Ahmed is an 18 year old boy who went to a doctor asking for weight- controlling pills claiming that he is overweight. His weight on the age- weight graph was as shown. What does Ahmed have?

Anorexia nervosa
a 19 year old boy presents with finger clubbing, weight loss, watery diarrhea and a mass in the right iliac fossa. A barium enema of the gastrointestinal tract was performed, and findings were as below. What is the likely diagnosis?

Crohn’s disease
Note: the presence of strictures is noted in the barium enema, a characteristic of Crohn’s (string sign)
A 51 year old man complains of passing foul-smelling fatty stools. He noticed recent loss of weight as well; an abdominal x-ray was performed and findings can be observed as below. How would u manage this patient?

By supplementing him with pancreatic enzymes
Note: pancreatic calcifications are noted in the x-ray and are indicative of chronic pancreatitis
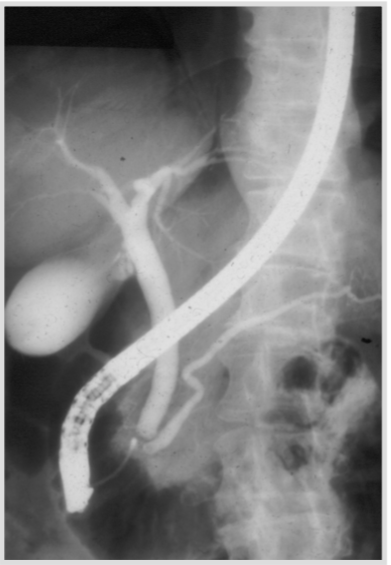
A 61 year old man complains of weight loss and is deeply jaundiced. He was found to have high liver enzymes and high GGT and ALP. An ERCP was performed which showed dilated bile duct without presence of stones. What is the likely diagnosis?

Pancreatic adenocarcinoma
Which structure does the internal oblique muscle participate in the formation of?
Note: the conjoint tendon is formed by the aponeuroses of internal oblique and transversus abdominus muscles
Which anatomical landmark is found at the level of L4 vertebra?
Iliac crest
Which of the following truly describes the submandibular gland?
Note: both statements are correct and both were among the choices; the question has been taken care of
Which blood vessel traverses the hepatoduodenal ligament?
The portal vein
Which nerve can be injured by an object in the piriform fossa?
Internal laryngeal nerve
In which layer of the esophagus are the glands found?
Submucosa
Which of the following is present in the muscularis externa?
Auerbach plexus
. Which of the following receives fibers from the greater splanchnic nerves?
Celiac ganglion
Which nerve carries parasympathetic fibers to the foregut?
The vagus
What is the main secretion of the glands in the body of the stomach?
Note: this is a trick question; the glands in the body produce pepsinogen not pepsin so intrinsic factor would be the correct answer
Which vein is used as a landmark for surgeons?
Prepyloric vein
What is the embryological origin of the muscles of the intestinal wall?
Splanchnic mesoderm
Which embryological abnormality can result in the entry of amniotic fluid into the lungs?
Tracheoesophageal fistula
Which embryological abnormality is associated with excessive growth of tissue around the duodenum?
Annular pancreas
Which embryological abnormality is the result of a persistent cloacal membrane?
Imperforate anus
Which structure forms the boundaries of the bare area of the liver?
The coronary ligament
What is the remnant of the left umbilical vein?
The round ligament
A surgeon wants to resect a 2 cm tumor in the hepatic segment III. Which vein is used to guide the surgeon in the resection?
Left hepatic vein
How the function of Ito cells changes when exposed to prolonged toxic states?
It starts collagen synthesis
Which variation in the cystic duct can result in damage to the common hepatic duct during surgery?
Adherence of the cystic duct to the common hepatic duct via fibrous tissue