Os transtornos alimentares na adolescência, em particular a anorexia nervosa e a bulimia, são cada vez mais diagnosticados. Qual dentre as características abaixo é encontrada, principalmente, nos anoréticos?
A ) Compulsão alimentar à qual se segue forte sentimento de culpa.
B ) Ocorrência mais frequente em adolescentes mais velhos e adultos jovens.
C ) Os sintomas podem ser ocultados por anos.
D ) São obstinados, falam muito pouco e são orgulhosos de seus sintomas.
Adolescente de 12 anos de idade, sexo feminino, comparece à consulta com queixa de corrimento vaginal persistente, escuro, com odor desagradável. Ao exame físico observa-se secreção sero-hemorrágica, com odor fétido. O diagnóstico mais provável é:
A ) Infecção por Chlamydia trachomatis.
B ) Infecção por Trichomonas vaginalis.
C ) Vulvovaginite alérgica.
D ) Vulvovaginite por corpo estranho.
Marque a alternativa ERRADA, em relação à amamentação:
A ) A hepatite B é uma doença potencialmente transmissível pelo leite materno.
B ) A toxoplasmose não é transmitida via leite humano.
C ) A tuberculose é uma doença transmissível pelo leite humano.
D ) Uma mãe não deve amamentar o filho de outra.
A radiografia das mãos e dos punhos para avaliação da idade óssea deve ser realizada em toda criança com distúrbio de crescimento. Em qual situação NÃO devemos encontrar atraso na idade óssea?
A ) Desnutrição.
B ) Hipotireoidismo primário.
C ) Pseudopuberdade precoce.
D ) Retardo constitucional do crescimento.
Qual dentre os sinais abaixo NÃO é considerado alerta para paralisia cerebral no primeiro semestre de vida:
A ) Desaparecimento do reflexo de Moro após 3º mês de vida.
B ) Estrabismo unilateral convergente.
C ) Manutenção das mãos frequentemente fechadas a partir do 3º mês.
D ) Tremulações desencadeadas pelo manuseio.
Criança do sexo masculino, 7 anos de idade, diagnóstico de leucemia linfoide aguda, recebeu quimioterapia há 10 dias. É atendida na Unidade de Pronto Atendimento com queixa de febre (38,5°C) há 3 horas que cedeu ao uso de dipirona. O exame físico não evidenciou anormalidades. O hemograma mostrou leucometria de 1200 céls/mm³ (10% neutrófilos e 85% de linfócitos). Assinale a alternativa que indica CORRETAMENTE a conduta inicial nesse quadro:
A ) Antibioticoterapia oral com cobertura para Gram-positivos, em ambiente domiciliar.
B ) Internação e antibioticoterapia de amplo espectro com cobertura para Gram-negativos.
C ) Observação domiciliar da curva térmica, uma vez que a criança não apresenta qualquer alteração ao exame físico.
D ) Observação hospitalar da curva térmica, uma vez que a criança não apresenta qualquer alteração ao exame físico.
Mãe fez seis consultas de pré-natal sem intercorrências, com sorologia sem alterações. Deu à luz uma menina com Apgar de 1‘-9 e 5‘-10, pesando 3.200 g, comprimento de 49 cm e perímetro cefálico de 34 cm. Com quatro horas após o nascimento você é chamado ao Alojamento Conjunto porque a mãe está muito ansiosa, pois ainda não tinha leite. Qual é a conduta MAIS ACERTADA?
A ) Se a mãe tivesse sido bem orientada no pré-natal, e o recém-nascido tivesse sido colocado no seio da primeira hora, provavelmente este problema não estaria ocorrendo, mas como isso não foi feito e a mãe está muito ansiosa, prescrever fórmula infantil primeiro semestre pelo copinho para complementação ao leite materno temporariamente.
B ) Solicitar uma mamadeira com fórmula infantil, pois a mãe provavelmente não vai ter leite suficiente se continuar ansiosa.
C ) Uma conversa esclarecedora com a mãe, sem excesso de informações, atendendo a sua demanda, utilizando palavras de fácil compreensão e tendo como objetivo seu “empoderamento”, é fundamental para o sucesso do aleitamento.
