20.2 The breast does NOT receive sensory innervation from the
Repeat
20.2 The recommended antibiotic prophylaxis for surgical termination of pregnancy is
A. Clindamycin 600 mg
B. Cephalexin 500 mg
C. Doxycycline 400 mg
D. Cephazolin 2g
E. Cephazolin 2g and metronidazole
REpeat
20.2 The water capacity of an oxygen transport cylinder is 2 litres. The gauge is reading 150 bar. At an oxygen flow rate of 10 litres per minute, the number of minutes the cylinder will last is
Repeat
20.2 Risk factors for chronic post-surgical pain do NOT include
a) Previous chronic pain
b) Young age
c) Higher education
d) Smoker
e) Anxiety
Repeat
20.2 The anion which contributes the most to the anion gap is
a) Albumin
b) Chloride
c) Phosphate
d) HCO3
e) Urate
? REpeat?
a) Albumin
https://litfl.com/anion-gap/
○ albumin is the major unmeasured anion and contributes almost the whole of the value of the anion gap.
20.2 You are resuscitating a 60 kg man in cardiac arrest secondary to severe hyperkalaemia. You decide to give intravenous sodium bicarboate. Australian and New Zealand resuscitation guidelines state the initial dose of 8.4% sodium bicarbonate should be
REpeat
20.2 Prothrombinex VF is a factor concentrate. It is indicated for the management of bleeding caused by
a Von Willebrand disease
b Haemophilia a
c Haemophilia b
d Haemophilia c
e Congenital fibrin deficiency
c Haemophilia b
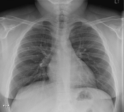
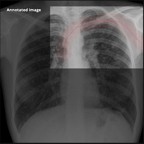
20.2 A patient has a peripherally inserted central catheter (PICC) inserted. The follow-up chest X-ray shows the tip positioned in the (Chest X-Ray shown)
a) Azygos vein
b) Coronary sinus
c) SVC
d) R atrium
e) L atrium
a) Azygos vein
Correct positioning in image
20.2 You are called to assist with a patient in the intensive care unit who has had cardiac surgery three days ago and is now in cardiac arrest. External cardiac massage should aim for a systolic blood pressure of
a. 40
b. 60
c. 80
d. 100
e. 120
b. 60
BJA Article - Management of cardiac arrest following cardiac surgery - BJA Education
In the CICU, the effectiveness of ECC is confirmed by monitoring the arterial pressure trace with a target compression rate and depth to achieve a systolic impulse of > 60 mm Hg to maintain a mean perfusion pressure, preventing ventricular distension, LV wall stress, and ischaemia.
20.2 You have been asked to anaesthetise a patient with a history of severe depression that has been well controlled on moclobemide. The most appropriate medications in combination with propofol are
a Sevoflurane, morphine, phenylephrine
b Sevoflurane, pethidine, phenylephrine
c Midazolam, fentanyl, ephedrine
d Midazolam, fentanyl, metaraminol
e Sevolfurane, morphine, ephedrine
? repeat
20.2 A 55-year-old patient who has undergone trans-sphenoidal hypophysectomy for a growth-hormone secreting adenoma has a urine output of one litre in the first postoperative hour. The following results are obtained. The most appropriate early management is
Na 145, Urinary osm ~200, Serum Osmolarity ~320
a) DDAVP
b) Hypertonic saline
c) Normal Saline 1 L bolus
d) 100 ml/hr of saline
e) Fluid restrict
a) DDAVP
Polyuria
Low urine osm
High serum osm
High Na
post transsphenoidal sx
= Central DI
20.2 The main advantage of using noradrenaline over phenylephrine for the prevention of hypotension as a result spinal anaesthesia for elective Casearean Section is
REpeat
20.2 A 40 year old man suffers a hydrofluoric acid burn to 60% of his total body surface area in an industrial accident. An expected electrolyte disturbance is
a. Hypokalaemia
b. Hyponatremia
c. Hypophosphatemia
d. Hypomagnesemia
e. Hypocalcemia
e. Hypocalcemia
UTD:
> HF penetrates quickly through the epidermal layer into the dermis and deeper.
Fluoride ions complex with calcium and magnesium, which can lead to hypocalcemia and hypomagnesemia.
These electrolyte abnormalities and the direct cardiotoxic effects of fluoride ions contribute to the development of cardiac arrhythmias, which are the primary cause of death in HF burns.
Hypocalcemia may stimulate an efflux of potassium ions from cells resulting in hyperkalemia, and predisposing to cardiotoxicity.
QTc interval prolongation, due to hypokalemia, hypomagnesemia, and/or hypocalcemia may be seen.
Calcium salts are the mainstay of treatment of hydrofluoric acid burns; the dose and route depend upon the clinical situation
20.2 An ASA 1 28 year old male attends for inguinal hernia repair under general anaesthesia. He is administered propofol 180mg morphine 8mg rocuronium 50mg cephazolin 2g Post induction he develops an erythematous rash on his chest and arms, swelling of his lips and face, and severe hypotension. Preliminary blood results show …
Elevated tryptases (100 -> 40)
normal Ig E level
elevated morphine RAST.
