20.1 Of the following, the maternal cardiac condition that represents the highest risk of mortality associated with pregnancy is
a. Bicuspid aortic valve with significantly dilated aortic root
b. Fontan circulation
c. HOCM
d. PDA
A - Modified WHO class 4
B - Modified WHO class 3 (4 if ANY complication)
C - Modified WHO class 2-3 (if severe AS - 4)
D - Modified WHO class 1
Class 4 = 40-100% risk of event
Source
https://academic.oup.com/eurheartj/article/39/34/3165/5078465
Table:
https://academic.oup.com/view-large/186437995
20.1 A 45-year-old man has poor oxygenation in the post anaesthesia care unit after a low anterior resection. His chest x-ray is below. The most likely diagnosis is
a) Left pneumothorax
b) Right pneumothorax
c) Left lower lobe collapse
d) Right lower lobe collapse
e) Normal XR
repeat
Complications from dural puncture and resultant intracranial hypotension do NOT include
a. Stroke
b. Encephalitis
c. Subdural haematoma
d. Cortical vein thrombosis
REPEAT
B
20.1 If group A Rh-ve cryoprecipitate is not available for use in an A Rh-ve patient, of the following your next best choice should be
a. AB Rh +
b. B Rh +
c. B Rh –
d. O Rh +
e. O Rh –
If no A, use AB Rh + cryo (Ie; no anti A or anti B)
Cryo incompatible can be given, but large volumes are high risk for DIC
https://litfl.com/cryoprecipitate/
20.1 A new antiemetic drug ‘X’ is being evaluated. The percentage of patients who suffered postoperative nausea and vomiting (PONV) after administration of either the drug ‘X’ or placebo is as follows: percentage of patients with PONV after drug X = 20%; percentage of patients with PONV after placebo = 25%. The number needed to treat (NNT) is
a. 5
b. 20
c. 22.5
d. 25
e. 45
B
RR = 0.25-0.2 = 0.05
NNT = 1/RR
= 20
20.1 The radial artery pressure trace shown below is from a patient who has an intra-aortic balloon pump in situ. The device has been switched to 1:2 augmentation to assess the timing. The trace shows an augmented beat followed by an un-augmented beat. With respect to the augmentation, the trace shows
a. Correct timing
b. Early inflation
c. Late inflation
d. Early deflation
e. Late deflation
D
20.1 IgE-related penicillin anaphylaxis crossover rate with cephazolin
a. 0.1%
b. 1%
c. 5%
d. 10%
1%
BJA ED
20.1 Abuse of nitrous oxide may lead to
a. Anaemia due to decreased erythropoietin
b. Anaemia due to glutathione deficiency
c. Neurological damage due to methionine deficit
d. Pulmonary HTN
C
Methionine Synthetase Inhibitor
20.1 Hepcidin production decreased due to
a) Infection
b) Inflammation
c) Acute leukaemia
d) Anaemia
e) Excess iron stores
REPEAT
Anaemia
nfection, inflammatory disease, malignancy & iron
overload all PROMOTE hepcidin production.
Hepcidin reduces iron absorption - therefore it is reduced in IDA
20.1 Hypertension is LEAST reduced by which of the following lifestyle modifications
a. Reduced salt intake
b. Increased physical exercise
c. Increased potassium intake
d. Decreased alcohol intake
e. Decreased caffeine intake
REPEAT
E
20.1 A patient has prolonged surgery with a laryngeal mask airway. The following day she reports a problem with her tongue. You examine her and see the following when she protrudes her tongue. The most likely cause of the abnormality is (facial picture shown)
a. Left hypoglossal nerve
b. Left glossopharyngeal
c. Right hypoglossal
d. Right glossopharyngeal
e. Right recurrent laryngeal
C
Ipsilateral deviation
https://www.ncbi.nlm.nih.gov/pmc/articles/PMC4308816/
20.1 Patient on chronic daily oral hydromorphone 12mg, what is an appropriate daily parenteral morphine dose
a. 5
b. 10
c. 15
d. 20
e. 25mg
20mg
12mg PO hydromorphone = 60mg PO morphine
(Factor of 5)
PO - IV Morphine = factor of 3
FPM App
20.1 Patient with Fontan circulation and peritonism having induction for laparotomy. Drops sats on induction. Best move?
a. Decrease volatile
b. Reverse Trendelenberg
c. Decrease FiO2
d. Increase PEEP
e. Increase tidal volume
A 22-year-old man with a Fontan circulation is on your emergency list for an appendicectomy. He has had abdominal pain and vomiting for 3 days, and has a peritonitic abdomen. His preoperative arterial oxygen saturation is 95%. Shortly after induction he becomes hypotensive BP 80/45, and saturations fall to 75%. His condition is most likely to be improved by:
A. Increasing the inspiratory time.
B. Decreasing the ventilator tidal volumes.
C. Adding positive end-expiratory pressure (PEEP).
D. Positioning reverse trendelenberg.
A
Couldn’t find a clear source but we know;
A - will decrease venoplegia and improve venous return
B - Would not help, decrease VR
C - Don’t drop FiO2 when desatting…
D - increases PVR (unless below FRC) and reduces pulmonary flow
E - Same as above, increased PVR and reduces flow through pulmonary circuit
B. Decreasing the ventilator tidal volumes.
Patients who have undergone the Fontan procedure depend on blood flow through the pulmonary circulation without the assistance of the right ventricle. The difference between central venous pressure and systemic ventricular end-diastolic pressure (termed the “transpulmonary gradient”) is the primary force promoting pulmonary blood flow and, more importantly, cardiac output.