D ) Verificar se o recém-nascido sugou ao seio na primeira hora de vida e se o fez após este tempo. Se isto ocorreu, incentivar a mãe a colocar o filho no seio de 3 em 3 horas. Esclarecer a mãe que o colostro está pouco e que ela tem que esperar mais tempo para início de sua liberação.
S.G.P., 48 anos, sexo masculino, operário, ao submeter-se a exame periódico na firma apresentou elevação dos níveis séricos de cálcio. É praticamente assintomático, fazendo uso somente de diurético tiazídico para controle de hipertensão arterial leve. Em relação a este caso, assinale a afirmativa ERRADA:
A ) A origem mais provável desta hipercalcemia é adenoma único de paratireoide.
B ) Deve ser realizada a dosagem do PTH (hormônio paratireoidiano) para diferenciação de hipercalcemia induzida pelo tiazídico.
C ) Deve ser solicitada a dosagem de fosfato que, se elevada (hiperfosfatemia), sela o diagnóstico de hiperparatireoidismo primário.
D ) Se confirmado o hiperparatireoidismo primário, o único tratamento efetivo é a cirurgia.
S.G.P., 48 anos, sexo masculino, operário, ao submeter-se a exame periódico na firma apresentou elevação dos níveis séricos de cálcio. É praticamente assintomático, fazendo uso somente de diurético tiazídico para controle de hipertensão arterial leve. Em relação a este caso, assinale a afirmativa ERRADA:
A ) A origem mais provável desta hipercalcemia é adenoma único de paratireoide.
B ) Deve ser realizada a dosagem do PTH (hormônio paratireoidiano) para diferenciação de hipercalcemia induzida pelo tiazídico.
C ) Deve ser solicitada a dosagem de fosfato que, se elevada (hiperfosfatemia)hipofostemia, sela o diagnóstico de hiperparatireoidismo primário.
D ) Se confirmado o hiperparatireoidismo primário, o único tratamento efetivo é a cirurgia.
Em relação aos anestésicos locais, marque como verdadeiro (V) ou falso (F) e assinale a afirmativa CORRETA: ( V ) A lipossolubilidade e a concentração exercem pequeno efeito na latência anestésica; ( V ) A duração do efeito anestésico está primariamente relacionada com o grau de afinidade proteica do agente; ( F ) Em uma mesma concentração, eles apresentam bloqueio igual das fibras sensitivas e das motoras; ( F ) A cocaína e a bupivacaína em doses habituais apresentam efeito vasoconstritor; ( V ) A solubilidade lipídica é o determinante primário da potência anestésica intrínseca; ( V ) Em meio mais ácido ocorre aumento do tempo de latência.
A ) (F); (F); (V); (F); (V); (F).
B ) (F); (V); (F); (V); (F); (V).
C ) (V); (F); (V); (V); (F); (F).
D ) (V); (V); (F); (F); (V); (V).
G.H.R., 55 anos, sexo masculino, gráfico, tabagista crônico, foi atendido no serviço de pronto-socorro com quadro de tosse importante, inapetência e prostração. Radiografia de tórax evidenciou massa tumoral localizada na base do pulmão direito. Exames laboratoriais de sangue venoso revelaram Na+ = 110 mEq/L, K+ = 3,5 mEq/L e glicemia = 100 mg/dl. Em relação a este caso, está ERRADO afirmar:
A ) A água corporal total deve estar aumentada.
B ) A dosagem de Na+ urinário deve estar > 40 mEq/L.
C ) A osmolaridade urinária deve estar entre 200 mmol/L e 800 mmol/L.
D ) O Hormônio Antidiurético (ADH) e o peptídeo natriurético atrial devem estar aumentados.
Paciente de 32 anos envolveu-se em briga e foi atingido por arma branca, no 3º espaço intercostal esquerdo da linha hemiclavicular. Deu entrada em hospital de urgência com: Escala de Coma de Glasgow (CGS) = 15, Pressão Arterial Sistólica = 110 mmHg, hipocorado (2+/4+), referindo dor torácica, SatO2 = 95% sem máscara. Qual das medidas abaixo é a mais apropriada para o caso nesse momento?
A ) Intubação orotraqueal por sequência rápida.
B ) Punção descompressiva do hemitórax esquerdo.
C ) Toracotomia esquerda no 5º espaço intercostal.
