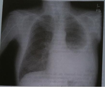
As seguintes alterações podem ser encontradas ao exame físico do paciente cuja radiografia (VER IMAGEM), em correspondência com a área de hipotransparência:
A ) Expansibilidade simétrica e frêmito tóraco-vocal reduzido.
B ) Frêmito tóraco-vocal aumentado, expansibilidade reduzida.
C ) Som maciço à percussão e sons respiratórios aumentados.
D ) Sons respiratórios e frêmito toracovocal abolidos.
—> derrame pleural e pneumotórax: frêmito abolido

Mulher de 68 anos com diagnóstico prévio de megaesôfago chagásico foi internada para tratamento de pneumonia aspirativa. Prescreveu-se: amoxicilina-clavulanato, 1500 mL de soro glicosado a 5% para hidratação venosa e dieta enteral padrão (1,2 Kcal/ml) a 80 mL/h, durante 24 horas. A paciente evoluiu bem nos primeiros dois dias, observando-se desaparecimento da febre e redução da frequência cardíaca e respiratória. No 3º dia, desenvolveu diarreia (quatro episódios/dia) e edema discreto de membros inferiores. Exames laboratoriais neste dia: glicemia = 188 mg/dL, níveis séricos da ureia = 23 mg/dL, sódio = 133 mEq/L, potássio = 2,7 mEq/L e fósforo = 1,2 mg/dL. Qual o diagnóstico mais provável?
A ) Colite pseudomembranosa.
B ) Descompensação do diabetes melito.
C ) Insuficiência cardíaca.
D ) Síndrome de realimentação.
Em se tratando do exame neurológico, são válidas as seguintes afirmativas, EXCETO:
A ) Nos pacientes com doença de Alzheimer detectam-se reflexos primitivos como o palmomentoniano.
B ) O acometimento do nervo abducente não tem grande valor como sinal de localização de lesão neurológica, em razão do longo trajeto desse nervo.
C ) O paciente anártrico, ao contrário daquele com afasia de Broca, não é capaz de falar, mas é capaz de se expressar mediante a linguagem escrita.
D ) O tremor cerebelar, presente em repouso, desaparece com a realização de movimentos voluntários.
Homem de 32 anos, com cirrose hepática escore Child-Pugh “C”, está em uso de espironolactona (100 mg/dia), furosemida (40 mg/dia) e propranolol (40 mg/dia) há cerca de 30 dias. É admitido em serviço de urgência com náuseas, vômitos e sonolência. Há dois dias, foi submetido à paracentese com retirada de oito litros de líquido ascítico. Bioquímica sérica à admissão: sódio = 116 mEq/L, cloreto = 88 mEq/L, potássio = 3,1 mEq/L e creatinina = 1,8 mg/dl. Qual é o mecanismo mais provável da hiponatremia?
A ) Déficit de produção da aldosterona pela suprarrenal.
B ) Eliminação excessiva de sódio pelos rins.
C ) Expansão do volume intravascular.
D ) Retenção de água livre pelos túbulos renais.
Senhor de 72 anos, marceneiro em atividade, seis anos de escolaridade. Segundo relato da sua esposa, vem apresentando, há cerca de dois anos, esquecimento, episódios de desorientação temporal e espacial com interferência em sua atividade profissional. Foram aplicados testes de avaliação do estado cognitivo com resultados abaixo do escore esperado para sua idade e escolaridade nos domínios: memória, orientação temporal e linguagem. Não apresenta sintomas depressivos. Escala de avaliação funcional com alterações para a execução das atividades instrumentais da vida diária. Sem doenças clínicas evidentes, nem uso de medicamentos. Qual o diagnóstico mais provável?
A ) Delirium.
B ) Demência frontotemporal.
C ) Senilidade.
D ) Síndrome demencial.
Mulher de 62 anos apresenta nódulo tireoidiano palpável, com cerca de um centímetro de diâmetro e de consistência endurecida. Apresenta, também, rouquidão e história familiar positiva para bócio tireoidiano. São sinais de alerta para a possibilidade de nódulo maligno nesta paciente, EXCETO:
A ) Consistência do nódulo.
B ) História familiar.
C ) Idade.
D ) Presença de rouquidão.
