26
19.1 Aprepitant is an antiemetic that works on the receptors for: a) Serotonin b) Neurokinin-A c) Dopamine d) Substance P e) Glycine
d) Substance P
27
19.1 a) Atrial Bigeminy b) Ventricular Bigeminy c) Cardiac Tamponade d) LBBB e) SVT
c) Cardiac Tamponade
28
19.1 Recirculation is a problem of which device: a) Ecco2 device b) VV ecmo c) VA ecmo d) Haemodialysis e) Peritoneal Dialysis
b) VV ecmo
29
19.1 A 50-year-old woman has had a headache for the last month which is relieved by lying flat. She has had no medical procedure to her spine such as epidural, spinal or lumbar puncture. Her brain magnetic resonance imaging (MRI) scan shows diffuse meningeal enhancement and brain sagging. Her neurologist suspects spontaneous intracranial hypotension and asks you to do an epidural blood patch. No spinal imaging has been performed to confirm a cerebrospinal fluid (CSF) leak. You should a) Perform a LP to measure the pressure b) Do the epidural blood patch at the lumbar level c) Refuse d) Do a CT / MRI / myelogram and find the level of the leak and do blood patch at that level e) Do a CT / MRI / myelogram and do blood patch lumbar level
b) Do the epidural blood patch at the lumbar level
30
19.1 Which has the highest capacity to absorb infrared radiation? a) nitrous oxide b) sevoflurane c) desflurane d) isoflurane e) CO2
c) desflurane D I N S
31
19.1 Which is not a possible complication of a dural puncture: a) Subdural haemorrhage b) Cranial nerve palsy c) Seizures d) Encephalitis e) Epidural vein thrombosis
d) Encephalitis
32
19.1 Increased splitting of the second heart sound on inspiration with a) AR b) Pul stenosis c) HOCM d) LBBB e) LVH
b) Pul stenosis
33
19.1 Most effective prevention of post-herpetic neuralgia a. Amitryptiline b. Gabapentin c. Anti virals d. Pregabalin e. Oxycodone
a. Amitryptiline Opiates are not indicated in chronic phase (PHN) Anti-virals reduce the duration and severity, but do not help w prevention of PHN Gabapentin reduces acute phase pain intensity and area/sensitivity of allodynia but no impact on PHN Amitriptylline 25mg for 90 days, started early in acute phase reduces PHN, level 2 evidence (ANZCA acute pain book, fourth edition 2015) Vaccination is the most effective preventive intervention, decreasing the incidence of PHN by 66.5% (Clinical cases in anaesthesia, pg 365)
34
19.1 What is the pathology? a. Obstruction b. Patient Triggering c. Gas trapping d. Restrictive disease
c. Gas trapping
35
19.1 What is pathognomonic for a post dural puncture headache? a) Frontal headache b) Nuchal rigidity c) Headache worse on standing d) Photophobia e) Cranial nerve involvement
c) Headache worse on standing NYSORA PDPH: The cardinal feature of PDPH is its postural nature, with headache symptoms worsening in the upright position and relieved, or at least improved, with recumbency. The International Headache Society (IHS) diagnostic criteria further describe this positional quality as worsening within 15 minutes of sitting or standing and improving within 15 minutes after lying. Headache is always bilateral, with a distribution that is frontal (25%), occipital (27%), or both (45%). Headaches are typically described as “dull/aching,” “throbbing,” or “pressure type.”
36
19.1 Paediatric trauma patient - normal blood volume 80ml/kg. At 3 hours, what blood loss should massive transfusion be considered? a) 10ml/kg b) 20ml/kg c) 40ml/kg d) 60ml/kg e) 80ml/kg
c) 40ml/kg
37
19.1 What is an absolute contraindication to ECT therapy: a) Cochlear b) PPM c) Elevated ICP d) Epilepsy e) Pregnancy Which devices must be switched off (2)?
