
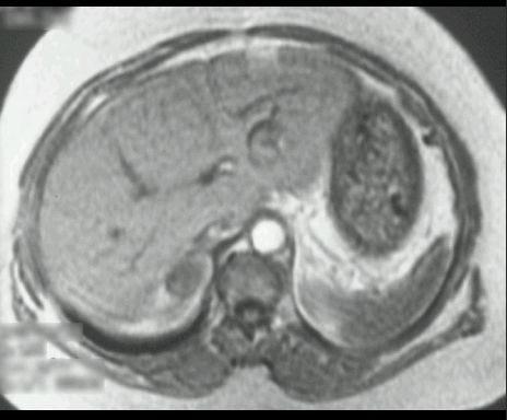
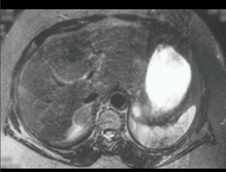
GRUCZOLAK NADNERCZA
MR


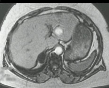
GRUCZOLAK NADNERCZA
MR


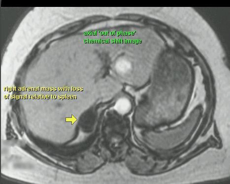
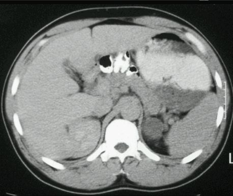
GRUCZOLAK NADNERCZA
MR


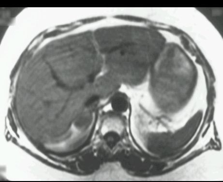
GRUCZOLAK NADNERCZA
MR


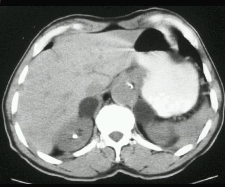
GRUCZOLAK NADNERCZA
TK


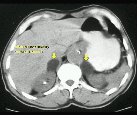
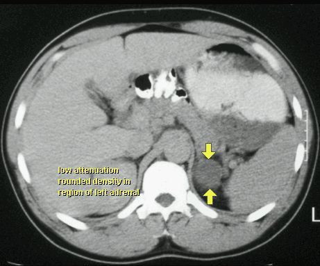
GRUCZOLAK NADNERCZA
TK


TORBIEL MŁODZIEŃCZA
RTG

UCHYŁEK PĘCHERZA MOCZOWEGO
RTG


UCHYŁEK PĘCHERZA MOCZOWEGO
UROGRAFIA


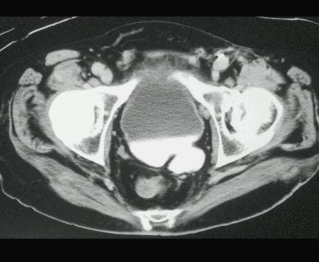
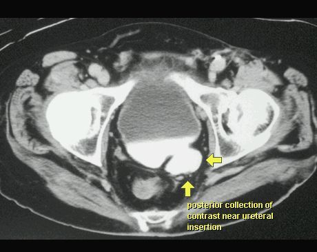
UCHYŁEK PĘCHERZA MOCZOWEGO
TK


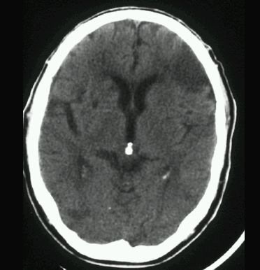
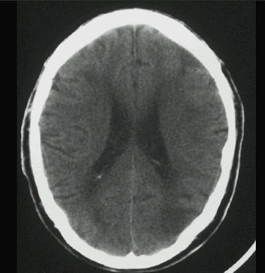
UDAR NIEDOKRWIENNY MÓZGU (ZAWAŁ MÓZGU)
TK


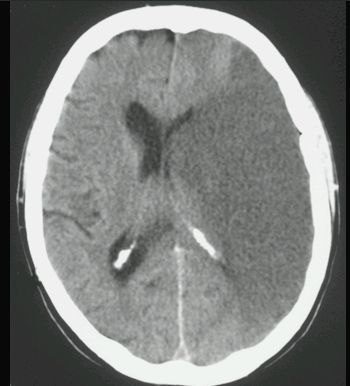
UDAR NIEDOKRWIENNY MÓZGU (ZAWAŁ MÓZGU)
TK


UDAR NIEDOKRWIENNY MÓZGU (ZAWAŁ MÓZGU)
TK


ASPERGILLOZA
TK


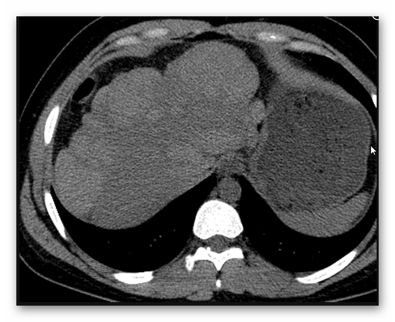
MARSKOŚĆ WĄTROBY
TK

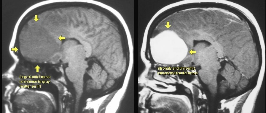
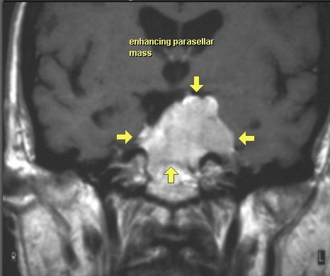
OPONIAK
MRI


OPONIAK
MRI


OPONIAK
MRI


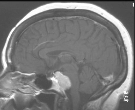
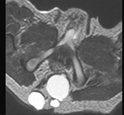
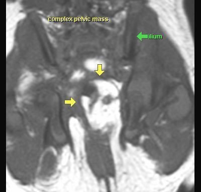
POTWORNIAK
MR


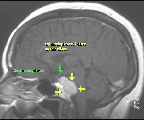
POTWORNIAK
MR


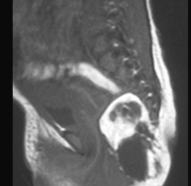
POTWORNIAK
MR


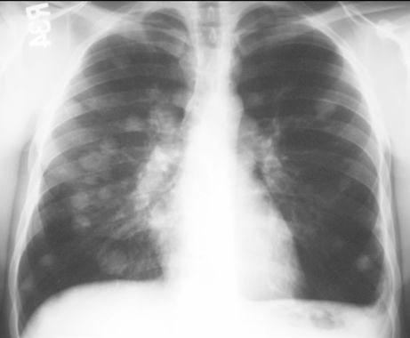
PRZERZUTY DO PŁUC
RTG

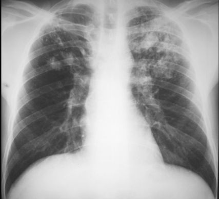
GRUŹLICA
RTG

COLITIS ULCEROSA
WLEW DOODBYTNICZY