D ) Ultrassom FAST.
GEC, 47 anos, sexo feminino, do lar, com antecedentes familiares de primeiro grau para tumor colorretal, apresentou alterações do hábito intestinal de início há 10 meses. Em consulta com médico generalista, este solicitou pesquisa de sangue oculto nas fezes e dosagem do Antígeno Carcino-Embrionário (CEA). Aquela foi positiva e o CEA foi de 12,8 ng/mL (referência até 5 ng/mL). Foi encaminhada ao coloproctologista, que a submeteu à colonoscopia, encontrando tumor estenosante em sigmoide, que impedia a progressão do aparelho. A biópsia confirmou adenocarcinoma. Em relação a este caso assinale a afirmativa CORRETA:
A ) A conduta do médico generalista foi a ideal.
B ) Deve ser encaminhada para tratamento radio e quimioterápico neoadjuvante.
C ) O nível elevado do CEA confirma a presença de metástase hepática.
D ) Tem indicação de colonoscopia virtual para estudo do restante do intestino grosso.
KVU, 20 anos, sexo feminino, manicure, informa nervosismo, sudorese e perda de peso. Ao exame, apresentou taquicardia (104 bpm) e exoftalmia discreta com alteração à palpação da região anterior do pescoço. Os exames laboratoriais mostraram TSH diminuído e elevação de T3 e T4. Foi prescrito propiltiouracil. Em relação a este caso assinale a afirmativa ERRADA:
A ) A droga prescrita no tratamento clínico só controla a sintomatologia, aguardando que ocorra remissão natural.
B ) Para esta paciente, o tratamento ideal é administração de iodo radioativo.
C ) Pela presença de exoftalmia é improvável que seja bócio nodular tóxico.
D ) Se for indicado tratamento cirúrgico, é importante a administração de solução de Lugol para diminuir o sangramento per-operatório.
G.E.P., 28 anos, sexo feminino, cabeleireira, começou com palpitações, cefaleia e sudorese. Sua pressão arterial apresentou picos esporádicos de elevação e, mais recentemente, se mantém permanentemente elevada. Exame ultrassonográfico mostrou nódulo de 2,5 cm em glândula suprarrenal esquerda. Em relação a este caso, assinale a afirmativa ERRADA:
A ) A dosagem do Ácido Vanilmandélico (VMA) urinário é o teste mais sensível para o diagnóstico.
B ) O médico deve pedir teste de excreção de metanefrinas e catecolaminas livres na urina de 24 horas.
C ) O tratamento inicial deve ser feito com drogas bloqueadoras alfa-adrenérgicas.
D ) Se indicado o tratamento cirúrgico, no peroperatório é comum o aparecimento de hipertensão súbita e arritmia cardíaca.
Casal em tratamento de condilomas de vulva, vagina e pênis procura esclarecimentos sobre recorrências das lesões. Qual deve ser a orientação para o casal em relação à prevenção da recorrência das lesões:
A ) Usar preservativo até 6 meses após remissão completa das lesões.
B ) Usar preservativo até remissão completa das lesões.
C ) Usar preservativo não altera as taxas de recorrência.
D ) Usar preservativo para o resto da vida.
Adolescente de 16 anos apresenta queixa de “menstruação atrasada”. Informa que teve a menarca aos 11 anos e ciclos regulares até recentemente, há cerca de 6 meses, quando os intervalos entre as menstruações passaram de 30 para 40-50 dias. A última menstruação foi há 42 dias e ela está preocupada, pois teve uma relação sexual desprotegida e está sentindo as mamas dolorosas, com descarga mamilar leitosa. Entre os exames laboratoriais relacionados abaixo, quais seriam MAIS indicados para o esclarecimento diagnóstico:
A ) Gonadotrofina coriônica humana - fração beta e prolactina.
B ) Gonadotrofina coriônica humana - fração beta e tiroxina.
C ) Prolactina e tiroxina.
D ) Tiroxina e progesterona.
Em relação ao ciclo menstrual fisiológico, assinalar a alternativa ERRADA:
A ) A formação do corpo lúteo só acontecerá se ocorrer a fecundação do óvulo.
B ) A síntese de progesterona na fase lútea tem como objetivo o preparo endometrial para a nidação.