38
19.1 You are anaesthetising a patient and the ventilator pressures go up. You think it is anaphylaxis and give adrenaline. Your anaesthetic nurse then shows that the wheel of the ventilator was blocked and causing high airway pressures and subsequently fixes the problem. This is: a) Slip b) Lapse c) Mistake d) Violation e) Deviation f) Fixation
c) Mistake
39
19.1 70 year old male in clinic for revision total hip operation (in 10 days' time) following blood results what is best management Hb 110 (130-170 normal range) Ferritin 31 (30-100 range) Transferrin sats 21% (normal 20-80) CRP 10 (0.1-10 normal) a) Proceed without further b) Blood transfuion c) Oral iron 6 weeks and recheck d) IV iron e) Defer
IV iron - oral won’t absorbed well with chronic inflammation due to hepcidin upregulation
40
19.1 What is the purpose of the earthing wire in the electrical outlets in OT? a) Prevents circuit overload b) Prevents electrocution c) Prevents microshock d) Prevents diathermy interference
c) Prevent electrocution Don’t confuse with equipotential earthing
41
19.1 Airway device in this picture? A. Arndt bronchial blocker B. Cohen bronchial blocker C. Microlaryngoscopy tube D. Hunsaker tube E. Parker Flex tip ETT
D. Hunsaker tube
42
19.1 Change in renal blood flow during cross clamp in infrarenal AAA repair? a) Increase by 20% b) Increase by 40% c) No Change d) Decrease by 20% e) Decrease by 40%
Decrease by 40%
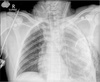
43
19.1 Paeditric cxr with history of congential heart disease repair and what was the repair based on the cxr: A) Av repair B) Pv repair C) ASD closure device D) Parachute device E) Right atrial appendage closure device
C) ASD closure device
44
19.1 After anterior cervical spinal surgery patient has difficulty breathing, what is the most common complication? a) Aspiration b) RLN injury c) Oedema d) Phrenic nerve injury e) Haematoma
c) Oedema
45
19.1 Spirometry can measure: a) TLV b) RV c) FRC d) TLC e) VC
e) VC
46
19.1 Which anaesthetic agent invalidates the OCP a. Sugammadex b. Rocuronium c. Sevoflurane d. Dexamethasone e. Flucloxacillin
a. Sugammadex
47
19.1 Fire from power board behind anaesthetic machine which device should you use to extinguish: a) CO2 b) blanket c) fire hose d) foam extinguisher e) wet chemical extinguisher
a) CO2 ^commonest in hospital because useful for most fires and doesn’t leave mess Dry powder = best all rounder but leaves mess Dry chemical would also work for electrical fire but again leaves mess Dry
48
19.1 Cell salvage – leukodepletion filters do not protect against? a) Vernix b) Alpha fetoprotein c) Foetal RBC d) Amniotic fluid e) Foetal squamous cell
c) Foetal RBC
49
19.1 In patients with cephalosporin cross reactivity to penicillin what is the causative component: a. thiazolidine ring b. Beta lactam ring c. R1 chain on the Beta Lactam ring d. R2 chain on the thiazelidine ring e. ??
c. R1 chain on the Beta Lactam ring The R1 side chain as an antigenic determinant appears to explain the cross-reactivity that can be seen between certain beta-lactam antibiotics, as well as within the cephalosporin family. For example, aminopenicillins such as ampicillin and amoxicillin have similar R1 side chains to the aminocephalosporins cefalexin and cefaclor, and patients with sensitisation to the amino side chain have a risk of cross-reactive allergy between amoxicillin and cefalexin but can tolerate other (non-amino) penicillins and cephalosporins without this side chain. * reason cephazolin has such a low cross reactivity with penicillin is that it shares no similar R1 or R2 side chains (or to other cephalosporins except for ceftezole!) -> the earliest studies of penicillin and cephalosporin cross reactivity in the 1970s were tainted by the presence of trace amount of benzylpenicillin in the cephalosporins, falsely increasing the apparent degree of cross-reactivity (which is where the figure of 10% cross reactivity stems from).
50
19.1 Which tooth is most commonly damaged in anaesthesia practise a. Right middle maxillary incisor b. Left middle maxillary incisor c. Left middle mandibular incisor d. Right middle mandibular incisor e. Right 2nd mandibular molar
b. Left middle maxillary incisor
51
19.1 Of all of the following muscle relaxants which has the lowest risk to cause cross-reactivity? a) pancuronium b) vecuronium c) atracurium d) rocuronium e) suxamethonium
c) atracurium BJA Anaphylaxis to neuromuscular blocking drugs: incidence and cross-reactivity in Western Australia from 2002 to 2011 https://academic.oup.com/bja/article/110/6/981/245571 Anaphylaxis rates (highest to lowest) Primary anaphylaxis: rocuronium > atracurium > vecuronium > pancuronium = cisatracurium Cross-reactivity: suxamethonium > rocuronium > vecuronium > pancuronium > atracurium > cisatracurium
52
19.1 Patient post-free rotational flap sitting up in recovery BP 120/70, normal heart rate. Flap is purple with immediate cap refill. Most appropriate treatment (repeat) a) Return to theatre b) Heparin c) Dextran d) Fluid bolus e) Intraarterial streptokinase
A. Return to theatre True - first line treatment is return to theatre to salvage flap - NB: increased cap refil time, so likely arterial failure, but still same management! Venous congestion would be treated with either systemic heparin or leeches as a second line
53