Circulation in the Fontan patient is promoted by low pulmonary vascular resistance. Positive-pressure ventilation with increased tidal volumes, as described above, can result in excessive intrathoracic pressures, leading to decreased venous return to the heart and increased pulmonary vascular resistance.
In periods of low oxygen saturation, 100% inspiratory oxygen is appropriate.
The addition of PEEP will increase intrathoracic pressure, reducing venous return.
Trendelenberg positioning would increase CVP and therefore bloodflow through pulmonary circulation.
20.1 he relatively slower onset of action of bupivacaine with adrenaline in brachial plexus anaesthesia compared to other local anaesthetics relates to
a. Adrenaline used in preparation
b. Higher pH
c. Higher pKa
d. Highly protein bound
e. Less lipophilic
REPEAT
Onset = pKa
Duration = Lipophilicity
Offset = protein binding
20.1 In a Blalock–Taussig shunt, blood passes to the pulmonary artery via the
a. Aorta
b. Subclavian artery
c. IVC
d. SVC
e. Left atrium
B
20.1 The Brain Trauma Foundation guideline for management of severe head trauma recommend the treatment of intracranial pressures greater than
a. 5mmHg
b. 10
c. 15
d. 22
e. 25
22
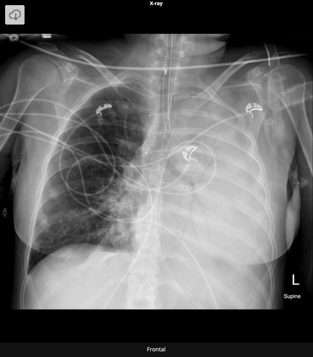
20.1 A 15-year-old boy undergoes a cardiac procedure for congenital heart disease. The intrathoracic device is a(n) (chest X-Ray shown)
a) AV repair
b) PV repair
c) ASD closure device
d) Parachute device
e) Right atrial appendage closure
device
c) ASD closure device
Amplatzer Device
20.1 Benztropine ameliorates the side effects of drugs that antagonise
b. Cholinergic muscarinic receptors
c. Cholinergic nicotinic receptors
d. Dopamine receptors
e. Serotonin 2A receptors
REPEAT
D
20.1 What is the abnormality in this CXR?
a. Pneumonectomy
b. Pleural effusion
c. Pneumonia
d. Unilateral pulmonary oedema
c. Pneumonia
Complete white-out of left lung with air bronchogram sign consistent with total consolidation. Patchy areas of ground glass opacities in right lung. There is silhouetting of the left heart border and left hemi-diaphragm. There is no rib crowding to suggest atelectasis.
Complete white-out of the hemithorax with air bronchograms and trachea in a central position is consistent with consolidation secondary to pneumonia. The patient is on linezolid, micafungin, and piperacillin-tazobactam pending culture and susceptibility studies.
Differential diagnosis of hemithorax white-out with a midline trachea include:
- consolidation
- pulmonary edema/ARDS
- pleural mass
- chest wall mass
20.1 Patient presents with hemisensory loss and right homonymous hemianopia. Which vessel is affected?
a. Anterior communicating artery
b. Posterior cerebral artery
c. Posterior inferior cerebellar artery
d. Vertebral artery
e. Basilar artery
REPEAT
PCA Contralateral
20.1 What is the arrow pointing to?
a. Ilioinguinal
b. Iliohypogastric
c. Genitofemoral
d. Lateral cutaneous nerve of thigh
e. Obturator
e. Obturator
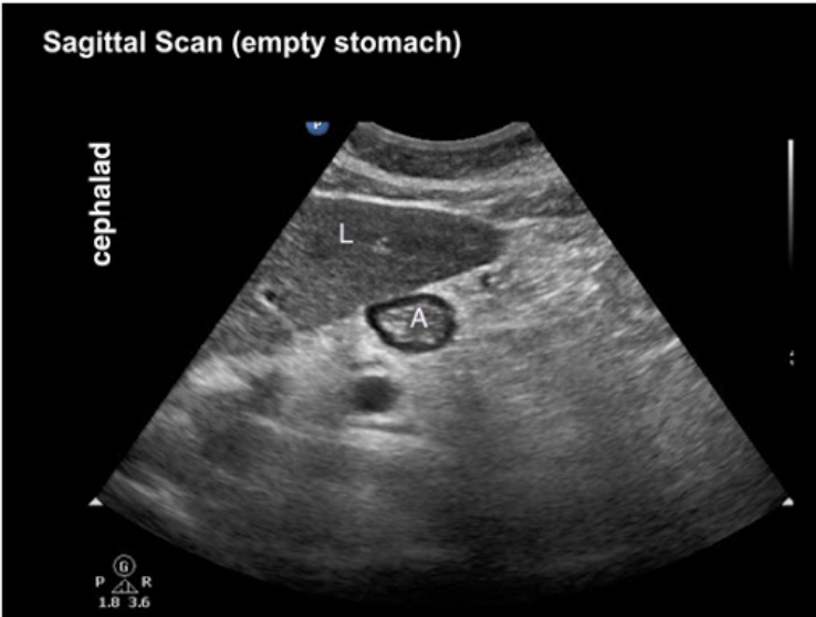
20.1 The structure labelled A shows
a. Empty stomach
b. Clear fluids
c. Solids, early stage
d. Solids, late stage
a. Empty stomach
20.1
a. Left anterior hemiblock
b. Left posterior hemiblock
c. RBBB
d. LBBB
FHB
20.1 The concept of response surface modelling in anaesthesia refers to:
a. The combined effect of two drugs at varying doses on a given response
b. Probability of something
c. Effect of one drug on something
d. Overlap of something
None of those?
Mathematical model for plotting responses to 2 varying drugs when used in conjunction (Ie opioid and propofol)