C ) Na fase periovulatória ocorre o término da maturação do óvulo.
D ) Nos primeiros sete dias da fase folicular ocorre o recrutamento e a seleção do folículo dominante.
Paciente de 36 anos, nuligesta, procurou atendimento médico, pois notou tumor em mama direita associado a dor no local. Ao exame físico, presença de nódulo fibroelástico com 4 cm no maior diâmetro. Mamografia apresenta massa ovóide (Birads zero). Ultrassom mostrou imagem arredondada, limites bem definidos, anecóica e sugestiva de cisto simples, na junção dos quadrantes laterais da mama direita, com 4 cm de diâmetro. A conduta CORRETA para essa paciente é:
A ) Biópsia excisional do cisto.
B ) Biópsia incisional do cisto.
C ) Core-biopsy (biopsia de fragmento por agulha grossa) do cisto.
D ) Punção aspirativa por agulha fina do cisto.
EXAME TRIPLO: exame clínico + PAAF + imagem.
A placenta é um órgão fetal altamente especializado que desempenha múltiplas funções. Em relação à função de síntese hormonal placentária é ERRADO afirmar que:
A ) À medida que a gestação progride, a placenta vai reduzindo a produção de esteroides.
B ) A placenta é um órgão incompleto no que diz respeito à elaboração dos esteroides, necessitando de precursores maternos.
C ) A progesterona é sintetizada pelo sinciciotrofoblato pela hidroxilação do colesterol materno.
D ) Os níveis séricos e urinários da gonadotrofina coriônica humana (hCG) atingem seus valores máximos por volta de nove semanas de gestação.
O coeficiente de mortalidade infantil (CMI) reflete a situação de saúde e desenvolvimento socioeconômico da população, além da efetividade das políticas públicas para áreas de saúde, educação, saneamento, bem como geração e distribuição de renda. Parte relevante do CMI é composta pelas mortes infantis por causas evitáveis ou reduzíveis, as quais são definidas como aquelas preveníveis, total ou parcialmente, por ações efetivas dos serviços de saúde que estejam acessíveis em um determinado local e época. A Lista Brasileira de Mortes Evitáveis classifica as causas de morte infantil em: I. Evitáveis por adequada atenção à mulher na gestação; II. Evitáveis por ações de imunoprevenção; III. Evitáveis por adequada atenção à criança do nascimento até um ano de vida. Assinale a afirmativa CORRETA:
A ) Apenas a afirmativa I é verdadeira.
B ) Apenas a afirmativa III é verdadeira.
C ) Apenas as afirmativas I e II são verdadeiras.
D ) Todas as afirmativas são verdadeiras.
Ensaios clínicos bem conduzidos são o padrão-ouro entre os estudos para guiar a prática clínica diária, constituindo uma poderosa ferramenta para a avaliação de intervenções para a saúde, sejam elas medicamentosas ou não. Sobre esse tipo de estudo, É CORRETO afirmar:
A ) A randomização consiste na distribuição não aleatória dos casos em grupos a serem comparados para determinada intervenção.
B ) É um estudo prospectivo experimental que compara o efeito e o valor de uma intervenção contra um controle, cujos resultados são de significância estatística se P < 0,5.
C ) Ensaios clínicos randomizados são projetados para avaliar os mecanismos pelos quais uma terapia pode produzir benefícios ou prejuízos.
D ) Permite o cálculo da redução de risco relativo (RRR), utilizado para medir a eficácia da intervenção.
Para verificar uma possível associação entre o carcinoma epidermoide de terço médio de esôfago e os hábitos de beber e fumar, foi realizado um estudo no Hospital das Clínicas de Ribeirão Preto, no período de agosto de 1980 a outubro de 1981. Os seguintes resultados foram encontrados: (VER IMAGEM). É ERRADO afirmar:
A ) No estudo, o risco relativo de se ter carcinoma de esôfago em relação à ingestão de bebidas alcóolicas, foi de 26,7.
B ) O estudo não permite o cálculo das taxas de incidência.
C ) O estudo realizado foi observacional do tipo transversal retrospectivo.
D ) O risco relativo da ocorrência de carcinoma de esôfago, em relação ao tabagismo, no estudo foi de 0,9, sugerindo um efeito de proteção pela exposição ao fator em questão.