Lactente nascido a termo, peso atual: 3.2 kg, 35 dias de vida, tem icterícia, acolia fecal e colúria desde os primeiros dias de vida. O estado geral é bom, crescimento e desenvolvimento normais. O fígado é palpado a 3 cm do rebordo costal direto e o baço não é palpado. O diagnóstico deve ser realizado com certa urgência, devido à possibilidade de:
A ) Atresia de vias biliares.
B ) Fibrose cística.
C ) Hepatite neonatal inespecífica.
D ) Síndrome de Alagille.
Os pais levam à consulta de rotina criança de 2 anos de idade solicitando esclarecimentos em relação à fimose de seu filho. Qual dentre as informações abaixo é considerada ERRADA?
A ) Até a idade de 4 anos em cerca de 90% dos casos é possível a exposição da glande.
B ) Deve ser evitado o uso de cremes ou pomadas de corticoide nos pacientes menores de 5 anos sem queixas relacionadas à fimose.
C ) Indicar a realização de trações rotineiras do prepúcio para abreviar o tempo normal de resolução da fimose.
D ) Trata-se de aderência normal entre glande e o prepúcio nesta faixa etária.
Criança de 8 anos de idade, com diagnóstico de leucemia linfoblástica aguda em tratamento de fase final de remissão. Encontra-se no domicílio há 12 dias, quando apresenta pico febril de 39ºC. É examinado no serviço de urgência, cujo exame físico não apresenta evidência de infecção além de febre (38,5ºC). Solicita hemograma que revela: Hb: 8,8 g%; Htc: 24%; leucócitos: 1600; neutrófilos: 10%; linfócitos: 90%. A conduta CORRETA neste caso é:
A ) Internar e iniciar antibioticoterapia para cobertura de bactérias Gram-negativas.
B ) Internar para observação clínica.
C ) Internar para propedêutica de infecção e iniciar antibioticoterapia para cobrir bactérias Gram-positivas e negativas.
D ) Orientar aos pais acerca da benignidade do quadro e marcar retorno em 48 horas.
Lactente de 1 ano de idade, saudável apresentando febre há 4 dias, bom estado geral, hiporexia, urina concentrada. O exame de urina mostra: pH: 8.0; piócitos: 30/campo; flora aumentada. Urocultura cresceu E. coli 80.000 UFC/ml. A conduta CORRETA neste caso é:
A ) Diagnosticar infecção urinária e iniciar antimicrobianos.
B ) Internar e iniciar gentamicina.
C ) Repetir exame de urina e cultura devido à provável contaminação.
D ) Solicitar ultrassom das vias urinárias devido à possibilidade de malformação renal.
Recém-nascido, parto normal, 40 semanas, líquido meconial espesso, bom tônus muscular, padrão respiratório regular. Qual a sequência de condutas é indicada neste caso após colocar o recém-nascido sob o calor irradiante e posicioná-lo?
A ) Aspirar boca, narinas, secar e reposicionar.
B ) Aspirar laringe sob visualização direta e secar.
C ) Aspirar narinas, boca, secar e reposicionar.
D ) Secar, aspirar narinas, boca e reposicionar.
O teste do reflexo vermelho é um exame simples e rápido que deve ser realizado, durante o primeiro exame neonatal. Com relação ao teste, assinale a alternativa ERRADA:
A ) Exame alterado pode sugerir infecção intraocular.
B ) Nos casos de assimetria dos reflexos ou ausência deles a criança deve ser encaminhada ao oftalmologista.
C ) O exame deve ser realizado em quarto escuro, com oftalmoscópio colocado a cerca de 30 centímetros de distância dos olhos do recém-nascido.
D ) Observa-se reflexo vermelho simultaneamente nos dois olhos quando normal.
Paciente de 4 meses de idade, com hepatoesplenomegalia febril, de início há 15 dias, morador da região metropolitana de Belo Horizonte, apresenta pancitopenia ao hemograma, teste de imunofluorescência para leishmaniose de 1/160. O esquema de tratamento recomendado pelo Ministério da Saúde é:
A ) Anfotericina B desoxicolato.
B ) Anfotericina lipossomal.
C ) Antimonial pentavalente.
D ) Pentamidina.
Paciente do sexo feminino, 48 anos, relata que há alguns anos apresenta pequena lesão na cabeça, assintomática, que correlaciona com traumatismo local prévio. Ao exame, observa-se lesão elevada e avermelhada, de consistência firme em couro cabeludo, com aproximadamente um centímetro de diâmetro, com rarefação dos pelos sobre a lesão. Dentre as opções abaixo, assinale o diagnóstico mais provável:
A ) Cilindroma.