19.1 What is the purpose of the earthing wire in the electrical outlets in OT? a. Prevent circuit overload b. Prevent electrocution c. Prevent microshock d. Prevent diathermy interference
B. prevent electrocution
54
19.1 Elective craniotomy you induce patient with 2mg/kg propofol and 0.6mg/kg rocuronium.You have had two unsuccessful attempts at direct laryngoscopy and place an LMA which you can ventilate via but poorly. The most appropriate next step is: a) Proceed on LMA b) FONA c) Repeat attempt at intubation using a CMAC d) Intubate over airway exchange catheter e) Wake the patient up
c) Repeat attempt at intubation using a CMAC
55
19.1 What NSAID decreases the efficacy of aspirin a) Diclofenac b) Parecoxib c) Ibuprofen d) Ketorolac e) Celecoxib
c) Ibuprofen
56
19.1 Someone on rivaroxaban is bleeding. What is the best method to reverse bleeding? a. Tranexamic acid b. Idruciximab c. Prothrombinex d. FFP e. haemodialysis
c. Prothrombinex
57
19.1 NAP 6 – Commonest allergen/ Worst antibiotic? a) Teicoplainin b) Vancomycin c) Cefazolin d) Amoxycillin e) Cefoxitin
a) Teicoplainin
58
19.1 What is the shelf life of platelets? a) 5 days at 20º C b) 14 days at 20º C c) 35 days at 2-6º C d) 42 days at 2-6º C e) 12 months at -20º C
a) 5 days at 20º C
59
19.1 Scalp block for awake craniotomy requires blockade of the following nerves: a) Greater and lesser occipital and greater auricular b) Trigeminal, greater and lesser occipital c) Trigeminal, greater occipital and greater auricular d) Facial, trigeminal and greater occipital e) Facial, greater and lesser occipital
b) Trigeminal, greater and lesser occipital Supra orbital and supratrochlear are opthalmic branches of the trigeminal nerve, Zygomatic temporal and auriculotemporal are also branches of the trigeminal nerve (maxillary and mandibular branches respectively)
60
19.1 Least likely to prevent agitation after ECT? a) Remifentanil induction b) Small dose propofol after ECT c) Premedication with dexmedetomidine d) Premed with olanzapine e) Premedication with midazolam
a) Remifentanil induction
61
19.1 Patient with leg weakness post spinal and adductor canal block for TKR which nerve is least likely to be cause? a) Sciatic b) Femoral c) Peroneal d) Saphenous e) L4/5
d) Saphenous Purely sensory
62
19.1 A CF patient is undergoing a CPET study what is the BORG scale used for: a) VO2 max b) Oxygen consumption c) Lactate threshold d) Subjective exertional scale e) CO2 production
d) Subjective exertional scale
63
19.1 You need to give cyro to patient with blood type A and have run out of A typed cryo. What is the next best blood group a) AB + b) O - c) O + d) B - e) B +
a) AB +
64
19.1 You are in ICU and have accidently cannulated the carotid artery with a 7Fr. Vascular surgeons unavailable for 4 hours. What do you do? a. Remove cannula and put pressure b. Heparinise patient until surgeon available c. Leave in, and heparinise via CVC until surgeon available d. Leave in and heparanise for 24hours e. Remove after 24 hours and put pressure
≥7Fr bleed risk > stroke risk Bleed will compromise airway Answer = b Bluebook 2019 Leave in situ Heparinise if immediate vascular treatment not possible Urgent vasc consult d wrong as don’t heparinise for 24hrs
65
19.1 Anaesthetic machine required for trigger-­free anaesthetic. Has been flushed but no carbon filters available. For the entire case flows should run at a minimum of: a) 2 L/min b) 4 L/min c) 6 L/min d) 8 L/min e) 10 L/min
e) 10 L/min
66
19.1 What is the axis of this ECG: a) -75 b) -45 c) 0 d) 45 e) 90
The answer is -30 ANKI 2019.1 does not give -30 as an option but stated that the axis is 90degrees from lead II as it is an equipontetial lead. Lead II is at 60 degrees therefore 90 degrees from 60 is -30 also the answer is -30 see Super Axis Man SAM https://litfl.com/super-axis-man-sam/
67
19.1 You are performing a nasal AFOI. Which nerve does not require blocking? a) Anterior Ethmoid b) Lingual c) Tonsillar d) Glossopharyngeal
b) Lingual
68
19.1 2 x 2 table for allergy testing with a new blood test vs skin prick (gold standard). Skin prick Blood Test +ve -ve +ve 35 80 -ve 15 10 What is the senstivity? a. 70% b. 33% c. 10% d. 50% e. 90%
a. 70% Sensitivity = TP/ TP+FN Specificity= FP/FP + TN PPV= TP/ TP + FP NPV= TN/TN +FN
69
19.1 A 25G yellow cannula with a length of 19mm has a maximum gravity fed flow rate of 20ml/min. What would the maximum gravity fed flow rate be for a 20G Pink cannula which was 30mm in length? a) 30ml/hr b) 60ml/hr c) 80ml/hr d) 100ml/hr e) 125ml/hr
b) 60ml/hr 14G 45mm long 330ml/min flow rate 16G 30mm long 220ml/min flow rate 18G 30mm long 105ml/min flow rate 20G 30mm long 60ml/min flow rate 22G 25mm long 35ml/min flow rate 24G 19mm long 20ml/min flow rate
70
19.1 Aortic pressure wave with LV pressure wave. What is dx? a) Aortic regurgitation b) Aortic Stenosis c) HOCM d) Mitral regurg e) Normal
a) Aortic Regurgutation - widened pulse pressure AS - slurred upstroke aortic curve HOCM - rabbit ears, double peak
71
19.1 COX2 inhibitors in pregnancy? a) Not safe b) Safe in 1st trimester c) Safe in 3rd trimester d) Should not be used after 48hours to delivery e) Safe outside of 1st trimester and up to 48hrs prior to delivery in third trimester
a) Not safe ok in second trimester. NOT SAFE FOR 1st and 3rd trimester
72
19.1 20yo man with trauma to head. What is the systolic pressure you would aim for (mmHg)? a. 90 b. 100 c. 110 d. 120 e. 130
