PCT COM GASES NO DELGADO DE FORMATO OVAL OU ESFÉRICO E GASES NO COLON E ESTÔMAGO LEMBRANDO TABULEIRO DE XADREZ. QUAL DIAGNÓSTICO?

Falso abdome agudo (Íleo Paralítico)
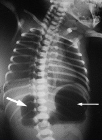
RECÉM NASCIDO, APRESENTOU VÔMITOS LOGO APÓS O NASCIMENTO. RSA DEMONSTROU ALÇAS DISTENDIDAS NO ABD SUPERIOR POR GASES (SINAL DA DUPLA BULHA). NO RESTANTE DO EXAME NÃO HAVIA ALTERAÇÕES. QUAL DIAGNÓSTICO?

Atresia Duodenal
A patologia renal mais comum em criança com massa palpável é?

Tumor de Wilms
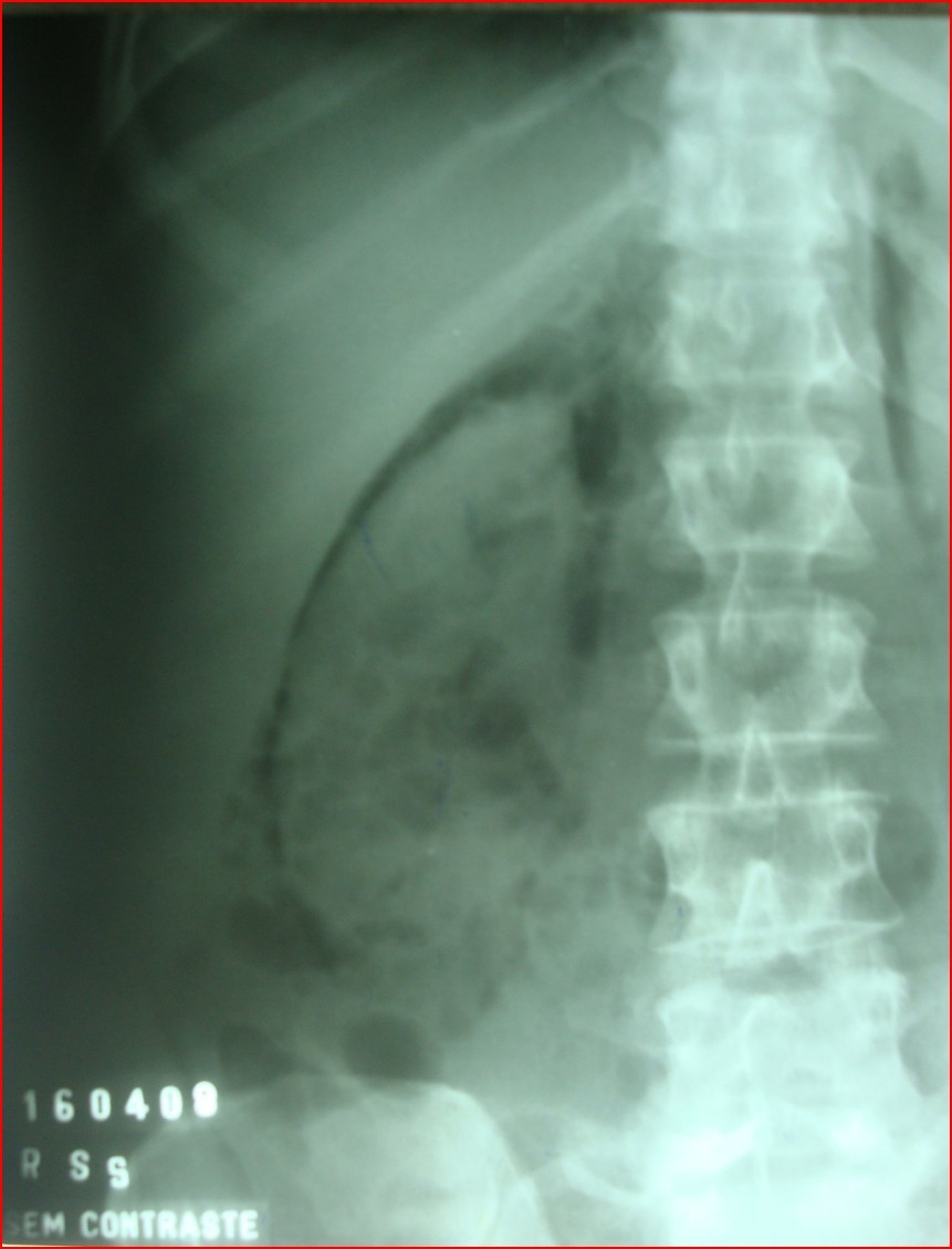
NESTA RADIOGRAFIA SIMPLES DO ABDOME, VC OBSERVA UM VELAMENTO DIFUSO DO HEMIABDOME ESQUERDO, COM EFEITO COMPRESSIVO NAS ALÇAS INTESTINAIS PREENCHIDAS POR GASES , QUE SE ENCONTRAM DESLOCADAS .
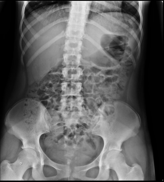
TUMOR MALIGNO MAIS FREQUENTE NA INFÂNCIA.ASSINTOMÁTICO ATÉ QUE A MÃE PERCEBE A MASSA ABDOMINAL.
MASSAS ABDOMINAIS EM PEDIATRIA :
RECÉM-NATO : HIDRONEFROSE POR ESTENOSE DA JUP
2 A 5 ANOS : TUMOR DE WILMS ou NEFROBLASTOMA (renal) ou NEUROBLASTOMA (adrenal).
Qual conteúdo está presente no espaço para-renal posterior?
Tecido adiposo
Qual suspeita clínica mais frequente que justifique vc solicitar RSA?
Cólica nefretica
Cite dois métodos de imagem no diagnóstico da Apendicite
Primeiro exame de escolha: USG
Exame padrão ouro: TC
Qual o método de imagem ideal no trauma renal?
Tomografia Computadorizada
Qual o método de imagem ideal p/ pesquisar Hiperplasia Prostática Benigna?
Uretrocistografia Retrógrada
Qual o método de imagem ideal na pesquisa do refluxo vésico-ureteral?
Uretrocistografia Miccional
Qual a principal consequência de trauma abdominal na região epigástrica?

