Radiologia Simples do Abdome Flashcards

(10 cards)

1
Q

DOR NO HIPOCÔNDRIO D

ACHADOS? DIAGNÓSTICO? QUAL EXAME VC SOLICITARIA PARA CONFIRMAR O DIAGNÓSTICO?

A

Há duas imagens cálcicas justapostas em projeção do Hipocôndrio D.

Colecistopatia Calculosa

USG do abdome superior ou do Hipocôndrio D ou Urografia Excretora para descartar Litíase na Pelve Renal.

Confirmou Colecistopatia Calculosa.

How well did you know this?
1
Not at all
2
3
4
5
Perfectly
2
Q

NOME DO EXAME? INCIDÊNCIA? IDENTIFIQUE:

A

RD SIMPLES DO ABDOME EM DECÚBITO DORSAL.

SETA VERMELHA- ESTÔMAGO

SETA AZUL- CONTORNO DO RIM D

SETA BRANCA – CÓLON TRANSVERSO

SETA VERDE- PSOAS E

SETA NEGRA – FAIXA ADIPOSA LATERAL DO ABDOME ( ESPAÇO PARARRENAL POSTERIOR)

OBSERVE OS PLANOS ADIPOSOS NA CAVIDADE PÉLVICA DELIMITANDO A BEXIGA. ISTO PORQUE TEM TECIDO ADIPOSO CIRCUNDANTE.NUM PACIENTE MAGRO OU EM CRIANÇAS ESTES PLANOS SERIAM INVISÍVEIS.

How well did you know this?
1
Not at all
2
3
4
5
Perfectly
3
Q

NOME DO EXAME? INCIDÊNCIA? IDENTIFIQUE:

É ADULTO?

A

RD SIMPLES DO ABDOME EM DECÚBITO DORSAL.

1- FÍGADO SETA VERMELHA – BORDA HEPÁTICA

2- BAÇO SETA AZUL – 12º ARCO COSTAL D

SETAS AMARELAS – FEZES NO CÓLON ASCENDENTE E RETO E SIGMÓIDE ( MICROBOLHAS GASOSAS)

SETA ROXA- ARTICULAÇÃO SACRO-ILÍACA D

SETA VERDE- ARTICULAÇÃO COXO-FEMORAL DIREITA.

TRATA-SE DE UM ADOLESCENTE PORQUE AS LINHAS DE CRESCIMENTO (SETAS LARANJAS ) SÃO VISÍVEIS.

How well did you know this?
1
Not at all
2
3
4
5
Perfectly
4
Q

IDENTIFIQUE AS SETAS E DIGA PQ SÃO ADULTOS

A

SETAS AZUIS – NÁDEGAS DE UMA SENHORA OBESA

SETAS VERMELHAS – POLO CEFÁLICO DE UM FETO.

SETA AMARELA – CONTORNO UTERINO . OBSERVE O DESLOCAMENTO DAS IMAGENS GASOSAS COLÔNICAS.

SÃO ADULTOS PORQUE JÁ OCORREU A FUSÃO DAS LINHAS DE CRESCIMENTO.

How well did you know this?
1
Not at all
2
3
4
5
Perfectly
5
Q

O que vc acha desta distribuição gasosa intestinal?

A

Habitualmente na radiografia simples do abdome em decúbito dorsal, vc não identifica a parede intestinal.

Quando ela se torna visível isto significa que existe ar no interior desta alça e patológico externamente ou seja na cavidade peritoneal. Isto indica Pneumoperitônio ( Sinal de Leo Riegler ) ou seja a parede intestinal normalmente invisível, se torna visível como uma faixa densa.

How well did you know this?
1
Not at all
2
3
4
5
Perfectly
6
Q

ONDE ESTÁ O CORPO ESTRANHO (MOEDA)?

IDENTIFIQUE:

A

CÂMARA GÁSTRICA.

SETA VERDE – BORDA DO BAÇO

SETA VERMELHA – IMAGEM GASOSA DO ÂNGULO HEPÁTICO DO CÓLON

SETA AMARELA – PLANOS MUSCULARES DA PAREDE ABDOMINAL ( OBLÍQUO EXTERNO, OBLÍQUIO INTERNO E TRANSVERSO DO ABDOME)

How well did you know this?
1
Not at all
2
3
4
5
Perfectly
7
Q

DOR LOMBAR BILATERAL, MAIS INTENSA

À DIREITA.

NOME DO EXAME?

NOME DA INCIDÊNCIA?

ACHADOS?

DIAGNÓSTICO?

A

RD SIMPLES DO ABDOME.

DECÚBITO DORSAL

IMAGEM CÁLCICA VOLUMOSA NO HIPOCÔNDRIO ESQUERDO MOLDANDO PELVE E CÁLICES. HÁ OUTRA IMAGEM CÁLCICA À DIREITA EM PROJEÇÃO URETERAL ( NÍVEL DE L3)

CÁLCULO CORALIFORME À ESQ E CÁLCULO URETERAL À DIREITA.

How well did you know this?
1
Not at all
2
3
4
5
Perfectly
8
Q

ALCOÓLATRA CRÔNICO COM DORES NO ANDAR SUPERIOR DO ABDOME

A

HÁ INCONTÁVEIS IMAGENS CÁLCICAS NA REGIÃO EPIGÁSTRICA CONFIGURANDO O FORMATO DO PÂNCREAS ( NIVEL DE L1 E L2)

PANCREATITE CRÔNICA

How well did you know this?
1
Not at all
2
3
4
5
Perfectly
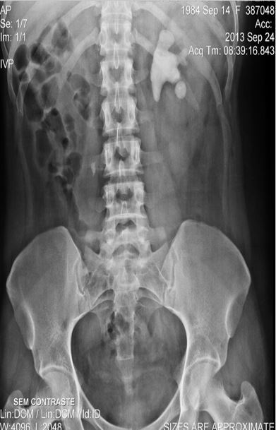
9
Q

DOR LOMBAR, AP DA COLUNA LOMBAR, PEGANDO TODO ABDOME.

ACHADOS RADIOLÓGICOS? DIAGNÓSTICO?

A

HÁ IMAGENS CÁLCICAS ( SETAS AMARELAS )NA REGIÃO EPIGÁSTRICA EM PROJEÇÃO DO PÂNCREAS ( NIVEL DE L1 E L2)

PANCREATITE CRÔNICA

HÁ GASES, FEZES E RESÍDUOS MEDICAMENTOSOS (COMPRIMIDOS) NO CÓLON.

How well did you know this?
1
Not at all
2
3
4
5
Perfectly
10
Q

ALCOÓLATRA COM DORES ABDOMINAIS.

ACHADOS? DIAGNÓSTICO?

A

HÁ INCONTÁVEIS IMAGENS CÁLCICAS NA REGIÃO EPIGÁSTRICA CONFIGURANDO O FORMATO DO PÂNCREAS ( NIVEL DE T12,L1 E L2)

PANCREATITE CRÔNICA, PÂNCREAS VOLUMOSO.

How well did you know this?
1
Not at all
2
3
4
5
Perfectly