c. 110
73
19.1 What ECG pattern should you see to know the PICC tip in the correct position?
Image B) Biggest P-wave
74
19.1 What is the first line treatment of choice in a pregnant lady with BP 150/100 and proteinuria: a) Irbesartan b) Nifedipine c) Labetalol d) Metoprolol e) Magnesium
c) Labetalol
75
19.1 Congenital diaphragmatic hernia, best option for best outcome a) Operate first 6hrs b) Lung protection ventilation strategies c) High frequency ventilation d) Thorascopic surgical approach
b) Lung protection ventilation strategies
76
19.1 WOMAN trialled showed: a) Decreased mortality due to blood loss b) Decreased overall mortality c) Decreased transfusion d) Seizures increased e) Increased mortality in the tranexamic acid
a) Decreased mortality due to blood loss
77
19.1 Patient had a hysteroscopy and is now woken up in PACU. ABG done with Na 118, K 3.1. Patient is orientated to person but not to time and place. What is the best management? a. Frusemide 40mg IV stat b. Potassium 40mmol over 4 hours c. 500ml Normal saline d. 100ml 3% saline e. Fluid restrict
d. 100ml 3% saline
78
19.1 A patient on an IV heparin infusion develops platelet antibodies and a decreasing platelet count which agent should you use for bypass: a) Bivalirudin b) Heparin c) Fondaparinux d) Danaparoid e) Clexane
a) Bivalirudin Fondaparinux & Danaparoid would be acceptable but due to long half-life are inappropriate for CPB
79
19.1 CXR 1 hour post trauma what is the most likely cause of the following: A) Pneumothorax B) Pulmonary haemorrhage C) Pulmonary contusion D) Haemothorax E) Pulmonary odema
D) Haemothorax Tracheal deviation away from abnormality = fluid
80
19.1 Where does a bidirectional Glenn shunt attach a) SVC to right pulmonary artery b) Subclavian artery to right pulmonary artery c) IVC and SVC to right pulmonary d) SVC to main pulmonary trunk e) Subclavian artery to R Pulmonary vein
a) SVC to right pulmonary artery BT shunt: subclavian artery to pulm artery Glenn: SVC to pulm artery Fontan: IVC to pulm artery Sano shunt: RV to pulm artery
81
19.1 What is the minimum age normal paediatric patients have the ability to self report their pain levels? a) 4yrs b) 6yrs c) 8yrs d) 10yrs
a) 4 yrs APMSE 2015, pg 415: Self-report of pain is preferred when feasible, and is usually possible by 4 y of age, dependent upon the child’s cognitive and emotional maturity.
82
19.1 Woman in her 30s. Has spontanous sensations in her arm that are not unpleasant. This would be most accurately described as: a. Dysesthesias b. Allodynia c. Hyperalgesia d. Hyperaesthesia e. Paraesthesia
e. Paraesthesia Dyasthesia: An unpleasant abnormal sensation, whether spontaneous or evoked. Allodynia: Pain due to a stimulus that does not normally provoke pain. Hyperalgesia: Increased pain from a stimulus that normally provokes pain. Hyperesthesia: Increased sensitivity to stimulation, excluding the special senses. Paresthesia: An abnormal sensation, whether spontaneous or evoked.
83
19.1 Crash-2 Study. What was the outcome for the TXA group? a. Decreased mortality b. Increased mortality c. Decreased blood product use d. No change mortality e. Increased bleeding
a. Decreased mortality Decreased all cause mortality and death due to bleeding
84
19.1 40 yo M following MVA. He opens his eyes to pain, making incomprehensible sounds and flexes appropriately to pain. What is his GCS? A) 5 B) 6 C) 7 D) 8 E) 9
D) 8 E2, V2, M4 Flexes appropriately to pain apparently means withdraw ???