B ) Poroma écrino.
C ) Siringadenoma papilífero.
D ) Siringoma.
Paciente do sexo feminino, 33 anos, queixa-se de caroço doloroso na axila direita, com drenagem local de secreção purulenta e febre. Ao exame da axila direita, nota-se presença de grande nódulo eritematoso, doloroso, com pequena ulceração central, por onde se observa eliminação de secreção. Em relação a essa lesão podemos afirmar, EXCETO:
A ) Dentre os microrganismos mais frequentemente envolvidos, incluem-se o Staphylococcus aureus e bactérias aeróbias Gram-negativas.
B ) O hábito de raspar os pelos, ao contrário do que se imaginava, não parece contribuir na formação desse tipo de processo.
C ) Pode acometer ainda regiões inguinocrural (mais comum em mulheres) e perianal (mais comum em homens).
D ) Trata-se de doença infecciosa crônica recorrente dos folículos pilossebáceos, com acometimento do tecido conjuntivo adjacente.
Paciente do sexo feminino, 60 anos, apresentou hematêmese volumosa com hipotensão. Foi submetida à endoscopia digestiva alta que identificou estenose parcial do piloro e grande úlcera em bulbo duodenal com sangramento em jato, que não pôde ser interrompido por manobras endoscópicas. Sua pressão arterial sistólica chegou a 70 mmHg e a equipe médica decidiu submetê-la à cirurgia de urgência. Dentre as abaixo, assinale a alternativa de procedimento (s) cirúrgico (s) que, associada à ulcerorrafia, se mostra mais adequada neste caso:
A ) Antrectomia e anastomose gastroduodenal.
B ) Antrectomia e anastomose gastrojejunal.
C ) Cerclagem duodenal e anastomose gastrojejunal.
D ) Piloroplastia à Heineke-Mikulicz.
Paciente do sexo masculino, 26 anos, queixa-se de gotejamento intermitente de sangue vivo às evacuações nos últimos dois anos, além de prurido anal esporádico. Nega dor abdominal, perda ponderal e alterações do hábito intestinal. Tia materna faleceu por câncer do cólon ascendente aos 68 anos. O exame físico geral e abdominal não mostra alterações. A inspeção perianal revela grandes mamilos hemorroidários prolapsados, irredutíveis, sem sinais flogísticos ou de sangramento. Ao toque, a mucosa é lisa, o tônus anal é normal sem massas palpáveis. A próxima conduta indicada deve ser:
A ) Colonoscopia.
B ) Hemorroidectomia.
C ) Pesquisa de sangue oculto nas fezes.
D ) Retossigmoidoscopia.
Paciente de 29 anos, sexo feminino, puérpera, diabética, deu entrada no serviço de urgência com quadro de dor abdominal contínua, de forte intensidade, em quadrante superior direito, há 12 horas. Relata episódios de vômitos e febre (38°C). Ao exame físico: corada, desidratada (+/4+), ictérica (+/+4), frequência cardíaca 90 bpm; murmúrio vesicular fisiológico; abdome com dor à palpação, hipocôndrio direito com sinal de Murphy positivo. Exames laboratoriais: leucograma: 15.000/mm³. Bilirrubina total: 3,5 mg/dl (bilirrubina direta: 2,5 mg/dl). Dentre as opções abaixo, qual a melhor conduta?
A ) Colangiografia endoscópica retrógrada e exploração endoscópica das vias biliares.
B ) Colecistectomia laparoscópica com colangiografia peroperatória.
C ) Colecistectomia laparotômica.
D ) Tratamento clínico com antibióticos e analgésicos.
O principal fator de risco isolado para infecção uterina pós-parto é:
A ) Cesariana.
B ) Diabetes.
C ) Número de toques durante o trabalho de parto.
D ) Trabalho de parto prolongado.
Paciente de 38 anos, dois partos normais anteriores, hipertensa, dá entrada na emergência com gestação de 36 semanas, queixando-se de dor abdominal contínua. Ao exame, é constatado tônus uterino aumentado, colo com 2 cm de dilatação, bolsa íntegra, sangramento uterino ausente e batimento cardio fetais: 120 bpm. A primeira conduta a ser tomada é:
A ) Amniotomia.
B ) Indicar cesariana de urgência.
C ) Indução do trabalho de parto.
D ) Ultrassom obstétrico.
