
WRZÓD DWUNASTNICY
KONTRAST DO GOPP


WRZÓD DWUNASTNICY
KONTRAST DO GOPP


WRZÓD DWUNASTNICY
KONTRAST DO GOPP


WRZÓD DWUNASTNICY
KONTRAST DO GOPP


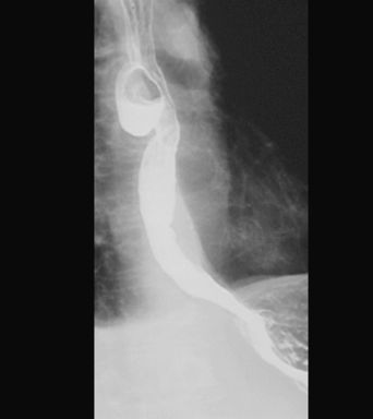
UCHYŁEK PRZEŁYKU
KONTRAST DO GOPP


STAW CHARCOTA
RTG


STAW CHARCOTA
RTG


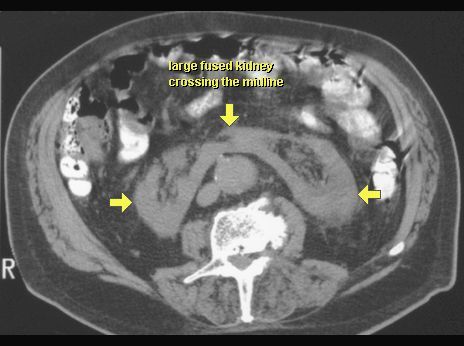
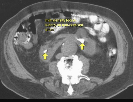
NERKA PODKOWIASTA
TK


NERKA PODKOWIASTA
TK


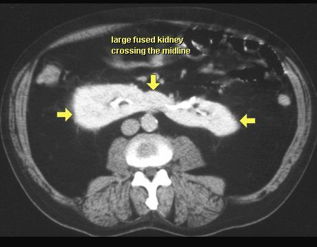
NERKA PODKOWIASTA
TK


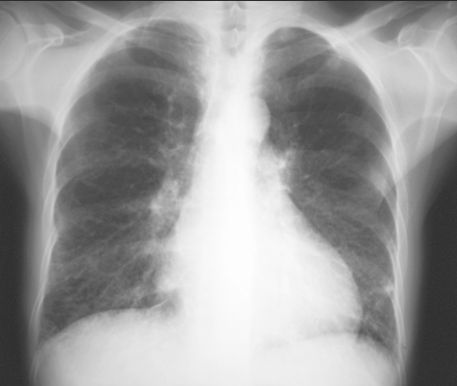
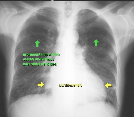
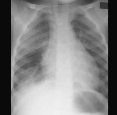
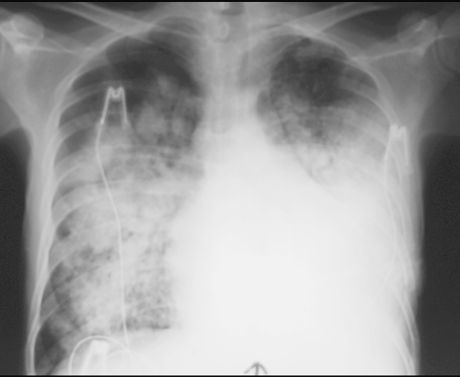
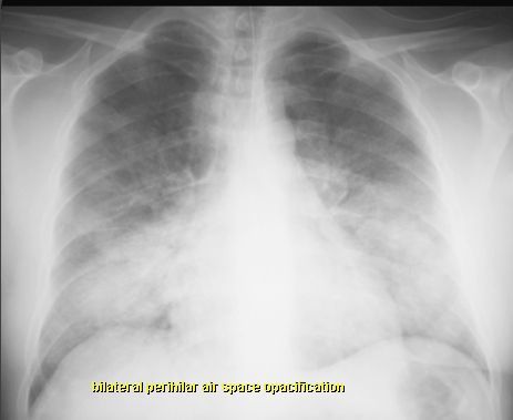
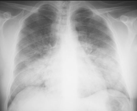
OBRZĘK PŁUC
RTG


OBRZĘK PŁUC
RTG


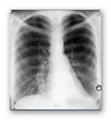
OBRZĘK PŁUC
RTG


OBRZĘK PŁUC
RTG


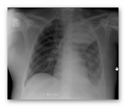
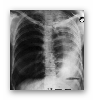
NIEDODMA PŁATA DOLNEGO PŁUCA LEWEGO
RTG

NIEDODMA PŁATA GÓRNEGO PŁUCA LEWEGO
RTG

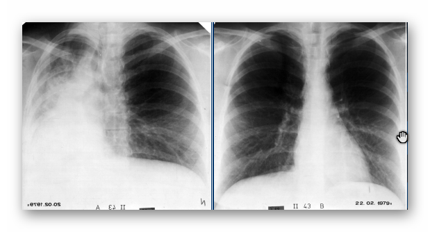
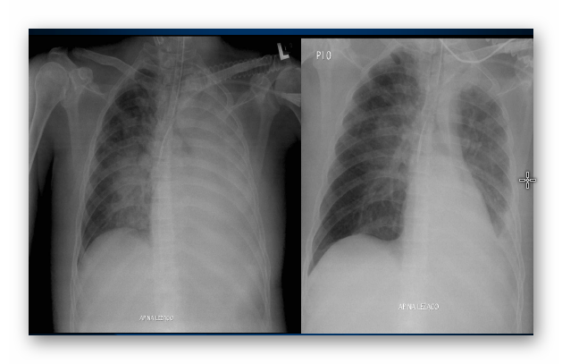
NIEDODMA
RTG
(OBRAZ PRZED I PO USUNIĘCIU CZOPA ŚLUZOWEGO)

NIEDODMA
RTG

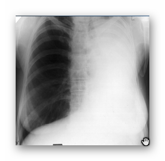
NIEDODMA PŁUCA LEWEGO
RTG
(WTÓRNA DO RAKA CENTRALNEGO PŁUCA LEWEGO)

AGENEZJA PŁUCA

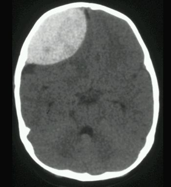
KRWIAK NADTWARDÓWKOWY
TK


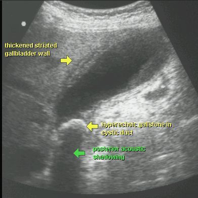
KAMICA PĘCHERZYKA ŻÓŁCIOWEGO Z ZAPALENIEM
USG


SUTEK PRAWIDŁOWY
MAMMOGRAFIA

SUTEK PRAWIDŁOWY
MAMMOGRAFIA