85
19.1 Patient with these Thyroid function tests (three days post op, HR 60min) TSH = 0.6 (normal 0.5 - 5.0) T4 = 5.5 (normal 4.5 - 12) T3= 1.9 (normal 2.6 - 5.0) a) Clinical Hypothyroid b) Sub clinical hypothyriodism c) Sick euthyroid d) Normal e) Graves f) Amiodarone therapy
c) Sick euthyroid Hyperthyroidism T4 up, T3 up, THBR up, TSH normal or low 1ry hypothyroidism T4 low T3 low or normal, THBR low, TSH up 2ry hypothyroidism T4 low, T3, low, THBR low, TSH low Sick euthyroid (decreased conversion of T4 to T3 in peripheries) T4 normal, T3 low, THBR normal, TSH normal Pregnancy T4 elevated T3 normal, THBR low, TSH normal
86
19.1 Foot drop after spinal after total hip operation what nerve is affected? Numbness between 1st and 2nd toe with reduced ankle reflexes. Which nerves affected A) Lumber plexus B) Sciatic nerve C) Common peroneal D) Tibial
B) Sciatic nerve
87
19.1 Patient with known vWD had a dental procedure and now has a bleeding tooth. What is the first line treatment? a. Activated F7a b. TXA c. FFP d. Factor 8 concentrate e. Von Willibrand factor concentrate
b. TXA
88
19.1 The use of early dialysis in patient with severe sepsis and AKI demonstrated: a) Decreased 30 day mortality b) No difference c) Decreased icu time d) Decreased length of admission e) Decreased 1yr mortality
b) No difference
89
19.1 55yo man in AF, no med hx, examination, BP and glucose all normal. Long term management a) aspirin b) dabigatran c) no anticoagulation d) warfarin e) rivaroxaban
c) no anticoagulation
90
19.1 In shock the lactate is elevated due to which mechanism? (thought 'increased metabolism' not 'shock') a) Cori cycle b) Gluconeogenesis c) Glycolysis d) Krebs cycle e) Oxidative phosphorylation
c) Glycolysis
91
19.1 Paediatric trauma patient - normal blood volume 80ml/kg. At 3 hours what blood loss should Massive transfusion be considered? a. 10ml/kg b. 20ml/kg c. 40ml/kg d. 60ml/kg e. 80ml/kg
c. 40ml/kg Massive transfusion defined as - replacement of >1 blood volume in 24hrs - >50% of blood volume in 4hrs - in children transfusion of >40ml/kg > blood volume in children over 1 month old is approximately 80ml/kg
92
19.1 Prader Willi patient – what is the most likely intraop issue? a) Hypoglycaemia b) Hypocalcaemia c) Neuroleptic malignant syndrome d) MH e) Hypothermia
Hypothermia Hypoglycaemia is a risk in infants with PWS. Later they get diabetes. Temperature instability is common under GA with both hypo and hyper thermia being an issue.
93
19.1 Intra operative thyroid storm what agent should be first line treatment? a) Carbimazole b) Metoprolol c) IV magnesium d) Propothyiouracil e) Potassium Iodide
Storm = beta-blockers first (propranolol, esmolol, atenolol, metoprolol) Toxicosis = Propothyiouracil first Propylthiouracil inhibits hormone synthesis and prevents T4 to T3 conversion and so is usually the first-line therapy. It can be administered enterally or per rectum, with a 600 mg loading dose, followed by 200–250 mg 4–6 hourly. Inhibition of thyroid hormone synthesis can alternatively be achieved with carbimazole (20–30 mg enterally t.d.s.) or i.v. methimazole (20 mg 4–6 hourly) where enteral intake is impossible.7 Corticosteroids (hydrocortisone 100 mg 6 hourly i.v. or equivalent) are routinely given, as they also inhibit peripheral conversion of T4.7 Other agents include Lugol’s iodine, which inhibits the release of stored hormone and cholestyramine, to bind thyroid hormone within the gut and reduce enterohepatic recirculation.7 Beta-blockers are recommended to minimize peripheral clinical effects, e.g. propranolol 80–120 mg enterally 6 hourly, or i.v. equivalent, is appropriate. Where beta-blockade is contraindicated enteral or i.v. diltiazem can be used.7 In thyroid storm, cardiac failure is often secondary to a persistent high output state. Therefore, although beta-blockers should always be administered cautiously, the observed reduction in heart rate may confer clinical improvement in this group. Cardiac output monitoring can be useful to aid drug titration, especially where i.v. preparations are being given.
94
19.1 What territory is this lesion? a) PDA b) Circumflex c) LAD d) RCA e) Diagonal
De Winter T waves prox LAD Upsloping ST-segment depression (>1mm) at the J point, continuing into tall, positive, symmetric T waves in the precordial leads. Often accompanied by ST-elevation (0.5mm)in lead aVR.
95
19.1 High grade myopia in a patient having eye surgery. Safest way to do a single injection peribulbar block? a) Medial canthus b) Lateral canthus c) Inferotemperal d) Superior orbital e) Infraorbital
a) Medial canthus *Myopics are at much greater risk of globe perforation from traditional inferotemporal approach of peribulbar due to increased risk of staphylomata *Avoid major orbital haemorrhage by injecting into the less vascular orbital compartments: inferotemporal or nasal sites *Globe rupture higher risk with inferolateral approach
96
19.1 Female 32 weeks pregnant (also remembered as 35wks). AST 400, INR 2.1 (alternative 2.3). Most likely diagnosis? A. Acute cholestasis of pregnancy B. HELLP syndrome C. Severe pre-eclampsia D. Acute fatty liver of pregnancy E. Hyperemesis gravidarum F. Choledocholithiasis G. Pre-eclampsia with HELLP
D. Acute fatty liver of pregnancy
97
19.1 What does this ECG show? a) LVH b) Chronic lung disease c) Anterior wall ischaemia d) LV aneurysm e) tamponade
b) Chronic lung disease dominant R wave in v1 w t-wave inversion and ST depression in V1-3 -> RV hypertrophy with strain, giant p waves - R atrial dilatation,
98
19.1 What is the first line management for a patient complaining of headache 2 days post CEA? a) Paracetamol b) Hydralazine c) Metoprolol d) Tramadol e) Oxycodone
a) Paracetamol Hyperperfusion risk Mx w/ BP lowering Still paracetamol 1st
99
19.1 Which of the following drugs has the LEAST effect on thrombin time? a) bivalirudin, b) dabigatran, c) heparin, d) clexane, e) warfarin
e) warfarin
100
19.1 A fontan pregnancy lady presents in your labour ward. Pregnancy otherwise well. Normal BP 110/60. She goes into AF with a HR 150 and BP 80/40 and feeling light headed. What is best management? a) Amiodarone b) Metoprolol c) DC cardioversion d) Anticoagulation
c) DC cardioversion - ANZCOR Rx for unstable AF: synchronised DC cardioversion
101
19.1 During CPB which area most accurately reflects the temperature of the brain: a) Bladder b) CPB circuit c) Nasopharynx d) Axilla e)Thorax
Nasopharynx & PAC during rewarming arterial outlet of CPB circuit during steady state https://associationofanaesthetists-publications.onlinelibrary.wiley.com/doi/10.1111/j.1365-2044.2005.04112.x#:~:text=However%2C%20it%20appears%20that%20any,may%20cause%20marked%20brain%20injury.