No dia 11 de março de 2011, o Ministério da Saúde divulgou a presença de um caso de sarampo, notificado pelo município de Campo Grande/MS no dia 9/3, de uma médica francesa, que atendeu crianças infectadas por sarampo de 19 a 22/2, na França. Chegou ao Brasil no dia 01/3, no Rio de Janeiro, indo para São Paulo, Foz do Iguaçu, Cascavel (08/03/11) e Campo Grande. Início dos sintomas dia 3/3 e em 22/03, foi isolado o vírus D4, que está circulando na Europa. Este foi o primeiro dos 06 casos com suspeita de sarampo notificados de março a abril de 2011. Com relação à esse evento, é ERRADO afirmar:
A ) A notificação do sarampo é obrigatória e imediata. Deve ser realizada por telefone, à secretaria municipal da saúde, dentro das primeiras 24 horas, a partir do atendimento do paciente.
B ) Devido à eliminação da circulação do vírus do sarampo no país desde o ano 2000, um caso confirmado de sarampo é considerado um surto, independente da localidade ou período da ocorrência do mesmo.
C ) O caso índice é do tipo autóctone.
D ) O caso notificado em 09/03 (médica francesa) é considerado um caso índice.
Um técnico de enfermagem, funcionário de hospital geral no interior do estado de Minas Gerais, ao aplicar injeção em paciente sofreu acidente perfuro cortante com presença de sangramento. O paciente relatava ser heterossexual promíscuo sem uso de preservativo. O técnico de enfermagem já havia realizado 02 séries completas (3 doses em cada série) de vacinação contra hepatite B sem resposta vacinal. A conduta adequada para este caso, com relação ao risco de hepatite B para o técnico de enfermagem é:
A ) Acompanhar sorologicamente o técnico de enfermagem não sendo necessário realizar nova série de vacinação e nem aplicar a imunoglobulina humana anti-hepatite B.
B ) Aguardar o resultado dos testes sorológicos do paciente, se tiver HBsAg reagente realizar nova série de vacinação com dose dobrada da vacina.
C ) Aguardar o resultado dos testes sorológicos do paciente, se tiver HBsAg reagente realizar nova série de vacinação com dose dobrada da vacina e aplicar imunoglobulina humana anti-hepatite B.
D ) Aplicar a imunoglobulina humana anti-hepatite B duas doses com intervalo de 30 dias entre elas, sendo a primeira dose preferencialmente realizada nas primeiras 48 horas.
A Lei Orgânica de Saúde - Lei nº 8.080 entende por saúde do trabalhador um conjunto de atividades que se destina à promoção, proteção, recuperação e reabilitação da saúde dos trabalhadores submetidos aos riscos e agravos advindos das condições de trabalho, abrangendo:
A ) Participação, fiscalização e controle das cláusulas de saúde nos acordos e convenções coletivas de trabalho.
B ) Participação, fiscalização e controle dos serviços de saúde do trabalhador nas instituições privadas.
C ) Participação, no âmbito de competência do Sistema Único de Saúde (SUS), da concessão de benefícios por doenças relacionadas ao trabalho.
D ) Reabilitação profissional ao trabalhador vítima de agravos relacionados ao trabalho.
No que concerne aos acidentes ofídicos no Brasil, de grande relevância na área rural, são válidas as seguintes afirmativas, EXCETO:
A ) A fácies miastênica ou neurotóxica constitui a expressão clínica mais comum no envenenamento por coral verdadeira (gênero Micrurus), ao passo que no envenenamento por surucucu-pico-de-jaca (gênero Lachesis) as manifestações clínicas são indistinguíveis daquelas observadas no acidente botrópico, a menos que, no acidente laquético, apareçam manifestações vagais como bradicardia, hipotensão arterial, cólicas abdominais e diarreia.
B ) As manifestações locais (dor, edema, equimose, formação de bolhas e necrose cutânea) são evidentes nos acidentes por Crotalus durissus, mas inexpressivas nos acidentes por serpentes do gênero Bothrops.
C ) O gênero Bothrops responde pela maior parte das serpentes peçonhentas encontradas no País, ao passo que o gênero Crotalus é representado por uma única espécie (Crotalus durissus).