Questão 72
Mulher de 54 anos, nulípara, com ciclos menstruais regulares até há três anos e história de que sua mãe teve carcinoma mamário aos 62 anos. Ao realizar sua primeira mamografia, foram identificadas mamas com substituição adiposa parcial e nódulo pequeno à esquerda, de 1,5 cm de diâmetro, ovoide, apresentando limites precisos e com calcificações grosseiras em seu interior. Assinale a orientação adequada para essa paciente:
A ) Indicar punção aspirativa com agulha fina (PAAF) guiada por ultrassom para melhor esclarecimento diagnóstico.
B ) Manter controle ginecológico conforme o recomendado para a sua idade e demais fatores de risco.
C ) Realizar ultrassonografia para esclarecimento da natureza do nódulo.
D ) Repetir a mamografia em seis meses para verificar possível evolução do nódulo, pois, neste caso, há chance acima de 2% de ser malígno.
Em relação ao exame ginecológico, citologia a fresco e colposcopia, ordene a primeira coluna de acordo com a segunda, relacionando os itens: I. Ácido acético a 3%. II. KOH a 10%. III. Solução iodo-iodetada, iodeto de potássio e água destilada. IV. Bissulfito de sódio. (A) Teste de Schiller. (B) Leucoplasia. (C) Anula o Schiller. (D) Célula em papel rasgado “Clue cells”.
A ) IA; IID; IIIC; IVB.
B ) IB; IID; IIIA; IVC.
C ) IC; IIB; IIID; IVA.
D ) ID; IIC; IIIA; IVB.
Em relação à gênese do prolapso genital, selecione as principais estruturas anatômicas envolvidas e marque a alternativa CORRETA: I - Ligamento uterossacro. II - Ligamentos redondos e tubas uterinas. III - Ligamentos redondos e ligamentos cardinais. IV - Ligamentos cardinais.
A ) Apenas a afirmativa III é verdadeira.
B ) As afirmativas I e III são verdadeiras.
C ) As afirmativas II e III são falsas.
D ) As afirmativas II e IV são falsas.
Qual das seguintes afirmativas referentes à neoplasia intraepitelial cervical (NIC) é ERRADA?
A ) A zona de transformação (JEC) se refere à região entre o epitélio escamocolunar ativo e o epitélio colunar.
B ) Em mulher na pós-menopausa, a junção escamocolunar está, comumente, localizada no canal endocervical.
C ) NIC I se refere à situação na qual as células displásicas estão presentes no 1/3 inferior da camada epitelial.
D ) O cisto de Naboth é útil na localização da junção escamocolunar (JEC).
Na decisão de escolha do antibiótico a ser prescrito para uma criança com infecção urinária, o médico deve avaliar o padrão de sensibilidade da bactéria isolada na urocultura. Considerando somente as estimativas do Risco Relativo (RR), Intervalo de Confiança de 95% (IC 95%) e o NNT – Número Necessário para Tratar, obtidos em ensaios clínicos randomizados, assinale a melhor opção terapêutica:
A ) Antimicrobiano 1 (RR = 2,1; IC 95%: 0,75-6,1) (NNT: 3).
B ) Antimicrobiano 2 (RR = 1,9; IC 95%: 1,22-5,1) (NNT: 2).
C ) Antimicrobiano 3 (RR = 0,46; IC 95%: 0,24-0,88) (NNT: 4).
D ) Antimicrobiano 4 (RR = 0,20; IC 95%: 0,05-0,79) (NNT: 8).
Segundo a Portaria n° 648/2006 do Ministério da Saúde, são atribuições da Atenção Básica, EXCETO:
A ) Estabelecer vínculo entre as equipes de saúde e a população atendida, com responsabilização pelos cuidados à saúde.
B ) Estimular a participação popular na gestão do serviço de saúde e no controle social.
C ) Organizar, financiar e gerenciar as ações das equipes de saúde da família.
D ) Promover acesso universal aos serviços de saúde e continuidade da atenção à saúde.
Sobre a prevenção de doenças respiratórias em idosos, podemos afirmar:
A ) A vacina contra influenza é válida por cinco anos, não devendo ser repetida antes desse período.
B ) A vacina pneumocócica deve ser repetida anualmente no outono.
C ) É recomendada uma dose anual de vacina contra a influenza durante a primavera.
D ) Pacientes com mais de 65 anos devem receber, pelo menos, uma dose de vacina pneumocócica durante a vida.