102
19.1 Patient with signs of retrobubar haematoma (proptosis). How does a lateral canthotomy work? a) Allow globe to continue to swell b) Drain blood from behind eyeball c) Allow the eye to proptose
c) Allow the eye to proptose
103
19.1 Most common side effect after an iron transfusion? a. Hypophosphataemia b. Anaphylaxis c. Skin discolouration d. Iron overload e. Renal impairment
a) Hypophosphataemia Ferric carboxymaltose (Ferinject) for iron-deficiency anaemia https://www.nps.org.au/radar/articles/ferric-carboxymaltose-ferinject-for-iron-deficiency-anaemia In this set of patients administered FCM (n = 5799), treatment-related side effects that occurred in more than 1% of the group included: - nausea (3.1%) - hypophosphataemia (1.9%) - injection-site reactions (1.6%) - headache (1.4%) - hypertension (1.3%) - dizziness (1.2%)
104
19.1 20kg child, 25% burns, occurred 2 hours ago. Over how long will you give 1000ml of Hartmanns. a) 4 hr b) 6 c) 8 d) 10 e) 12
B) 6hrs
105
19.1 A 65 year old man on bisoprolol presents with presyncope. What is shown in his ECG? a) Sinus Rhythm b) Junctional Bradycardia c) Ventricular escape d) Multifocal atrial tachycardia e) Complete heart block
B) junctional bradycardia - narrow QRS so not vent escape - <40bpm hence junctional bradycardia
106
19.1 40yo man, mild jaundice, distant hx illicit drug use, takes a statin, drinks 3 std a week. Make sense of his LFTs. The only abnormality was a raised unconjugated bilirubin. A. Sepsis B. Hepatitis C. Cholestasis D. Gilberts E. Drug induced
D. Gilberts
107
19.1 A male heavy smoker, comes in with headache, carboxy Hb level of 8, management? A. 15L via HUDSON mask B. 100% O2 via CPAP C. Hyperbaric 100% O2 3ATM D. Hyperbaric 100% O3 5ATM E. Oxygen as per SpO2 as per normal
E. Oxygen as per SpO2 as per normal HB level of 10 is normal in smokers
108
19.1 According to the ANZCA 'Choosing Wisely' campaign, all of these are part of the recommendations EXCEPT: a) Doing an epidural on a patient who is labouring normally with a normal pregnancy and no comorbidities b) Not giving a blood transfusion on a healthy 20yo male with Hb > 70g/L except in severe or symptomatic bleeding c) Not giving an anaesthetic to a high risk patient with severe comorbidities without risk stratifying thm and taking an anaesthetic history and assessment
a) Doing an epidural on a patient who is labouring normally with a normal pregnancy and no comorbidities
109
19.1 A patient has a tibial fracture and develops Compartment syndrome. He has foot drop, some calf weakness, and loss of sensation between the big toe and 2nd toe. Which compartment is likely to be affected? a) Anterior b) Lateral c) Posterior d) Deep posterior
Anterior
110
19.1 What is the warm ischaemic time for the kidneys for transplant? a. 30mins b. 45mins c. 60mins d. 90mins e. 120mins
D. 60 mins
111
19.1 You undertake a spontaneous breathing induction in a 15kg 4 year old and post induction you have severe laryngospasm. What dose of IM sux should you give: A. 15mg B. 30mg C. 60mg D. 90mg E. 120mg
C. 60mg 4mg/kg
112
19.1 At what TOF ratio are anaesthetists not able to notice a difference by feel: a) 0.2 b) 0.4 c) 0.6 d) 0.8 e) 0.9
B) 0.4
113
19.1 What is the most common cause of post op visual loss following spinal surgery? a) Ischaemic optic neuropathy b) Retinal artery occlusion c) Central retinal vein occlusion d) Corneal abrasion e) Visual cortical infarct.