D ) O veneno de Crotalus durissus provoca manifestações neurológicas (turvação visual, ptose palpebral, oftalmoplegia), rabdomiólise, mioglobinúria e insuficiência renal aguda.
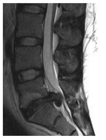
Em face da ressonância magnética abaixo reproduzida, esperar-se-iam os seguintes achados ao exame clínico de paciente com lombociatalgia aguda: (VER IMAGEM)
A ) Reflexo aquileu diminuído ou abolido, marcha na ponta dos pés dificultada.
B ) Reflexo aquileu diminuído ou abolido, marcha sobre os calcanhares dificultada.
C ) Reflexo aquileu preservado, marcha na ponta dos pés dificultada.
D ) Reflexo aquileu preservado, marcha sobre os calcanhares dificultada.

Homem de 32 anos, usuário de cocaína, encontra-se internado na enfermaria de Clínica Médica com quadro séptico, em uso de cefepime. Foi isolado Klebsiella sp. em 3 amostras de hemocultura e o plantonista é acionado pela enfermagem para avaliar achado de gangrena em artelhos de ambos os pés. Havia também sinais de necrose hemorrágica na pele dos antebraços e das mãos. Diante do quadro, é CORRETO afirmar:
A ) A fibrinólise secundária gera diminuição dos produtos de degradação da fibrina e aumento do d-dímero.
B ) O consumo e o aumento de função dos fatores de coagulação são responsáveis pelo alargamento da atividade de protrombina e o do tempo de tromboplastina parcial ativado.
C ) O depósito de fibrina intravascular causa fragmentação das hemácias e gera aparecimento de esquizócitos no sangue periférico.
D ) Os produtos de degradação da fibrina são potentes agentes trombofílicos e se associam à trombose microvascular.
Homem de 47 anos apresenta-se com 6 a 10 evacuações por dia com fezes líquidas há 6 dias, sem vômitos, afebril, mas desidratado (+/4+). É CORRETO afirmar:
A ) A pesquisa de Giardia lamblia e do rotavírus por meio de imunoensaio em material fecal apresenta elevada sensibilidade.
B ) Dentre as causas infecciosas, as mais comuns são aquelas de etiologia viral (rotavírus e norovírus) e bacterianas (Salmonella sp. e Escherichia coli êntero-hemorrágica).
C ) O diagnóstico de infecções por protozoários extracelulares como criptosporidium e isospora é realizado por meio de pesquisa direta nas fezes.
D ) O exame de coprocultura auxilia a abordagem terapêutica, pois define o agente etiológico quando a causa é bacteriana.
Homem de 47 anos é atendido no consultório com anti-HVC e o estudo qualitativo do RNA-HCV positivos. Relata que há 4 meses notou escurecimento transitório da cor da urina, assim como as escleras estavam ligeiramente amarelas naqueles dias. Com base nesses dados é CORRETO afirmar:
A ) A evolução para cirrose hepática ocorre em 40 a 50% dos casos e acontece, em média, após 20 anos do contágio.
B ) Cerca de 30% dos pacientes permanecem com transaminases dentro dos valores de referência e, raramente, evoluirão para cirrose.
C ) O quadro clínico apresentado pode estar relacionado à hepatite C aguda e a taxa de negativação do vírus ocorre até o 6º mês em 50% dos casos.
D ) Uma vez com cirrose hepática, a taxa anual de incidência do carcinoma hepatocelular é de 8 a 10%.
Mulher, 22 anos, procura atendimento médico com queixa de dispneia aos grandes esforços, iniciada há cerca de 2 meses. Sem outras queixas. Relata passado de febre reumática na adolescência. Trouxe consigo radiografia de tórax recente. FC: 74 bpm; PA: 90/60 mmHg; FR: 18 ipm. Ao exame do precórdio, chamam a atenção: impulsões sistólicas ao nível do 2º Espaço Intercostal Esquerdo (EIE), junto ao esterno e também ao nível da borda esternal esquerda inferior e epigástrio; frêmito diastólico no 4º EIE, ao nível da linha hemiclavicular. Não há evidências clínicas de aumento da pressão venosa central. Bulhas rítmicas; hiperfonese de P2 e de B1 no foco mitral, onde se auscultam estalido pouco depois da segunda bulha e sopro diastólico em ruflar com reforço pré-sistólico. Sem outras alterações ao exame físico. Considerando-se os dados acima, assinale a alternativa CORRETA:
A ) A dispneia é explicada por congestão venocapilar pulmonar devido ao aumento da pressão diastólica final do ventrículo esquerdo.