The most likely diagnosis is
a) Ig E mediated morphine allergy
b) IgE mediated rocuronium allergy
c) Morphine induced histamine release
d) IgE mediated cephazolin allergy
e) Mastocytosis
?Repeat?
b) IgE mediated (i.e. anaphylaxis) rocuronium allergy
Morphine RAST is most sensitive (88%) and specific (100%) test for NMBD as cause of anaphylaxis (quaternary ammonium epitope)
20.2 A patient with a purely metabolic acidosis has a serum bicarbonate of 14 mmol/L and a lactate of 3.8 mmol/L. The expected PaCO2 is
REpeat
20.2 A 34-year-old woman with cystic fibrosis has had a recent transthoracic echocardiogram to evaluate pulmonary pressure and suitability for lung transplantation. Below is a continuous wave Doppler trace through the tricuspid valve. Her central venous pressure is 5 mmHg. Her estimated right ventricular systolic pressure (RVSP) is (Echocardiography doppler trace shown)
REpeat
20.2 In maternal cardiac arrest the most common arrhythmia is
REpeat
20.2 The initial dose of IV adrenaline recommended for Grade 2 (moderate) anaphylaxis in an adult is
a) 10mcg
b) 20mcg
c) 100mcg
d) 500mcg
e) 1000mcg
b) 20mcg
Grade (ANZAAG)
1 - mucocutaneous only (mild)
2 - mucocutaneous and hypotension and/or bronchospasm (moderate)
3 - life threatening hypotension and/or high airway pressure (severe)
4 - arrest
For adults, put 3mg into a 50ml syringe
(or 6mg into 100mls saline; and running in mls/hr = mcg/min)
Doses:
- 20mcg = Grade 2
- 100-200mcg = Grade 3
- 1mg = Grade 4
For Paediatrics:
- put 1mg into 50ml syringe, (20mcg/ml; run @ 0.3ml/kg/hr = 0.1mcg/kg/min)
- 2mcg/kg = Grade 2 (0.1ml/kg of this dilution)
- 4-10 mcg/kg = Grade 3
- 10 mcg/kg = Grade 4 (0.1ml/kg of 1:10 000 (i.e. 100mcg/ml concentration))
20.2 You are conducting a departmental audit and after 100 patients you have zero cases of dental damage. Your director asks you if you can estimate the risk of dental damage. You tell them that the approximate upper 95% confidence interval for the risk would be
REpeat
20.2 Complications of hyperbaric oxygen therapy do NOT include
a) Myopia
b) Central retinal occlusion
c) Seizures
d) Hypoglycaemia
e) Bradycardia
b) Central retinal occlusion
SE’s from HBOT:
- progressive myopia (reversible)
- seizures
- hypoglycaemia
- sinus bradycardia from stimulation of vagal activity bassociated with hyperbaric pressures
20.2 You are anaesthetising a 35 year old woman undergoing a laparoscopic appendicectomy. She uses a levonorgestrel-secreting intrauterine device (MirenaTM) for contraception and you have used sugammadex for reversal of neuromuscular blockade at the end of the procedure. Your post-operative
advice to her regarding contraception should state that
a. Barrier protection for a week
b. Barrier protection until the next period.
c. The mirena is sufficient
d. OCP for a week
e. OCP until next period
Repeat
a. Barrier protection for a week
In the case of non-oral hormonal contraceptives, the patient must use an additional non hormonal contraceptive method for the next 7 days
20.2 In cardiac surgery, volatile-based anaesthesia compared to total intravenous anaesthesia
REpeat
20.2 Interventions that reduce the risk of agitation following electroconvulsive therapy include all of the following EXCEPT
a Low dose of propofol following the seizure
b Low dose of midazolam following the seizure
c Premedication with olanzapine
d Premedication with dexmedetomidine
e Induction with remifentanil
REpeat
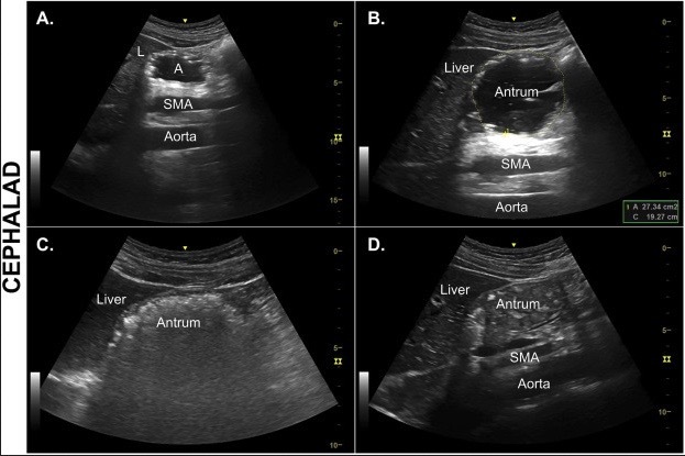
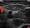
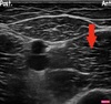
20.2 The structure labelled A shows (gastric ultrasound image shown)
a. Empty stomach
b. Full stomach with Solids
c. Full stomach with liquids and Air
d. Gall Bladder
e. Abdominal Aorta
c. Full stomach with liquids and Air