an 18-year-old boy who went to a doctor asking for weight controlling pills claiming that he is overweight. His weight on the age weight graph was as shown (was underweight). What does this patient have? a. Anorexia nervosa b. Bulimia nervosa c. LH damage

a. Anorexia nervosa
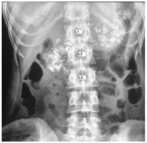
A 51-year-old man complains of passing foul-smelling fatty stools. He noticed recent loss of weight as well; an abdominal x-ray was performed, and findings can be observed as below. How would u manage this patient?

By supplementing him with pancreatic enzymes
A 47-year-old woman complaining of abdominal pain was found to have jaundice on examination. An ERCP was done and showed a dilated bile duct that is completely blocked by stones. What values do you expect on further investigation?

This is a graph of ion concentrations in pancreatic secretion at different rates of secretion. Which of the following is correct?

High HCO3- concentration secreted by Cl-HCO3 exchanger at higher rates of secretion
What biochemical reaction requires vitB12 as a cofactor?
a. Amination
b. Dehydrogenation
c. Hydroxylation
d. Methylation
d. Methylation
Following appendectomy, the patient complained of numbness in the groin area. Which nerve is likely to be injured?
a. Genitofemoral
b. Femoral
c. Ilioinguinal
d. Obturator
e. Femoral
c. Ilioinguinal
A 50-year-old female with keratoconjunctivitis sicca and xerostomia due to lymphocytic destruction of exocrine glands. What is the diagnosis?
a. Sialadenitis
b. Sialithiasis
c. Sialadenosis
d. Sjogren syndrome
d. Sjogren syndrome
What precipitates gout?
a. Purine anabolism
b. Purine catabolism
c. Pyrimidine anabolism
d. Pyrimidine catabolism
b. Purine catabolism
What is the process of transport of di and tri peptidases along the enterocyte?
a. Primary active transport
b. Cotransport with Na+
c. Cotransport with H+
c. Cotransport with H+
A 9-year-old boy presented with purpuric rash, oliguria, general weakness and bloody diarrhea for 1 week. What is the most likely organism?
a. E. coli O157:H7
b. Shigella flexneri
c. Salmonella typhimurium
d. Campylobacter jejun
a. E. coli O157:H7
What happens during hepatic blood flow regulation in hepatic arterial buffer response HABR, when portal blood flow increases?
a. Hepatic blood flow remains constant
b. Buffers vasoconstrict to reduce blood flow
c. Hepatic arterial blood flow increase
d. Autoregulation reduces portal blood flow
b. Buffers vasoconstrict to reduce blood flow
Which structure can be damaged if the hepatoduodenal ligament is injured?
a. Pancreatic duct
b. Bile duct
c. Hepatic vein
d. Splenic vein
b. Bile duct
The secretory functions of the submandibular salivary gland may be impaired due to injury of which nerve?
a. Chorda tympani
b. Auriculotemporal
c. Hypoglossal
d. Glossopharyngeal
e. Inferior alveolar
a. Chorda tympani
Which of the following is a product formed by intestinal microflora?
Secondary bile acids
Which of the following will be affected the least in case of inferior mesenteric artery blockage?
a. Cecum
b. Sigmoid colon
c. Descending colon
d. Ileum
a. Cecum
d. Ileum
(in our module exam we had the same question but without ileum in the choices so we went with the same answer cecum)
What is the rationale behind quadruple therapy of peptic ulcer disease?
a. Decrease fatal adverse side effects
b. Decrease drug interactions
c. Decrease resistance of emerging species
c. Decrease resistance of emerging species
A female patient presents with a lesion in her oral cavity. On examination, the lesion was shown to be white reticulated or netlike; what is the likely diagnosis?
a. Lichen planus
b. Crohn’s
c. Pemphigus vulgaris
a. Lichen planus
A 60-year-old male with an inguinal mass and difficulty urinating. This mass does not extend to the scrotum and is relieved by rest. What is the diagnosis?
a. Direct inguinal hernia
b. Indirect inguinal hernia
a. Direct inguinal hernia
In Vogelstein model a mutation in which of the following genes is involved in the progression of late adenoma to colorectal carcinoma?
a) P53 gene
b) K-ras gene
c) APC gene
a) P53 gene
A nurse was working in the ward when she accidently pricked her finger with a used needle. What is the maximum number of days for postexposure prophylaxis for Hep B?
a. 2
b. 7
c. 14
b. 7
What happens if there’s a distention of the cecum?
a. Stimulation of peristalsis in ileum
b. Closure of ileocecal valve
c. Reverse peristalsis in colon
b. Closure of ileocecal valve
What is the mechanism of action of scopolamine?
Antagonism of muscarinic receptors
A 10-year-old Kuwaiti boy presented to the emergency room with pain in his hands. On examination, he had marked jaundice, pallor and splenomegaly. What will increase suspension of hemolytic anemia?
a. Elevated aminotransferase
b. Elevated plasma haptoglobin
c. Elevated urine urobilinogen
c. Elevated urine urobilinogen
What is the basis of tissue damage in Crohn’s disease?
a. Hypersensitivity towards gluten
b. Cell mediated immune reaction against bacterial flora
b. Cell mediated immune reaction against bacterial flora