B ) Espera-se encontrar à radiografia de tórax trazida pela paciente, abaulamento do arco médio (tronco da artéria pulmonar) e aumento acentuado do terceiro arco (ventrículo esquerdo).
C ) O estalido diastólico auscultado é indício forte de calcificação da valva mitral.
D ) O sopro auscultado é um som de baixa frequência, melhor audível com a campânula do estetoscópio.
A hematoscopia é parte da avaliação do hemograma. Permite observar tamanho e características morfológicas das hemácias, plaquetas e leucócitos, bem como presença e características de células anormais. Algumas alterações são frequentemente encontradas em determinadas doenças ou processos patológicos. Abaixo estão relacionadas algumas dessas associações. Qual delas está ERRADA?
A ) Corpos de Howell-Jolly e hipofunção ou ausência do baço.
B ) Eritrócitos grandes e ovalados e anemia megaloblástica.
C ) Esferócitos e anemia hemolítica autoimune.
D ) Neutrófilos hipersegmentados e infecção.
Mulher de 40 anos portadora de AIDS em terapia antirretroviral, linfócitos T-CD4+ 460 céls/mm³ e carga viral indetectável. Ela é atendida em pronto-socorro com tosse produtiva, febre e dor torácica ventilatório-dependente em base do Hemitórax Esquerdo (HTX-E) iniciados há 2 dias. Informa que já apresentou dois episódios semelhantes no passado. Ao exame físico encontra-se corada, hidratada, PA: 135/80 mmHg, FC: 96 bpm, FR: 16 irpm e Tax: 38,3°C. Na radiografia de tórax observa-se imagem de hipotransparência com broncograma aéreo em lobo inferior do pulmão esquerdo. Considerando-se os dados apresentados, assinale a alternativa ERRADA:
A ) O exame do aparelho respiratório provavelmente evidenciará crepitações finas teleinspiratórias, redução dos sons respiratórios fisiológicos e do frêmito toracovocal na base do HTX-E.
B ) O quadro respiratório descrito pode associar-se ao declínio permanente da função pulmonar em longo prazo.
C ) Os agentes etiológicos mais comuns do quadro atual apresentado pela paciente são Streptococcus pneumoniae, Haemophilus influenzae e Staphylococcus aureus.
D ) Pode-se observar aumento do número de linfócitos T-CD4+ após a resolução do quadro respiratório atual.
Mulher de 32 anos é atendida no Centro de Saúde e traz consigo cartão de vacinação. Não está grávida e o médico verifica que o esquema básico de imunização está completo até seus 15 anos de idade. São orientações corretas, quanto à continuidade de seu esquema vacinal, EXCETO:
A ) A vacina contra difteria e tétano tipo adulto dever ser administrada a cada 10 anos.
B ) A vacina contra varicela não é necessária em caso de história prévia de catapora.
C ) A vacina tríplice viral deverá ser complementada com 1 ou 2 doses.
D ) As vacinas contra as hepatites A e B serão necessárias se não houver evidência sorológica de imunidade.
Uma paciente de 56 anos, diabética do tipo 2, diagnosticada há 5 anos, com estatura de 1,55 m, peso de 70 kg e cintura abdominal de 100 cm, apresenta-se à consulta com hipertensão grave de controle insatisfatório, apesar de terapia anti-hipertensiva combinada em doses adequadas. O controle glicêmico é avaliado como precário, apesar do tratamento otimizado com insulina de ação intermediária em 2 doses ao dia, insulina regular para correção de hiperglicemia e metformina na dose de 2550 mg/dia, dividida em 3 tomadas. A adesão ao tratamento foi confirmada durante internação hospitalar. Neste caso deve-se investigar em primeiro lugar:
A ) Hiperaldosteronismo primário.
B ) Hiperaldosteronismo secundário.
C ) Síndrome de Cushing.
D ) Síndrome metabólica.