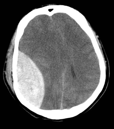
Fall from ladder - suspected injury patterns?
Head injury
Axial spine
Abdomial visceral injuries
Fractures pelvs/acetabulum
Bilateral lower limb expremity fractures - incl calcaneal fractures
GCS
4 Eyes: spontaneous, voice, pain, nil
5 Verbal: orientated, confused, inapropriate (words), incomprehensible (sounds), nil
6 Motor: obeys commands, localises to pain, withdraws from pain, flexion to pain, extension to pain, nil

Management of raised ICP
The management of Traumatic Brain Injury (TBI) is focused on the prevention of secondary injury
PREHOSPITAL CARE
prevention of secondary injury is the goal
secure airway by rapid sequence intubation (early intubation of probable benefit but not proven)
establish normal breathing (normocapnia unless neurological deterioration documented)
circulation (aggressively avoid hypotension; use crystalloid fluids – avoid albumin solutions)
protect c-spine
timely transport to a neurosurgical unit
EMERGENCY DEPARTMENT CARE
manage with an ATLS protocol
focussed neurological assessment: GCS, pupils, extent of extremity movements, examine head (e.g. haemotympanum, periorbital or mastoid ecchymosis, CSF rhinorrhoea, otorrhoea)
haemodynamically stable -> CT
haemodynamically unstable -> laparotomy, thoracotomy, diagnostic burrholes if there is lateralising neurology (e.g. fixed dilated pupil)
DEFINITIVE TREATMENT
determined by lesions
small haematomas usually observed (<10mm)
haematomas/contusions involving the middle cranial fossa are higher risk (can cause herniation without a rise in ICP)
penetrating injuries: bullets -> massive destruction, knives -> minimal mass effect but high risk of infection and CSF leak
PHYSIOLOGICAL MONITORING
standard monitoring required plus invasive pressure monitoring
ICP monitoring mandatory for severe TBI + abnormal CT as intracranial hypertension develops in 60% (see ICP monitor document)
EVDs vs Codmans (both have advantages and disadvantages)
SURGICAL INTERVENTIONS
evacuation of mass lesions
decompressive craniectomy (controversial, the DECRA study showed harm with early, aggressive decompression)
MEDICAL MANAGEMENT
Resuscitation
avoid hypoxaemia
— titrated FiO2
— PEEP up to 15cmH2O doesn’t increase ICP significantly
avoid hypotension and hypvolaemia
— use saline and avoid albumin
— use vasopressors
— treat anaemia
Specific therapy
TARGETS
avoid intracranial hypertension
— sustained ICP > 20mmHg causes ischaemia
maintain CPP of 60mmHg
— higher produces more ARDS
— lower produces a fall in brain tissue PO2
FIRST TIER
head up 30 degrees position
sedation and analgesia
neuromuscular blockade
— helps control ICP
— increases risk of pneumonia and critical illness polyneuropathy
vent CSF via EVD if raised ICP
mild hyperventilation to maintain normocarbia
— aim for PaCO2 35mmHg
SECOND TIER
osmotherapies
— mannitol 0.25-1g/kg Q3hrly
— hypertonic saline (3%) 3 mL/kg over 10 min or 10-20 mL 20% saline
FINAL TIER
barbiturate coma
— decreases cerebral metabolic rate, but can cause hypotension and has long half life
therapeutic hypothermia
— lowers ICP but not shown to change outcome (POLAR study is currently in progress)
aggressive hyperventilation
— causes cerebral vasoconstriction
— not used except in rescue situation (e.g. patient coning)
decompressive craniectomy
lumbar CSF drainage
OTHER
avoidance of hyperthermia
— increase in neuronal death when > 39 C during first 24 hours
— aggressively cool if T >39 C
seizure prophylaxis
— phenytoin or levitiracetam during first 7 days, but generally on midazolam and propofol
— no evidence of benefit
Supportive care and Monitoring
DVT prophylaxis
— TEDS + IPC
— can usually use LMWH and UFH within 2-3 days of injury (discuss with neurosurgeon)
nutrition
— early feeding important because of high metabolic requirement
sedation
— permits manipulation of ventilation, optimisation of cerebral metabolic rate (CMRO2), cerebral blood flow (CBF), and intracranial pressure (ICP)
— also provides anxiolysis, treatment of withdrawal syndromes and seizure control
SUSPECT diagnosis - Hx, deep coma, deteriorating GCS, pupillary dilatation.
INVESTIGATE - CT
MAINTAIN PHYSIOLOGY -
1) ensuring normoxia and normocapnia (Pao2 >11 kPa, Paco2 4.5–5 kPa), with tracheal intubation and ventilatory support where required;
2) Fluid loading and vasoactive agents to maintain CPP>70 or MAP 90-100 (if CIP not monitored)
TREAT ICP:
3) MANITOL - treating raised intracranial pressure with mannitol effective in emergencies and can be used repeatedly if effective and plasma osmolality ≤325 mOsm/litre. Hypertonic NaCl (3–30%) may reduce ICP either as first line agent or when mannitol is ineffective and tends to cause less problems with major fluid shifts. Hyperosmotic agents may be less effective when there is widespread disruption of the blood–brain barrier
4) Hyperventilation - Reduction of cerebral blood volume - Sedation and treatment of seizures can produce reductions in CBF and CBV that are coupled to reduction of neuronal metabolism. Hyperventilation has been commonly used to reduce CBV by inducing cerebral vasoconstriction, but can produce critical reductions in CBF. Needs to be used with care and with monitoring of cerebral oxygenation (usually with brain tissue or jugular bulb oximetry).
CONSIDER
5) Hypothermia - Mild to moderate hypothermia (32–36oC) is neuroprotective in experimental models, but clinically unproven. The neuroprotective benefit of hypothermia following cardiac arrest has been challenged by more recent data that show no benefit when compared to avoidance of hyperthermia. Hypothermia is effective at controlling refractory intracranial hypertension by multiple mechanisms, including metabolic suppression and anti-inflammatory effects, but outcome benefits have not been demonstrated. Indeed, when used early as an ICP lowering intervention in TBI, it may result in worse outcomes.
6) surgical decompression/CSF drainage
(treating precipitating factors such as seizures, fever, and electrolyte abnormalities)
7) Monitoring intracranial pressure if appropriate (e.g. trauma)*
PE
PE: anticoagulation, thrombolysis v embolectomy
Peri-operative - Pt with PE who cannot tolerate AC => IVF filter