A) Ischaemic optic neuropathy
114
19.1 Transport cylinder. Water capacity 2L. Pressure gauge reads 150 Bar. Flows - O2 10L/min – longest it can last? a. 15min b. 30min c. 45min d. 60min e. 2hrs
B) 30 mins
115
19.1 What does this Pressure volume loop show? a) Normal b) Too little peep c) Too much peep d) Underexpansion e) Overexpansion
e) Overexpansion
116
19.1 A patient with RA has been on 5mg of prednisone long term and is coming in for a joint replacement what is the appropriate management of their steroids? a) 5mg oral pred b) 10mg oral pred c) No steroids d) 50mg hydrocortisone IV e) 100mg hydrocortisone IV
E) 100mg hydrocortisone IV followed by infusion 200mg/24hrs
117
19.1 Which cardiac condition has the “highest mortality” in pregnancy A) HOCM with hypertrophied septum B) Bicuspid AV with significantly dilated aortic root C) Severe MR D) PDA
B) bicuspid AV with significantly dilated Aortic root
118
19.1 You are going on world aid missions with a isoflurane vaporizor and other gear. (The vaporizer has a maximum dial percentage of 5% for isoflurane). If you were to fill it with sevoflurane instead, what is the approximate maximum % of sevoflurane you could deliver. (Sevo SVP 160mmHg, Iso 240mmHg) a) 1% b) 3% c) 5% d) 7.5% e) 9%
B) 3%
119
19.1 Spirometry of a lady with a long smoking career - Normal FEV1/FVC ratio - Lung volumes down and DLCO down A. Emphysema B. Pulmonary fibrosis C. Asthma D. Pulmonary hypertension E. Myasthenia gravis
Non obstructive pattern PUL fibrosis likely to affect volumes & DLCO
120
19.1 Balloon decompression for trigeminal neuralgia. Average duration of symptom free period? a) 1.5 year b) 3 years c) 5 years d) 8 years e) 10 years
c) 5 years BJA Trigeminal Neuralgia 1st line carbamazepine - S.E. drowsiness, dizziness, liver dysfunction requiring monitoring - NNT 1.8, less strong evidence for other anti-neuropathics 2nd line: Surgical 1. peripheral > laser therapy, alcohol injections, or neurectomy > 6-12 months relief > less invasive in patients unfit for surgery > may cause dysaesthesias 2. at gasserian ganglion > gasserian ganglion can be ablated using - thermal (radiofrequency), - chemical (glycerol, phenol, alcohol), or - mechanical (balloon compression) techniques. > 4-5 years in 50%, local and sedation. high incidence dysaesthesias, sensory loss > Balloon compression can lead to arrhythmias, aseptic meningitis, and temporary diplopia. 3. posterior fossa > microvascular decompression (MVD) > major neuro sx - 60-70% 5yr ongoing relief, relapse rate at the end of 10 yr is about 30–40% > gamma knife - destructive procedure that aims at delivering a focused beam of radiation to trigeminal nerve root in the posterior fossa where there is a proven vascular compression - 69% at relief 1yr, may not persist, can be repeated
121
19.1 A 34 year old primigravida collapses soon after delivery of her baby, how would you support a diagnosis of AFE? a) markedly raised serum tryptase b) decreased C3-C4 levels c) clinical diagnosis of exclusion d) raised CRP e) hyperfibrinogenemia
c) clinical diagnosis of exclusion Numerous laboratory tests have been proposed and studied in the context of AFE. None of them are specific enough for making the diagnosis, but they can still aid and guide management. Standard tests, including full blood count, liver and renal function tests, electrolytes and arterial blood gases do not aid in diagnosis, but remain useful in management. Coagulation studies will demonstrate low fibrinogen with prolonged prothrombin and partial thromboplastin times, whereas thrombocytopaenia is a rare finding initially. Thromboelastography may support diagnosis and should be used whenever available. Arterial blood gases will almost inevitably show hypoxaemia and changes in acid–base balance. Electrocardiogram may show sinus tachycardia, bradycardia, various dysrhythmias, right ventricular strain, and ST-segment and T-wave changes. Recently, transthoracic and transoesophageal echocardiography have been used to aid in diagnosis. Reported findings are acute right ventricular failure, severe pulmonary hypertension, and a cavity-obliterated left ventricle during the early phase of AFE. Occasionally, intracardiac thrombi or emboli can be seen. Multiple biomarkers have been suggested to increase the likelihood of AFE diagnosis in conjunction with the clinical features. The complement fractions, C3 and C4, have been found to be low in patients with AFE
122
19.1 Someone on sitagliptin prior to elective surgery. Correct management? a) Cease because risk of DKA b) Cease because risk of Hypoglycaemia c) Cease because risk of Lactic acidosis d) Cease because of risk of glycolysis and gluconeogenesis e) Continue at normal dose
e) Continue. DPP4i no risk of hypoglycemia. Probably outdated ANZCA/ADS says withhold all OHGs
123
19.1 Patient with suspect acromegaly what blood results would you expect after testing IGF-1 and GH after glucose tolerance test? a) Elevated GH with IGF-1 non suppression b) Elevated IGF1 with GH suppression c) Elevated IGF1 with GH non supression d) Elevated GH with IGF 1 supression e) Elevated GH and IGF1
c) Elevated IGF1 with GH non supression
124