RETROPNEUMOPERITÔNIO
IMAGEM GASOSA ( ESCURA ) CIRCUNDANDO O RIM DIREITO, DECORRENTE DE RUPTURA DUODENAL
ESTE AR, APESAR DE CIRCUNDAR O RIM, SE LOCALIZA NO ESPAÇO PARARRENAL ANTERIOR, A NÃO SER QUE TENHA TAMBÉM ROMPIDO A FÁSCIA RENAL ANTERIOR.

Pct jovem, com dor abd súbita, demonstrou na RRAA “sinal crescente gasoso” subfrênico à direita. Qual o dignóstico?
Ruptura de viscera ôca
Pct idosa, com vômitos e cólicas abdominais, na RRAA apresentou: alças intestinais distendidas por gases empilhadas na região central; sinal do colar de pérolas; e, sem gases no reto. Qual diagnostico?
Obstrução mecanica do delgado
Em uma radiografia simples do abdome feita em decúbito dorsal, os gases do sitema digestivo costumam ser visíveis aonde?
Estômago e cólon
Quais são os sinais radiológicos da Obstrução Mecânica do Cólon? 4 sinais..
1) Sinal do “Grão de café”
2) Alças periféricas distendidas
3) Gases ausentes no reto
4) Longos níveis hidroaéreos
Quais são os sinais radiográficos da pancreatite (aguda ou crônica)? 4 sinais..
1) derrame pleural esquerdo
2) líquido no espaço para-renal anterior
3) pseudocisto
4) calcificações no pancreas
A causa mais comum de obstrução mecânica no delgado é?
Brida
Qual o primeiro exame a ser solicitado no caso de cálculo das vias biliares?
USG (padrão ouro)
Rd simples do abd só demonstra 15-20% dos casos
Qual o único exame contrastado do sistema digestivo que a Endoscopia não substitui?
Qual a clínica frequente no qual é indicado?
Trânsito do delgado
Diarréia crônica, dor abdominal, febre e sangramento
Enema opaco ou clister opac, qual contraste utilizada e qual a principal indicação?
Jamais solicitar este exame baritado
Pesquisa de doença diverticular
Qual indicação do exame Entero TC?
EXCELENTE PARA DIAGNOSTICAR DOENÇA DE CROHN E SUAS COMPLICAÇÕES.
Primeiro exame de escolha na Litíase
Radiografia Simples de Abdômen
Em uma radiografia simples do abdômen realizada em uma paciente idosa, foram detectadas na região hipogástrica, imagem cálcica ovolada mediana, lamelada (casca de cebola). Qual o seu diagnóstico?
Calculo vesical
A invaginação intestinal no adulto é em geral:
Causada por tumor intestinal
A causa mais comum de obstrução mecânica do intestino grosso é?
Lesão intrínseca da parede intestinal (Neoplasia Maligna)