BCC
often in skin type 1-2

Azygous vein anatomy
SINGLE
Runs up the right side of the thoracic verterbral column
Union of ascending lumbar veins with the RIGHT subcostal veins at the level of the 12th thoracic veterbra
Pass through aortic opening of diaphragm (T12)
Ascends within posterior mediastinum - draining from the posterior intercostal V (5-10) & R.superior IC vein (2/3/4) (note right supreme IC drains into R BC Vein)
At level of T4 arches across the right pulmonary hilum
Drains into SVC just before it pierces the pericardium
Tributaries:
Hemi-azygous - asc lumbar V with left subcostal V, pierces left crus of diaphrage, asc on left side of thoracic verterbral colmn, draining IC T11/10/9 - DRAINS into azygous at T8.
Accesory hemi-azygous - Right IC T5-8 (LEFT superior IC V (T2/3/4) (LEFT supreme ICV -> LEFT brachiochephalic) - DRAINS into azygous at T8
What is the role of chordae tendinae
(Connect to 2 leaflets of LEFT MV AVV and 3 leaflets of RIGHTTV AVV)
Prevent AV prolapsing during ventricular contraction to prevent AVV regurgitation into atrium
Damage - MI, physical trauma, infective endocarditis, aortic stenosis
Branches of ascending aorta
Left ventricle aortic orifice c.2 inches
Left and right aortic sinuses -> left and right coronary arteries
Branches of aortic arch
Descending thoracic aorta
Anatomy of the spleen
Lies in space of taube LUQ opposes the diaphragm
surface anatomy - Left 9-11th ribs
Hilum - splenic artery (coeliac access) and vein (merges in IMV and confluence with SMV -> portal V)
Red and white pulp - red = filtration of RBC / white = acitve immune
Function: filtration of encapsulated organisms, recycling of blood cells, storage of platelets. major lymphoid system - procude lymphocytes and key mediators incl opsonins
Splenic artery
Branches to the pancreas - multiple branches serving the pancreas including greater pancreatic artery and dorsal pancreatic artery.
short gastric - upper part of greater curvature of the stomach and fundus of the stomach
left gastroepiploic - middle of greater curvature of the stomach
posterior gastric - posterior of stomach, gastric region superior to the splenic artery
Branch of the coeliac trunk - posterior to stomach - linorenal ligamanet to the spleen
Pathology report - owl eye sign
Reed Sternberg cells
Hodgkins lymphoma
What structures to preserve during splenectomy?
Tail of pancreas
Left lobe of liver
Left hemi Diaphragm
Left kidney
Splenic hilum
Consequence: at risk of sepsis from encapsulated organisms - pneumococca/hib/meningococcus, blood changes -> howell jolly bodies
Surface marking of the gallbladder
9th rib
Referred shoulder tip pain
Pain @ site seperate to the location of the painful stimulus
Diaphrag = phrenic nerve (C3/4/5)
Supraclavicular nerve = C3/4 = superficial sensory to skin above/below the clavicle i.e. shoulder tip