19.1 What is the afferent limb of the oculocardiac reflex a) Vagus nerve b) Oculomotor nerve c) Optic nerve d) Long and Short ciliary nerves e) Facial nerve
d) Long and Short ciliary nerves
125
19.1 A 3 week 4 kg baby has pyloric stenosis and is now 3.7kg has sunken fontanelles dry mucous membranes and no wet diapers. What is the most appropriate fluid management? Blood gas showed Na: 125 Cl: 75 K: 3.2 a. 80ml bolus 0.9% normal saline b. 0.9% + dextrose 5% at 16ml/hr c. 0.9% + kcl 10mmol/L at 32ml/hr d. Hartmans with dextrose 5% at 32ml/hr e. 80ml bolus of N. saline with potassium 10mmol/L
a. 80ml bolus 0.9% normal saline 20ml/kg bolus followed by maintenance fluid in the form of: - 0.45% saline with glucose 5% and - 10 mmol potassium chloride per 500 ml bag is given - rate of 150 ml/kg/day
126
19.1 Where do you block glossopharyngeal nerve? A. Base of palatoglossal arch B. Penetrate the cricothyroid membrane C. Inferior to the greater cornu of the hyoid bone D. Junction of soft and hard palate E. Caudal aspect of the posterior tonsillar pillar
A
127
19.1 Which muscle is most sensitive to the effect of NMBD: a) Adductor pollicis longus b) Diaphragm c) Intercostal muscles d) Orbicularis e) Pharyngeal muscles
Pharyngeal muscles
128
19.1 Active cooling during MH should be ceased when core temperature reaches a) 36 degrees b) 37 degrees c) 38 degrees d) 35 degrees e) 34 degrees
c) 38 degrees
129
19.1 Flow volume loop a. Variable intrathoracic lesion b. Variable extrathoracic lesion c. Fixed extrathoracic lesion d. Fixed intrathoracic lesion e. Chest wall restriction
a. Variable intrathoracic lesion
130
19.1 During endovascular repair of ruptured aneurysm the proceduralist expresses concern about perforation of intracranial vessel following passage of a micro catheter. Each of the following could be part of your management except? a) Mannitol b) Protamine c) Vasopressor d) Moderate hyperventilation e) Continue coiling
c) Vasopressor
131
19.1 Rates of awareness in all patients undergoing general anaesthesia in the NAP5? a) 1:600 b) 1:3000 c) 1: 8000 d) 1:19000 e) 1:136000
d) 1:19000 GA: 1:19 000 GA + NMB: 1:8 200 GA + No NMB: 1:135, 900 GA for LSCS: 1:670 GA fo CTS: 1:8 600 GA for Paeds: 1:61 100
132
19.1 In the study “Multimodal system design to reduce errors in the recording and administration of drugs in anaesthesia” by Merry et al 2011 BMJ; the intervention group rate of drug errors was 9.1% (95% CI 6.9 to 11.4) and the control group rate of drug errors was 11.2% (95% CI 9.3 to 13.9). The fact that the 95% confidence interval for the intervention crosses the control group rate suggests: a) The intervention is not statistically significant because the confidence interval crosses between the two groups b) The intervention may be statistically significant even though the confidence intervals between the two cross c) Confidence interval will decrease with a small sample size d) Confidence interval be broader with a lower powered study e) The mean will shift by increasing the sample size
b) The intervention may be statistically significant even though the confidence intervals between the two cross Confidence Intervals The other major areas of statistical inference are the estimation of parameters with associated confidence intervals (CIs). In statistics, a CI is an interval estimate of a population parameter. A CI describes how likely it is that the population parameter is estimated by any particular sample statistic such as the mean. (The technical definition of the CI of the mean is more rigorous. A 95% CI implies that if the experiment were done over and over again, 95 of each 100 CIs would be expected to contain the true value of the mean.) CIs are a range of the following form: summary statistic ± (confidence factor) × (precision factor).
133
19.1 How long can a propofol infusion line be used for before being changed? (repeat) a. 4 hours b. 6 hours c. 12 hours d. 18 hours e. 24 hours
c. 12 hours Propofol PI: "As usual for fat emulsions, the infusion of Fresofol 1% via one infusion system must not exceed 12 hours. After 12 hours, the infusion system and reservoir of Fresofol 1% must be discarded or replaced if necessary."
134
19.1 A patient has a frontal DSA performed after an acute stroke describe the pathology below: a. Anterior cerebral artery occlusion b. Middle cerebral artery occlusion c. Posterior communicating artery d. Basilar artery stroke e. Haemorrhage
b. Middle cerebral artery occlusion
135
19.1 According to the Sepsis 3 guidelines sepsis is: a) Hypotension b) Organ dysfunction from dysregulated host response to infection c) Elevation in wcc, hypotension, tachpnoea, fever, tachycardia d) Infection with SIRS response e) Persistent hypotension (MAP <65mmHg) AND serum lactate >2 mmol/L despite adequate volume resuscitation
b) Organ dysfunction from dysregulated host response to infection
136
19.1 The RELIEF Trial showed that a liberal fluid strategy compared to a restrictive fluid strategy resulted in? A. Decreased acute kidney injury B. Increased mortality C. Decreased mortality D. No difference in wound infection E. Increased bowel anastomosis breakdown
A. Decreased acute kidney injury